Oct4 Recombinant Rabbit Monoclonal Antibody [SD0750]
cat.: ET1612-20
Product Type: Recombinant Rabbit monoclonal IgG, primary antibodies
Species reactivity: Human, Mouse
Applications: WB, IF-Cell, IF-Tissue, IHC-P, IP, FC, ChIP
Clonality: Monoclonal
Clone number: SD0750
Form: Liquid
Storage condition: Shipped at 4℃. Store at +4℃ short term (1-2 weeks). It is recommended to aliquot into single-use upon delivery. Store at -20℃ long term.
Storage buffer: 1*TBS (pH7.4), 0.05% BSA, 40% Glycerol. Preservative: 0.05% Sodium Azide.
Concentration: 1ug/ul
Purification: Protein A affinity purified.
Molecular weight: Predicted band size: 39 kDa
Isotype: IgG
Immunogen: Synthetic peptide within human Oct4 aa 20-60.
Positive control: F9 cell lysate, NCCIT cell lysate, NCCIT, F9, mouse liver tissue, human seminoma tissue tissue.
Subcellular location: Cytoplasm, Nucleus.
Recommended Dilutions:
  WB
  IF-Cell
  IF-Tissue
  IHC-P
  IP
  FC
  ChIP

1:2,000-1:8,000
1:1,000-1:2,000
1:1,000-1:2,000
1:500-1:4,000
Use at an assay dependent concentration.
1ug/mL
Use 0.5~2 μg for 25 μg of chromatin.
Uniprot #: SwissProt: Q01860 Human | P20263 Mouse
Alternative names: Octamer binding transcription factor 4 MGC22487 Oct 3 Oct 4 Oct-3 Oct-4 OCT3 Oct4 Octamer binding protein 3 Octamer binding protein 4 Octamer binding transcription factor 3 Octamer-binding protein 3 Octamer-binding protein 4 Octamer-binding transcription factor 3 OTF 3 OTF 4 OTF-3 OTF3 OTF4 PO5F1_HUMAN POU class 5 homeobox 1 POU domain class 5 transcription factor 1 POU domain transcription factor OCT4 POU domain, class 5, transcription factor 1 POU-type homeodomain-containing DNA-binding protein POU5F1
Images
ET1612-20_1.jpg Fig1: Immunocytochemistry analysis of NCCIT cells labeling Oct4 with Rabbit anti-Oct4 antibody (ET1612-20) at 1/2,000 dilution.

Cells were fixed in 4% paraformaldehyde for 20 minutes at room temperature, permeabilized with 0.1% Triton X-100 in PBS for 5 minutes at room temperature, then blocked with 1% BSA in 10% negative goat serum for 1 hour at room temperature. Cells were then incubated with Rabbit anti-Oct4 antibody (ET1612-20) at 1/2,000 dilution in 1% BSA in PBST overnight at 4 ℃. Goat Anti-Rabbit IgG H&L (iFluor™ 488, HA1121) was used as the secondary antibody at 1/1,000 dilution. PBS instead of the primary antibody was used as the secondary antibody only control. Nuclear DNA was labelled in blue with DAPI.

Beta tubulin (M1305-2, red) was stained at 1/100 dilution overnight at +4℃. Goat Anti-Mouse IgG H&L (iFluor™ 594, HA1126) was used as the secondary antibody at 1/1,000 dilution.
ET1612-20_2.jpg Fig2: Immunocytochemistry analysis of F9 cells labeling Oct4 with Rabbit anti-Oct4 antibody (ET1612-20) at 1/2,000 dilution.

Cells were fixed in 4% paraformaldehyde for 15 minutes at room temperature, permeabilized with 0.1% Triton X-100 in PBS for 15 minutes at room temperature, then blocked with 1% BSA in 10% negative goat serum for 1 hour at room temperature. Cells were then incubated with Rabbit anti-Oct4 antibody (ET1612-20) at 1/2,000 dilution in 1% BSA in PBST overnight at 4 ℃. Goat Anti-Rabbit IgG H&L (iFluor™ 488, HA1121) was used as the secondary antibody at 1/1,000 dilution. PBS instead of the primary antibody was used as the secondary antibody only control. Nuclear DNA was labelled in blue with DAPI.

Beta tubulin (HA601187, red) was stained at 1/100 dilution overnight at +4℃. Goat Anti-Mouse IgG H&L (iFluor™ 594, HA1126) was used as the secondary antibody at 1/1,000 dilution.
ET1612-20_3.jpg Fig3: Western blot analysis of Oct4 with anti-Oct4 antibody (ET1612-20) at 1/2,000 dilution.

Lane 1: Wild-type NCCIT whole cell lysate.
Lane 2: Oct4 knockout NCCIT whole cell lysate.

