N Cadherin Recombinant Rabbit Monoclonal Antibody [SY02-46]
cat.: ET1607-37
Product Type: Recombinant Rabbit monoclonal IgG, primary antibodies
Species reactivity: Human, Mouse, Rat, Cynomolgus monkey, Pig
Applications: WB, IHC-P, IHC-Fr, IF-Tissue
Clonality: Monoclonal
Clone number: SY02-46
Form: Liquid
Storage condition: Shipped at 4℃. Store at +4℃ short term (1-2 weeks). It is recommended to aliquot into single-use upon delivery. Store at -20℃ long term.
Storage buffer: 1*TBS (pH7.4), 0.05% BSA, 40% Glycerol. Preservative: 0.05% Sodium Azide.
Concentration: 1ug/ul
Purification: Protein A affinity purified.
Molecular weight: Predicted band size: 100 kDa
Isotype: IgG
Immunogen: Synthetic peptide within Human N Cadherin aa 161-210 / 906.
Positive control: 293T cell lysate, A549 cell lysate, HeLa cell lysate, A-172 cell lysate, MCF7 cell lysate, C2C12 cell lysate, C6 cell lysate, mouse liver tissue, rat liver tissue, human liver carcinoma tissue, human liver tissue, mouse heart tissue, Hela.
Subcellular location: Cell membrane.
Recommended Dilutions:
  WB
  IHC-P
  IHC-Fr
  IF-Tissue

1:5,000-1:20,000
1:10,000-1:40,000
1:500-1:1,000
1:2,000
Uniprot #: SwissProt: P19022 Human | P15116 Mouse | Q9Z1Y3 Rat
Alternative names: CADH2_HUMAN Cadherin 2 Cadherin 2 N cadherin neuronal Cadherin 2 type 1 Cadherin 2 type 1 N cadherin neuronal Cadherin 2, type 1, N-cadherin (neuronal) Cadherin-2 Cadherin2 Calcium dependent adhesion protein neuronal CD325 CD325 antigen CDH2 CDHN CDw325 CDw325 antigen N cadherin 1 N-cadherin NCAD Neural cadherin OTTHUMP00000066304 OTTHUMP00000067378
Images
ET1607-37_1.jpg Fig1: Western blot analysis of N Cadherin on different lysates with Rabbit anti-N Cadherin antibody (ET1607-37) at 1/5,000 dilution and competitor's antibody at 1/1,000 dilution.

Lane 1: 293T cell lysate
Lane 2: A549 cell lysate
Lane 3: HeLa cell lysate
Lane 4: A-172 cell lysate
Lane 5: MCF7 cell lysate (negative)
Lane 6: C2C12 cell lysate
Lane 7: C6 cell lysate

Lysates/proteins at 15 µg/Lane.

Predicted band size: 100 kDa
Observed band size: 140-150 kDa

Exposure time: 2 minutes 6 seconds; ECL: K1801;
4-20% SDS-PAGE gel.

Proteins were transferred to a PVDF membrane and blocked with 5% NFDM/TBST for 1 hour at room temperature. The primary antibody (ET1607-37) at 1/5,000 dilution and competitor's antibody at 1/1,000 dilution were used in 5% NFDM/TBST at 4℃ overnight. Goat Anti-Rabbit IgG - HRP Secondary Antibody (HA1001) at 1/50,000 dilution was used for 1 hour at room temperature.
ET1607-37_2.jpg Fig2: Western blot analysis of N Cadherin on different lysates with Rabbit anti-N Cadherin antibody (ET1607-37) at 1/5,000 dilution.

Lane 1: 293T-si NT cell lysate (10 µg/Lane)
Lane 2: 293T-si N Cadherin cell lysate (10 µg/Lane)

Predicted band size: 100 kDa
Observed band size: 150 kDa

Exposure time: 1 minute 46 seconds; ECL: K1801;
4-20% SDS-PAGE gel.

