P Glycoprotein Recombinant Rabbit Monoclonal Antibody [SN06-42]
cat.: ET1611-30
Product Type: Recombinant Rabbit monoclonal IgG, primary antibodies
Species reactivity: Human, Mouse, Rat
Applications: WB, IHC-P, IF-Tissue, IF-Cell
Clonality: Monoclonal
Clone number: SN06-42
Form: Liquid
Storage condition: Shipped at 4℃. Store at +4℃ short term (1-2 weeks). It is recommended to aliquot into single-use upon delivery. Store at -20℃ long term.
Storage buffer: 1*TBS (pH7.4), 0.05% BSA, 40% Glycerol. Preservative: 0.05% Sodium Azide.
Concentration: 1ug/ul
Purification: Protein A affinity purified.
Molecular weight: Predicted band size: 141 kDa
Isotype: IgG
Immunogen: Recombinant protein within Human P-glycoprotein 1 aa 373-730 / 1,280.
Positive control: HepG2 cell lysate, NIH/3T3 cell lysate, L-929 cell lysate, mouse brain tissue lysate, rat brain tissue lysate, human liver tissue, human kidney tissue, mouse brain tissue, rat brain tissue, C6, NIH/3T3.
Subcellular location: Cell membrane.
Recommended Dilutions:
  WB
  IHC-P
  IF-Tissue
  IF-Cell

1:1,000-1:2,000
1:50-1:200
1:50
1:100
Uniprot #: SwissProt: P08183 Human | P06795 Mouse | P43245 Rat
Alternative names: ABC20 ABCB1 ATP binding cassette, sub family B (MDR/TAP), member 1 ATP-binding cassette sub-family B member 1 CD243 CLCS Colchicin sensitivity Doxorubicin resistance GP170 MDR1 MDR1_HUMAN Multidrug resistance 1 Multidrug resistance protein 1 P glycoprotein 1 P gp P-glycoprotein 1 PGY1
Images
ET1611-30_1.jpg Fig1: Western blot analysis of P Glycoprotein on different lysates with Rabbit anti-P Glycoprotein antibody (ET1611-30) at 1/2,000 dilution.

Lane 1: HepG2 cell lysate (no heat) (20 µg/Lane)
Lane 2: HepG2 cell lysate

Notice: no heat means the lysate is not boiled.

Predicted band size: 141 kDa
Observed band size: 150~250 kDa

Exposure time: 2 minutes 37 seconds;

4-20% SDS-PAGE gel.

Proteins were transferred to a PVDF membrane and blocked with 5% NFDM/TBST for 1 hour at room temperature. The primary antibody (ET1611-30) at 1/2,000 dilution was used in 5% NFDM/TBST at 4℃ overnight. Goat Anti-Rabbit IgG - HRP Secondary Antibody (HA1001) at 1:50,000 dilution was used for 1 hour at room temperature.
ET1611-30_2.jpg Fig2: Western blot analysis of P Glycoprotein on different lysates with Rabbit anti-P Glycoprotein antibody (ET1611-30) at 1/1,000 dilution.

Lane 1: NIH/3T3 cell lysate (no heat)
Lane 2: L-929 cell lysate (no heat)
Lane 3: Mouse brain tissue lysate (no heat)
Lane 4: Rat brain tissue lysate (no heat)

Notice: no heat means the lysate is not boiled.

Lysates/proteins at 20 µg/Lane.

Predicted band size: 141 kDa
Observed band size: 150 kDa

Exposure time: 1 minute 59 seconds; ECL: K1802;
4-20% SDS-PAGE gel.

