Lactate Dehydrogenase Recombinant Rabbit Monoclonal Antibody [SU39-06]
cat.: ET1608-57
Product Type: Recombinant Rabbit monoclonal IgG, primary antibodies
Species reactivity: Human, Mouse, Rat, Zebrafish
Applications: WB, IF-Cell, IF-Tissue, IHC-P, FC, IP
Clonality: Monoclonal
Clone number: SU39-06
Form: Liquid
Storage condition: Shipped at 4℃. Store at +4℃ short term (1-2 weeks). It is recommended to aliquot into single-use upon delivery. Store at -20℃ long term.
Storage buffer: 1*TBS (pH7.4), 0.05% BSA, 40% Glycerol. Preservative: 0.05% Sodium Azide.
Concentration: 1ug/ul
Purification: Protein A affinity purified.
Molecular weight: Predicted band size: 37 kDa
Isotype: IgG
Immunogen: Synthetic peptide within human LDHB aa 270-310.
Positive control: HeLa cell lysate, HEK-293 cell lysate, A549 cell lysate, hybrid fish (crucian-carp) brain tissue lysates, A549, A431, human liver tissue, human liver carcinoma tissue, human breast carcinoma tissue, mouse liver tissue, mouse testis tissue, mouse skeletal muscle tissue, Hela, LOVO.
Subcellular location: Cytoplasm.
Recommended Dilutions:
  WB
  IF-Cell
  IF-Tissue
  IHC-P
  FC
  IP

1:1,000-1:5,000
1:50-1:200
1:50-1:200
1:200-1:2,000
1:50-1:100
Use at an assay dependent concentration.
Uniprot #: SwissProt: P07195 Human | P00338 Human | P16125 Mouse | P06151 Mouse | P42123 Rat | P04642 Rat
Alternative names: Cell proliferation-inducing gene 19 protein GSD11 L lactate dehydrogenase B chain L-lactate dehydrogenase A chain Lactate dehydrogenase A Lactate dehydrogenase B Lactate dehydrogenase H chain Lactate dehydrogenase M LDH A LDH B LDH H LDH heart subunit LDH M LDH muscle subunit LDH-A LDH-M LDH1 ldha LDHA_HUMAN LDHBD LDHM MS1111 PIG19 Proliferation inducing gene 19 Renal carcinoma antigen NY REN 46 Renal carcinoma antigen NY-REN-59 TRG 5 TRG5
Images
ET1608-57_1.jpg Fig1: Western blot analysis of Lactate Dehydrogenase on different lysates with Rabbit anti-Lactate Dehydrogenase antibody (ET1608-57) at 1/5,000 dilution.

Lane 1: HeLa cell lysate (15 µg/Lane)
Lane 2: HEK-293 cell lysate (15 µg/Lane)
Lane 3: A549 cell lysate (15 µg/Lane)

Predicted band size: 37 kDa
Observed band size: 37 kDa

Exposure time: 1 minute 36 seconds;

4-20% SDS-PAGE gel.

Proteins were transferred to a PVDF membrane and blocked with 5% NFDM/TBST for 1 hour at room temperature. The primary antibody (ET1608-57) at 1/5,000 dilution was used in 5% NFDM/TBST at 4℃ overnight. Goat Anti-Rabbit IgG - HRP Secondary Antibody (HA1001) at 1:50,000 dilution was used for 1 hour at room temperature.
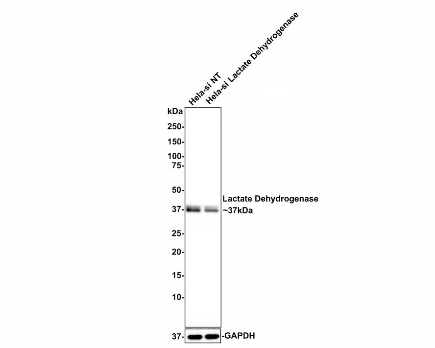
ET1608-57_2.jpg Fig2: Western blot analysis of Lactate Dehydrogenase on different lysates with Rabbit anti-Lactate Dehydrogenase antibody (ET1608-57) at 1/1,000 dilution.

