NLRP3 Recombinant Rabbit Monoclonal Antibody [SC06-23]
cat.: ET1610-93
Product Type: Recombinant Rabbit monoclonal IgG, primary antibodies
Species reactivity: Human, Mouse, Rat
Applications: WB, IF-Cell, IHC-P, FC
Clonality: Monoclonal
Clone number: SC06-23
Form: Liquid
Storage condition: Shipped at 4℃. Store at +4℃ short term (1-2 weeks). It is recommended to aliquot into single-use upon delivery. Store at -20℃ long term.
Storage buffer: 1*TBS (pH7.4), 0.05% BSA, 40% Glycerol. Preservative: 0.05% Sodium Azide.
Concentration: 1ug/ul
Purification: Protein A affinity purified.
Molecular weight: Predicted band size: 118 kDa
Isotype: IgG
Immunogen: Recombinant protein within Human NLRP3 aa 5-161 / 1036.
Positive control: THP-1 cell lysate, RAW264.7 cell lysate, RAW264.7, HUVEC, human lung carcinoma tissue, human colon carcinoma tissue.
Subcellular location: Cytoplasm, Inflammasome, Secreted, Nucleus, Endoplasmic reticulum.
Recommended Dilutions:
  WB
  IF-Cell
  IHC-P
  FC

1:1,000-1:2,000
1:100-1:500
1:400-1:5,000
1:500-1:1,000
Uniprot #: SwissProt: Q96P20 Human | Q8R4B8 Mouse
Entrez Gene: 287362 Rat
Alternative names: AGTAVPRL AII/AVP Angiotensin/vasopressin receptor AII/AVP like Angiotensin/vasopressin receptor AII/AVP-like C1orf7 Caterpiller protein 1.1 CIAS 1 CIAS1 CLR1.1 Cold autoinflammatory syndrome 1 Cold autoinflammatory syndrome 1 protein Cryopyrin Familial cold autoinflammatory syndrome FCAS FCU LRR and PYD domains-containing protein 3 Muckle-Wells syndrome MWS NACHT NACHT LRR and PYD containing protein 3 NALP 3 NALP3 NALP3_HUMAN NLRP3 PYPAF 1 PYPAF1 PYRIN containing APAF1 like protein 1 PYRIN-containing APAF1-like protein 1
Images
ET1610-93_1.jpg Fig1: Western blot analysis of NLRP3 on different lysates with Rabbit anti-NLRP3 antibody (ET1610-93) at 1/1,000 dilution.

Lane 1: THP-1 cell lysate
Lane 2: RAW264.7 cell lysate

Lysates/proteins at 20 µg/Lane.

Predicted band size: 118 kDa
Observed band size: 118 kDa

Exposure time: 3 minutes;

4-20% SDS-PAGE gel.

Proteins were transferred to a PVDF membrane and blocked with 5% NFDM/TBST for 1 hour at room temperature. The primary antibody (ET1610-93) at 1/1,000 dilution was used in 5% NFDM/TBST at room temperature for 2 hours. Goat Anti-Rabbit IgG - HRP Secondary Antibody (HA1001) at 1:100,000 dilution was used for 1 hour at room temperature.
ET1610-93_2.jpg Fig2: Immunocytochemistry analysis of RAW264.7 cells treated with 10μg/mL LPS for 8 hours labeling NLRP3 with Rabbit anti-NLRP3 antibody (ET1610-93) at 1/100 dilution.

Cells were fixed in 4% paraformaldehyde for 15 minutes at room temperature, permeabilized with 0.1% Triton X-100 in PBS for 15 minutes at room temperature, then blocked with 1% BSA in 10% negative goat serum for 1 hour at room temperature. Cells were then incubated with Rabbit anti-NLRP3 antibody (ET1610-93) at 1/100 dilution in 1% BSA in PBST overnight at 4 ℃. Goat Anti-Rabbit IgG H&L (iFluor™ 488, HA1121) was used as the secondary antibody at 1/1,000 dilution. PBS instead of the primary antibody was used as the secondary antibody only control. Nuclear DNA was labelled in blue with DAPI.

Beta tubulin (HA601187, red) was stained at 1/100 dilution overnight at +4℃. Goat Anti-Mouse IgG H&L (iFluor™ 594, HA1126) was used as the secondary antibody at 1/1,000 dilution.
ET1610-93_3.jpg Fig3: Immunocytochemistry analysis of HUVEC cells labeling NLRP3 with Rabbit anti-NLRP3 antibody (ET1610-93) at 1/50 dilution.

