RALBP1 Recombinant Rabbit Monoclonal Antibody [SC06-49]
cat.: ET1610-88
Product Type: Recombinant Rabbit monoclonal IgG, primary antibodies
Species reactivity: Human, Mouse, Rat, Monkey
Applications: WB, IHC-P, IF-Cell, FC
Clonality: Monoclonal
Clone number: SC06-49
Form: Liquid
Storage condition: Shipped at 4℃. Store at +4℃ short term (1-2 weeks). It is recommended to aliquot into single-use upon delivery. Store at -20℃ long term.
Storage buffer: 1*TBS (pH7.4), 0.05% BSA, 40% Glycerol. Preservative: 0.05% Sodium Azide.
Concentration: 1ug/ul
Purification: Protein A affinity purified.
Molecular weight: Predicted band size: 76 kDa
Isotype: IgG
Immunogen: Recombinant protein within Human RALBP1 aa 205-300 / 655.
Positive control: MCF7 cell lysate, COS-1 cell lysate, NIH/3T3 cell lysate, RAW264.7 cell lysate, C6 cell lysate, PC-12 cell lysate, human lung tissue, human pancreas tissue, mouse pancreas tissue, rat pancreas tissue, rat lung tissue, human breast carcinoma tissue, MCF7, NIH/3T3, C6.
Subcellular location: Membrane.
Recommended Dilutions:
  WB
  IHC-P
  IF-Cell
  FC

1:5,000
1:200
1:100
1:1,000
Uniprot #: SwissProt: Q15311 Human | Q62172 Mouse | Q62796 Rat
Alternative names: RLIP1 76 kDa Ral-interacting protein 76-kDa Ral-interacting protein Dinitrophenyl S-glutathione ATPase DNP-SG ATPase Ral-interacting protein 1 Ral-interacting protein 1, 76-KD RalA-binding protein 1 RalBP1 RBP1_HUMAN RIP1 RLIP1 RLIP76
Images
ET1610-88_1.jpg Fig1: Western blot analysis of RALBP1 on different lysates with Rabbit anti-RALBP1 antibody (ET1610-88) at 1/5,000 dilution.

Lane 1: MCF7 cell lysate
Lane 2: COS-1 cell lysate
Lane 3: NIH/3T3 cell lysate
Lane 4: RAW264.7 cell lysate
Lane 5: C6 cell lysate
Lane 6: PC-12 cell lysate

Lysates/proteins at 20 µg/Lane.

Predicted band size: 76 kDa
Observed band size: 90 kDa

Exposure time: 6 seconds; ECL: K1801;

4-20% SDS-PAGE gel.

Proteins were transferred to a PVDF membrane and blocked with 5% NFDM/TBST for 1 hour at room temperature. The primary antibody (ET1610-88) at 1/5,000 dilution was used in primary antibody dilution (K1803) at 4℃ overnight. Goat Anti-Rabbit IgG - HRP Secondary Antibody (HA1001) at 1/50,000 dilution was used for 1 hour at room temperature.
ET1610-88_2.jpg Fig2: Western blot analysis of RALBP1 on different lysates with Rabbit anti-RALBP1 antibody (ET1610-88) at 1/2,000 dilution.

Lane 1: HAP1-parental cell lysate
Lane 2: HAP1-RALBP1 KD cell lysate

Lysates/proteins at 10 µg/Lane.

Predicted band size: 76 kDa
Observed band size: 90 kDa

Exposure time: 40 seconds; ECL: K1801;

4-20% SDS-PAGE gel.

Proteins were transferred to a PVDF membrane and blocked with 5% NFDM/TBST for 1 hour at room temperature. The primary antibody (ET1610-88) at 1/2,000 dilution was used in primary antibody dilution (K1803) at 4℃ overnight. Goat Anti-Rabbit IgG - HRP Secondary Antibody (HA1001) at 1/50,000 dilution was used for 1 hour at room temperature.
ET1610-88_3.jpg Fig3: Immunohistochemical analysis of paraffin-embedded human lung tissue with Rabbit anti-RALBP1 antibody (ET1610-88) at 1/200 dilution.

