NSE Recombinant Rabbit Monoclonal Antibody [SC06-28]
cat.: ET1610-96
Product Type: Recombinant Rabbit monoclonal IgG, primary antibodies
Species reactivity: Human, Mouse, Rat, Zebrafish
Applications: WB, IF-Cell, IHC-P
Clonality: Monoclonal
Clone number: SC06-28
Form: Liquid
Storage condition: Shipped at 4℃. Store at +4℃ short term (1-2 weeks). It is recommended to aliquot into single-use upon delivery. Store at -20℃ long term.
Storage buffer: 1*TBS (pH7.4), 0.05% BSA, 40% Glycerol. Preservative: 0.05% Sodium Azide.
Concentration: 1ug/ul
Purification: Protein A affinity purified.
Molecular weight: Predicted band size: 47 kDa
Isotype: IgG
Immunogen: Synthetic peptide within human NSE aa 30-70.
Positive control: HepG2 cell lysate, HeLa cell lysate, HEK-293 cell lysate, mouse brain tissue lysate, PC-12 cell lysate, SH-SY5Y cell lysate, hybrid fish (crucian-carp) brain tissue lysate, human breast cancer tissue , SH-SY5Y, 293, rat brain tissue, mouse brain tissue.
Subcellular location: Cytoplasm, Cell membrane.
Recommended Dilutions:
  WB
  IF-Cell
  IHC-P

1:1,000-1:5,000
1:50-1:100
1:50-1:200
Uniprot #: SwissProt: P09104 Human | P17183 Mouse | P07323 Rat
Alternative names: 2 phospho D glycerate hydrolyase 2-phospho-D-glycerate hydro-lyase Eno 2 ENO2 ENOG ENOG_HUMAN Enolase 2 (gamma, neuronal) Enolase 2 Enolase 2 gamma neuronal Enolase2 Epididymis secretory protein Li 279 Gamma enolase Gamma-enolase HEL S 279 Neural enolase Neuron specific enolase Neuron specific gamma enolase Neuron-specific enolase Neurone specific enolase NSE
Images
ET1610-96_1.jpg Fig1: Western blot analysis of NSE on different lysates with Rabbit anti-NSE antibody (ET1610-96) at 1/1,000 dilution.

Lane 1: HepG2 cell lysate (10 µg/Lane)
Lane 2: HeLa cell lysate (10 µg/Lane)
Lane 3: HEK-293 cell lysate (10 µg/Lane)
Lane 4: Mouse brain tissue lysate (20 µg/Lane)
Lane 5: PC-12 cell lysate (10 µg/Lane)
Lane 6: SH-SY5Y cell lysate (10 µg/Lane)

Predicted band size: 47 kDa
Observed band size: 47 kDa

Exposure time: 1 minutes;

4-20% SDS-PAGE gel.

Proteins were transferred to a PVDF membrane and blocked with 5% NFDM/TBST for 1 hour at room temperature. The primary antibody (ET1610-96) at 1/1,000 dilution was used in 5% NFDM/TBST at room temperature for 2 hours. Goat Anti-Rabbit IgG - HRP Secondary Antibody (HA1001) at 1:100,000 dilution was used for 1 hour at room temperature.
ET1610-96_2.jpg Fig2: Western blot analysis of NSE on different lysates with Rabbit anti-NSE antibody (ET1610-96) at 1/5,000 dilution.

Lane 1: HAP1-parental cell lysate
Lane 2: HAP1-NSE KD cell lysate

Lysates/proteins at 10 µg/Lane.

Predicted band size: 47 kDa
Observed band size: 47 kDa

Exposure time: 6 seconds; ECL: K1801;

4-20% SDS-PAGE gel.

Proteins were transferred to a PVDF membrane and blocked with 5% NFDM/TBST for 1 hour at room temperature. The primary antibody (ET1610-96) at 1/5,000 dilution was used in K1803 at 4℃ overnight. Goat Anti-Rabbit IgG - HRP Secondary Antibody (HA1001) at 1/50,000 dilution was used for 1 hour at room temperature.
ET1610-96_3.jpg Fig3: Western blot analysis of NSE on hybrid fish
(crucian-carp) brain tissue lysates. Proteins were transferred to a PVDF membrane and blocked with 5% BSA in PBS for 1 hour at room temperature. The primary antibody (ET1610-96, 1/500) was used in 5% BSA at room temperature for 2 hours. Goat Anti-Rabbit IgG - HRP Secondary Antibody (HA1001) at 1:5,000 dilution was used for 1 hour at room temperature.
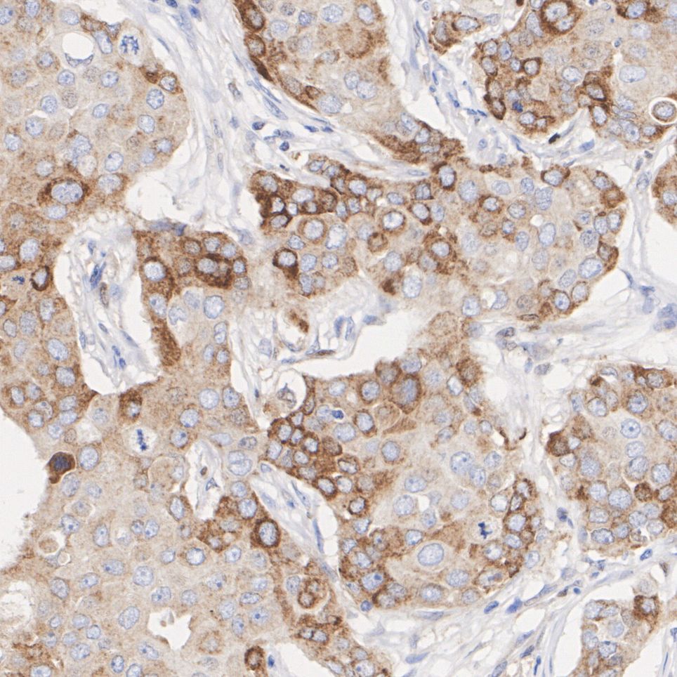
ET1610-96_4.jpg Fig4: Immunohistochemical analysis of paraffin-embedded human breast cancer tissue with Rabbit anti-NSE antibody (ET1610-96) at 1/200 dilution.

