Histone H3 (di methyl K9) Recombinant Rabbit Monoclonal Antibody [SN07-30]
cat.: ET1611-51
Product Type: Recombinant Rabbit monoclonal IgG, primary antibodies
Species reactivity: Human, Mouse, Rat
Applications: WB, IF-Cell, IF-Tissue, IHC-P
Clonality: Monoclonal
Clone number: SN07-30
Form: Liquid
Storage condition: Shipped at 4℃. Store at +4℃ short term (1-2 weeks). It is recommended to aliquot into single-use upon delivery. Store at -20℃ long term.
Storage buffer: 1*TBS (pH7.4), 0.05% BSA, 40% Glycerol. Preservative: 0.05% Sodium Azide.
Concentration: 1ug/ul
Purification: Protein A affinity purified.
Molecular weight: Predicted band size: 15 kDa
Isotype: IgG
Immunogen: Synthetic peptide within human Histone H3 aa 1-49/136.
Positive control: HeLa cell lysate, Jurkat cell lysate, MCF7 cell lysate, C2C12 cell lysate, C6 cell lysate, HepG2, Hela, L6, NIH/3T3, human thyroid tissue, human small intestine tissue, rat kidney tissue.
Subcellular location: Chromosome, Nucleosome core, Nucleus.
Recommended Dilutions:
  WB
  IF-Cell
  IF-Tissue
  IHC-P

1:500-1:1,000
1:50-1:200
1:50-1:200
1:50-1:200
Uniprot #: SwissProt: P68431 Human | P84243 Human | Q16695 Human | Q6NXT2 Human | Q71DI3 Human | P68433 Mouse | Q6LED0 Rat
Alternative names: HIST1 cluster, H3J Histone gene cluster 1, H3 histone family, member E Histone gene cluster 1, H3G H3 histone family, member J HIST1 cluster, H3E HIST1 cluster, H3I Histone gene cluster 1, H3C FLJ92264 H3 histone family, member A H3 histone family, member B H3 histone family, member C H3 histone family, member D H3 histone family, member F H3 histone family, member H H3 histone family, member I H3 histone family, member K H3 histone family, member L H3 histone family, member T H3 histone, family 3A H3.1 H3.3A H3/a H3/b H3/c H3/d h3/f H3/h H3/i H3/j H3/k H3/l H3/t H31_HUMAN H3F1K H3F3 H3F3A H3FA H3FB H3FC H3FD H3FF H3FH H3FI H3FJ H3FK H3FL HIST1 cluster, H3A HIST1 cluster, H3B HIST1 cluster, H3C HIST1 cluster, H3D HIST1 cluster, H3F HIST1 cluster, H3G HIST1 cluster, H3H HIST1H3A HIST1H3B HIST1H3C HIST1H3D HIST1H3E HIST1H3F HIST1H3G HIST1H3H HIST1H3I HIST1H3J HIST......
Images
ET1611-51_1.jpg Fig1: Western blot analysis of Histone H3 (di methyl K9) on different lysates with Rabbit anti-Histone H3 (di methyl K9) antibody (ET1611-51) at 1/1,000 dilution.

Lane 1: HeLa cell lysate
Lane 2: Jurkat cell lysate
Lane 3: MCF7 cell lysate
Lane 4: C2C12 cell lysate
Lane 5: C6 cell lysate

Lysates/proteins at 20 µg/Lane.

Predicted band size: 15 kDa
Observed band size: 15 kDa

Exposure time: 4 seconds; ECL: K1801;

4-20% SDS-PAGE gel.

