14-3-3 sigma Recombinant Rabbit Monoclonal Antibody [SD2070]
cat.: ET1612-41
Product Type: Recombinant Rabbit monoclonal IgG, primary antibodies
Species reactivity: Human, Mouse, Rat
Applications: WB, IHC-P, IF-Tissue
Clonality: Monoclonal
Clone number: SD2070
Form: Liquid
Storage condition: Shipped at 4℃. Store at +4℃ short term (1-2 weeks). It is recommended to aliquot into single-use upon delivery. Store at -20℃ long term.
Storage buffer: 1*TBS (pH7.4), 0.05% BSA, 40% Glycerol. Preservative: 0.05% Sodium Azide.
Concentration: 1ug/ul
Purification: Protein A affinity purified.
Molecular weight: Predicted band size: 28 kDa
Isotype: IgG
Immunogen: Synthetic peptide within Human 14-3-3 sigmaaa 50-99 / 248.
Positive control: A431 cell lysates, human skin tissue, mouse skin tissue, rat skin tissue.
Subcellular location: Cytoplasm, Nucleus, Secreted.
Recommended Dilutions:
  WB
  IHC-P
  IF-Tissue

1:1,000
1:2,000-1:10,000
1:1,000
Uniprot #: SwissProt: P31947 Human | O70456 Mouse
Entrez Gene: 313017 Rat
Alternative names: 14 3 3 protein sigma 14-3-3 protein sigma 1433S_HUMAN Epithelial cell marker protein 1 Er HME 1 HME1 MGC143283 Mkrn3 Mme1 OTTHUMP00000004242 RP23 137L22.11 SFN SFN protein Stratifin YWHAS
Images
ET1612-41_1.jpg Fig1: Western blot analysis of 14-3-3 sigma on A431 cell lysates with Rabbit anti-14-3-3 sigma antibody (ET1612-41) at 1/1,000 dilution.

Lysates/proteins at 20 µg/Lane.

Predicted band size: 28 kDa
Observed band size: 28 kDa

Exposure time: 1 minute 11 seconds; ECL: K1802;

4-20% SDS-PAGE gel.

Proteins were transferred to a PVDF membrane and blocked with 5% NFDM/TBST for 1 hour at room temperature. The primary antibody (ET1612-41) at 1/1,000 dilution was used in 5% NFDM/TBST at 4℃ overnight. Goat Anti-Rabbit IgG - HRP Secondary Antibody (HA1001) at 1/50,000 dilution was used for 1 hour at room temperature.
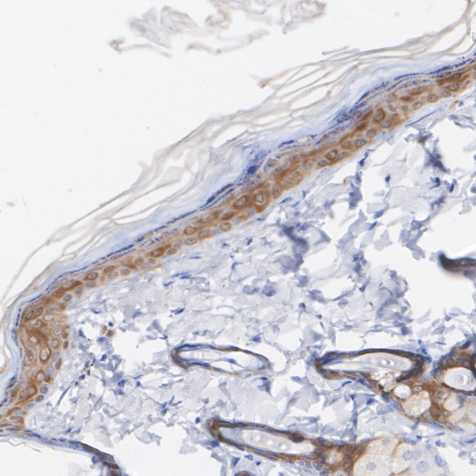
ET1612-41_2.jpg Fig2: Immunohistochemical analysis of paraffin-embedded human skin tissue with Rabbit anti-14-3-3 sigma antibody (ET1612-41) at 1/10,000 dilution.

The section was pre-treated using heat mediated antigen retrieval with sodium citrate buffer (pH 6.0) for 2 minutes. The tissues were blocked in 1% BSA for 20 minutes at room temperature, washed with ddH2O and PBS, and then probed with the primary antibody (ET1612-41) at 1/10,000 dilution for 1 hour at room temperature. The detection was performed using an HRP conjugated compact polymer system. DAB was used as the chromogen. Tissues were counterstained with hematoxylin and mounted with DPX.
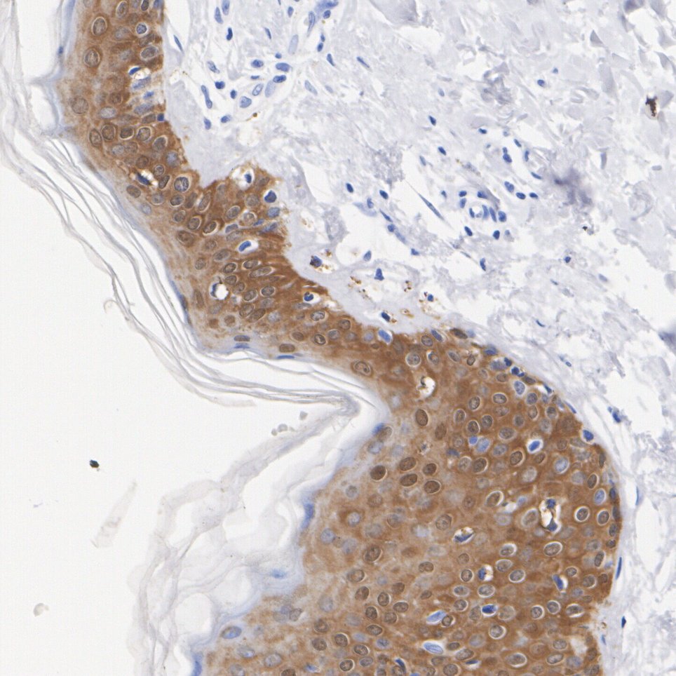
ET1612-41_3.jpg Fig3: Immunohistochemical analysis of paraffin-embedded mouse skin tissue with Rabbit anti-14-3-3 sigma antibody (ET1612-41) at 1/2,000 dilution.