Proteins were transferred to a PVDF membrane and blocked with 5% NFDM/TBST for 1 hour at room temperature. The primary antibody (ET1611-30) at 1/1,000 dilution was used in 5% NFDM/TBST at 4℃ overnight. Goat Anti-Rabbit IgG - HRP Secondary Antibody (HA1001) at 1/50,000 dilution was used for 1 hour at room temperature.
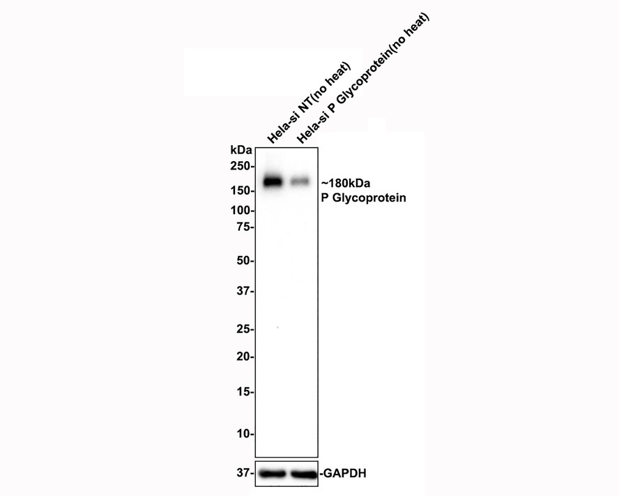
ET1611-30_3.jpg Fig3: Western blot analysis of P Glycoprotein on different lysates with Rabbit anti-P Glycoprotein antibody (ET1611-30) at 1/1,000 dilution.

Lane 1: Hela-si NT(no heat) cell lysate
Lane 2: Hela-si P Glycoprotein(no heat) cell lysate

Notice: no heat means the lysate is not boiled.

Lysates/proteins at 10 µg/Lane.

Predicted band size: 141 kDa
Observed band size: 180 kDa

Exposure time: 3 minutes;

4-20% SDS-PAGE gel.

