GSK3 beta Recombinant Rabbit Monoclonal Antibody [SY28-03]
cat.: ET1607-71
Product Type: Recombinant Rabbit monoclonal IgG, primary antibodies
Species reactivity: Human, Mouse, Rat
Applications: WB, IF-Cell, IF-Tissue, IHC-P, FC, IHC-Fr
Clonality: Monoclonal
Clone number: SY28-03
Form: Liquid
Storage condition: Shipped at 4℃. Store at +4℃ short term (1-2 weeks). It is recommended to aliquot into single-use upon delivery. Store at -20℃ long term.
Storage buffer: 1*TBS (pH7.4), 0.05% BSA, 40% Glycerol. Preservative: 0.05% Sodium Azide.
Concentration: 1ug/ul
Purification: Protein A affinity purified.
Molecular weight: Predicted band size: 47 kDa
Isotype: IgG
Immunogen: Synthetic peptide within human GSK3 beta aa 360-400.
Positive control: HeLa cell lysate, HEK-293 cell lysate, NIH/3T3 cell lysate, PC-12 cell lysate, Jurkat cell lysate, A549 cell lysate, HepG2 cell lysate, MCF7 cell lysate, Hela, C2C12 cell lysate, C6 cell lysate, PC-3M, SKOV-3, human breast tissue, human breast carcinoma tissue, mouse testis tissue, mouse prostate tissue, mouse hippocampus tissue, mouse cerebral cortex tissue.
Subcellular location: Cytoplasm, Nucleus, Cell membrane.
Recommended Dilutions:
  WB
  IF-Cell
  IF-Tissue
  IHC-P
  FC
  IHC-Fr

1:1,000-1:2,000
1:50-1:200
1:50-1:200
1:50-1:1,000
1:50-1:100
1:100
Uniprot #: SwissProt: P49841 Human | Q9WV60 Mouse | P18266 Rat
Alternative names: Glycogen Synthase Kinase 3 Beta Glycogen synthase kinase-3 beta GSK 3 beta GSK-3 beta GSK3B GSK3B_HUMAN GSK3beta isoform Serine/threonine-protein kinase GSK3B
Images
ET1607-71_1.jpg Fig1: Western blot analysis of GSK3 beta on different lysates with Rabbit anti-GSK3 beta antibody (ET1607-71) at 1/1,000 dilution.

Lane 1: HeLa cell lysate
Lane 2: HEK-293 cell lysate
Lane 3: NIH/3T3 cell lysate
Lane 4: PC-12 cell lysate
Lane 5: Jurkat cell lysate
Lane 6: A549 cell lysate
Lane 7: HepG2 cell lysate
Lane 8: MCF7 cell lysate

Lysates/proteins at 15 µg/Lane.

Predicted band size: 47 kDa
Observed band size: 40 kDa

Exposure time: 3 minutes;

4-20% SDS-PAGE gel.

Proteins were transferred to a PVDF membrane and blocked with 5% NFDM/TBST for 1 hour at room temperature. The primary antibody (ET1607-71) at 1/1,000 dilution was used in 5% NFDM/TBST at 4℃ overnight. Goat Anti-Rabbit IgG - HRP Secondary Antibody (HA1001) at 1:100,000 dilution was used for 1 hour at room temperature.
ET1607-71_2.jpg Fig2: ICC staining of GSK3 beta in Hela cells (green). Formalin fixed cells were permeabilized with 0.1% Triton X-100 in TBS for 10 minutes at room temperature and blocked with 1% Blocker BSA for 15 minutes at room temperature. Cells were probed with the primary antibody (ET1607-71, 1/50) for 1 hour at room temperature, washed with PBS. Alexa Fluor®488 Goat anti-Rabbit IgG was used as the secondary antibody at 1/1,000 dilution. The nuclear counter stain is DAPI (blue).
ET1607-71_3.jpg Fig3: Western blot analysis of GSK3 beta on different lysates with Rabbit anti-GSK3 beta antibody (ET1607-71) at 1/1,000 dilution.

