 
	            	| Product Type: | Recombinant Rabbit monoclonal IgG, primary antibodies | 
|---|---|
| Species reactivity: | Human, Mouse, Rat | 
| Applications: | WB, IF-Tissue, IHC-P, IP | 
| Clonality: | Monoclonal | 
| Clone number: | ST51-00 | 
| Form: | Liquid | 
| Storage condition: | Shipped at 4℃. Store at +4℃ short term (1-2 weeks). It is recommended to aliquot into single-use upon delivery. Store at -20℃ long term. | 
| Storage buffer: | 1*TBS (pH7.4), 0.05% BSA, 40% Glycerol. Preservative: 0.05% Sodium Azide. | 
| Concentration: | 1ug/ul | 
| Purification: | Protein A affinity purified. | 
| Molecular weight: | Predicted band size: 132 kDa | 
| Isotype: | IgG | 
| Immunogen: | Synthetic peptide within Human mGluR5 aa 1,163-1,212 / 1,212. | 
| Positive control: | Human brain tissue lysate, Mouse brain tissue lysate, Rat brain tissue lysate, human brain tissue, mouse brain tissue, rat brain tissue. | 
| Subcellular location: | Cell membrane. | 
| Recommended Dilutions: WB IF-Tissue IHC-P IP | 1:1,000-1:2,000 1:50-1:200 1:200-1:1,000 Use at an assay dependent concentration. | 
| Uniprot #: | SwissProt: P41594 Human | Q3UVX5 Mouse | P31424 Rat | 
| Alternative names: | Glutamate receptor metabotropic 5 GPRC1E Grm5 GRM5_HUMAN Metabotropic glutamate receptor 5 Metabotropic glutamate receptor 5 variant F Metabotropic glutamate receptor 5 variant G Metabotropic glutamate receptor 5 variant H mGlu5 mGluR5 PPP1R86 Protein phosphatase 1 regulatory subunit 86 | 
|   | Fig1:
	        				Western blot analysis of mGluR5 on different lysates with Rabbit anti-mGluR5 antibody (ET1609-36) at 1/1,000 dilution. Lane 1: Human brain tissue lysate (RIPA lysis) Lane 2: Mouse brain tissue lysate (no heat) Lane 3: Mouse brain tissue lysate (hot lysis) Lane 4: Rat brain tissue lysate (no heat) Notice: no heat means the lysate is not boiled. Lysates/proteins at 20 µg/Lane. Predicted band size: 132 kDa Observed band size: 150 kDa Exposure time: Lane 1: 3 minutes; Lane 2-3: 1 minute; ECL: K1801; 4-20% SDS-PAGE gel. Proteins were transferred to a PVDF membrane and blocked with 5% NFDM/TBST for 1 hour at room temperature. The primary antibody (ET1609-36) at 1/1,000 dilution was used in 5% NFDM/TBST at 4℃ overnight. Goat Anti-Rabbit IgG - HRP Secondary Antibody (HA1001) at 1/50,000 dilution was used for 1 hour at room temperature. | 
|   | Fig2:
	        				Immunohistochemical analysis of paraffin-embedded human brain tissue with Rabbit anti-mGluR5 antibody (ET1609-36) at 1/1,000 dilution. The section was pre-treated using heat mediated antigen retrieval with Tris-EDTA buffer (pH 9.0) for 20 minutes. The tissues were blocked in 1% BSA for 20 minutes at room temperature, washed with ddH2O and PBS, and then probed with the primary antibody (ET1609-36) at 1/1,000 dilution for 1 hour at room temperature. The detection was performed using an HRP conjugated compact polymer system. DAB was used as the chromogen. Tissues were counterstained with hematoxylin and mounted with DPX. | 
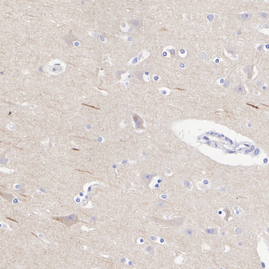
|   | Fig3:
		        				Immunohistochemical analysis of paraffin-embedded mouse brain tissue with Rabbit anti-mGluR5 antibody (ET1609-36) at 1/1,000 dilution. The section was pre-treated using heat mediated antigen retrieval with Tris-EDTA buffer (pH 9.0) for 20 minutes. The tissues were blocked in 1% BSA for 20 minutes at room temperature, washed with ddH2O and PBS, and then probed with the primary antibody (ET1609-36) at 1/1,000 dilution for 1 hour at room temperature. The detection was performed using an HRP conjugated compact polymer system. DAB was used as the chromogen. Tissues were counterstained with hematoxylin and mounted with DPX. | 
|   | Fig4:
		        				Immunohistochemical analysis of paraffin-embedded rat brain tissue with Rabbit anti-mGluR5 antibody (ET1609-36) at 1/1,000 dilution. The section was pre-treated using heat mediated antigen retrieval with Tris-EDTA buffer (pH 9.0) for 20 minutes. The tissues were blocked in 1% BSA for 20 minutes at room temperature, washed with ddH2O and PBS, and then probed with the primary antibody (ET1609-36) at 1/1,000 dilution for 1 hour at room temperature. The detection was performed using an HRP conjugated compact polymer system. DAB was used as the chromogen. Tissues were counterstained with hematoxylin and mounted with DPX. |