Cytokeratin 8 Recombinant Rabbit Monoclonal Antibody [SU0338]
cat.: ET1608-32
Product Type: Recombinant Rabbit monoclonal IgG, primary antibodies
Species reactivity: Human, Mouse, Rat
Applications: WB, IF-Cell, IF-Tissue, IHC-P, IP, FC
Clonality: Monoclonal
Clone number: SU0338
Form: Liquid
Storage condition: Shipped at 4℃. Store at +4℃ short term (1-2 weeks). It is recommended to aliquot into single-use upon delivery. Store at -20℃ long term.
Storage buffer: 1*TBS (pH7.4), 0.05% BSA, 40% Glycerol. Preservative: 0.05% Sodium Azide.
Concentration: 1ug/ul
Purification: Protein A affinity purified.
Molecular weight: Predicted band size: 54 kDa
Isotype: IgG
Immunogen: Synthetic peptide within Human Cytokeratin 8 aa 321-370 / 483.
Positive control: HeLa cell lysate, A549 cell lysate, A431 cell lysate, human breast carcinoma tissue, human breast tissue, human liver tissue, mouse liver tissue, rat liver tissue, SK-Br-3, HepG2.
Subcellular location: Nucleoplasm, Nucleus matrix, Cytoplasm.
Recommended Dilutions:
  WB
  IF-Cell
  IF-Tissue
  IHC-P
  FC
  IP

1:1,000-1:2,000
1:400-1:800
1:400-1:800
1:1,000-1:1,500
1:500-1:1,000
Use at an assay dependent concentration.
Uniprot #: SwissProt: P05787 Human | P11679 Mouse | Q10758 Rat
Alternative names: CARD2 Cell proliferation inducing gene 46 protein Cell proliferation inducing protein 46 CK 8 CK-8 CK8 CYK8 Cytokeratin 8 Cytokeratin-8 K2C8 K2C8_HUMAN K8 Keratin 8 Keratin keratin type II cytoskeletal 8 Keratin-8 KRT8 type II cytoskeletal 8 Type-II keratin Kb8
Images
ET1608-32_1.jpg Fig1: Western blot analysis of Cytokeratin 8 on different lysates with Rabbit anti-Cytokeratin 8 antibody (ET1608-32) at 1/2,000 dilution.

Lane 1: HeLa cell lysate
Lane 2: A549 cell lysate
Lane 3: A431 cell lysate

Lysates/proteins at 20 µg/Lane.

Predicted band size: 54 kDa
Observed band size: 54 kDa

Exposure time: 24 seconds; ECL: K1801;

4-20% SDS-PAGE gel.

Proteins were transferred to a PVDF membrane and blocked with 5% NFDM/TBST for 1 hour at room temperature. The primary antibody (ET1608-32) at 1/2,000 dilution was used in 5% NFDM/TBST at 4℃ overnight. Goat Anti-Rabbit IgG - HRP Secondary Antibody (HA1001) at 1/50,000 dilution was used for 1 hour at room temperature.
ET1608-32_2.jpg Fig2: Western blot analysis of Cytokeratin 8 on different lysates with Rabbit anti-Cytokeratin 8 antibody (ET1608-32) at 1/2,000 dilution.

Lane 1: Hela-si NT cell lysate (10 µg/Lane)
Lane 2: Hela-si Cytokeratin 8 cell lysate (10 µg/Lane)

Predicted band size: 54 kDa
Observed band size: 54 kDa

Exposure time: 24 seconds;
4-20% SDS-PAGE gel.

