 
	            	| Product Type: | Recombinant Rabbit monoclonal IgG, primary antibodies | 
|---|---|
| Species reactivity: | Human, Mouse, Rat | 
| Applications: | WB, IF-Cell, IF-Tissue, IHC-P, IP, FC | 
| Clonality: | Monoclonal | 
| Clone number: | ST48-06 | 
| Form: | Liquid | 
| Storage condition: | Shipped at 4℃. Store at +4℃ short term (1-2 weeks). It is recommended to aliquot into single-use upon delivery. Store at -20℃ long term. | 
| Storage buffer: | 1*TBS (pH7.4), 0.05% BSA, 40% Glycerol. Preservative: 0.05% Sodium Azide. | 
| Concentration: | 1ug/ul | 
| Purification: | Protein A affinity purified. | 
| Molecular weight: | Predicted band size: 77 kDa | 
| Isotype: | IgG | 
| Immunogen: | Synthetic peptide within Human PKC beta 2 aa 615-660 / 671. | 
| Positive control: | K-562 cell lysate, Raji cell lysate, Mouse spleen tissue lysate, Rat spleen tissue lysate, human spleen tissue, mouse spleen tissue, rat spleen tissue, SH-SY5Y, Hela. | 
| Subcellular location: | Nucleus, Cytoplasm, Membrane. | 
| Recommended Dilutions: WB IF-Cell IF-Tissue IHC-P FC IP | 1:500 1:50-1:200 1:50-1:200 1:50-1:200 1:50-1:100 Use at an assay dependent concentration. | 
| Uniprot #: | SwissProt: P05771 Human | P68404 Mouse | P68403 Rat | 
| Alternative names: | KPCB_HUMAN PKC Beta PKC-B PKC-beta PKCB Prkcb PRKCB II PRKCB2 Protein kinase C beta Protein kinase C beta type | 
|   | Fig1:
	        				Western blot analysis of PKC beta 2 on different lysates with Rabbit anti-PKC beta 2 antibody (ET1609-44) at 1/500 dilution. Lane 1: K-562 cell lysate (20 µg/Lane) Lane 2: Raji cell lysate (20 µg/Lane) Lane 3: Mouse spleen tissue lysate (40 µg/Lane) Lane 4: Rat spleen tissue lysate (40 µg/Lane) Predicted band size: 77 kDa Observed band size: 77 kDa Exposure time: 25 seconds; ECL: K1801; 4-20% SDS-PAGE gel. Proteins were transferred to a PVDF membrane and blocked with 5% NFDM/TBST for 1 hour at room temperature. The primary antibody (ET1609-44) at 1/500 dilution was used in 5% NFDM/TBST at 4℃ overnight. Goat Anti-Rabbit IgG - HRP Secondary Antibody (HA1001) at 1/50,000 dilution was used for 1 hour at room temperature. | 
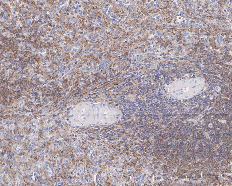
|   | Fig2:
	        				Immunohistochemical analysis of paraffin-embedded human spleen tissue with Rabbit anti-PKC beta 2 antibody (ET1609-44) at 1/50 dilution. The section was pre-treated using heat mediated antigen retrieval with sodium citrate buffer (pH 6.0) for 2 minutes. The tissues were blocked in 1% BSA for 20 minutes at room temperature, washed with ddH2O and PBS, and then probed with the primary antibody (ET1609-44) at 1/50 dilution for 1 hour at room temperature. The detection was performed using an HRP conjugated compact polymer system. DAB was used as the chromogen. Tissues were counterstained with hematoxylin and mounted with DPX. | 