Lane 1: HeLa cell lysate
Lane 2: HEK-293 cell lysate
Lane 3: A549 cell lysate
Lane 4: HepG2 cell lysate
Lane 5: C2C12 cell lysate
Lane 6: C6 cell lysate

Lysates/proteins at 15 µg/Lane.

Predicted band size: 47 kDa
Observed band size: 40 kDa

Exposure time: 3 minutes 20 seconds;

4-20% SDS-PAGE gel.

Proteins were transferred to a PVDF membrane and blocked with 5% NFDM/TBST for 1 hour at room temperature. The primary antibody (ET1607-71) at 1/1,000 dilution was used in 5% NFDM/TBST at 4℃ overnight. Goat Anti-Rabbit IgG - HRP Secondary Antibody (HA1001) at 1/50,000 dilution was used for 1 hour at room temperature.
ET1607-71_4.jpg Fig4: ICC staining of GSK3 beta in PC-3M cells (green). Formalin fixed cells were permeabilized with 0.1% Triton X-100 in TBS for 10 minutes at room temperature and blocked with 1% Blocker BSA for 15 minutes at room temperature. Cells were probed with the primary antibody (ET1607-71, 1/50) for 1 hour at room temperature, washed with PBS. Alexa Fluor®488 Goat anti-Rabbit IgG was used as the secondary antibody at 1/1,000 dilution. The nuclear counter stain is DAPI (blue).
ET1607-71_5.jpg Fig5: ICC staining of GSK3 beta in SKOV-3 cells (green). Formalin fixed cells were permeabilized with 0.1% Triton X-100 in TBS for 10 minutes at room temperature and blocked with 1% Blocker BSA for 15 minutes at room temperature. Cells were probed with the primary antibody (ET1607-71, 1/50) for 1 hour at room temperature, washed with PBS. Alexa Fluor®488 Goat anti-Rabbit IgG was used as the secondary antibody at 1/1,000 dilution. The nuclear counter stain is DAPI (blue).
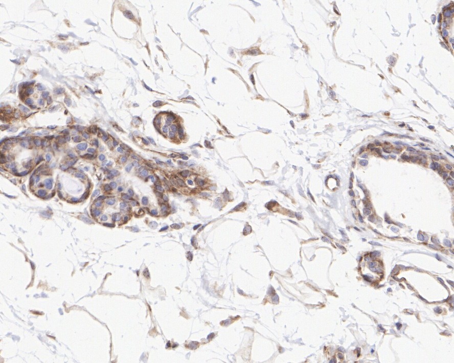
ET1607-71_6.jpg Fig6: Immunohistochemical analysis of paraffin-embedded human breast tissue with Rabbit anti-GSK3 beta antibody (ET1607-71) at 1/200 dilution.

The section was pre-treated using heat mediated antigen retrieval with sodium citrate buffer (pH 6.0) for 2 minutes. The tissues were blocked in 1% BSA for 20 minutes at room temperature, washed with ddH2O and PBS, and then probed with the primary antibody (ET1607-71) at 1/200 dilution for 1 hour at room temperature. The detection was performed using an HRP conjugated compact polymer system. DAB was used as the chromogen. Tissues were counterstained with hematoxylin and mounted with DPX.
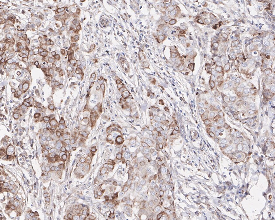
ET1607-71_7.jpg Fig7: Immunohistochemical analysis of paraffin-embedded human breast carcinoma tissue with Rabbit anti-GSK3 beta antibody (ET1607-71) at 1/200 dilution.

