CDK1 Recombinant Rabbit Monoclonal Antibody [SY26-02]
cat.: ET1607-51
Product Type: Recombinant Rabbit monoclonal IgG, primary antibodies
Species reactivity: Human, Mouse, Rat
Applications: WB, IF-Cell, IF-Tissue, IHC-P, IP
Clonality: Monoclonal
Clone number: SY26-02
Form: Liquid
Storage condition: Shipped at 4℃. Store at +4℃ short term (1-2 weeks). It is recommended to aliquot into single-use upon delivery. Store at -20℃ long term.
Storage buffer: 1*TBS (pH7.4), 0.05% BSA, 40% Glycerol. Preservative: 0.05% Sodium Azide.
Concentration: 1ug/ul
Purification: Protein A affinity purified.
Molecular weight: Predicted band size: 34 kDa
Isotype: IgG
Immunogen: Synthetic peptide within Human CDK1 aa 1-50 / 297.
Positive control: HeLa cell lysate, Saos-2 cell lysate, Jurkat cell lysate, Mouse spleen tissue lysate, NIH/3T3 cell lysate, C2C12 cell lysate, RAW264.7 cell lysate, PC-12 cell lysate, HeLa, human breast cancer tissue, human tonsil tissue, human testis tissue, mouse testis tissue, rat testis tissue.
Subcellular location: Cytoplasm, Nucleus, Mitochondrion.
Recommended Dilutions:
  WB
  IF-Cell
  IF-Tissue
  IHC-P
  IP

1:1,000-1:2,000
1:50-1:200
1:50-1:200
1:1,000
Use at an assay dependent concentration.
Uniprot #: SwissProt: P06493 Human | P11440 Mouse | P39951 Rat
Alternative names: Cdc 2 Cdc2 CDC28A CDK 1 CDK1 CDK1_HUMAN CDKN1 CELL CYCLE CONTROLLER CDC2 Cell division control protein 2 Cell division control protein 2 homolog Cell division cycle 2 G1 to S and G2 to M Cell division protein kinase 1 Cell Divsion Cycle 2 Protein Cyclin Dependent Kinase 1 Cyclin-dependent kinase 1 DKFZp686L20222 MGC111195 p34 Cdk1 p34 protein kinase P34CDC2
Images
ET1607-51_1.jpg Fig1: Western blot analysis of CDK1 on different lysates with Rabbit anti-CDK1 antibody (ET1607-51) at 1/2,000 dilution.

Lane 1: HeLa cell lysate (15 µg/Lane)
Lane 2: Saos-2 cell lysate (15 µg/Lane)
Lane 3: Jurkat cell lysate (15 µg/Lane)
Lane 4: Mouse spleen tissue lysate (20 µg/Lane)

Predicted band size: 34 kDa
Observed band size: 34 kDa

Exposure time: 5 minutes;

4-20% SDS-PAGE gel.

Proteins were transferred to a PVDF membrane and blocked with 5% NFDM/TBST for 1 hour at room temperature. The primary antibody (ET1607-51) at 1/2,000 dilution was used in 5% NFDM/TBST at 4℃ overnight. Goat Anti-Rabbit IgG - HRP Secondary Antibody (HA1001) at 1/50,000 dilution was used for 1 hour at room temperature.
ET1607-51_2.jpg Fig2: Western blot analysis of CDK1 on different lysates with Rabbit anti-CDK1 antibody (ET1607-51) at 1/1,000 dilution.

Lane 1: NIH/3T3 cell lysate
Lane 2: C2C12 cell lysate
Lane 3: RAW264.7 cell lysate
Lane 4: PC-12 cell lysate

Lysates/proteins at 20 µg/Lane.

Predicted band size: 34 kDa
Observed band size: 34 kDa

Exposure time: 1 minute; ECL: K1801;

4-20% SDS-PAGE gel.

Proteins were transferred to a PVDF membrane and blocked with 5% NFDM/TBST for 1 hour at room temperature. The primary antibody (ET1607-51) at 1/1,000 dilution was used in 5% NFDM/TBST at 4℃ overnight. Goat Anti-Rabbit IgG - HRP Secondary Antibody (HA1001) at 1/50,000 dilution was used for 1 hour at room temperature.
ET1607-51_3.jpg Fig3: Immunocytochemistry analysis of HeLa cells labeling CDK1 with Rabbit anti-CDK1 antibody (ET1607-51) at 1/100 dilution.

