Nanog Recombinant Rabbit Monoclonal Antibody [SC05-70]
cat.: ET1610-2
Product Type: Recombinant Rabbit monoclonal IgG, primary antibodies
Species reactivity: Human, Mouse
Applications: WB, IF-Tissue, FC, IHC-P, ChIP
Clonality: Monoclonal
Clone number: SC05-70
Form: Liquid
Storage condition: Shipped at 4℃. Store at +4℃ short term (1-2 weeks). It is recommended to aliquot into single-use upon delivery. Store at -20℃ long term.
Storage buffer: 1*TBS (pH7.4), 0.05% BSA, 40% Glycerol. Preservative: 0.05% Sodium Azide.
Concentration: 1ug/ul
Purification: Protein A affinity purified.
Molecular weight: Predicted band size: 35 kDa
Isotype: IgG
Immunogen: Recombinant protein within Human Nanog aa 9-49 / 305.
Positive control: NCCIT cell lysate, F9, mouse testis tissue, NCCIT, human seminoma tissue.
Subcellular location: Nucleus.
Recommended Dilutions:
  WB
  IF-Tissue
  IHC-P
  FC
  ChIP

1:2,000
1:50-1:200
1:50-1:800
1:500-1:1,000
Use 0.5~2 μg for 25 μg of chromatin.
Uniprot #: SwissProt: Q9H9S0 Human | Q80Z64 Mouse
Alternative names: Embryonic stem cell specific homeobox protein (Nanog) ENK FLJ12581 hNanog Homeobox protein NANOG Homeobox transcription factor Nanog homeobox transcription factor Nanog-delta 48 NANOG Nanog homeobox NANOG_HUMAN
Images
ET1610-2_1.jpg Fig1: Western blot analysis of Nanog on different lysates with Rabbit anti-Nanog antibody (ET1610-2) at 1/2,000 dilution.

Lane 1: NCCIT cell lysate
Lane 2: HeLa cell lysate (negative)

Lysates/proteins at 20 µg/Lane.

Predicted band size: 35 kDa
Observed band size: 40 kDa

Exposure time: 3 minutes;

4-20% SDS-PAGE gel.

Proteins were transferred to a PVDF membrane and blocked with 5% NFDM/TBST for 1 hour at room temperature. The primary antibody (ET1610-2) at 1/2,000 dilution was used in 5% NFDM/TBST at 4℃ overnight. Goat Anti-Rabbit IgG - HRP Secondary Antibody (HA1001) at 1/50,000 dilution was used for 1 hour at room temperature.
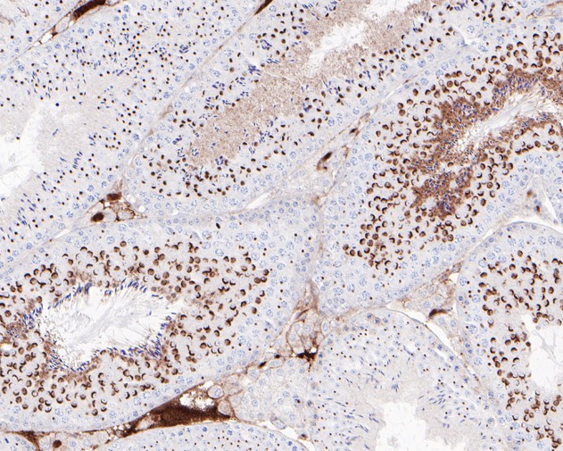
ET1610-2_2.jpg Fig2: Immunohistochemical analysis of paraffin-embedded mouse testis tissue using anti-Nanog antibody. The section was pre-treated using heat mediated antigen retrieval with sodium citrate buffer (pH 6.0) for 20 minutes. The tissues were blocked in 5% BSA for 30 minutes at room temperature, washed with ddH2O and PBS, and then probed with the primary antibody (ET1610-2, 1/200) for 30 minutes at room temperature. The detection was performed using an HRP conjugated compact polymer system. DAB was used as the chromogen. Tissues were counterstained with hematoxylin and mounted with DPX.
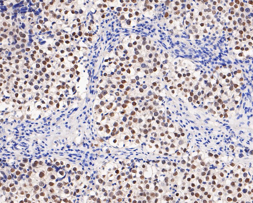
ET1610-2_3.jpg Fig3: Immunohistochemical analysis of paraffin-embedded human seminoma tissue with Rabbit anti-Nanog antibody (ET1610-2) at 1/800 dilution.

The section was pre-treated using heat mediated antigen retrieval with sodium citrate buffer (pH 6.0) for 2 minutes. The tissues were blocked in 1% BSA for 20 minutes at room temperature, washed with ddH2O and PBS, and then probed with the primary antibody (ET1610-2) at 1/800 dilution for 1 hour at room temperature. The detection was performed using an HRP conjugated compact polymer system. DAB was used as the chromogen. Tissues were counterstained with hematoxylin and mounted with DPX.
ET1610-2_4.jpg Fig4: Flow cytometric analysis of NCCIT cells labeling Nanog.

Cells were fixed and permeabilized. Then stained with the primary antibody (ET1610-2, 1ug/ml) (red) compared with Rabbit IgG Isotype Control (green). After incubation of the primary antibody at +4℃ for an hour, the cells were stained with a iFluor™ 488 conjugate-Goat anti-Rabbit IgG Secondary antibody (HA1121) at 1/1,000 dilution for 30 minutes at +4℃. Unlabelled sample was used as a control (cells without incubation with primary antibody; black).
ET1610-2_5.jpg Fig5: Chromatin immunoprecipitations were performed with cross-linked chromatin from NCCIT cells with Nanog (ET1610-2) or Normal Rabbit IgG according to the ChIP protocol. The enriched DNA was quantified by real-time PCR using indicated primers. The amount of immunoprecipitated DNA in each sample is represented as signal relative to the total amount of input chromatin, which is equivalent to one.
Note: All products are “FOR RESEARCH USE ONLY AND ARE NOT INTENDED FOR DIAGNOSTIC OR THERAPEUTIC USE”.