The section was pre-treated using heat mediated antigen retrieval with sodium citrate buffer (pH 6.0) for 2 minutes. The tissues were blocked in 1% BSA for 20 minutes at room temperature, washed with ddH2O and PBS, and then probed with the primary antibody (ET1607-71) at 1/200 dilution for 1 hour at room temperature. The detection was performed using an HRP conjugated compact polymer system. DAB was used as the chromogen. Tissues were counterstained with hematoxylin and mounted with DPX.
ET1607-71_8.jpg Fig8: Immunohistochemical analysis of paraffin-embedded mouse testis tissue using anti-GSK3 beta antibody. The section was pre-treated using heat mediated antigen retrieval with Tris-EDTA buffer (pH 8.0-8.4) for 20 minutes.The tissues were blocked in 5% BSA for 30 minutes at room temperature, washed with ddH2O and PBS, and then probed with the primary antibody (ET1607-71, 1/50) for 30 minutes at room temperature. The detection was performed using an HRP conjugated compact polymer system. DAB was used as the chromogen. Tissues were counterstained with hematoxylin and mounted with DPX.
ET1607-71_9.jpg Fig9: Immunohistochemical analysis of paraffin-embedded mouse prostate tissue using anti-GSK3 beta antibody. The section was pre-treated using heat mediated antigen retrieval with Tris-EDTA buffer (pH 8.0-8.4) for 20 minutes.The tissues were blocked in 5% BSA for 30 minutes at room temperature, washed with ddH2O and PBS, and then probed with the primary antibody (ET1607-71, 1/50) for 30 minutes at room temperature. The detection was performed using an HRP conjugated compact polymer system. DAB was used as the chromogen. Tissues were counterstained with hematoxylin and mounted with DPX.
ET1607-71_10.jpg Fig10: Flow cytometric analysis of GSK3 beta was done on Hela cells. The cells were fixed, permeabilized and stained with the primary antibody (ET1607-71, 1/50) (blue). After incubation of the primary antibody at room temperature for an hour, the cells were stained with a Alexa Fluor 488-conjugated Goat anti-Rabbit IgG Secondary antibody at 1/1,000 dilution for 30 minutes.Unlabelled sample was used as a control (cells without incubation with primary antibody; red).
ET1607-71_11.jpg Fig11: Immunofluorescence analysis of frozen mouse hippocampus tissue labeling GSK3 beta with Rabbit anti-GSK3 beta antibody (ET1607-71).
The tissues were blocked in 3% BSA for 30 minutes at room temperature, washed with PBS, and then probed with the primary antibody (ET1607-71, green) at 1/100 dilution overnight at 4℃, washed with PBS. Goat Anti-Rabbit IgG H&L (Alexa Fluor® 488) was used as the secondary antibody at 1/200 dilution. Nuclei were counterstained with DAPI (blue). Image acquisition was performed with KFBIO KF-FL-400 Scanner.
ET1607-71_12.jpg Fig12: Immunofluorescence analysis of frozen mouse cerebral cortex tissue labeling GSK3 beta with Rabbit anti-GSK3 beta antibody (ET1607-71).
The tissues were blocked in 3% BSA for 30 minutes at room temperature, washed with PBS, and then probed with the primary antibody (ET1607-71, green) at 1/100 dilution overnight at 4℃, washed with PBS. Goat Anti-Rabbit IgG H&L (Alexa Fluor® 488) was used as the secondary antibody at 1/200 dilution. Nuclei were counterstained with DAPI (blue). Image acquisition was performed with KFBIO KF-FL-400 Scanner.
ET1607-71_13.jpg Fig13: Immunohistochemical analysis of paraffin-embedded mouse brain tissue with Rabbit anti-GSK3 beta antibody (ET1607-71) at 1/1,000 dilution.

