AMPK alpha 1 Recombinant Rabbit Monoclonal Antibody [SU03-48]
cat.: ET1608-40
Product Type: Recombinant Rabbit monoclonal IgG, primary antibodies
Species reactivity: Human, Mouse, Rat
Applications: WB, IF-Cell, IF-Tissue, FC, IP, IHC-Fr, IHC-P
Clonality: Monoclonal
Clone number: SU03-48
Form: Liquid
Storage condition: Shipped at 4℃. Store at +4℃ short term (1-2 weeks). It is recommended to aliquot into single-use upon delivery. Store at -20℃ long term.
Storage buffer: 1*TBS (pH7.4), 0.05% BSA, 40% Glycerol. Preservative: 0.05% Sodium Azide.
Concentration: 1ug/ul
Purification: Protein A affinity purified.
Molecular weight: Predicted band size: 64 kDa
Isotype: IgG
Immunogen: Synthetic peptide within Human AMPK alpha aa 501-550 / 559.
Positive control: HeLa cell lysate, MCF7 cell lysate, K-562 cell lysate, 293T cell lysate, HT-29 cell lysate, L-929 cell lysate, C6 cell lysate, 4T1 cell lysate, Neuro-2a cell lysate, RAW264.7 cell lysate, HeLa, L-929, human lung cancer tissue.
Subcellular location: Cytoplasm, Nucleus.
Recommended Dilutions:
  WB
  IF-Cell
  IF-Tissue
  FC
  IP
  IHC-Fr
  IHC-P

1:1,000-1:5,000
1:100-1:250
1:50-1:200
1:1,000
Use at an assay dependent concentration.
1:100
1:1,000
Uniprot #: SwissProt: Q13131 Human | Q5EG47 Mouse | P54645 Rat
Alternative names: 5 AMP activated protein kinase alpha 1catalytic subunit 5 AMP activated protein kinase catalytic alpha 1 chain 5' AMP activated protein kinase catalytic subunit alpha 1 5'-AMP-activated protein kinase catalytic subunit alpha-1 AAPK1 AAPK1_HUMAN ACACA kinase acetyl CoA carboxylase kinase AI194361 AI450832 AL024255 AMP -activate kinase alpha 1 subunit AMP-activated protein kinase, catalytic, alpha -1 AMPK 1 AMPK alpha 1 AMPK alpha 1 chain AMPK AMPK subunit alpha-1 AMPK1 AMPKa1 AMPKalpha1 C130083N04Rik cb116 EC 2.7.11.1 HMG CoA reductase kinase HMGCR kinase hormone sensitive lipase kinase Hydroxymethylglutaryl CoA reductase kinase im:7154392 kinase AMPK alpha1 MGC33776 MGC57364 OTTHUMP00000161795 OTTHUMP00000161796 PRKAA 1 PRKAA1 Protein kinase AMP activated alpha 1 catalytic subunit SNF1-like protein AMPK SNF1A Tau protein kinase PRKAA1 wu:fa94c10
Images
ET1608-40_1.jpg Fig1: Western blot analysis of AMPK alpha 1 on different lysates with Rabbit anti-AMPK alpha 1 antibody (ET1608-40) at 1/5,000 dilution and competitor's antibody at 1/2,000 dilution.

Lane 1: HeLa cell lysate (20 µg/Lane)
Lane 2: MCF7 cell lysate (20 µg/Lane)
Lane 3: K-562 cell lysate (20 µg/Lane)
Lane 4: 293T cell lysate (20 µg/Lane)
Lane 5: HT-29 cell lysate (20 µg/Lane)
Lane 6: L-929 cell lysate (20 µg/Lane)
Lane 7: C6 cell lysate (20 µg/Lane)

Predicted band size: 64 kDa
Observed band size: 64 kDa

Exposure time: 1 minute 10 seconds; ECL: K1802;
4-20% SDS-PAGE gel.

Proteins were transferred to a PVDF membrane and blocked with 5% NFDM/TBST for 1 hour at room temperature. The primary antibody (ET1608-40) at 1/5,000 dilution and competitor's antibody at 1/2,000 dilution were used in 5% NFDM/TBST at 4℃ overnight. Goat Anti-Rabbit IgG - HRP Secondary Antibody (HA1001) at 1/50,000 dilution was used for 1 hour at room temperature.
ET1608-40_2.jpg Fig2: Western blot analysis of AMPK alpha 1 on different lysates with Rabbit anti-AMPK alpha 1 antibody (ET1608-40) at 1/1,000 dilution.

Lane 1: 4T1 cell lysate (20 µg/Lane)
Lane 2: Neuro-2a cell lysate (20 µg/Lane)
Lane 3: RAW264.7 cell lysate (20 µg/Lane)
Lane 4: C6 cell lysate (20 µg/Lane)

Predicted band size: 64 kDa
Observed band size: 64 kDa

Exposure time: 59 seconds; ECL: K1801;
4-20% SDS-PAGE gel.

Proteins were transferred to a PVDF membrane and blocked with 5% NFDM/TBST for 1 hour at room temperature. The primary antibody (ET1608-40) at 1/1,000 dilution was used in 5% NFDM/TBST at 4℃ overnight. Goat Anti-Rabbit IgG - HRP Secondary Antibody (HA1001) at 1/50,000 dilution was used for 1 hour at room temperature.
ET1608-40_3.jpg Fig3: Western blot analysis of AMPK α with anti-AMPK alpha 1 antibody [SU03-48] (ET1608-40) at 1/5,000 dilution.
Lane 1: Wild-type 293T whole cell lysate (20 µg).
Lane 2: AMPK α knockout 293T whole cell lysate (20 µg).