Lane 1: Hela-si NT cell lysate (10 µg/Lane)
Lane 2: Hela-si Lactate Dehydrogenase cell lysate (10 µg/Lane)

Predicted band size: 37 kDa
Observed band size: 37 kDa

Exposure time: 25 seconds;

4-20% SDS-PAGE gel.

ET1608-57 was shown to specifically react with Lactate Dehydrogenase in Hela-si NT cells. Weakened band was observed when Hela-si Lactate Dehydrogenase sample was tested. Hela-si NT and Hela-si Lactate Dehydrogenase samples were subjected to SDS-PAGE. Proteins were transferred to a PVDF membrane and blocked with 5% NFDM in TBST for 1 hour at room temperature. The primary antibody (ET1608-57, 1/1,000) and Loading control antibody (Rabbit anti-GAPDH, ET1601-4, 1/10,000) were used in 5% BSA at room temperature for 2 hours. Goat Anti-rabbit IgG-HRP Secondary Antibody (HA1001) at 1:100,000 dilution was used for 1 hour at room temperature.
ET1608-57_3.jpg Fig3: Western blot analysis of Lactate Dehydrogenase on hybrid fish (crucian-carp) brain tissue lysates. Proteins were transferred to a PVDF membrane and blocked with 5% BSA in PBS for 1 hour at room temperature. The primary antibody (ET1608-57, 1/500) was used in 5% BSA at room temperature for 2 hours. Goat Anti-Rabbit IgG - HRP Secondary Antibody (HA1001) at 1:200,000 dilution was used for 1 hour at room temperature.
ET1608-57_4.jpg Fig4: ICC staining of Lactate Dehydrogenase in A549 cells (green). Formalin fixed cells were permeabilized with 0.1% Triton X-100 in TBS for 10 minutes at room temperature and blocked with 10% negative goat serum for 15 minutes at room temperature. Cells were probed with the primary antibody (ET1608-57, 1/50) for 1 hour at room temperature, washed with PBS. Alexa Fluor®488 conjugate-Goat anti-Rabbit IgG was used as the secondary antibody at 1/1,000 dilution. The nuclear counter stain is DAPI (blue).