The section was pre-treated using heat mediated antigen retrieval with Tris-EDTA buffer (pH 9.0) for 20 minutes. The tissues were blocked in 1% BSA for 20 minutes at room temperature, washed with ddH2O and PBS, and then probed with the primary antibody (ET1610-88) at 1/200 dilution for 1 hour at room temperature. The detection was performed using an HRP conjugated compact polymer system. DAB was used as the chromogen. Tissues were counterstained with hematoxylin and mounted with DPX.
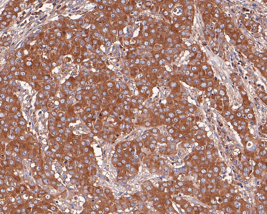
ET1610-88_4.jpg Fig4: Immunohistochemical analysis of paraffin-embedded human pancreas tissue with Rabbit anti-RALBP1 antibody (ET1610-88) at 1/200 dilution.

The section was pre-treated using heat mediated antigen retrieval with Tris-EDTA buffer (pH 9.0) for 20 minutes. The tissues were blocked in 1% BSA for 20 minutes at room temperature, washed with ddH2O and PBS, and then probed with the primary antibody (ET1610-88) at 1/200 dilution for 1 hour at room temperature. The detection was performed using an HRP conjugated compact polymer system. DAB was used as the chromogen. Tissues were counterstained with hematoxylin and mounted with DPX.
ET1610-88_5.jpg Fig5: Immunohistochemical analysis of paraffin-embedded mouse pancreas tissue with Rabbit anti-RALBP1 antibody (ET1610-88) at 1/200 dilution.

The section was pre-treated using heat mediated antigen retrieval with Tris-EDTA buffer (pH 9.0) for 20 minutes. The tissues were blocked in 1% BSA for 20 minutes at room temperature, washed with ddH2O and PBS, and then probed with the primary antibody (ET1610-88) at 1/200 dilution for 1 hour at room temperature. The detection was performed using an HRP conjugated compact polymer system. DAB was used as the chromogen. Tissues were counterstained with hematoxylin and mounted with DPX.
ET1610-88_6.jpg Fig6: Immunohistochemical analysis of paraffin-embedded rat pancreas tissue with Rabbit anti-RALBP1 antibody (ET1610-88) at 1/200 dilution.

The section was pre-treated using heat mediated antigen retrieval with Tris-EDTA buffer (pH 9.0) for 20 minutes. The tissues were blocked in 1% BSA for 20 minutes at room temperature, washed with ddH2O and PBS, and then probed with the primary antibody (ET1610-88) at 1/200 dilution for 1 hour at room temperature. The detection was performed using an HRP conjugated compact polymer system. DAB was used as the chromogen. Tissues were counterstained with hematoxylin and mounted with DPX.
ET1610-88_7.jpg Fig7: Immunohistochemical analysis of paraffin-embedded rat lung tissue with Rabbit anti-RALBP1 antibody (ET1610-88) at 1/200 dilution.

The section was pre-treated using heat mediated antigen retrieval with Tris-EDTA buffer (pH 9.0) for 20 minutes. The tissues were blocked in 1% BSA for 20 minutes at room temperature, washed with ddH2O and PBS, and then probed with the primary antibody (ET1610-88) at 1/200 dilution for 1 hour at room temperature. The detection was performed using an HRP conjugated compact polymer system. DAB was used as the chromogen. Tissues were counterstained with hematoxylin and mounted with DPX.
ET1610-88_8.jpg Fig8: Immunohistochemical analysis of paraffin-embedded human breast carcinoma tissue with Rabbit anti-RALBP1 antibody (ET1610-88) at 1/200 dilution.

The section was pre-treated using heat mediated antigen retrieval with Tris-EDTA buffer (pH 9.0) for 20 minutes. The tissues were blocked in 1% BSA for 20 minutes at room temperature, washed with ddH2O and PBS, and then probed with the primary antibody (ET1610-88) at 1/200 dilution for 1 hour at room temperature. The detection was performed using an HRP conjugated compact polymer system. DAB was used as the chromogen. Tissues were counterstained with hematoxylin and mounted with DPX.
ET1610-88_9.jpg Fig9: Immunocytochemistry analysis of MCF7 cells labeling RALBP1 with Rabbit anti-RALBP1 antibody (ET1610-88) at 1/100 dilution.

Cells were fixed in 4% paraformaldehyde for 15 minutes at room temperature, permeabilized with 0.1% Triton X-100 in PBS for 15 minutes at room temperature, then blocked with 1% BSA in 10% negative goat serum for 1 hour at room temperature. Cells were then incubated with Rabbit anti-RALBP1 antibody (ET1610-88) at 1/100 dilution in 1% BSA in PBST overnight at 4 ℃. Goat Anti-Rabbit IgG H&L (iFluor™ 488, HA1121) was used as the secondary antibody at 1/1,000 dilution. PBS instead of the primary antibody was used as the secondary antibody only control. Nuclear DNA was labelled in blue with DAPI.