ET1611-30 was shown to specifically react with P Glycoprotein in Hela-si NT cells. Weakened band was observed when Hela-si P Glycoprotein sample was tested. Hela-si NT and Hela-si P Glycoprotein samples were subjected to SDS-PAGE. Proteins were transferred to a PVDF membrane and blocked with 5% NFDM in TBST for 1 hour at room temperature. The primary antibody (ET1611-30, 1/1,000) and Loading control antibody (Rabbit anti-GAPDH, ET1601-4, 1/10,000) were used in 5% BSA at room temperature for 2 hours. Goat Anti-rabbit IgG-HRP Secondary Antibody (HA1001) at 1:100,000 dilution was used for 1 hour at room temperature.
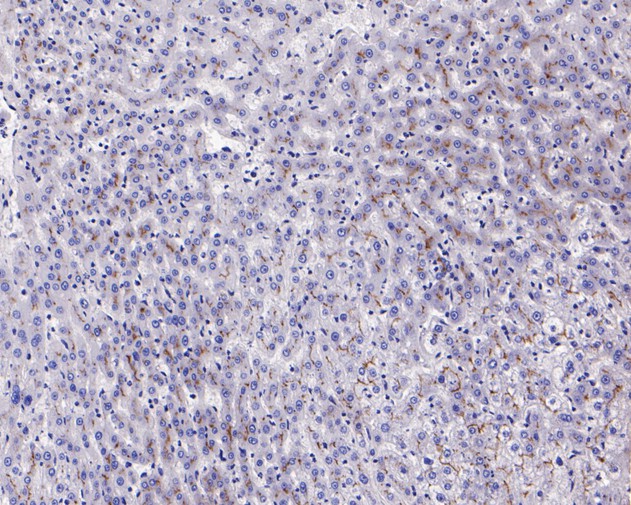
ET1611-30_4.jpg Fig4: Immunohistochemical analysis of paraffin-embedded human liver tissue using anti-P Glycoprotein antibody. The section was pre-treated using heat mediated antigen retrieval with Tris-EDTA buffer (pH 8.0-8.4) for 20 minutes.The tissues were blocked in 5% BSA for 30 minutes at room temperature, washed with ddH2O and PBS, and then probed with the primary antibody (ET1611-30, 1/50) for 30 minutes at room temperature. The detection was performed using an HRP conjugated compact polymer system. DAB was used as the chromogen. Tissues were counterstained with hematoxylin and mounted with DPX.
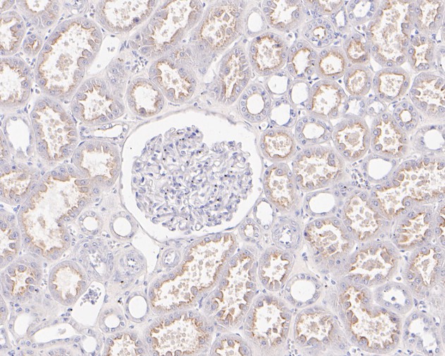
ET1611-30_5.jpg Fig5: Immunohistochemical analysis of paraffin-embedded human kidney tissue using anti-P Glycoprotein antibody. The section was pre-treated using heat mediated antigen retrieval with Tris-EDTA buffer (pH 8.0-8.4) for 20 minutes.The tissues were blocked in 5% BSA for 30 minutes at room temperature, washed with ddH2O and PBS, and then probed with the primary antibody (ET1611-30, 1/50) for 30 minutes at room temperature. The detection was performed using an HRP conjugated compact polymer system. DAB was used as the chromogen. Tissues were counterstained with hematoxylin and mounted with DPX.
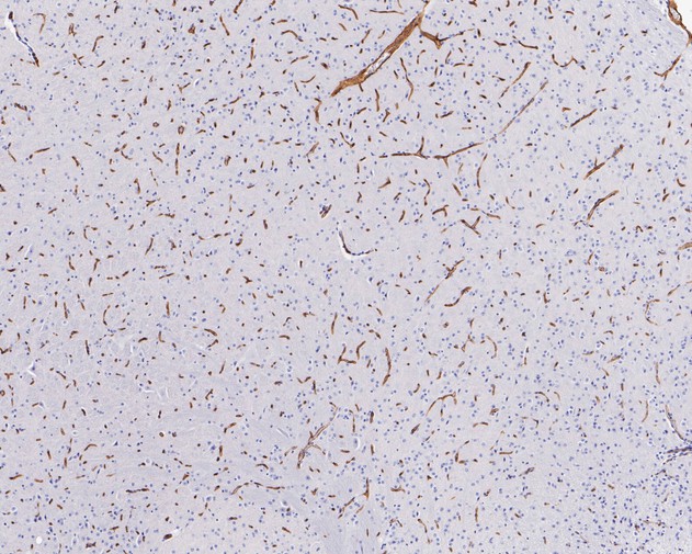
ET1611-30_6.jpg Fig6: Immunohistochemical analysis of paraffin-embedded mouse brain tissue using anti-P Glycoprotein antibody. The section was pre-treated using heat mediated antigen retrieval with Tris-EDTA buffer (pH 8.0-8.4) for 20 minutes.The tissues were blocked in 5% BSA for 30 minutes at room temperature, washed with ddH2O and PBS, and then probed with the primary antibody (ET1611-30, 1/50) for 30 minutes at room temperature. The detection was performed using an HRP conjugated compact polymer system. DAB was used as the chromogen. Tissues were counterstained with hematoxylin and mounted with DPX.
ET1611-30_7.jpg Fig7: Immunohistochemical analysis of paraffin-embedded rat brain tissue using anti-P Glycoprotein antibody. The section was pre-treated using heat mediated antigen retrieval with Tris-EDTA buffer (pH 8.0-8.4) for 20 minutes.The tissues were blocked in 5% BSA for 30 minutes at room temperature, washed with ddH2O and PBS, and then probed with the primary antibody (ET1611-30, 1/200) for 30 minutes at room temperature. The detection was performed using an HRP conjugated compact polymer system. DAB was used as the chromogen. Tissues were counterstained with hematoxylin and mounted with DPX.
ET1611-30_8.jpg Fig8: Immunofluorescence analysis of paraffin-embedded mouse brain tissue labeling P Glycoprotein with Rabbit anti-P Glycoprotein antibody (ET1611-30) at 1/50 dilution.