Proteins were transferred to a PVDF membrane and blocked with 5% NFDM in TBST for 1 hour at room temperature. The primary Anti-Oct4 antibody (ET1612-20, 1/2,000) and Anti-HSP90 antibody (ET1605-56, 1/10,000) were used in 5% BSA at room temperature for 2 hours. Goat Anti-Rabbit IgG H&L (HRP) Secondary Antibody (HA1001) at 1/50,000 dilution was used for 1 hour at room temperature.
ET1612-20_4.jpg Fig4: Western blot analysis of Oct4 on different lysates with Rabbit anti-Oct4 antibody (ET1612-20) at 1/2,000 dilution.

Lane 1: F9 cell lysate
Lane 2: NCCIT cell lysate

Lysates/proteins at 20 µg/Lane.

Predicted band size: 39 kDa
Observed band size: 45 kDa

Exposure time: 1 minute 59 seconds;

4-20% SDS-PAGE gel.

Proteins were transferred to a PVDF membrane and blocked with 5% NFDM/TBST for 1 hour at room temperature. The primary antibody (ET1612-20) at 1/2,000 dilution was used in 5% NFDM/TBST at 4℃ overnight. Goat Anti-Rabbit IgG - HRP Secondary Antibody (HA1001) at 1/50,000 dilution was used for 1 hour at room temperature.
ET1612-20_5.jpg Fig5: Application: IF-Tissue

Species: Human

Site: seminoma

Sample: Paraffin-embedded section

Antibody concentration: 1/1,000
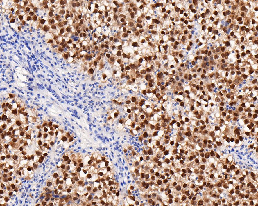
ET1612-20_6.jpg Fig6: Immunohistochemical analysis of paraffin-embedded human seminoma tissue with Rabbit anti-Oct4 antibody (ET1612-20) at 1/4,000 dilution.

The section was pre-treated using heat mediated antigen retrieval with sodium citrate buffer (pH 6.0) (high pressure) for 2 minutes. The tissues were blocked in 1% BSA for 20 minutes at room temperature, washed with ddH2O and PBS, and then probed with the primary antibody (ET1612-20) at 1/4,000 dilution for 1 hour at room temperature. The detection was performed using an HRP conjugated compact polymer system. DAB was used as the chromogen. Tissues were counterstained with hematoxylin and mounted with DPX.
ET1612-20_7.jpg Fig7: Oct4 was immunoprecipitated in 0.2mg NCCIT cell lysate with ET1612-20 at 2 µg/10 µl beads. Western blot was performed from the immunoprecipitate using ET1612-20 at 1/2,000 dilution. Anti-Rabbit IgG for IP Nano-secondary antibody (NBI01H) at 1/5,000 dilution was used for 1 hour at room temperature.

Lane 1: NCCIT cell lysate (input)
Lane 2: ET1612-20 IP in NCCIT cell lysate
Lane 3: Rabbit IgG instead of ET1612-20 in NCCIT cell lysate

Blocking/Dilution buffer: 5% NFDM/TBST
Exposure time: 1 minute 40 seconds
ET1612-20_8.jpg Fig8: Flow cytometric analysis of NCCIT cells labeling Oct4.

Cells were fixed and permeabilized. Then stained with the primary antibody (ET1612-20, 1/1,000) (red) compared with Rabbit IgG Isotype Control (green). After incubation of the primary antibody at +4℃ for an hour, the cells were stained with a iFluor™ 488 conjugate-Goat anti-Rabbit IgG Secondary antibody (HA1121) at 1/1,000 dilution for 30 minutes at +4℃. Unlabelled sample was used as a control (cells without incubation with primary antibody; black).
ET1612-20_9.jpg Fig9: Chromatin immunoprecipitations were performed with cross-linked chromatin from NCCIT cells with Oct4 (ET1612-20) or Normal Rabbit IgG according to the ChIP protocol. The enriched DNA was quantified by real-time PCR using indicated primers. The amount of immunoprecipitated DNA in each sample is represented as signal relative to the total amount of input chromatin, which is equivalent to one.
ET1612-20_10.jpg Fig10: Immunohistochemical analysis of paraffin-embedded human seminoma tissue with Rabbit anti-Oct4 antibody (ET1612-20) at 1/1,000 dilution.

Heat mediated antigen retrieval with Tris-EDTA buffer (pH 9.0, epitope retrieval solution 2) for 20 mins. The section was incubated with ET1612-20 for 30 mins at room temperature. The immunostaining was performed on a Leica Biosystems BOND® RX instrument. DAB was used as the chromogen. Tissues were counterstained with hematoxylin and mounted with DPX.
Note: All products are “FOR RESEARCH USE ONLY AND ARE NOT INTENDED FOR DIAGNOSTIC OR THERAPEUTIC USE”.