ET1608-57_5.jpg Fig5: ICC staining of Lactate Dehydrogenase in A431 cells (green). Formalin fixed cells were permeabilized with 0.1% Triton X-100 in TBS for 10 minutes at room temperature and blocked with 10% negative goat serum for 15 minutes at room temperature. Cells were probed with the primary antibody (ET1608-57, 1/50) for 1 hour at room temperature, washed with PBS. Alexa Fluor®488 conjugate-Goat anti-Rabbit IgG was used as the secondary antibody at 1/1,000 dilution. The nuclear counter stain is DAPI (blue).
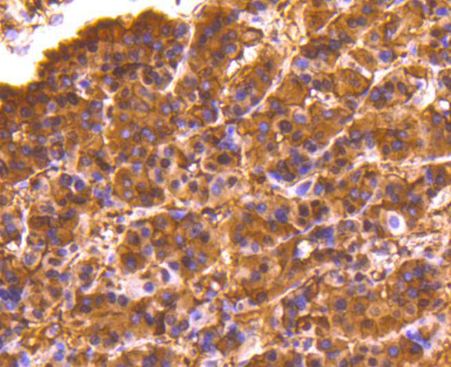
ET1608-57_6.jpg Fig6: Immunohistochemical analysis of paraffin-embedded human liver tissue using anti-Lactate Dehydrogenase antibody. The section was pre-treated using heat mediated antigen retrieval with Tris-EDTA buffer (pH 9.0) for 20 minutes.The tissues were blocked in 5% BSA for 30 minutes at room temperature, washed with ddH2O and PBS, and then probed with the primary antibody (ET1608-57, 1/50) for 30 minutes at room temperature. The detection was performed using an HRP conjugated compact polymer system. DAB was used as the chromogen. Tissues were counterstained with hematoxylin and mounted with DPX.
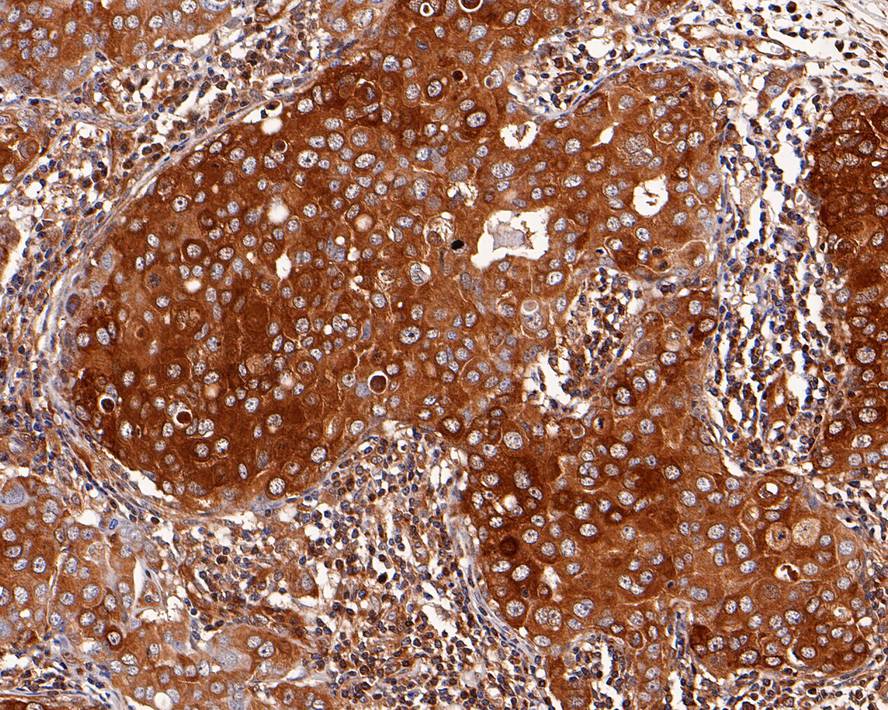
ET1608-57_7.jpg Fig7: Immunohistochemical analysis of paraffin-embedded human liver carcinoma tissue using anti-Lactate Dehydrogenase antibody. The section was pre-treated using heat mediated antigen retrieval with Tris-EDTA buffer (pH 9.0) for 20 minutes.The tissues were blocked in 5% BSA for 30 minutes at room temperature, washed with ddH2O and PBS, and then probed with the primary antibody (ET1608-57, 1/50) for 30 minutes at room temperature. The detection was performed using an HRP conjugated compact polymer system. DAB was used as the chromogen. Tissues were counterstained with hematoxylin and mounted with DPX.
ET1608-57_8.jpg Fig8: Immunohistochemical analysis of paraffin-embedded human breast carcinoma tissue with Rabbit anti-Lactate Dehydrogenase antibody (ET1608-57) at 1/2,000 dilution.

