 
	            	| Product Type: | Recombinant Rabbit monoclonal IgG, primary antibodies | 
|---|---|
| Species reactivity: | Human | 
| Applications: | WB, IHC-P, FC, IP, IF-Cell, IF-Tissue | 
| Clonality: | Monoclonal | 
| Clone number: | SU03-59 | 
| Form: | Liquid | 
| Storage condition: | Shipped at 4℃. Store at +4℃ short term (1-2 weeks). It is recommended to aliquot into single-use upon delivery. Store at -20℃ long term. | 
| Storage buffer: | 1*TBS (pH7.4), 0.05% BSA, 40% Glycerol. Preservative: 0.05% Sodium Azide. | 
| Concentration: | 1ug/ul | 
| Purification: | Protein A affinity purified. | 
| Molecular weight: | Predicted band size: 83 kDa | 
| Isotype: | IgG | 
| Immunogen: | Synthetic peptide within Human CD31 aa 689-738 / 738. | 
| Positive control: | THP-1 cell lysate, human tonsil tissue, THP-1. | 
| Subcellular location: | Cell junction. Cell membrane. Membrane. | 
| Recommended Dilutions: WB IHC-P FC IP IF-Cell IF-Tissue | 1:1,000-1:2,000 1:50-1:1,000 1:50-1:100 1-2μg/sample 1:100 1:200 | 
| Uniprot #: | SwissProt: P16284 Human | 
| Alternative names: | Adhesion molecule CD31 CD31 antigen CD31 EndoCAM EndoCAM FLJ34100 FLJ58394 GPIIA GPIIA' PECA1 PECA1_HUMAN Pecam 1 PECAM 1 CD31 EndoCAM PECAM PECAM-1 Pecam1 Platelet and endothelial cell adhesion molecule 1 Platelet endothelial cell adhesion molecule Platelet/endothelial cell adhesion molecule 1 | 
|   | Fig1:
	        				Western blot analysis of CD31 on THP-1 cell lysates with Rabbit anti-CD31 antibody (ET1608-48) at 1/2,000 dilution. Lysates/proteins at 15 µg/Lane. Predicted band size: 83 kDa Observed band size: 130 kDa Exposure time: 20 seconds; 4-20% SDS-PAGE gel. Proteins were transferred to a PVDF membrane and blocked with 5% NFDM/TBST for 1 hour at room temperature. The primary antibody (ET1608-48) at 1/2,000 dilution was used in 5% NFDM/TBST at room temperature for 2 hours. Goat Anti-Rabbit IgG - HRP Secondary Antibody (HA1001) at 1:50,000 dilution was used for 1 hour at room temperature. | 
|   | Fig2:
	        				CD31 was immunoprecipitated in 0.2mg THP-1 cell lysate with ET1608-48 at 2 µg/25 µl agarose. Western blot was performed from the immunoprecipitate using ET1608-48 at 1/1,000 dilution. Anti-Rabbit IgG for IP Nano-secondary antibody (NBI01H) at 1/5,000 dilution was used for 1 hour at room temperature. Lane 1: THP-1 cell lysate (input) Lane 2: Rabbit IgG instead of ET1608-48 in THP-1 cell lysate Lane 3: ET1608-48 IP in THP-1 cell lysate Blocking/Dilution buffer: 5% NFDM/TBST Exposure time: 5 seconds | 
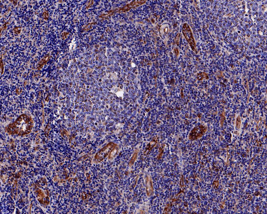
|   | Fig3:
	        				Immunohistochemical analysis of paraffin-embedded human tonsil tissue with Rabbit anti-CD31 antibody (ET1608-48) at 1/1,000 dilution. The section was pre-treated using heat mediated antigen retrieval with Tris-EDTA buffer (pH 9.0) for 20 minutes. The tissues were blocked in 1% BSA for 20 minutes at room temperature, washed with ddH2O and PBS, and then probed with the primary antibody (ET1608-48) at 1/1,000 dilution for 1 hour at room temperature. The detection was performed using an HRP conjugated compact polymer system. DAB was used as the chromogen. Tissues were counterstained with hematoxylin and mounted with DPX. | 
|   | Fig4: Flow cytometric analysis of CD31 was done on THP-1 cells. The cells were fixed, permeabilized and stained with the primary antibody (ET1608-48, 1/50) (blue). After incubation of the primary antibody at room temperature for an hour, the cells were stained with a Alexa Fluor 488-conjugated Goat anti-Rabbit IgG Secondary antibody at 1/1,000 dilution for 30 minutes.Unlabelled sample was used as a control (cells without incubation with primary antibody; red). | 
|   | Fig5:
		        				Immunocytochemistry analysis of THP-1 cells labeling CD31 with Rabbit anti-CD31 antibody (ET1608-48) at 1/100 dilution. Cells were fixed in 4% paraformaldehyde for 20 minutes at room temperature, permeabilized with 0.1% Triton X-100 in PBS for 5 minutes at room temperature, then blocked with 1% BSA in 10% negative goat serum for 1 hour at room temperature. Cells were then incubated with Rabbit anti-CD31 antibody (ET1608-48) at 1/100 dilution in 1% BSA in PBST overnight at 4 ℃. Goat Anti-Rabbit IgG H&L (iFluor™ 488, HA1121) was used as the secondary antibody at 1/1,000 dilution. PBS instead of the primary antibody was used as the secondary antibody only control. Nuclear DNA was labelled in blue with DAPI. Beta tubulin (M1305-2, red) was stained at 1/100 dilution overnight at +4℃. Goat Anti-Mouse IgG H&L (iFluor™ 594, HA1126) was used as the secondary antibody at 1/1,000 dilution. | 
|   | Fig6:
		        				Immunofluorescence analysis of paraffin-embedded human tonsil tissue labeling CD31 with Rabbit anti-CD31 antibody (ET1608-48) at 1/200 dilution. The section was pre-treated using heat mediated antigen retrieval with Tris-EDTA buffer (pH 9.0) for 20 minutes. The tissues were blocked in 10% negative goat serum for 1 hour at room temperature, washed with PBS, and then probed with the primary antibody (ET1608-48, green) at 1/200 dilution overnight at 4 ℃, washed with PBS. Goat Anti-Rabbit IgG H&L (iFluor™ 488, HA1121) was used as the secondary antibody at 1/1,000 dilution. Nuclei were counterstained with DAPI (blue). |