The section was pre-treated using heat mediated antigen retrieval with Tris-EDTA buffer (pH 9.0) for 20 minutes. The tissues were blocked in 1% BSA for 20 minutes at room temperature, washed with ddH2O and PBS, and then probed with the primary antibody (ET1607-71) at 1/1,000 dilution for 1 hour at room temperature. The detection was performed using an HRP conjugated compact polymer system. DAB was used as the chromogen. Tissues were counterstained with hematoxylin and mounted with DPX.
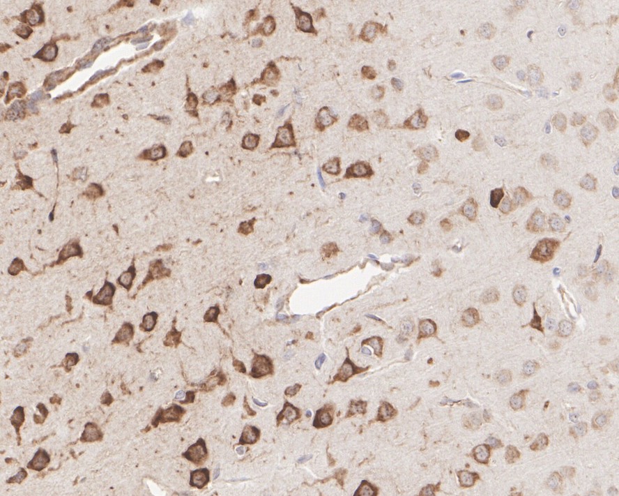
ET1607-71_14.jpg Fig14: Immunohistochemical analysis of paraffin-embedded rat brain tissue with Rabbit anti-GSK3 beta antibody (ET1607-71) at 1/1,000 dilution.

The section was pre-treated using heat mediated antigen retrieval with Tris-EDTA buffer (pH 9.0) for 20 minutes. The tissues were blocked in 1% BSA for 20 minutes at room temperature, washed with ddH2O and PBS, and then probed with the primary antibody (ET1607-71) at 1/1,000 dilution for 1 hour at room temperature. The detection was performed using an HRP conjugated compact polymer system. DAB was used as the chromogen. Tissues were counterstained with hematoxylin and mounted with DPX.
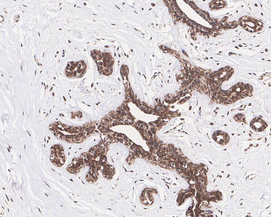
ET1607-71_15.jpg Fig15: Immunohistochemical analysis of paraffin-embedded rat breast tissue with Rabbit anti-GSK3 beta antibody (ET1607-71) at 1/1,000 dilution.

The section was pre-treated using heat mediated antigen retrieval with Tris-EDTA buffer (pH 9.0) for 20 minutes. The tissues were blocked in 1% BSA for 20 minutes at room temperature, washed with ddH2O and PBS, and then probed with the primary antibody (ET1607-71) at 1/1,000 dilution for 1 hour at room temperature. The detection was performed using an HRP conjugated compact polymer system. DAB was used as the chromogen. Tissues were counterstained with hematoxylin and mounted with DPX.
ET1607-71_16.jpg Fig16: Immunofluorescence analysis of paraffin-embedded mouse hippocampus tissue labeling GSK3 beta with Rabbit anti-GSK3 beta antibody (ET1607-71) at 1/200 dilution.

The section was pre-treated using heat mediated antigen retrieval with Tris-EDTA buffer (pH 9.0) for 20 minutes. The tissues were blocked in 10% negative goat serum for 1 hour at room temperature, washed with PBS, and then probed with the primary antibody (ET1607-71, green) at 1/200 dilution overnight at 4 ℃, washed with PBS. Goat Anti-Rabbit IgG H&L (iFluor™ 488, HA1121) was used as the secondary antibody at 1/1,000 dilution. Nuclei were counterstained with DAPI (blue).
ET1607-71_17.jpg Fig17: Western blot analysis of GSK3 beta on different lysates with Rabbit anti-GSK3 beta antibody (ET1607-71) at 1/1,000 dilution.

Lane 1: HCT 116-si NT cell lysate
Lane 2: HCT 116-si GSK3 beta cell lysate

Lysates/proteins at 10 µg/Lane.

Predicted band size: 47 kDa
Observed band size: 40 kDa

Exposure time: 5 seconds; ECL: K1801;

4-20% SDS-PAGE gel.

Proteins were transferred to a PVDF membrane and blocked with 5% NFDM/TBST for 1 hour at room temperature. The primary antibody (ET1607-71) at 1/1,000 dilution was used in 5% NFDM/TBST at 4℃ overnight. Goat Anti-Rabbit IgG - HRP Secondary Antibody (HA1001) at 1/50,000 dilution was used for 1 hour at room temperature.
Note: All products are “FOR RESEARCH USE ONLY AND ARE NOT INTENDED FOR DIAGNOSTIC OR THERAPEUTIC USE”.