Cells were fixed in 4% paraformaldehyde for 10 minutes at 37 ℃, permeabilized with 0.05% Triton X-100 in PBS for 20 minutes, and then blocked with 2% negative goat serum for 30 minutes at room temperature. Cells were then incubated with Rabbit anti-NLRP3 antibody (ET1610-93) at 1/50 dilution in 2% negative goat serum overnight at 4 ℃. Goat Anti-Rabbit IgG H&L (iFluor™ 488, HA1121) was used as the secondary antibody at 1/1,000 dilution. PBS instead of the primary antibody was used as the secondary antibody only control. Nuclear DNA was labelled in blue with DAPI.
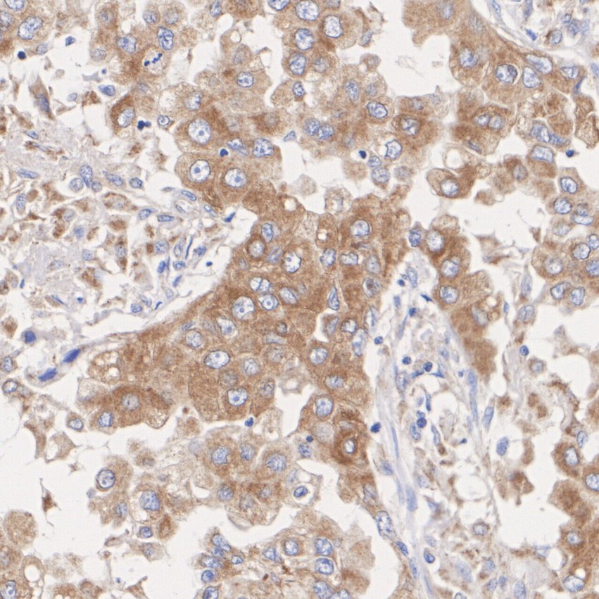
ET1610-93_4.jpg Fig4: Immunohistochemical analysis of paraffin-embedded human lung carcinoma tissue with Rabbit anti-NLRP3 antibody (ET1610-93) at 1/5,000 dilution.

The section was pre-treated using heat mediated antigen retrieval with Tris-EDTA buffer (pH 9.0) for 20 minutes. The tissues were blocked in 1% BSA for 20 minutes at room temperature, washed with ddH2O and PBS, and then probed with the primary antibody (ET1610-93) at 1/5,000 dilution for 1 hour at room temperature. The detection was performed using an HRP conjugated compact polymer system. DAB was used as the chromogen. Tissues were counterstained with hematoxylin and mounted with DPX.
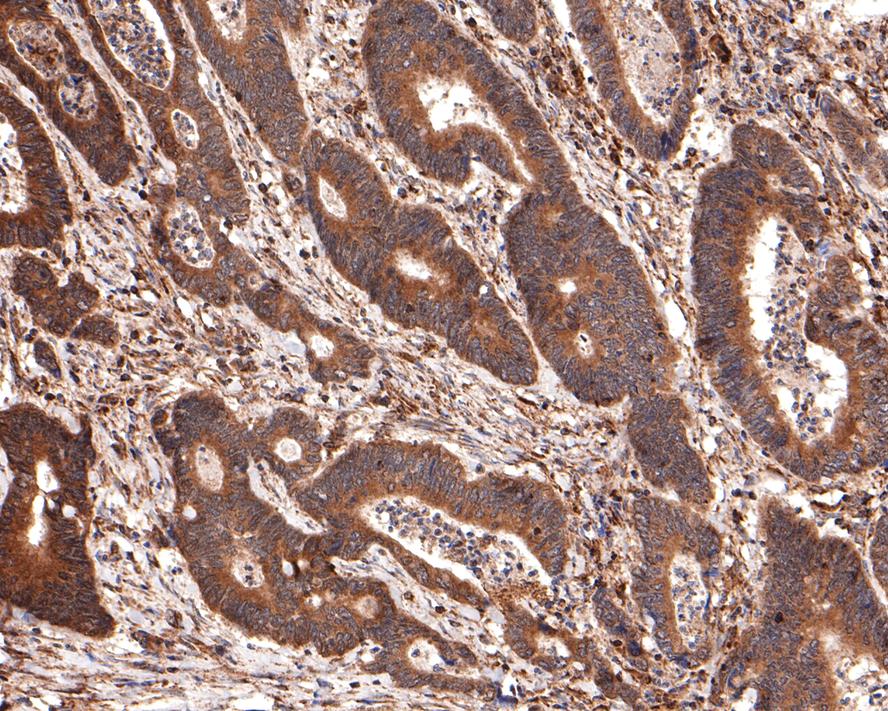
ET1610-93_5.jpg Fig5: Immunohistochemical analysis of paraffin-embedded human colon carcinoma tissue with Rabbit anti-NLRP3 antibody (ET1610-93) at 1/400 dilution.

The section was pre-treated using heat mediated antigen retrieval with sodium citrate buffer (pH 6.0) (high pressure) for 2 minutes. The tissues were blocked in 1% BSA for 20 minutes at room temperature, washed with ddH2O and PBS, and then probed with the primary antibody (ET1610-93) at 1/400 dilution for 1 hour at room temperature. The detection was performed using an HRP conjugated compact polymer system. DAB was used as the chromogen. Tissues were counterstained with hematoxylin and mounted with DPX.
Note: All products are “FOR RESEARCH USE ONLY AND ARE NOT INTENDED FOR DIAGNOSTIC OR THERAPEUTIC USE”.