The section was pre-treated using heat mediated antigen retrieval with Tris-EDTA buffer (pH 9.0) for 20 minutes. The tissues were blocked in 1% BSA for 20 minutes at room temperature, washed with ddH2O and PBS, and then probed with the primary antibody (ET1608-57) at 1/2,000 dilution for 1 hour at room temperature. The detection was performed using an HRP conjugated compact polymer system. DAB was used as the chromogen. Tissues were counterstained with hematoxylin and mounted with DPX.
ET1608-57_9.jpg Fig9: Immunohistochemical analysis of paraffin-embedded mouse liver tissue using anti-Lactate Dehydrogenase antibody. The section was pre-treated using heat mediated antigen retrieval with Tris-EDTA buffer (pH 9.0) for 20 minutes.The tissues were blocked in 5% BSA for 30 minutes at room temperature, washed with ddH2O and PBS, and then probed with the primary antibody (ET1608-57, 1/50) for 30 minutes at room temperature. The detection was performed using an HRP conjugated compact polymer system. DAB was used as the chromogen. Tissues were counterstained with hematoxylin and mounted with DPX.
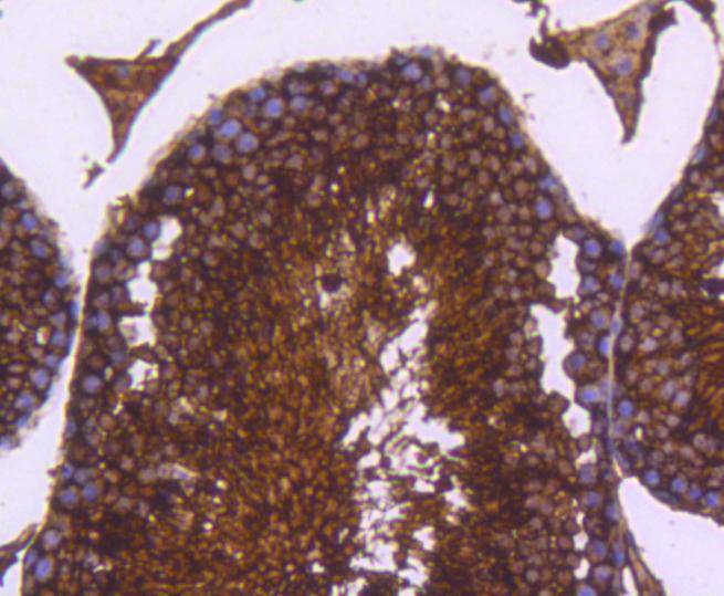
ET1608-57_10.jpg Fig10: Immunohistochemical analysis of paraffin-embedded mouse testis tissue using anti-Lactate Dehydrogenase antibody. The section was pre-treated using heat mediated antigen retrieval with Tris-EDTA buffer (pH 9.0) for 20 minutes.The tissues were blocked in 5% BSA for 30 minutes at room temperature, washed with ddH2O and PBS, and then probed with the primary antibody (ET1608-57, 1/50) for 30 minutes at room temperature. The detection was performed using an HRP conjugated compact polymer system. DAB was used as the chromogen. Tissues were counterstained with hematoxylin and mounted with DPX.
ET1608-57_11.jpg Fig11: Immunohistochemical analysis of paraffin-embedded mouse skeletal muscle tissue using anti-Lactate Dehydrogenase antibody. The section was pre-treated using heat mediated antigen retrieval with Tris-EDTA buffer (pH 9.0) for 20 minutes.The tissues were blocked in 5% BSA for 30 minutes at room temperature, washed with ddH2O and PBS, and then probed with the primary antibody (ET1608-57, 1/50) for 30 minutes at room temperature. The detection was performed using an HRP conjugated compact polymer system. DAB was used as the chromogen. Tissues were counterstained with hematoxylin and mounted with DPX.
ET1608-57_12.jpg Fig12: Flow cytometric analysis of Lactate Dehydrogenase was done on Hela cells. The cells were fixed, permeabilized and stained with the primary antibody (ET1608-57, 1/50) (red). After incubation of the primary antibody at room temperature for an hour, the cells were stained with a Alexa Fluor®488 conjugate-Goat anti-Rabbit IgG Secondary antibody at 1/1,000 dilution for 30 minutes.Unlabelled sample was used as a control (cells without incubation with primary antibody; black).
ET1608-57_13.jpg Fig13: Immunocytochemistry analysis of LOVO cells labeling Lactate Dehydrogenase with Rabbit anti-Lactate Dehydrogenase antibody (ET1608-57) at 1/50 dilution.

Cells were fixed in 4% paraformaldehyde for 10 minutes at 37 ℃, permeabilized with 0.05% Triton X-100 in PBS for 20 minutes, and then blocked with 2% negative goat serum for 30 minutes at room temperature. Cells were then incubated with Rabbit anti-Lactate Dehydrogenase antibody (ET1608-57) at 1/50 dilution in 2% negative goat serum overnight at 4 ℃. Goat Anti-Rabbit IgG H&L (iFluor™ 488, HA1121) was used as the secondary antibody at 1/1,000 dilution. PBS instead of the primary antibody was used as the secondary antibody only control. Nuclear DNA was labelled in blue with DAPI.
Note: All products are “FOR RESEARCH USE ONLY AND ARE NOT INTENDED FOR DIAGNOSTIC OR THERAPEUTIC USE”.