Myosin Light Chain 2 Recombinant Rabbit Monoclonal Antibody [SN67-09]
cat.: ET1611-13
Product Type: Recombinant Rabbit monoclonal IgG, primary antibodies
Species reactivity: Human, Mouse, Rat, Zebrafish
Applications: WB, IHC-P, IP
Clonality: Monoclonal
Clone number: SN67-09
Form: Liquid
Storage condition: Shipped at 4℃. Store at +4℃ short term (1-2 weeks). It is recommended to aliquot into single-use upon delivery. Store at -20℃ long term.
Storage buffer: 1*TBS (pH7.4), 0.05% BSA, 40% Glycerol. Preservative: 0.05% Sodium Azide.
Concentration: 1ug/ul
Purification: Protein A affinity purified.
Molecular weight: Predicted band size: 19 kDa
Isotype: IgG
Immunogen: Synthetic peptide within Human Myosin Light Chain 2 aa 117-166 / 166.
Positive control: Mouse heart tissue lysate, Rat heart tissue lysate, hybrid fish (crucian-carp) skin tissue lysates, human striated muscle tissue, human fetal skeletal muscle tissue, human skeletal muscle tissue, mouse skeletal muscle tissue, rat skeletal muscle tissue, mouse heart tissue, rat heart tissue.
Subcellular location: Cytoplasm.
Recommended Dilutions:
  WB
  IHC-P
  IP

1:500-1:5,000
1:800-4,000
Use at an assay dependent concentration.
Uniprot #: SwissProt: P10916 Human | P51667 Mouse | P08733 Rat
Alternative names: Cardiac myosin light chain-2 Cardiac ventricular myosin light chain 2 CMH10 MLC 2v MLC-2 MLC-2v MLC2 MLRV_HUMAN MYL 2 MYL2 Myosin light chain 2 regulatory cardiac slow Myosin light polypeptide 2 regulatory cardiac slow Myosin regulatory light chain 2 Myosin regulatory light chain 2 ventricular/cardiac muscle isoform Regulatory light chain of myosin RLC of myosin Slow cardiac myosin regulatory light chain 2 ventricular/cardiac muscle isoform
Images
ET1611-13_1.jpg Fig1: Western blot analysis of Myosin Light Chain 2 on different lysates with Rabbit anti-Myosin Light Chain 2 antibody (ET1611-13) at 1/1,000 dilution.

Lane 1: Mouse heart tissue lysate
Lane 2: Rat heart tissue lysate

Lysates/proteins at 20 µg/Lane.

Predicted band size: 19 kDa
Observed band size: 19 kDa

Exposure time: 30 seconds; ECL: K1801;

4-20% SDS-PAGE gel.

Proteins were transferred to a PVDF membrane and blocked with 5% NFDM/TBST for 1 hour at room temperature. The primary antibody (ET1611-13) at 1/1,000 dilution was used in 5% NFDM/TBST at 4℃ overnight. Goat Anti-Rabbit IgG - HRP Secondary Antibody (HA1001) at 1/50,000 dilution was used for 1 hour at room temperature.
ET1611-13_2.jpg Fig2: Western blot analysis of Myosin Light Chain 2 on hybrid fish (crucian-carp) skin tissue lysates. Proteins were transferred to a PVDF membrane and blocked with 5% BSA in PBS for 1 hour at room temperature. The primary antibody (ET1611-13, 1/500) was used in 5% BSA at room temperature for 2 hours. Goat Anti-Rabbit IgG - HRP Secondary Antibody (HA1001) at 1:5,000 dilution was used for 1 hour at room temperature.
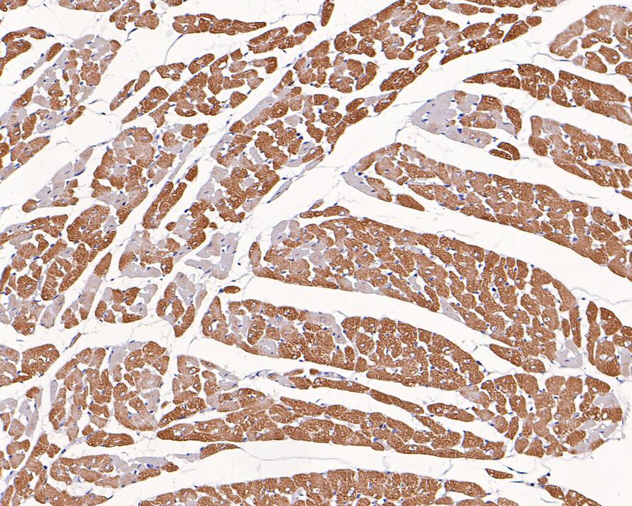
ET1611-13_3.jpg Fig3: Immunohistochemical analysis of paraffin-embedded human striated muscle tissue with Rabbit anti-Myosin Light Chain 2 antibody (ET1611-13) at 1/800 dilution.

The section was pre-treated using heat mediated antigen retrieval with Tris-EDTA buffer (pH 9.0) for 20 minutes. The tissues were blocked in 1% BSA for 20 minutes at room temperature, washed with ddH2O and PBS, and then probed with the primary antibody (ET1611-13) at 1/400 dilution for 1 hour at room temperature. The detection was performed using an HRP conjugated compact polymer system. DAB was used as the chromogen. Tissues were counterstained with hematoxylin and mounted with DPX.
ET1611-13_4.jpg Fig4: Immunohistochemical analysis of paraffin-embedded human fetal skeletal muscle tissue with Rabbit anti-Myosin Light Chain 2 antibody (ET1611-13) at 1/4,000 dilution.

