Cathepsin D Recombinant Rabbit Monoclonal Antibody [SU0360]
cat.: ET1608-49
Product Type: Recombinant Rabbit monoclonal IgG, primary antibodies
Species reactivity: Human, Mouse, Rat
Applications: WB, IF-Cell, IHC-P, IP, mIHC
Clonality: Monoclonal
Clone number: SU0360
Form: Liquid
Storage condition: Shipped at 4℃. Store at +4℃ short term (1-2 weeks). It is recommended to aliquot into single-use upon delivery. Store at -20℃ long term.
Storage buffer: 1*TBS (pH7.4), 0.05% BSA, 40% Glycerol. Preservative: 0.05% Sodium Azide.
Concentration: 1ug/ul
Purification: Protein A affinity purified.
Molecular weight: Predicted band size: 45/28 kDa
Isotype: IgG
Immunogen: Synthetic peptide within Human Cathepsin D aa 363-412 / 412.
Positive control: HepG2 cell lysate, MCF7 cell lysate, Neuro-2a cell lysate, Mouse brain tissue lysate, C6 cell lysate, Rat brain tissue lysate, human breast cancer tissue, human pancreas tissue, PANC-1, AGS.
Subcellular location: Extracellular space, Lysosome, Melanosome.
Recommended Dilutions:
  WB
  IF-Cell
  IHC-P
  IP
  mIHC

1:1,000-1:2,000
1:100-1:500
1:3,000
Use at an assay dependent concentration.
1:1,000
Uniprot #: SwissProt: P07339 Human | P18242 Mouse | P24268 Rat
Alternative names: CatD CATD_HUMAN Cathepsin D Cathepsin D heavy chain CD Ceroid lipofuscinosis neuronal 10 CLN10 CPSD ctsd Epididymis secretory sperm binding protein Li 130P HEL S 130P Lysosomal aspartyl peptidase Lysosomal aspartyl protease MGC2311
Images
ET1608-49_1.jpg Fig1: Western blot analysis of Cathepsin D on different lysates with Rabbit anti-Cathepsin D antibody (ET1608-49) at 1/2,000 dilution.

Lane 1: HepG2 cell lysate (15 µg/Lane)
Lane 2: MCF7 cell lysate (15 µg/Lane)
Lane 3: Neuro-2a cell lysate (15 µg/Lane)
Lane 4: Mouse brain tissue lysate (20 µg/Lane)

Predicted band size: 45/28 kDa
Observed band size: 45/28 kDa

Exposure time: 3 minutes; ECL: K1801;

4-20% SDS-PAGE gel.

Proteins were transferred to a PVDF membrane and blocked with 5% NFDM/TBST for 1 hour at room temperature. The primary antibody (ET1608-49) at 1/2,000 dilution was used in 5% NFDM/TBST at 4℃ overnight. Goat Anti-Rabbit IgG - HRP Secondary Antibody (HA1001) at 1/50,000 dilution was used for 1 hour at room temperature.
ET1608-49_2.jpg Fig2: Western blot analysis of Cathepsin D on different lysates with Rabbit anti-Cathepsin D antibody (ET1608-49) at 1/1,000 dilution.

Lane 1: C6 cell lysate (20 µg/Lane)
Lane 2: Mouse brain tissue lysate (20 µg/Lane)
Lane 3: Rat brain tissue lysate (20 µg/Lane)

Predicted band size: 45/28 kDa
Observed band size: 45/28 kDa

Exposure time: 6 seconds; ECL: K1801;

4-20% SDS-PAGE gel.

Proteins were transferred to a PVDF membrane and blocked with 5% NFDM/TBST for 1 hour at room temperature. The primary antibody (ET1608-49) at 1/1,000 dilution was used in 5% NFDM/TBST at 4℃ overnight. Goat Anti-Rabbit IgG - HRP Secondary Antibody (HA1001) at 1/50,000 dilution was used for 1 hour at room temperature.
ET1608-49_3.jpg Fig3: Immunohistochemical analysis of paraffin-embedded human breast cancer tissue with Rabbit anti-Cathepsin D antibody (ET1608-49) at 1/3,000 dilution.

