PYK2 Recombinant Rabbit Monoclonal Antibody [SC06-15]
cat.: ET1610-82
Product Type: Recombinant Rabbit monoclonal IgG, primary antibodies
Species reactivity: Human, Mouse, Rat
Applications: WB, IF-Cell, IF-Tissue, IHC-P
Clonality: Monoclonal
Clone number: SC06-15
Form: Liquid
Storage condition: Shipped at 4℃. Store at +4℃ short term (1-2 weeks). It is recommended to aliquot into single-use upon delivery. Store at -20℃ long term.
Storage buffer: 1*TBS (pH7.4), 0.05% BSA, 40% Glycerol. Preservative: 0.05% Sodium Azide.
Concentration: 1ug/ul
Purification: Protein A affinity purified.
Molecular weight: Predicted band size: 116 kDa
Isotype: IgG
Immunogen: Synthetic peptide within N-terminal human PYK2.
Positive control: A431 cell lysate, Jurkat cell lysate, mouse brain tissue lysate, rat brain tissue lysate, Hela, SHG-44, SH-SY5Y, human tonsil tissue, human spleen tissue, human kidney tissue, mouse brain tissue, mouse kidney tissue.
Subcellular location: Cell membrane, Nucleus, Cytoplasm, perinuclear region, focal adhesion, lamellipodium, cell cortex.
Recommended Dilutions:
  WB
  IF-Cell
  IF-Tissue
  IHC-P

1:1,000
1:50-1:200
1:50-1:200
1:50-1:200
Uniprot #: SwissProt: Q14289 Human | Q9QVP9 Mouse | P70600 Rat
Alternative names: CADTK CAK-beta CAKB CAKbeta Calcium regulated non receptor proline rich tyrosine kinase Calcium-dependent tyrosine kinase Cell adhesion kinase beta E430023O05Rik EC 2.7.10.2 FADK 2 FADK2 FAK2 FAK2_HUMAN Focal adhesion kinase 2 MGC124628 PKB Proline-rich tyrosine kinase 2 Protein kinase B Protein Tyrosine Kinase 2 Beta Protein-tyrosine kinase 2-beta PTK PTK2B PTK2B protein tyrosine kinase 2 beta PYK2 RAFTK RAFTK2 Related adhesion focal tyrosine kinase
Images
ET1610-82_1.jpg Fig1: Western blot analysis of PYK2 on different lysates with Rabbit anti-PYK2 antibody (ET1610-82) at 1/1,000 dilution.

Lane 1: A431 cell lysate (20 µg/Lane)
Lane 2: Jurkat cell lysate (20 µg/Lane)
Lane 3: Mouse brain tissue lysate (40 µg/Lane)
Lane 4: Rat brain tissue lysate (40 µg/Lane)

Predicted band size: 116 kDa
Observed band size: 116 kDa

Exposure time: 1 minute; ECL: K1801;

4-20% SDS-PAGE gel.

