Annexin A10 Recombinant Rabbit Monoclonal Antibody [SC06-02]
cat.: ET1610-57
Product Type: Recombinant Rabbit monoclonal IgG, primary antibodies
Species reactivity: Human, Mouse, Rat
Applications: WB, IHC-P, IF-Cell, FC
Clonality: Monoclonal
Clone number: SC06-02
Form: Liquid
Storage condition: Shipped at 4℃. Store at +4℃ short term (1-2 weeks). It is recommended to aliquot into single-use upon delivery. Store at -20℃ long term.
Storage buffer: 1*TBS (pH7.4), 0.05% BSA, 40% Glycerol. Preservative: 0.05% Sodium Azide.
Concentration: 1ug/ul
Purification: Protein A affinity purified.
Molecular weight: Predicted band size: 37 kDa
Isotype: IgG
Immunogen: Recombinant protein within Human Annexin A10 aa 30-220 / 324.
Positive control: HeLa cell lysate, PC-3 cell lysate, Mouse colon tissue lysate, Rat colon tissue lysate, human stomach tissue, mouse stomach tissue, rat bladder tissue, rat stomach tissue, HeLa.
Subcellular location: Cytoplasm, nucleus.
Recommended Dilutions:
  WB
  IHC-P
  IF-Cell
  FC

1:1,000-1:2,000
1:50-1:200
1:100
1:1,000
Uniprot #: SwissProt: Q9UJ72 Human | Q9QZ10 Mouse
Unigene: 101584 Rat
Alternative names: annexin 14 Annexin A10 Annexin-10 Annexin-14 ANX 14 ANX10_HUMAN ANX14 ANXA 10 ANXA10
Images
ET1610-57_1.jpg Fig1: Western blot analysis of Annexin A10 on different lysates with Rabbit anti-Annexin A10 antibody (ET1610-57) at 1/1,000 dilution.

Lane 1: HeLa cell lysate (20 µg/Lane)
Lane 2: PC-3 cell lysate (20 µg/Lane)
Lane 3: Mouse colon tissue lysate (40 µg/Lane)
Lane 4: Rat colon tissue lysate (40 µg/Lane)

Predicted band size: 37 kDa
Observed band size: 35 kDa

Exposure time: 8 seconds; ECL: K1801;

4-20% SDS-PAGE gel.

Proteins were transferred to a PVDF membrane and blocked with 5% NFDM/TBST for 1 hour at room temperature. The primary antibody (ET1610-57) at 1/1,000 dilution was used in 5% NFDM/TBST at 4℃ overnight. Goat Anti-Rabbit IgG - HRP Secondary Antibody (HA1001) at 1/50,000 dilution was used for 1 hour at room temperature.
ET1610-57_2.jpg Fig2: Immunohistochemical analysis of paraffin-embedded human stomach tissue with Rabbit anti-Annexin A10 antibody (ET1610-57) at 1/1,000 dilution.