ET1608-32 was shown to specifically react with Cytokeratin 8 in Hela-si NT cells. Weakened band was observed when Hela-si Cytokeratin 8 sample was tested. Hela-si NT and Hela-si Cytokeratin 8 samples were subjected to SDS-PAGE. Proteins were transferred to a PVDF membrane and blocked with 5% NFDM in TBST for 1 hour at room temperature. The primary antibody (ET1608-32, 1/2,000) and Loading control antibody (Rabbit anti-GAPDH, ET1601-4, 1/10,000) were used in 5% NFDM/TBST at 4℃ overnight. Goat Anti-rabbit IgG-HRP Secondary Antibody (HA1001) at 1:50,000 dilution was used for 1 hour at room temperature.
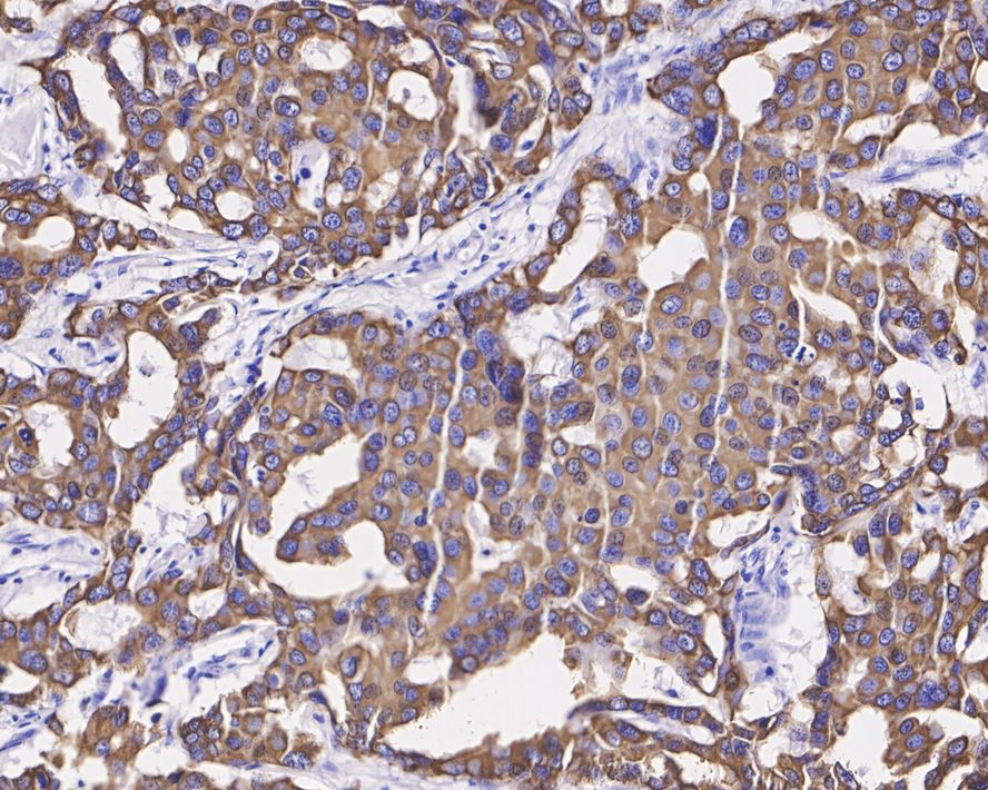
ET1608-32_3.jpg Fig3: Immunohistochemical analysis of paraffin-embedded human breast carcinoma tissue with Rabbit anti-Cytokeratin 8 antibody (ET1608-32) at 1/1,500 dilution.

The section was pre-treated using heat mediated antigen retrieval with Tris-EDTA buffer (pH 9.0) for 20 minutes. The tissues were blocked in 1% BSA for 20 minutes at room temperature, washed with ddH2O and PBS, and then probed with the primary antibody (ET1608-32) at 1/1,500 dilution for 1 hour at room temperature. The detection was performed using an HRP conjugated compact polymer system. DAB was used as the chromogen. Tissues were counterstained with hematoxylin and mounted with DPX.
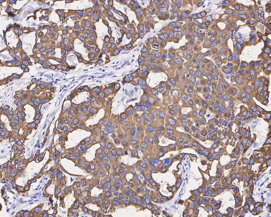
ET1608-32_4.jpg Fig4: Immunohistochemical analysis of paraffin-embedded human breast carcinoma tissue with Rabbit anti-Cytokeratin 8 antibody (ET1608-32) at 1/1,500 dilution.

The section was not undergone antigen retrieval. The tissues were blocked in 1% BSA for 20 minutes at room temperature, washed with ddH2O and PBS, and then probed with the primary antibody (ET1608-32) at 1/1,500 dilution for 1 hour at room temperature. The detection was performed using an HRP conjugated compact polymer system. DAB was used as the chromogen. Tissues were counterstained with hematoxylin and mounted with DPX.
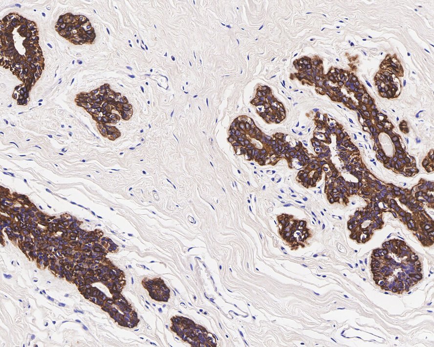
ET1608-32_5.jpg Fig5: Immunohistochemical analysis of paraffin-embedded human breast tissue with Rabbit anti-Cytokeratin 8 antibody (ET1608-32) at 1/1,500 dilution.