Proteins were transferred to a PVDF membrane and blocked with 5% NFDM/TBST for 1 hour at room temperature. The primary antibody (ET1607-37) at 1/5,000 dilution was used in 5% NFDM/TBST at 4℃ overnight. Goat Anti-Rabbit IgG - HRP Secondary Antibody (HA1001) at 1/50,000 dilution was used for 1 hour at room temperature.
ET1607-37_3.jpg Fig3: Application: IHC-Fr

Species: Mouse

Site: Liver

Sample: Frozen section

Antibody concentration: 1:500

Antigen retrieval: Recommend. The section was pre-treated using heat mediated antigen retrieval with sodium citrate buffer (pH 6.0) for about 2 minutes in microwave oven.
ET1607-37_4.jpg Fig4: Application: IHC-Fr

Species: Mouse

Site: Liver

Sample: Frozen section

Antibody concentration: 1:500

Antigen retrieval: Recommend. The section was pre-treated using heat mediated antigen retrieval with sodium citrate buffer (pH 6.0) for about 2 minutes in microwave oven.
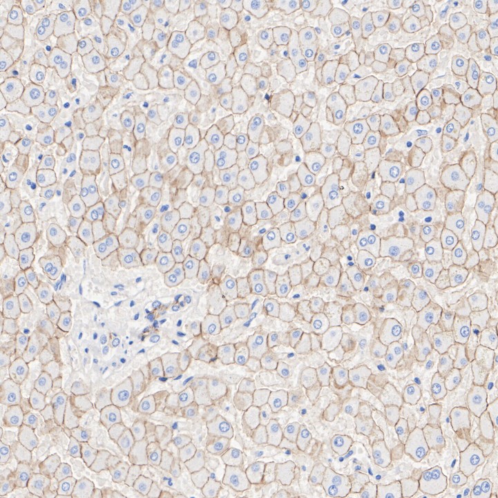
ET1607-37_5.jpg Fig5: Immunohistochemical analysis of paraffin-embedded human liver tissue with Rabbit anti-N Cadherin antibody (ET1607-37) at 1/40,000 dilution.

The section was pre-treated using heat mediated antigen retrieval with Tris-EDTA buffer (pH 9.0) for 20 minutes. The tissues were blocked in 1% BSA for 20 minutes at room temperature, washed with ddH2O and PBS, and then probed with the primary antibody (ET1607-37) at 1/40,000 dilution for 1 hour at room temperature. The detection was performed using an HRP conjugated compact polymer system. DAB was used as the chromogen. Tissues were counterstained with hematoxylin and mounted with DPX.
ET1607-37_6.jpg Fig6: Immunohistochemical analysis of paraffin-embedded mouse liver tissue with Rabbit anti-N Cadherin antibody (ET1607-37) at 1/40,000 dilution.

The section was pre-treated using heat mediated antigen retrieval with Tris-EDTA buffer (pH 9.0) for 20 minutes. The tissues were blocked in 1% BSA for 20 minutes at room temperature, washed with ddH2O and PBS, and then probed with the primary antibody (ET1607-37) at 1/40,000 dilution for 1 hour at room temperature. The detection was performed using an HRP conjugated compact polymer system. DAB was used as the chromogen. Tissues were counterstained with hematoxylin and mounted with DPX.
ET1607-37_7.jpg Fig7: Immunohistochemical analysis of paraffin-embedded rat liver tissue with Rabbit anti-N Cadherin antibody (ET1607-37) at 1/40,000 dilution.

The section was pre-treated using heat mediated antigen retrieval with Tris-EDTA buffer (pH 9.0) for 20 minutes. The tissues were blocked in 1% BSA for 20 minutes at room temperature, washed with ddH2O and PBS, and then probed with the primary antibody (ET1607-37) at 1/40,000 dilution for 1 hour at room temperature. The detection was performed using an HRP conjugated compact polymer system. DAB was used as the chromogen. Tissues were counterstained with hematoxylin and mounted with DPX.
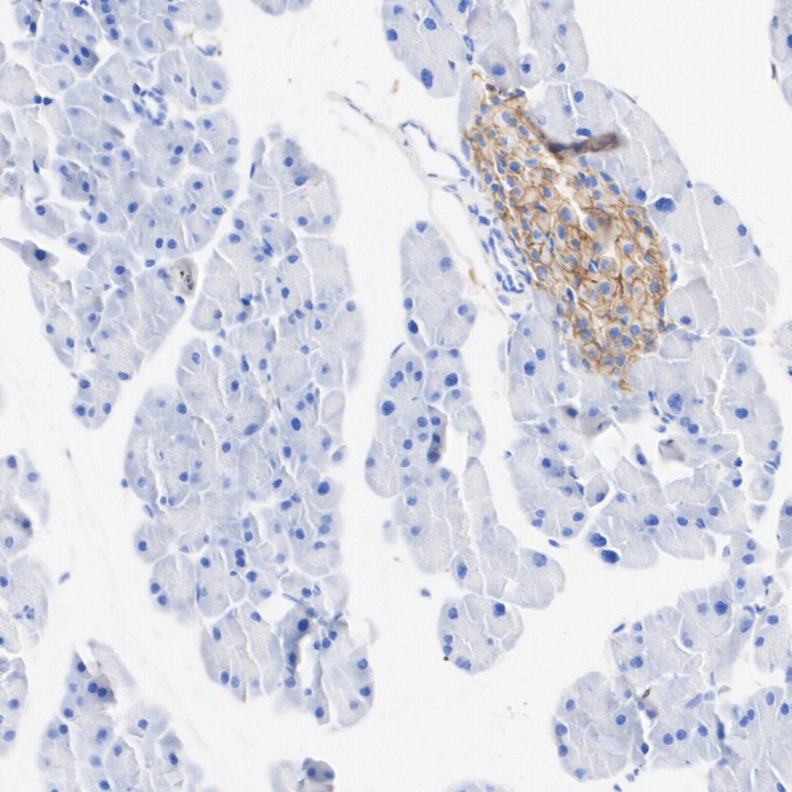
ET1607-37_8.jpg Fig8: Immunohistochemical analysis of paraffin-embedded mouse pancreas tissue with Rabbit anti-N Cadherin antibody (ET1607-37) at 1/40,000 dilution.

