Cyclin H Recombinant Rabbit Monoclonal Antibody [SN20-48]
cat.: ET1611-84
Product Type: Recombinant Rabbit monoclonal IgG, primary antibodies
Species reactivity: Human, Mouse
Applications: WB, IF-Cell, IF-Tissue, IHC-P, IP, FC
Clonality: Monoclonal
Clone number: SN20-48
Form: Liquid
Storage condition: Shipped at 4℃. Store at +4℃ short term (1-2 weeks). It is recommended to aliquot into single-use upon delivery. Store at -20℃ long term.
Storage buffer: 1*TBS (pH7.4), 0.05% BSA, 40% Glycerol. Preservative: 0.05% Sodium Azide.
Concentration: 1ug/ul
Purification: Protein A affinity purified.
Molecular weight: Predicted band size: 38 kDa
Isotype: IgG
Immunogen: Recombinant protein within Human Cyclin H aa 230-323 / 323.
Positive control: K562 cell lysate, Jurkat cell lysate, Hela, MCF-7, PC-3M, mouse testis tissue, human colon cancer tissue.
Subcellular location: Nucleus.
Recommended Dilutions:
  WB
  IF-Cell
  IF-Tissue
  IHC-P
  FC

1:1,000-1:5,000
1:100-1:500
1:100-1:500
1:50-1:200
1:50-1:100
Uniprot #: SwissProt: P51946 Human | Q61458 Mouse
Alternative names: 6330408H09Rik AI661354 AV102684 AW538719 CAK CAK complex subunit ccnh CCNH_HUMAN CDK activating kinase CDK activating kinase complex subunit Cyclin dependent kinase activating kinase cyclin dependent kinase activating kinase complex subunit Cyclin H Cyclin-H CyclinH MO15 associated protein MO15-associated protein p34 p36 p37
Images
ET1611-84_1.jpg Fig1: Western blot analysis of Cyclin H on different lysates with Rabbit anti-Cyclin H antibody (ET1611-84) at 1/500 dilution.

Lane 1: K562 cell lysate
Lane 2: Jurkat cell lysate

Lysates/proteins at 10 µg/Lane.

Predicted band size: 38 kDa
Observed band size: 36 kDa

Exposure time: 2 minutes;

10% SDS-PAGE gel.

Proteins were transferred to a PVDF membrane and blocked with 5% NFDM/TBST for 1 hour at room temperature. The primary antibody (ET1611-84) at 1/500 dilution was used in 5% NFDM/TBST at room temperature for 2 hours. Goat Anti-Rabbit IgG - HRP Secondary Antibody (HA1001) at 1:300,000 dilution was used for 1 hour at room temperature.
ET1611-84_2.jpg Fig2: ICC staining Cyclin H in Hela cells (green). The nuclear counter stain is DAPI (blue). Cells were fixed in paraformaldehyde, permeabilised with 0.25% Triton X100/PBS.
ET1611-84_3.jpg Fig3: ICC staining Cyclin H in MCF-7 cells (green). The nuclear counter stain is DAPI (blue). Cells were fixed in paraformaldehyde, permeabilised with 0.25% Triton X100/PBS.
ET1611-84_4.jpg Fig4: ICC staining Cyclin H in PC-3M cells (green). The nuclear counter stain is DAPI (blue). Cells were fixed in paraformaldehyde, permeabilised with 0.25% Triton X100/PBS.
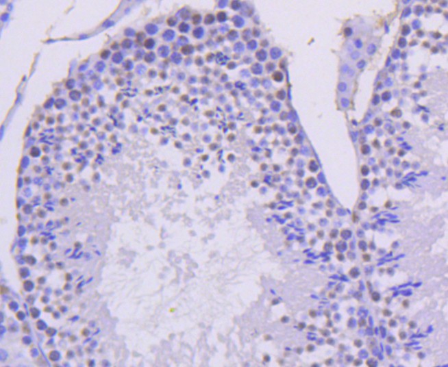
ET1611-84_5.jpg Fig5: Immunohistochemical analysis of paraffin-embedded mouse testis tissue using anti-Cyclin H antibody. Counter stained with hematoxylin.
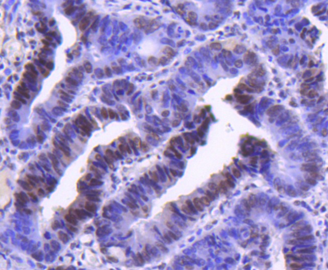
ET1611-84_6.jpg Fig6: Immunohistochemical analysis of paraffin-embedded human colon cancer tissue using anti-Cyclin H antibody. Counter stained with hematoxylin.
ET1611-84_7.jpg Fig7: Flow cytometric analysis of Hela cells with Cyclin H antibody at 1/50 dilution (red) compared with an unlabelled control (cells without incubation with primary antibody; black). Alexa Fluor 488-conjugated goat anti rabbit IgG was used as the secondary antibody.
Note: All products are “FOR RESEARCH USE ONLY AND ARE NOT INTENDED FOR DIAGNOSTIC OR THERAPEUTIC USE”.