The section was not undergone antigen retrieval. The tissues were blocked in 1% BSA for 20 minutes at room temperature, washed with ddH2O and PBS, and then probed with the primary antibody (ET1608-32) at 1/1,500 dilution for 1 hour at room temperature. The detection was performed using an HRP conjugated compact polymer system. DAB was used as the chromogen. Tissues were counterstained with hematoxylin and mounted with DPX.
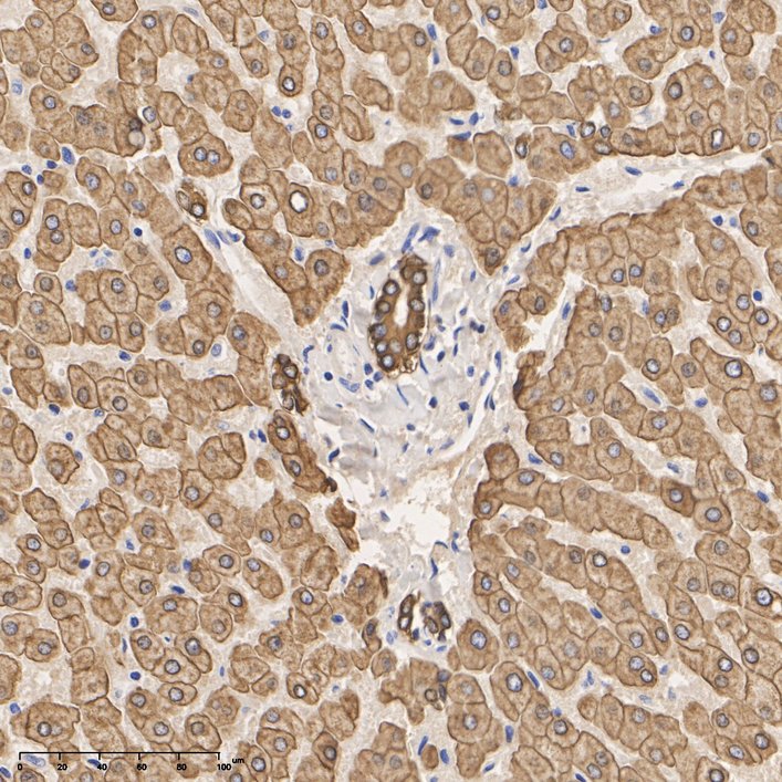
ET1608-32_6.jpg Fig6: Immunohistochemical analysis of paraffin-embedded human liver tissue with Rabbit anti-Cytokeratin 8 antibody (ET1608-32) at 1/1,000 dilution.

The section was pre-treated using heat mediated antigen retrieval with Tris-EDTA buffer (pH 9.0) for 20 minutes. The tissues were blocked in 1% BSA for 20 minutes at room temperature, washed with ddH2O and PBS, and then probed with the primary antibody (ET1608-32) at 1/1,000 dilution for 1 hour at room temperature. The detection was performed using an HRP conjugated compact polymer system. DAB was used as the chromogen. Tissues were counterstained with hematoxylin and mounted with DPX.
ET1608-32_7.jpg Fig7: Immunohistochemical analysis of paraffin-embedded mouse liver tissue with Rabbit anti-Cytokeratin 8 antibody (ET1608-32) at 1/1,000 dilution.

The section was pre-treated using heat mediated antigen retrieval with Tris-EDTA buffer (pH 9.0) for 20 minutes. The tissues were blocked in 1% BSA for 20 minutes at room temperature, washed with ddH2O and PBS, and then probed with the primary antibody (ET1608-32) at 1/1,000 dilution for 1 hour at room temperature. The detection was performed using an HRP conjugated compact polymer system. DAB was used as the chromogen. Tissues were counterstained with hematoxylin and mounted with DPX.
ET1608-32_8.jpg Fig8: Immunohistochemical analysis of paraffin-embedded rat liver tissue with Rabbit anti-Cytokeratin 8 antibody (ET1608-32) at 1/1,000 dilution.

The section was pre-treated using heat mediated antigen retrieval with Tris-EDTA buffer (pH 9.0) for 20 minutes. The tissues were blocked in 1% BSA for 20 minutes at room temperature, washed with ddH2O and PBS, and then probed with the primary antibody (ET1608-32) at 1/1,000 dilution for 1 hour at room temperature. The detection was performed using an HRP conjugated compact polymer system. DAB was used as the chromogen. Tissues were counterstained with hematoxylin and mounted with DPX.
ET1608-32_9.jpg Fig9: Immunofluorescence analysis of paraffin-embedded human breast tissue labeling Cytokeratin 8 (ET1608-32).

The section was pre-treated using heat mediated antigen retrieval with Tris-EDTA buffer (pH 9.0) for 20 minutes. The tissues were blocked in 10% negative goat serum for 1 hour at room temperature, washed with PBS. And then probed with the primary antibodies Cytokeratin 8 (ET1608-32, red) at 1/400 dilution at +4℃ overnight, washed with PBS.