Proteins were transferred to a PVDF membrane and blocked with 5% NFDM/TBST for 1 hour at room temperature. The primary antibody (ET1611-51) at 1/1,000 dilution was used in primary antibody dilution (K1803) at 4℃ overnight. Goat Anti-Rabbit IgG - HRP Secondary Antibody (HA1001) at 1/50,000 dilution was used for 1 hour at room temperature.
ET1611-51_2.jpg Fig2: ICC staining of Histone H3 (di methyl K9) in HepG2 cells (green). Formalin fixed cells were permeabilized with 0.1% Triton X-100 in TBS for 10 minutes at room temperature and blocked with 1% Blocker BSA for 15 minutes at room temperature. Cells were probed with the primary antibody (ET1611-51, 1/50) for 1 hour at room temperature, washed with PBS. Alexa Fluor®488 Goat anti-Rabbit IgG was used as the secondary antibody at 1/1,000 dilution. The nuclear counter stain is DAPI (blue).
ET1611-51_3.jpg Fig3: ICC staining of Histone H3 (di methyl K9) in Hela cells (green). Formalin fixed cells were permeabilized with 0.1% Triton X-100 in TBS for 10 minutes at room temperature and blocked with 1% Blocker BSA for 15 minutes at room temperature. Cells were probed with the primary antibody (ET1611-51, 1/50) for 1 hour at room temperature, washed with PBS. Alexa Fluor®488 Goat anti-Rabbit IgG was used as the secondary antibody at 1/1,000 dilution. The nuclear counter stain is DAPI (blue).
ET1611-51_4.jpg Fig4: ICC staining of Histone H3 (di methyl K9) in L6 cells (green). Formalin fixed cells were permeabilized with 0.1% Triton X-100 in TBS for 10 minutes at room temperature and blocked with 1% Blocker BSA for 15 minutes at room temperature. Cells were probed with the primary antibody (ET1611-51, 1/50) for 1 hour at room temperature, washed with PBS. Alexa Fluor®488 Goat anti-Rabbit IgG was used as the secondary antibody at 1/1,000 dilution. The nuclear counter stain is DAPI (blue).
ET1611-51_5.jpg Fig5: ICC staining of Histone H3 (di methyl K9) in NIH/3T3 cells (green). Formalin fixed cells were permeabilized with 0.1% Triton X-100 in TBS for 10 minutes at room temperature and blocked with 1% Blocker BSA for 15 minutes at room temperature. Cells were probed with the primary antibody (ET1611-51, 1/50) for 1 hour at room temperature, washed with PBS. Alexa Fluor®488 Goat anti-Rabbit IgG was used as the secondary antibody at 1/1,000 dilution. The nuclear counter stain is DAPI (blue).
ET1611-51_6.jpg Fig6: Immunohistochemical analysis of paraffin-embedded human thyroid tissue using anti-Histone H3 (di methyl K9) antibody. The section was pre-treated using heat mediated antigen retrieval with sodium citrate buffer (pH 6.0) for 20 minutes. The tissues were blocked in 5% BSA for 30 minutes at room temperature, washed with ddH2O and PBS, and then probed with the primary antibody (ET1611-51, 1/200) for 30 minutes at room temperature. The detection was performed using an HRP conjugated compact polymer system. DAB was used as the chromogen. Tissues were counterstained with hematoxylin and mounted with DPX.
ET1611-51_7.jpg Fig7: Immunohistochemical analysis of paraffin-embedded human small intestine tissue using anti-Histone H3 (di methyl K9) antibody. The section was pre-treated using heat mediated antigen retrieval with sodium citrate buffer (pH 6.0) for 20 minutes. The tissues were blocked in 5% BSA for 30 minutes at room temperature, washed with ddH2O and PBS, and then probed with the primary antibody (ET1611-51, 1/200) for 30 minutes at room temperature. The detection was performed using an HRP conjugated compact polymer system. DAB was used as the chromogen. Tissues were counterstained with hematoxylin and mounted with DPX.
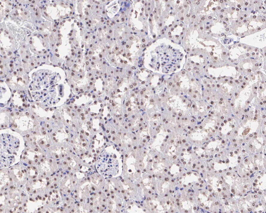
ET1611-51_8.jpg Fig8: Immunohistochemical analysis of paraffin-embedded rat kidney tissue with Rabbit anti-Histone H3 (di methyl K9) antibody (ET1611-51) at 1/1,000 dilution.

The section was pre-treated using heat mediated antigen retrieval with sodium citrate buffer (pH 6.0) for 2 minutes. The tissues were blocked in 1% BSA for 20 minutes at room temperature, washed with ddH2O and PBS, and then probed with the primary antibody (ET1611-51) at 1/1,000 dilution for 1 hour at room temperature. The detection was performed using an HRP conjugated compact polymer system. DAB was used as the chromogen. Tissues were counterstained with hematoxylin and mounted with DPX.
Note: All products are “FOR RESEARCH USE ONLY AND ARE NOT INTENDED FOR DIAGNOSTIC OR THERAPEUTIC USE”.