The section was pre-treated using heat mediated antigen retrieval with Tris-EDTA buffer (pH 9.0) for 20 minutes. The tissues were blocked in 1% BSA for 20 minutes at room temperature, washed with ddH2O and PBS, and then probed with the primary antibody (ET1608-49) at 1/3,000 dilution for 1 hour at room temperature. The detection was performed using an HRP conjugated compact polymer system. DAB was used as the chromogen. Tissues were counterstained with hematoxylin and mounted with DPX.
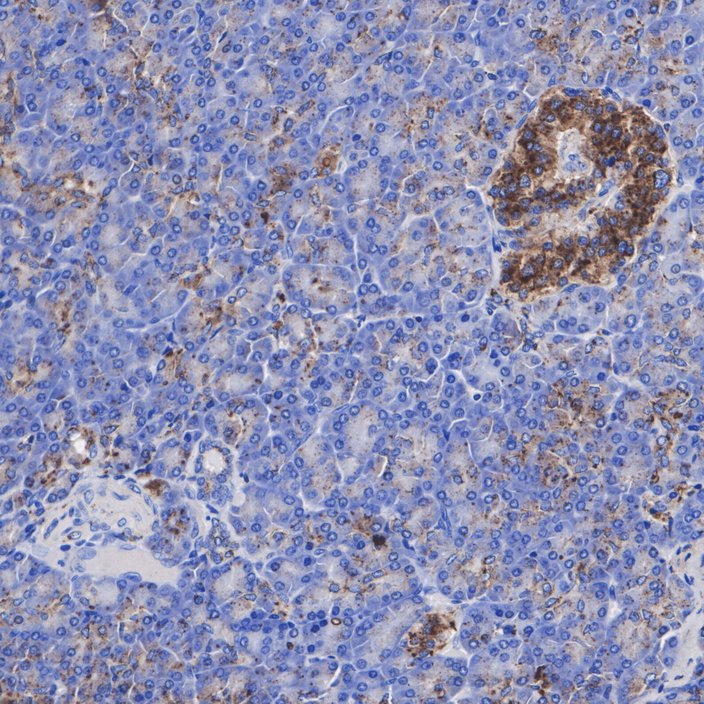
ET1608-49_4.jpg Fig4: Immunohistochemical analysis of paraffin-embedded human pancreas tissue with Rabbit anti-Cathepsin D antibody (ET1608-49) at 1/3,000 dilution.

The section was pre-treated using heat mediated antigen retrieval with Tris-EDTA buffer (pH 9.0) for 20 minutes. The tissues were blocked in 1% BSA for 20 minutes at room temperature, washed with ddH2O and PBS, and then probed with the primary antibody (ET1608-49) at 1/3,000 dilution for 1 hour at room temperature. The detection was performed using an HRP conjugated compact polymer system. DAB was used as the chromogen. Tissues were counterstained with hematoxylin and mounted with DPX.
ET1608-49_5.jpg Fig5: ICC staining of Cathepsin D in PANC-1 cells (green). Formalin fixed cells were permeabilized with 0.1% Triton X-100 in TBS for 10 minutes at room temperature and blocked with 1% Blocker BSA for 15 minutes at room temperature. Cells were probed with the primary antibody (ET1608-49, 1/50) for 1 hour at room temperature, washed with PBS. Alexa Fluor®488 Goat anti-Rabbit IgG was used as the secondary antibody at 1/1,000 dilution. The nuclear counter stain is DAPI (blue).
ET1608-49_6.jpg Fig6: ICC staining of Cathepsin D in AGS cells (green). Formalin fixed cells were permeabilized with 0.1% Triton X-100 in TBS for 10 minutes at room temperature and blocked with 1% Blocker BSA for 15 minutes at room temperature. Cells were probed with the primary antibody (ET1608-49, 1/50) for 1 hour at room temperature, washed with PBS. Alexa Fluor®488 Goat anti-Rabbit IgG was used as the secondary antibody at 1/1,000 dilution. The nuclear counter stain is DAPI (blue).
Note: All products are “FOR RESEARCH USE ONLY AND ARE NOT INTENDED FOR DIAGNOSTIC OR THERAPEUTIC USE”.