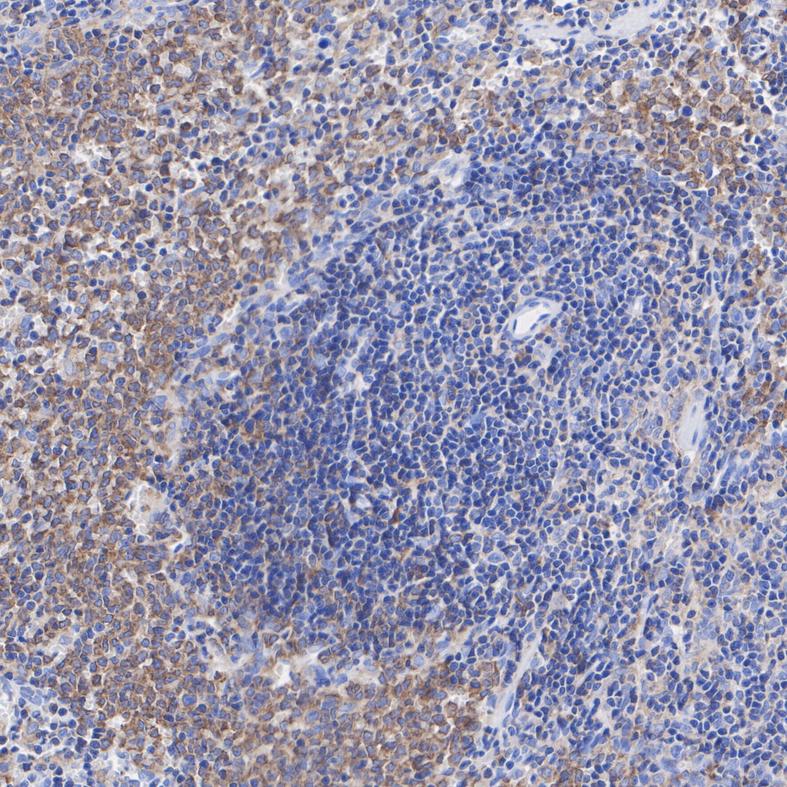
|   | Fig3:
	        				Immunohistochemical analysis of paraffin-embedded mouse spleen tissue with Rabbit anti-PKC beta 2 antibody (ET1609-44) at 1/200 dilution. The section was pre-treated using heat mediated antigen retrieval with sodium citrate buffer (pH 6.0) for 2 minutes. The tissues were blocked in 1% BSA for 20 minutes at room temperature, washed with ddH2O and PBS, and then probed with the primary antibody (ET1609-44) at 1/200 dilution for 1 hour at room temperature. The detection was performed using an HRP conjugated compact polymer system. DAB was used as the chromogen. Tissues were counterstained with hematoxylin and mounted with DPX. | 
|   | Fig4:
		        				Immunohistochemical analysis of paraffin-embedded rat spleen tissue with Rabbit anti-PKC beta 2 antibody (ET1609-44) at 1/200 dilution. The section was pre-treated using heat mediated antigen retrieval with Tris-EDTA buffer (pH 9.0) for 20 minutes. The tissues were blocked in 1% BSA for 20 minutes at room temperature, washed with ddH2O and PBS, and then probed with the primary antibody (ET1609-44) at 1/200 dilution for 1 hour at room temperature. The detection was performed using an HRP conjugated compact polymer system. DAB was used as the chromogen. Tissues were counterstained with hematoxylin and mounted with DPX. | 
|   | Fig5: ICC staining of PKC beta 2 in SH-SY5Y cells (green). Formalin fixed cells were permeabilized with 0.1% Triton X-100 in TBS for 10 minutes at room temperature and blocked with 1% Blocker BSA for 15 minutes at room temperature. Cells were probed with the primary antibody (ET1609-44, 1/50) for 1 hour at room temperature, washed with PBS. Alexa Fluor®488 Goat anti-Rabbit IgG was used as the secondary antibody at 1/1,000 dilution. The nuclear counter stain is DAPI (blue). | 
|   | Fig6: Flow cytometric analysis of PKC beta 2 was done on Hela cells. The cells were fixed, permeabilized and stained with the primary antibody (ET1609-44, 1/50) (blue). After incubation of the primary antibody at room temperature for an hour, the cells were stained with a Alexa Fluor 488-conjugated Goat anti-Rabbit IgG Secondary antibody at 1/1000 dilution for 30 minutes.Unlabelled sample was used as a control (cells without incubation with primary antibody; red). |