Beta tubulin (HA601187, red) was stained at 1/100 dilution overnight at +4℃. Goat Anti-Mouse IgG H&L (iFluor™ 594, HA1126) was used as the secondary antibody at 1/1,000 dilution.
ET1610-88_10.jpg Fig10: Immunocytochemistry analysis of NIH/3T3 cells labeling RALBP1 with Rabbit anti-RALBP1 antibody (ET1610-88) at 1/100 dilution.

Cells were fixed in 4% paraformaldehyde for 15 minutes at room temperature, permeabilized with 0.1% Triton X-100 in PBS for 15 minutes at room temperature, then blocked with 1% BSA in 10% negative goat serum for 1 hour at room temperature. Cells were then incubated with Rabbit anti-RALBP1 antibody (ET1610-88) at 1/100 dilution in 1% BSA in PBST overnight at 4 ℃. Goat Anti-Rabbit IgG H&L (iFluor™ 488, HA1121) was used as the secondary antibody at 1/1,000 dilution. PBS instead of the primary antibody was used as the secondary antibody only control. Nuclear DNA was labelled in blue with DAPI.

Beta tubulin (HA601187, red) was stained at 1/100 dilution overnight at +4℃. Goat Anti-Mouse IgG H&L (iFluor™ 594, HA1126) was used as the secondary antibody at 1/1,000 dilution.
ET1610-88_11.jpg Fig11: Immunocytochemistry analysis of C6 cells labeling RALBP1 with Rabbit anti-RALBP1 antibody (ET1610-88) at 1/100 dilution.

Cells were fixed in 4% paraformaldehyde for 15 minutes at room temperature, permeabilized with 0.1% Triton X-100 in PBS for 15 minutes at room temperature, then blocked with 1% BSA in 10% negative goat serum for 1 hour at room temperature. Cells were then incubated with Rabbit anti-RALBP1 antibody (ET1610-88) at 1/100 dilution in 1% BSA in PBST overnight at 4 ℃. Goat Anti-Rabbit IgG H&L (iFluor™ 488, HA1121) was used as the secondary antibody at 1/1,000 dilution. PBS instead of the primary antibody was used as the secondary antibody only control. Nuclear DNA was labelled in blue with DAPI.

Beta tubulin (HA601187, red) was stained at 1/100 dilution overnight at +4℃. Goat Anti-Mouse IgG H&L (iFluor™ 594, HA1126) was used as the secondary antibody at 1/1,000 dilution.
ET1610-88_12.jpg Fig12: Flow cytometric analysis of MCF7 cells labeling RALBP1.

Cells were fixed and permeabilized. Then stained with the primary antibody (ET1610-88, 1/1,000) (red) compared with Rabbit IgG Isotype Control (green). After incubation of the primary antibody at +4℃ for an hour, the cells were stained with a iFluor™ 488 conjugate-Goat anti-Rabbit IgG Secondary antibody (HA1121) at 1/1,000 dilution for 30 minutes at +4℃. Unlabelled sample was used as a control (cells without incubation with primary antibody; black).
ET1610-88_13.jpg Fig13: Flow cytometric analysis of NIH/3T3 cells labeling RALBP1.

Cells were fixed and permeabilized. Then stained with the primary antibody (ET1610-88, 1/1,000) (red) compared with Rabbit IgG Isotype Control (green). After incubation of the primary antibody at +4℃ for an hour, the cells were stained with a iFluor™ 488 conjugate-Goat anti-Rabbit IgG Secondary antibody (HA1121) at 1/1,000 dilution for 30 minutes at +4℃. Unlabelled sample was used as a control (cells without incubation with primary antibody; black).
ET1610-88_14.jpg Fig14: Flow cytometric analysis of C6 cells labeling RALBP1.

Cells were fixed and permeabilized. Then stained with the primary antibody (ET1610-88, 1/1,000) (red) compared with Rabbit IgG Isotype Control (green). After incubation of the primary antibody at +4℃ for an hour, the cells were stained with a iFluor™ 488 conjugate-Goat anti-Rabbit IgG Secondary antibody (HA1121) at 1/1,000 dilution for 30 minutes at +4℃. Unlabelled sample was used as a control (cells without incubation with primary antibody; black).
Note: All products are “FOR RESEARCH USE ONLY AND ARE NOT INTENDED FOR DIAGNOSTIC OR THERAPEUTIC USE”.