Cells were fixed in 4% paraformaldehyde for 20 minutes at room temperature, permeabilized with 0.1% Triton X-100 in PBS for 5 minutes at room temperature, then blocked with 1% BSA in 10% negative goat serum for 1 hour at room temperature. Cells were then incubated with Rabbit anti-CDK1 antibody (ET1607-51) at 1/100 dilution in 1% BSA in PBST overnight at 4 ℃. Goat Anti-Rabbit IgG H&L (iFluor™ 488, HA1121) was used as the secondary antibody at 1/1,000 dilution. PBS instead of the primary antibody was used as the secondary antibody only control. Nuclear DNA was labelled in blue with DAPI.

Beta tubulin (M1305-2, red) was stained at 1/100 dilution overnight at +4℃. Goat Anti-Mouse IgG H&L (iFluor™ 594, HA1126) was used as the secondary antibody at 1/1,000 dilution.
ET1607-51_4.jpg Fig4: Immunohistochemical analysis of paraffin-embedded human breast cancer tissue with Rabbit anti-CDK1 antibody (ET1607-51) at 1/1,000 dilution.

The section was pre-treated using heat mediated antigen retrieval with Tris-EDTA buffer (pH 9.0) for 20 minutes. The tissues were blocked in 1% BSA for 20 minutes at room temperature, washed with ddH2O and PBS, and then probed with the primary antibody (ET1607-51) at 1/1,000 dilution for 1 hour at room temperature. The detection was performed using an HRP conjugated compact polymer system. DAB was used as the chromogen. Tissues were counterstained with hematoxylin and mounted with DPX.
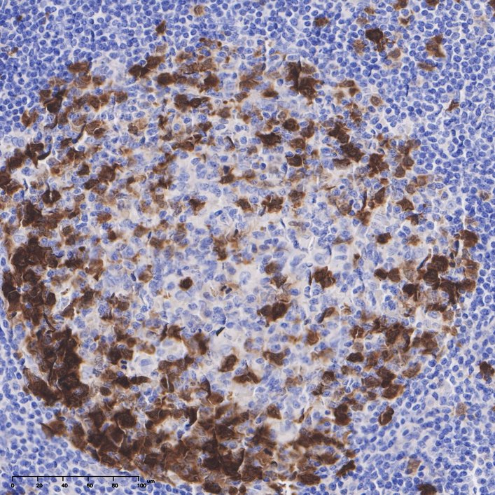
ET1607-51_5.jpg Fig5: Immunohistochemical analysis of paraffin-embedded human tonsil tissue with Rabbit anti-CDK1 antibody (ET1607-51) at 1/5,000 dilution.