The section was pre-treated using heat mediated antigen retrieval with Tris-EDTA buffer (pH 9.0) for 20 minutes. The tissues were blocked in 1% BSA for 20 minutes at room temperature, washed with ddH2O and PBS, and then probed with the primary antibody (ET1610-96) at 1/200 dilution for 1 hour at room temperature. The detection was performed using an HRP conjugated compact polymer system. DAB was used as the chromogen. Tissues were counterstained with hematoxylin and mounted with DPX.
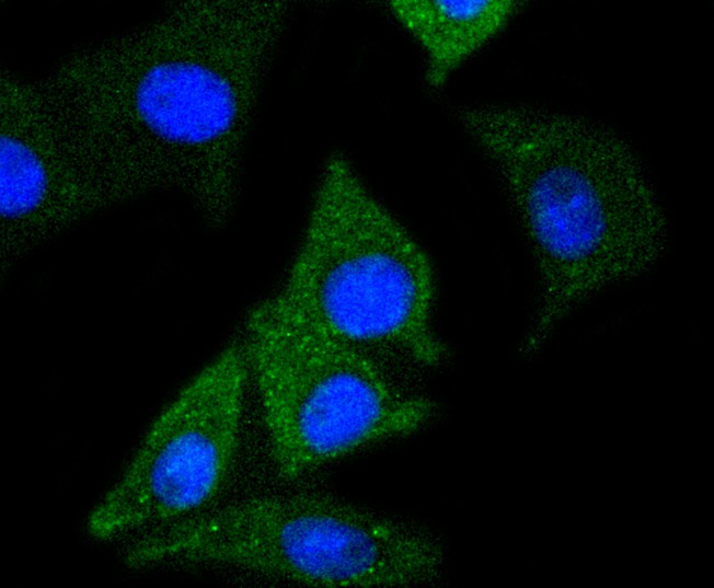
ET1610-96_5.jpg Fig5: ICC staining of NSE in SH-SY5Y cells (green). Formalin fixed cells were permeabilized with 0.1% Triton X-100 in TBS for 10 minutes at room temperature and blocked with 1% Blocker BSA for 15 minutes at room temperature. Cells were probed with the primary antibody (ET1610-96, 1/50) for 1 hour at room temperature, washed with PBS. Alexa Fluor®488 Goat anti-Rabbit IgG was used as the secondary antibody at 1/1,000 dilution. The nuclear counter stain is DAPI (blue).
ET1610-96_6.jpg Fig6: ICC staining of NSE in 293 cells (green). Formalin fixed cells were permeabilized with 0.1% Triton X-100 in TBS for 10 minutes at room temperature and blocked with 1% Blocker BSA for 15 minutes at room temperature. Cells were probed with the primary antibody (ET1610-96, 1/50) for 1 hour at room temperature, washed with PBS. Alexa Fluor®488 Goat anti-Rabbit IgG was used as the secondary antibody at 1/1,000 dilution. The nuclear counter stain is DAPI (blue).
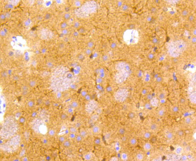
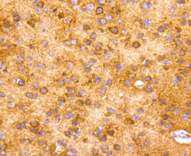
ET1610-96_7.jpg Fig7: Immunohistochemical analysis of paraffin-embedded rat brain tissue using anti-NSE antibody. The section was pre-treated using heat mediated antigen retrieval with Tris-EDTA buffer (pH 8.0-8.4) for 20 minutes.The tissues were blocked in 5% BSA for 30 minutes at room temperature, washed with ddH2O and PBS, and then probed with the primary antibody (ET1610-96, 1/50) for 30 minutes at room temperature. The detection was performed using an HRP conjugated compact polymer system. DAB was used as the chromogen. Tissues were counterstained with hematoxylin and mounted with DPX.
ET1610-96_8.jpg Fig8: Immunohistochemical analysis of paraffin-embedded mouse brain tissue using anti-NSE antibody. The section was pre-treated using heat mediated antigen retrieval with Tris-EDTA buffer (pH 8.0-8.4) for 20 minutes.The tissues were blocked in 5% BSA for 30 minutes at room temperature, washed with ddH2O and PBS, and then probed with the primary antibody (ET1610-96, 1/50) for 30 minutes at room temperature. The detection was performed using an HRP conjugated compact polymer system. DAB was used as the chromogen. Tissues were counterstained with hematoxylin and mounted with DPX.
Note: All products are “FOR RESEARCH USE ONLY AND ARE NOT INTENDED FOR DIAGNOSTIC OR THERAPEUTIC USE”.