The section was pre-treated using heat mediated antigen retrieval with Tris-EDTA buffer (pH 9.0) for 20 minutes. The tissues were blocked in 1% BSA for 20 minutes at room temperature, washed with ddH2O and PBS, and then probed with the primary antibody (ET1610-57) at 1/1,000 dilution for 1 hour at room temperature. The detection was performed using an HRP conjugated compact polymer system. DAB was used as the chromogen. Tissues were counterstained with hematoxylin and mounted with DPX.
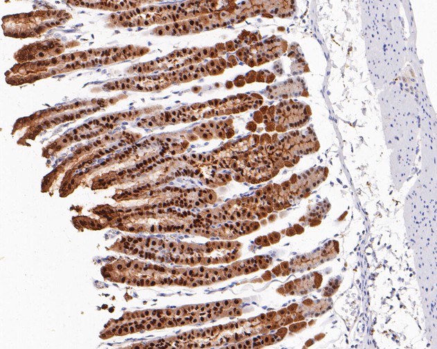
ET1610-57_3.jpg Fig3: Immunohistochemical analysis of paraffin-embedded mouse stomach tissue using anti-Annexin A10 antibody. The section was pre-treated using heat mediated antigen retrieval with sodium citrate buffer (pH 6.0) for 20 minutes. The tissues were blocked in 5% BSA for 30 minutes at room temperature, washed with ddH2O and PBS, and then probed with the primary antibody (ET1610-57, 1/200) for 30 minutes at room temperature. The detection was performed using an HRP conjugated compact polymer system. DAB was used as the chromogen. Tissues were counterstained with hematoxylin and mounted with DPX.
ET1610-57_4.jpg Fig4: Immunohistochemical analysis of paraffin-embedded rat bladder tissue using anti-Annexin A10 antibody. The section was pre-treated using heat mediated antigen retrieval with sodium citrate buffer (pH 6.0) for 20 minutes. The tissues were blocked in 5% BSA for 30 minutes at room temperature, washed with ddH2O and PBS, and then probed with the primary antibody (ET1610-57, 1/200) for 30 minutes at room temperature. The detection was performed using an HRP conjugated compact polymer system. DAB was used as the chromogen. Tissues were counterstained with hematoxylin and mounted with DPX.
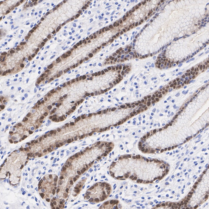
ET1610-57_5.jpg Fig5: Immunohistochemical analysis of paraffin-embedded rat stomach tissue using anti-Annexin A10 antibody. The section was pre-treated using heat mediated antigen retrieval with sodium citrate buffer (pH 6.0) for 20 minutes. The tissues were blocked in 5% BSA for 30 minutes at room temperature, washed with ddH2O and PBS, and then probed with the primary antibody (ET1610-57, 1/200) for 30 minutes at room temperature. The detection was performed using an HRP conjugated compact polymer system. DAB was used as the chromogen. Tissues were counterstained with hematoxylin and mounted with DPX.
ET1610-57_6.jpg Fig6: Immunocytochemistry analysis of HeLa cells labeling Annexin A10 with Rabbit anti-Annexin A10 antibody (ET1610-57) at 1/100 dilution.

Cells were fixed in 4% paraformaldehyde for 15 minutes at room temperature, permeabilized with 0.1% Triton X-100 in PBS for 15 minutes at room temperature, then blocked with 1% BSA in 10% negative goat serum for 1 hour at room temperature. Cells were then incubated with Rabbit anti-Annexin A10 antibody (ET1610-57) at 1/100 dilution in 1% BSA in PBST overnight at 4 ℃. Goat Anti-Rabbit IgG H&L (iFluor™ 488, HA1121) was used as the secondary antibody at 1/1,000 dilution. PBS instead of the primary antibody was used as the secondary antibody only control. Nuclear DNA was labelled in blue with DAPI.

Beta tubulin (HA601187, red) was stained at 1/100 dilution overnight at +4℃. Goat Anti-Mouse IgG H&L (iFluor™ 594, HA1126) was used as the secondary antibody at 1/1,000 dilution.
ET1610-57_7.jpg Fig7: Flow cytometric analysis of HeLa cells labeling Annexin A10.

Cells were fixed and permeabilized. Then stained with the primary antibody (ET1610-57, 1μg/mL) (red) compared with Rabbit IgG Isotype Control (green). After incubation of the primary antibody at +4℃ for an hour, the cells were stained with a iFluor™ 488 conjugate-Goat anti-Rabbit IgG Secondary antibody (HA1121) at 1/1,000 dilution for 30 minutes at +4℃. Unlabelled sample was used as a control (cells without incubation with primary antibody; black).
Note: All products are “FOR RESEARCH USE ONLY AND ARE NOT INTENDED FOR DIAGNOSTIC OR THERAPEUTIC USE”.