The section was pre-treated using heat mediated antigen retrieval with Tris-EDTA buffer (pH 9.0) for 20 minutes. The tissues were blocked in 1% BSA for 20 minutes at room temperature, washed with ddH2O and PBS, and then probed with the primary antibody (ET1607-37) at 1/40,000 dilution for 1 hour at room temperature. The detection was performed using an HRP conjugated compact polymer system. DAB was used as the chromogen. Tissues were counterstained with hematoxylin and mounted with DPX.
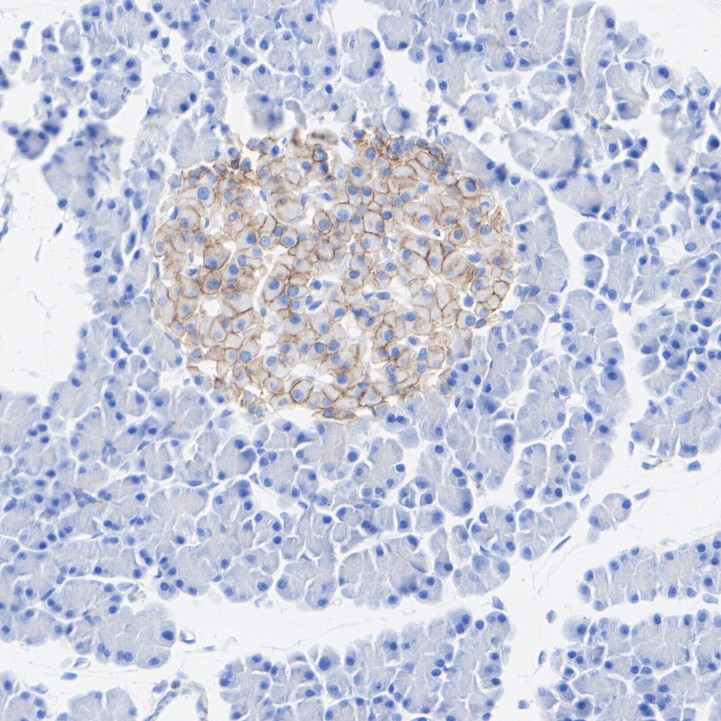
ET1607-37_9.jpg Fig9: Immunohistochemical analysis of paraffin-embedded rat pancreas tissue with Rabbit anti-N Cadherin antibody (ET1607-37) at 1/40,000 dilution.

The section was pre-treated using heat mediated antigen retrieval with Tris-EDTA buffer (pH 9.0) for 20 minutes. The tissues were blocked in 1% BSA for 20 minutes at room temperature, washed with ddH2O and PBS, and then probed with the primary antibody (ET1607-37) at 1/40,000 dilution for 1 hour at room temperature. The detection was performed using an HRP conjugated compact polymer system. DAB was used as the chromogen. Tissues were counterstained with hematoxylin and mounted with DPX.
Note: All products are “FOR RESEARCH USE ONLY AND ARE NOT INTENDED FOR DIAGNOSTIC OR THERAPEUTIC USE”.