Smad1 Recombinant Rabbit Monoclonal Antibody [SY0254]
cat.: ET1607-42
Product Type: Recombinant Rabbit monoclonal IgG, primary antibodies
Species reactivity: Human, Mouse
Applications: WB, IF-Cell, IF-Tissue, IHC-P
Clonality: Monoclonal
Clone number: SY0254
Form: Liquid
Storage condition: Shipped at 4℃. Store at +4℃ short term (1-2 weeks). It is recommended to aliquot into single-use upon delivery. Store at -20℃ long term.
Storage buffer: 1*TBS (pH7.4), 0.05% BSA, 40% Glycerol. Preservative: 0.05% Sodium Azide.
Concentration: 1ug/ul
Purification: Protein A affinity purified.
Molecular weight: 52 kDa
Isotype: IgG
Immunogen: Synthetic peptide within human Smad1 aa 150-200.
Positive control: Hela, PANC-1, MCF-7, A431, mouse stomach tissue, p19.
Subcellular location: Cytoplasm, Nucleus.
Recommended Dilutions:
  WB
  IF-Cell
  IF-Tissue
  IHC-P

1:500
1:100-1:500
1:100-1:500
1:50-1:200
Uniprot #: SwissProt: Q15797 Human | P70340 Mouse
Alternative names: BSP-1 BSP1 HsMAD1 JV4-1 JV41 MAD homolog 1 MAD mothers against decapentaplegic homolog 1 Mad related protein 1 Mad-related protein 1 MADH1 MADR1 Mothers against decapentaplegic homolog 1 Mothers against DPP homolog 1 SMA- AND MAD-RELATED PROTEIN 1 SMAD 1 SMAD family member 1 SMAD mothers against DPP homolog 1 Smad1 SMAD1_HUMAN TGF beta signaling protein 1 Transforming growth factor-beta-signaling protein 1
Images
ET1607-42_1.jpg Fig1: All lanes: Western blot analysis of Smad1 with anti-Smad1 antibody (ET1607-42) at 1:500 dilution.
Lane 1: Wild-type p19 whole cell lysate (15 µg).
Lane 2/3: Smad1 knockout p19 whole cell lysate (15 µg).

ET1607-42 was shown to specifically react with Smad1 in wild-type p19 cells. No bands were observed when Smad1 knockout samples were tested. Wild-type and Smad1 knockout samples were subjected to SDS-PAGE. Proteins were transferred to a PVDF membrane and blocked with 5% NFDM in TBST for 1 hour at room temperature. The primary antibody (ET1607-42, 1:500) was used in 5% BSA at room temperature for 2 hours. Goat Anti-Rabbit IgG-HRP Secondary Antibody at 1:10,000 dilution was used for 1 hour at room temperature.
ET1607-42_2.jpg Fig2: ICC staining of Smad1 in Hela cells (green). Formalin fixed cells were permeabilized with 0.1% Triton X-100 in TBS for 10 minutes at room temperature and blocked with 1% Blocker BSA for 15 minutes at room temperature. Cells were probed with the primary antibody (ET1607-42, 1/50) for 1 hour at room temperature, washed with PBS. Alexa Fluor®488 Goat anti-Rabbit IgG was used as the secondary antibody at 1/1,000 dilution. The nuclear counter stain is DAPI (blue).
ET1607-42_3.jpg Fig3: ICC staining of Smad1 in PANC-1 cells (green). Formalin fixed cells were permeabilized with 0.1% Triton X-100 in TBS for 10 minutes at room temperature and blocked with 1% Blocker BSA for 15 minutes at room temperature. Cells were probed with the primary antibody (ET1607-42, 1/50) for 1 hour at room temperature, washed with PBS. Alexa Fluor®488 Goat anti-Rabbit IgG was used as the secondary antibody at 1/1,000 dilution. The nuclear counter stain is DAPI (blue).
ET1607-42_4.jpg Fig4: ICC staining of Smad1 in MCF-7 cells (green). Formalin fixed cells were permeabilized with 0.1% Triton X-100 in TBS for 10 minutes at room temperature and blocked with 1% Blocker BSA for 15 minutes at room temperature. Cells were probed with the primary antibody (ET1607-42, 1/50) for 1 hour at room temperature, washed with PBS. Alexa Fluor®488 Goat anti-Rabbit IgG was used as the secondary antibody at 1/1,000 dilution. The nuclear counter stain is DAPI (blue).
ET1607-42_5.jpg Fig5: ICC staining of Smad1 in A431 cells (green). Formalin fixed cells were permeabilized with 0.1% Triton X-100 in TBS for 10 minutes at room temperature and blocked with 1% Blocker BSA for 15 minutes at room temperature. Cells were probed with the primary antibody (ET1607-42, 1/50) for 1 hour at room temperature, washed with PBS. Alexa Fluor®488 Goat anti-Rabbit IgG was used as the secondary antibody at 1/1,000 dilution. The nuclear counter stain is DAPI (blue).
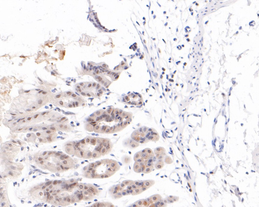
ET1607-42_6.jpg Fig6: Immunohistochemical analysis of paraffin-embedded mouse stomach tissue using anti-Smad1 antibody. The section was pre-treated using heat mediated antigen retrieval with sodium citrate buffer (pH 6.0) for 20 minutes. The tissues were blocked in 5% BSA for 30 minutes at room temperature, washed with ddH2O and PBS, and then probed with the primary antibody (ET1607-42, 1/200) for 30 minutes at room temperature. The detection was performed using an HRP conjugated compact polymer system. DAB was used as the chromogen. Tissues were counterstained with hematoxylin and mounted with DPX.
Note: All products are “FOR RESEARCH USE ONLY AND ARE NOT INTENDED FOR DIAGNOSTIC OR THERAPEUTIC USE”.