The section was pre-treated using heat mediated antigen retrieval with Tris-EDTA buffer (pH 9.0) for 20 minutes. The tissues were blocked in 10% negative goat serum for 1 hour at room temperature, washed with PBS, and then probed with the primary antibody (ET1611-30, green) at 1/50 dilution overnight at 4 ℃, washed with PBS.

Goat Anti-Rabbit IgG H&L (iFluor™ 488, HA1121) was used as the secondary antibody at 1/1,000 dilution. Nuclei were counterstained with DAPI (blue).
ET1611-30_9.jpg Fig9: Immunofluorescence analysis of paraffin-embedded rat brain tissue labeling P Glycoprotein with Rabbit anti-P Glycoprotein antibody (ET1611-30) at 1/50 dilution.

The section was pre-treated using heat mediated antigen retrieval with Tris-EDTA buffer (pH 9.0) for 20 minutes. The tissues were blocked in 10% negative goat serum for 1 hour at room temperature, washed with PBS, and then probed with the primary antibody (ET1611-30, green) at 1/50 dilution overnight at 4 ℃, washed with PBS.

Goat Anti-Rabbit IgG H&L (iFluor™ 488, HA1121) was used as the secondary antibody at 1/1,000 dilution. Nuclei were counterstained with DAPI (blue).
ET1611-30_10.jpg Fig10: Immunocytochemistry analysis of C6 cells labeling P Glycoprotein with Rabbit anti-P Glycoprotein antibody (ET1611-30) at 1/100 dilution.

Cells were fixed in 4% paraformaldehyde for 20 minutes at room temperature, permeabilized with 0.1% Triton X-100 in PBS for 5 minutes at room temperature, then blocked with 1% BSA in 10% negative goat serum for 1 hour at room temperature. Cells were then incubated with Rabbit anti-P Glycoprotein antibody (ET1611-30) at 1/100 dilution in 1% BSA in PBST overnight at 4 ℃. Goat Anti-Rabbit IgG H&L (iFluor™ 488, HA1121) was used as the secondary antibody at 1/1,000 dilution. PBS instead of the primary antibody was used as the secondary antibody only control. Nuclear DNA was labelled in blue with DAPI.

Beta tubulin (M1305-2, red) was stained at 1/100 dilution overnight at +4℃. Goat Anti-Mouse IgG H&L (iFluor™ 594, HA1126) was used as the secondary antibody at 1/1,000 dilution.
ET1611-30_11.jpg Fig11: Immunocytochemistry analysis of NIH/3T3 cells labeling P Glycoprotein with Rabbit anti-P Glycoprotein antibody (ET1611-30) at 1/100 dilution.

Cells were fixed in 4% paraformaldehyde for 20 minutes at room temperature, permeabilized with 0.1% Triton X-100 in PBS for 5 minutes at room temperature, then blocked with 1% BSA in 10% negative goat serum for 1 hour at room temperature. Cells were then incubated with Rabbit anti-P Glycoprotein antibody (ET1611-30) at 1/100 dilution in 1% BSA in PBST overnight at 4 ℃. Goat Anti-Rabbit IgG H&L (iFluor™ 488, HA1121) was used as the secondary antibody at 1/1,000 dilution. PBS instead of the primary antibody was used as the secondary antibody only control. Nuclear DNA was labelled in blue with DAPI.

Beta tubulin (M1305-2, red) was stained at 1/100 dilution overnight at +4℃. Goat Anti-Mouse IgG H&L (iFluor™ 594, HA1126) was used as the secondary antibody at 1/1,000 dilution.
Note: All products are “FOR RESEARCH USE ONLY AND ARE NOT INTENDED FOR DIAGNOSTIC OR THERAPEUTIC USE”.