The section was pre-treated using heat mediated antigen retrieval with Tris-EDTA buffer (pH 9.0) for 20 minutes. The tissues were blocked in 1% BSA for 20 minutes at room temperature, washed with ddH2O and PBS, and then probed with the primary antibody (ET1607-51) at 1/5,000 dilution for 1 hour at room temperature. The detection was performed using an HRP conjugated compact polymer system. DAB was used as the chromogen. Tissues were counterstained with hematoxylin and mounted with DPX.
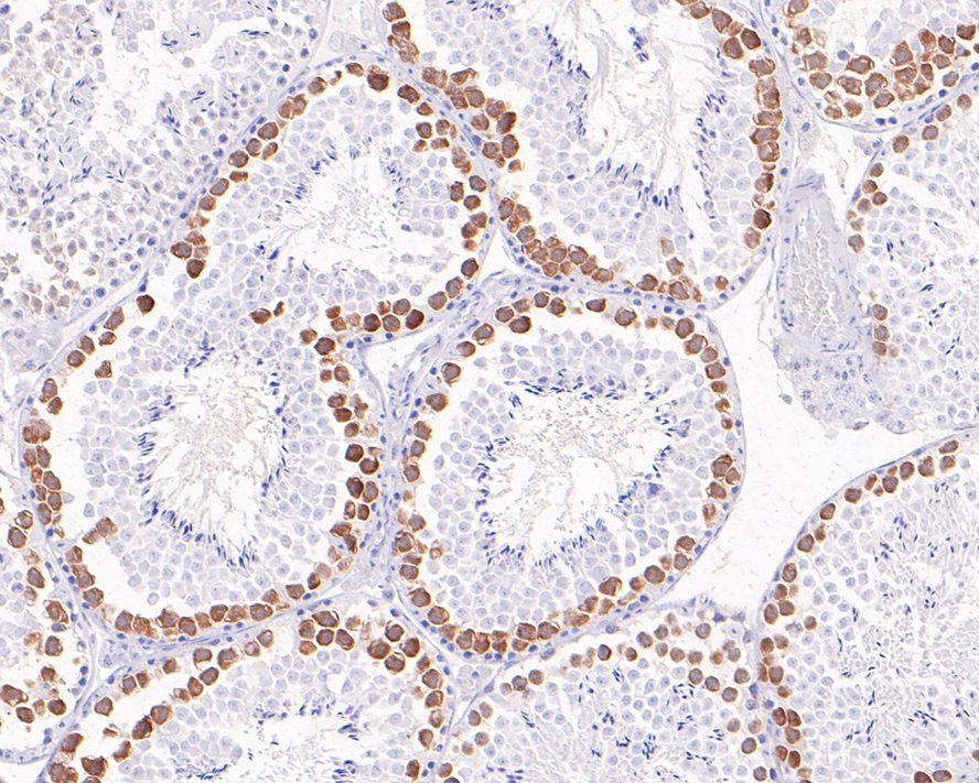
ET1607-51_6.jpg Fig6: Immunohistochemical analysis of paraffin-embedded human testis tissue with Rabbit anti-CDK1 antibody (ET1607-51) at 1/1,000 dilution.

The section was pre-treated using heat mediated antigen retrieval with Tris-EDTA buffer (pH 9.0) for 20 minutes. The tissues were blocked in 1% BSA for 20 minutes at room temperature, washed with ddH2O and PBS, and then probed with the primary antibody (ET1607-51) at 1/1,000 dilution for 1 hour at room temperature. The detection was performed using an HRP conjugated compact polymer system. DAB was used as the chromogen. Tissues were counterstained with hematoxylin and mounted with DPX.
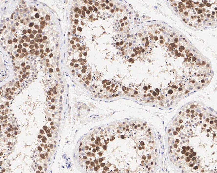
ET1607-51_7.jpg Fig7: Immunohistochemical analysis of paraffin-embedded mouse testis tissue with Rabbit anti-CDK1 antibody (ET1607-51) at 1/1,000 dilution.

The section was pre-treated using heat mediated antigen retrieval with Tris-EDTA buffer (pH 9.0) for 20 minutes. The tissues were blocked in 1% BSA for 20 minutes at room temperature, washed with ddH2O and PBS, and then probed with the primary antibody (ET1607-51) at 1/1,000 dilution for 1 hour at room temperature. The detection was performed using an HRP conjugated compact polymer system. DAB was used as the chromogen. Tissues were counterstained with hematoxylin and mounted with DPX.
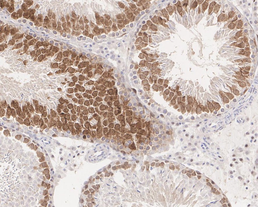
ET1607-51_8.jpg Fig8: Immunohistochemical analysis of paraffin-embedded rat testis tissue with Rabbit anti-CDK1 antibody (ET1607-51) at 1/1,000 dilution.

The section was pre-treated using heat mediated antigen retrieval with Tris-EDTA buffer (pH 9.0) for 20 minutes. The tissues were blocked in 1% BSA for 20 minutes at room temperature, washed with ddH2O and PBS, and then probed with the primary antibody (ET1607-51) at 1/1,000 dilution for 1 hour at room temperature. The detection was performed using an HRP conjugated compact polymer system. DAB was used as the chromogen. Tissues were counterstained with hematoxylin and mounted with DPX.
Note: All products are “FOR RESEARCH USE ONLY AND ARE NOT INTENDED FOR DIAGNOSTIC OR THERAPEUTIC USE”.