Goat Anti-Rabbit IgG H&L (iFluor™ 594, HA1122) was used as the secondary antibodies at 1/1,000 dilution. Nuclei were counterstained with DAPI (blue).
ET1608-32_10.jpg Fig10: Immunofluorescence analysis of paraffin-embedded human liver tissue labeling Cytokeratin 8 (ET1608-32) and Vimentin (EM0401).

The section was pre-treated using heat mediated antigen retrieval with Tris-EDTA buffer (pH 9.0) for 20 minutes. The tissues were blocked in 10% negative goat serum for 1 hour at room temperature, washed with PBS. And then probed with the primary antibodies Cytokeratin 8 (ET1608-32, red) at 1/50 dilution and Vimentin (EM0401, green) at 1/500 dilution at +4℃ overnight, washed with PBS.

Goat Anti-Rabbit IgG H&L (iFluor™ 594, HA1122) and Goat Anti-Mouse IgG H&L (iFluor™ 488, HA1125) were used as the secondary antibodies at 1/1,000 dilution. Nuclei were counterstained with DAPI (blue).
ET1608-32_11.jpg Fig11: Immunocytochemistry analysis of SK-Br-3 cells labeling Cytokeratin 8 (ET1608-32).

Cells were fixed in 4% paraformaldehyde and permeabilized with 0.05% Triton X-100 in PBS for 10 minutes, and then blocked with 2% negative goat serum for 15 minutes at room temperature. Cells were probed with the primary antibody Cytokeratin 8 (ET1608-32, red) at 1/50 dilution and Beta-tubulin (EM0103, yellow) at 1/500 dilution at +4℃ overnight.

Goat Anti-Rabbit IgG H&L (iFluor™ 594, HA1122) and Goat Anti-Mouse IgG H&L (iFluor™ 488, HA1125) were used as the secondary antibodies at 1/1,000 dilution. Nuclei were counterstained with DAPI (blue).
ET1608-32_12.jpg Fig12: Flow cytometric analysis of HepG2 cells labeling Cytokeratin 8.

Cells were fixed and permeabilized. Then stained with the primary antibody (ET1608-32, 1ug/ml) (red) compared with Rabbit IgG Isotype Control (green). After incubation of the primary antibody at +4℃ for an hour, the cells were stained with a iFluor™ 488 conjugate-Goat anti-Rabbit IgG Secondary antibody (HA1121) at 1/1,000 dilution for 30 minutes at +4℃. Unlabelled sample was used as a control (cells without incubation with primary antibody; black).
ET1608-32_13.jpg Fig13: Cytokeratin 8 was immunoprecipitated in 0.2mg HeLa cell lysate with ET1608-32 at 2 µg/10 µl beads. Western blot was performed from the immunoprecipitate using ET1608-32 at 1/2,000 dilution. Anti-Rabbit IgG for IP Nano-secondary antibody (NBI01H) at 1/5,000 dilution was used for 1 hour at room temperature.

Lane 1: HeLa cell lysate (input)
Lane 2: Rabbit IgG instead of ET1608-32 in HeLa cell lysate
Lane 3: ET1608-32 IP in HeLa cell lysate

Blocking/Dilution buffer: 5% NFDM/TBST
Exposure time: 43 seconds
ET1608-32_14.jpg Fig14: Immunocytochemistry analysis of HepG2 cells labeling Cytokeratin 8 with Rabbit anti-Cytokeratin 8 antibody (ET1608-32) at 1/100 dilution.

Cells were fixed in 4% paraformaldehyde for 20 minutes at room temperature, permeabilized with 0.1% Triton X-100 in PBS for 5 minutes at room temperature, then blocked with 1% BSA in 10% negative goat serum for 1 hour at room temperature. Cells were then incubated with Rabbit anti-Cytokeratin 8 antibody (ET1608-32) at 1/100 dilution in 1% BSA in PBST overnight at 4 ℃. Goat Anti-Rabbit IgG H&L (iFluor™ 488, HA1121) was used as the secondary antibody at 1/1,000 dilution. PBS instead of the primary antibody was used as the secondary antibody only control. Nuclear DNA was labelled in blue with DAPI.

Beta tubulin (M1305-2, red) was stained at 1/100 dilution overnight at +4℃. Goat Anti-Mouse IgG H&L (iFluor™ 594, HA1126) was used as the secondary antibody at 1/1,000 dilution.
Note: All products are “FOR RESEARCH USE ONLY AND ARE NOT INTENDED FOR DIAGNOSTIC OR THERAPEUTIC USE”.