Proteins were transferred to a PVDF membrane and blocked with 5% NFDM/TBST for 1 hour at room temperature. The primary antibody (ET1610-82) at 1/1,000 dilution was used in 5% NFDM/TBST at 4℃ overnight. Goat Anti-Rabbit IgG - HRP Secondary Antibody (HA1001) at 1/50,000 dilution was used for 1 hour at room temperature.
ET1610-82_2.jpg Fig2: ICC staining of PYK2 in Hela cells (green). Formalin fixed cells were permeabilized with 0.1% Triton X-100 in TBS for 10 minutes at room temperature and blocked with 1% Blocker BSA for 15 minutes at room temperature. Cells were probed with the primary antibody (ET1610-82, 1/50) for 1 hour at room temperature, washed with PBS. Alexa Fluor®488 Goat anti-Rabbit IgG was used as the secondary antibody at 1/1,000 dilution. The nuclear counter stain is DAPI (blue).
ET1610-82_3.jpg Fig3: ICC staining of PYK2 in SHG-44 cells (green). Formalin fixed cells were permeabilized with 0.1% Triton X-100 in TBS for 10 minutes at room temperature and blocked with 1% Blocker BSA for 15 minutes at room temperature. Cells were probed with the primary antibody (ET1610-82, 1/50) for 1 hour at room temperature, washed with PBS. Alexa Fluor®488 Goat anti-Rabbit IgG was used as the secondary antibody at 1/1,000 dilution. The nuclear counter stain is DAPI (blue).
ET1610-82_4.jpg Fig4: ICC staining of PYK2 in SH-SY5Y cells (green). Formalin fixed cells were permeabilized with 0.1% Triton X-100 in TBS for 10 minutes at room temperature and blocked with 1% Blocker BSA for 15 minutes at room temperature. Cells were probed with the primary antibody (ET1610-82, 1/50) for 1 hour at room temperature, washed with PBS. Alexa Fluor®488 Goat anti-Rabbit IgG was used as the secondary antibody at 1/1,000 dilution. The nuclear counter stain is DAPI (blue).
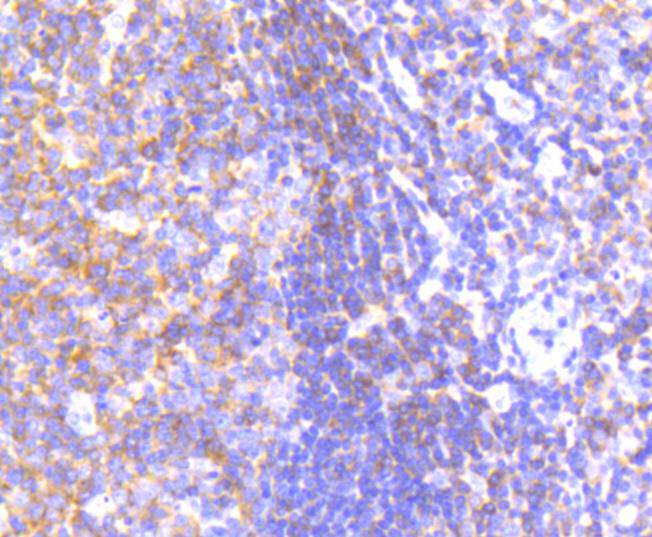
ET1610-82_5.jpg Fig5: Immunohistochemical analysis of paraffin-embedded human tonsil tissue using anti-PYK2 antibody. The section was pre-treated using heat mediated antigen retrieval with Tris-EDTA buffer (pH 8.0-8.4) for 20 minutes.The tissues were blocked in 5% BSA for 30 minutes at room temperature, washed with ddH2O and PBS, and then probed with the primary antibody (ET1610-82, 1/50) for 30 minutes at room temperature. The detection was performed using an HRP conjugated compact polymer system. DAB was used as the chromogen. Tissues were counterstained with hematoxylin and mounted with DPX.
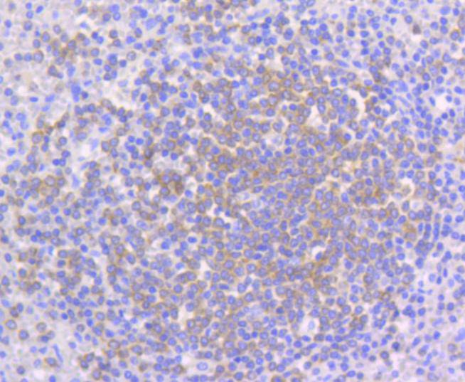
ET1610-82_6.jpg Fig6: Immunohistochemical analysis of paraffin-embedded human spleen tissue using anti-PYK2 antibody. The section was pre-treated using heat mediated antigen retrieval with Tris-EDTA buffer (pH 8.0-8.4) for 20 minutes.The tissues were blocked in 5% BSA for 30 minutes at room temperature, washed with ddH2O and PBS, and then probed with the primary antibody (ET1610-82, 1/50) for 30 minutes at room temperature. The detection was performed using an HRP conjugated compact polymer system. DAB was used as the chromogen. Tissues were counterstained with hematoxylin and mounted with DPX.
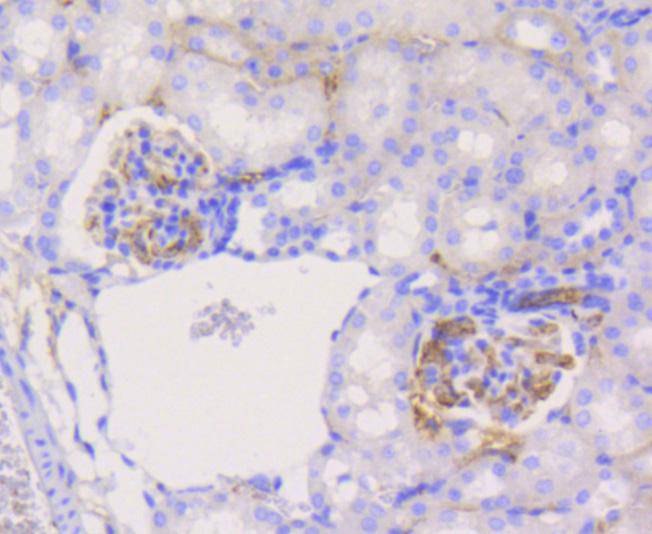
ET1610-82_7.jpg Fig7: Immunohistochemical analysis of paraffin-embedded human kidney tissue using anti-PYK2 antibody. The section was pre-treated using heat mediated antigen retrieval with Tris-EDTA buffer (pH 8.0-8.4) for 20 minutes.The tissues were blocked in 5% BSA for 30 minutes at room temperature, washed with ddH2O and PBS, and then probed with the primary antibody (ET1610-82, 1/50) for 30 minutes at room temperature. The detection was performed using an HRP conjugated compact polymer system. DAB was used as the chromogen. Tissues were counterstained with hematoxylin and mounted with DPX.
ET1610-82_8.jpg Fig8: Immunohistochemical analysis of paraffin-embedded mouse brain tissue using anti-PYK2 antibody. The section was pre-treated using heat mediated antigen retrieval with Tris-EDTA buffer (pH 8.0-8.4) for 20 minutes.The tissues were blocked in 5% BSA for 30 minutes at room temperature, washed with ddH2O and PBS, and then probed with the primary antibody (ET1610-82, 1/50) for 30 minutes at room temperature. The detection was performed using an HRP conjugated compact polymer system. DAB was used as the chromogen. Tissues were counterstained with hematoxylin and mounted with DPX.
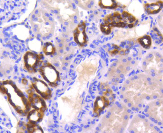
ET1610-82_9.jpg Fig9: Immunohistochemical analysis of paraffin-embedded mouse kidney tissue using anti-PYK2 antibody. The section was pre-treated using heat mediated antigen retrieval with Tris-EDTA buffer (pH 8.0-8.4) for 20 minutes.The tissues were blocked in 5% BSA for 30 minutes at room temperature, washed with ddH2O and PBS, and then probed with the primary antibody (ET1610-82, 1/50) for 30 minutes at room temperature. The detection was performed using an HRP conjugated compact polymer system. DAB was used as the chromogen. Tissues were counterstained with hematoxylin and mounted with DPX.
Note: All products are “FOR RESEARCH USE ONLY AND ARE NOT INTENDED FOR DIAGNOSTIC OR THERAPEUTIC USE”.