The section was pre-treated using heat mediated antigen retrieval with sodium citrate buffer (pH 6.0) for 2 minutes. The tissues were blocked in 1% BSA for 20 minutes at room temperature, washed with ddH2O and PBS, and then probed with the primary antibody (ET1612-41) at 1/2,000 dilution for 1 hour at room temperature. The detection was performed using an HRP conjugated compact polymer system. DAB was used as the chromogen. Tissues were counterstained with hematoxylin and mounted with DPX.
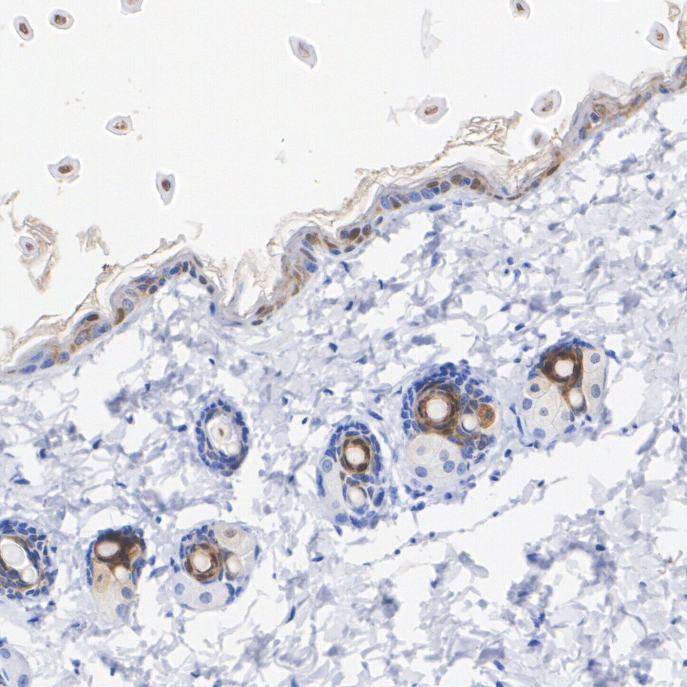
ET1612-41_4.jpg Fig4: Immunohistochemical analysis of paraffin-embedded rat skin tissue with Rabbit anti-14-3-3 sigma antibody (ET1612-41) at 1/2,000 dilution.

The section was pre-treated using heat mediated antigen retrieval with sodium citrate buffer (pH 6.0) for 2 minutes. The tissues were blocked in 1% BSA for 20 minutes at room temperature, washed with ddH2O and PBS, and then probed with the primary antibody (ET1612-41) at 1/2,000 dilution for 1 hour at room temperature. The detection was performed using an HRP conjugated compact polymer system. DAB was used as the chromogen. Tissues were counterstained with hematoxylin and mounted with DPX.
ET1612-41_5.jpg Fig5: Immunofluorescence analysis of paraffin-embedded human skin tissue labeling 14-3-3 sigma with Rabbit anti-14-3-3 sigma antibody (ET1612-41) at 1/1,000 dilution.

The section was pre-treated using heat mediated antigen retrieval with Tris-EDTA buffer (pH 9.0) for 20 minutes. The tissues were blocked in 10% negative goat serum for 1 hour at room temperature, washed with PBS, and then probed with the primary antibody (ET1612-41, green) at 1/1,000 dilution overnight at 4 ℃, washed with PBS. Goat Anti-Rabbit IgG H&L (iFluor™ 488, HA1121) was used as the secondary antibody at 1/1,000 dilution. Nuclei were counterstained with DAPI (blue).
Note: All products are “FOR RESEARCH USE ONLY AND ARE NOT INTENDED FOR DIAGNOSTIC OR THERAPEUTIC USE”.