The section was pre-treated using heat mediated antigen retrieval with Tris-EDTA buffer (pH 9.0) for 20 minutes. The tissues were blocked in 1% BSA for 20 minutes at room temperature, washed with ddH2O and PBS, and then probed with the primary antibody (ET1611-13) at 1/4,000 dilution for 1 hour at room temperature. The detection was performed using an HRP conjugated compact polymer system. DAB was used as the chromogen. Tissues were counterstained with hematoxylin and mounted with DPX.
ET1611-13_5.jpg Fig5: Immunohistochemical analysis of paraffin-embedded human skeletal muscle tissue with Rabbit anti-Myosin Light Chain 2 antibody (ET1611-13) at 1/4,000 dilution.

The section was pre-treated using heat mediated antigen retrieval with Tris-EDTA buffer (pH 9.0) for 20 minutes. The tissues were blocked in 1% BSA for 20 minutes at room temperature, washed with ddH2O and PBS, and then probed with the primary antibody (ET1611-13) at 1/4,000 dilution for 1 hour at room temperature. The detection was performed using an HRP conjugated compact polymer system. DAB was used as the chromogen. Tissues were counterstained with hematoxylin and mounted with DPX.
ET1611-13_6.jpg Fig6: Immunohistochemical analysis of paraffin-embedded mouse skeletal muscle tissue with Rabbit anti-Myosin Light Chain 2 antibody (ET1611-13) at 1/4,000 dilution.

The section was pre-treated using heat mediated antigen retrieval with Tris-EDTA buffer (pH 9.0) for 20 minutes. The tissues were blocked in 1% BSA for 20 minutes at room temperature, washed with ddH2O and PBS, and then probed with the primary antibody (ET1611-13) at 1/4,000 dilution for 1 hour at room temperature. The detection was performed using an HRP conjugated compact polymer system. DAB was used as the chromogen. Tissues were counterstained with hematoxylin and mounted with DPX.
ET1611-13_7.jpg Fig7: Immunohistochemical analysis of paraffin-embedded rat skeletal muscle tissue with Rabbit anti-Myosin Light Chain 2 antibody (ET1611-13) at 1/4,000 dilution.

The section was pre-treated using heat mediated antigen retrieval with Tris-EDTA buffer (pH 9.0) for 20 minutes. The tissues were blocked in 1% BSA for 20 minutes at room temperature, washed with ddH2O and PBS, and then probed with the primary antibody (ET1611-13) at 1/4,000 dilution for 1 hour at room temperature. The detection was performed using an HRP conjugated compact polymer system. DAB was used as the chromogen. Tissues were counterstained with hematoxylin and mounted with DPX.
ET1611-13_8.jpg Fig8: Immunohistochemical analysis of paraffin-embedded mouse heart tissue with Rabbit anti-Myosin Light Chain 2 antibody (ET1611-13) at 1/800 dilution.

The section was pre-treated using heat mediated antigen retrieval with Tris-EDTA buffer (pH 9.0) for 20 minutes. The tissues were blocked in 1% BSA for 20 minutes at room temperature, washed with ddH2O and PBS, and then probed with the primary antibody (ET1611-13) at 1/400 dilution for 1 hour at room temperature. The detection was performed using an HRP conjugated compact polymer system. DAB was used as the chromogen. Tissues were counterstained with hematoxylin and mounted with DPX.
ET1611-13_9.jpg Fig9: Immunohistochemical analysis of paraffin-embedded rat heart tissue with Rabbit anti-Myosin Light Chain 2 antibody (ET1611-13) at 1/800 dilution.

The section was pre-treated using heat mediated antigen retrieval with Tris-EDTA buffer (pH 9.0) for 20 minutes. The tissues were blocked in 1% BSA for 20 minutes at room temperature, washed with ddH2O and PBS, and then probed with the primary antibody (ET1611-13) at 1/400 dilution for 1 hour at room temperature. The detection was performed using an HRP conjugated compact polymer system. DAB was used as the chromogen. Tissues were counterstained with hematoxylin and mounted with DPX.
ET1611-13_10.jpg Fig10: Myosin Light Chain 2 was immunoprecipitated in 0.2mg mouse heart lysate with (ET1611-13) at 2 µg/10 µl beads. Western blot was performed from the immunoprecipitate using (ET1611-13) at 1/1,000 dilution. Anti-Rabbit IgG for IP Nano-secondary antibody (NBI01H) at 1/5,000 dilution was used for 1 hour at room temperature.

Lane 1: mouse heart lysate (input)
Lane 2: (ET1611-13) IP in mouse heart lysate
Lane 3: Rabbit IgG instead of (ET1611-13) in mouse heart lysate

Blocking/Dilution buffer: 5% NFDM/TBST
Exposure time: 15 seconds
Note: All products are “FOR RESEARCH USE ONLY AND ARE NOT INTENDED FOR DIAGNOSTIC OR THERAPEUTIC USE”.