Proteins were transferred to a PVDF membrane and blocked with 5% NFDM in TBST for 1 hour at room temperature. The primary Anti-AMPK alpha 1 antibody (ET1608-40, 1/5,000) and Anti-HSP90 antibody (ET1605-56, 1/10,000) were used in 5% BSA at room temperature for 2 hours. Goat Anti-Rabbit IgG H&L (HRP) Secondary Antibody (HA1001) at 1/50,000 dilution was used for 1 hour at room temperature.
ET1608-40_4.jpg Fig4: Immunocytochemistry analysis of HeLa cells labeling AMPK alpha 1 with Rabbit anti-AMPK alpha 1 antibody (ET1608-40) at 1/250 dilution and competitor's antibody at 1/250 dilution.

Cells were fixed in 4% paraformaldehyde for 20 minutes at room temperature, permeabilized with 0.1% Triton X-100 in PBS for 5 minutes at room temperature, then blocked with 1% BSA in 10% negative goat serum for 1 hour at room temperature. Cells were then incubated with Rabbit anti-AMPK alpha 1 antibody (ET1608-40) at 1/250 dilution and competitor's antibody at 1/250 dilution in 1% BSA in PBST overnight at 4 ℃. Goat Anti-Rabbit IgG H&L (iFluor™ 488, HA1121) was used as the secondary antibody at 1/1,000 dilution. PBS instead of the primary antibody was used as the secondary antibody only control. Nuclear DNA was labelled in blue with DAPI. Beta tubulin (M1305-2, red) was stained at 1/100 dilution overnight at +4℃. Goat Anti-Mouse IgG H&L (iFluor™ 594, HA1126) was used as the secondary antibody at 1/1,000 dilution.
ET1608-40_5.jpg Fig5: Immunocytochemistry analysis of L-929 cells labeling AMPK alpha 1 with Rabbit anti-AMPK alpha 1 antibody (ET1608-40) at 1/100 dilution.

Cells were fixed in 4% paraformaldehyde for 20 minutes at room temperature, permeabilized with 0.1% Triton X-100 in PBS for 5 minutes at room temperature, then blocked with 1% BSA in 10% negative goat serum for 1 hour at room temperature. Cells were then incubated with Rabbit anti-AMPK alpha 1 antibody (ET1608-40) at 1/100 dilution in 1% BSA in PBST overnight at 4 ℃. Goat Anti-Rabbit IgG H&L (iFluor™ 488, HA1121) was used as the secondary antibody at 1/1,000 dilution. PBS instead of the primary antibody was used as the secondary antibody only control. Nuclear DNA was labelled in blue with DAPI. Beta tubulin (M1305-2, red) was stained at 1/100 dilution overnight at +4℃. Goat Anti-Mouse IgG H&L (iFluor™ 594, HA1126) was used as the secondary antibody at 1/1,000 dilution.
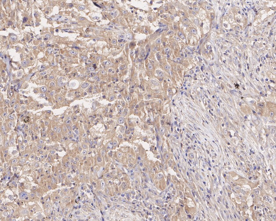
ET1608-40_6.jpg Fig6: Immunohistochemical analysis of paraffin-embedded human lung cancer tissue with Rabbit anti-AMPK alpha 1 antibody (ET1608-40) at 1/1,000 dilution.

The section was pre-treated using heat mediated antigen retrieval with sodium citrate buffer (pH 6.0) for 2 minutes. The tissues were blocked in 1% BSA for 20 minutes at room temperature, washed with ddH2O and PBS, and then probed with the primary antibody (ET1608-40) at 1/1,000 dilution for 1 hour at room temperature. The detection was performed using an HRP conjugated compact polymer system. DAB was used as the chromogen. Tissues were counterstained with hematoxylin and mounted with DPX.
ET1608-40_7.jpg Fig7: Immunofluorescence analysis of frozen mouse hippocampus tissue labeling AMPK alpha 1 with Rabbit anti-AMPK alpha 1 antibody (ET1608-40).

The tissues were blocked in 3% BSA for 30 minutes at room temperature, washed with PBS, and then probed with the primary antibody (ET1608-40, green) at 1/100 dilution overnight at 4℃, washed with PBS. Goat Anti-Rabbit IgG H&L (Alexa Fluor® 488) was used as the secondary antibody at 1/200 dilution. Nuclei were counterstained with DAPI (blue). Image acquisition was performed with KFBIO KF-FL-400 Scanner.
ET1608-40_8.jpg Fig8: Immunofluorescence analysis of frozen mouse cerebral cortex tissue labeling AMPK alpha 1 with Rabbit anti-AMPK alpha 1 antibody (ET1608-40).

The tissues were blocked in 3% BSA for 30 minutes at room temperature, washed with PBS, and then probed with the primary antibody (ET1608-40, green) at 1/100 dilution overnight at 4℃, washed with PBS. Goat Anti-Rabbit IgG H&L (Alexa Fluor® 488) was used as the secondary antibody at 1/200 dilution. Nuclei were counterstained with DAPI (blue). Image acquisition was performed with KFBIO KF-FL-400 Scanner.
ET1608-40_9.jpg Fig9: Flow cytometric analysis of HeLa cells labeling AMPK alpha 1.

Cells were fixed and permeabilized. Then stained with the primary antibody (ET1608-40, 1ug/ml) (red) compared with Rabbit IgG Isotype Control (green). After incubation of the primary antibody at +4℃ for an hour, the cells were stained with a iFluor™ 488 conjugate-Goat anti-Rabbit IgG Secondary antibody (HA1121) at 1/1,000 dilution for 30 minutes at +4℃. Unlabelled sample was used as a control (cells without incubation with primary antibody; black).
Note: All products are “FOR RESEARCH USE ONLY AND ARE NOT INTENDED FOR DIAGNOSTIC OR THERAPEUTIC USE”.