HDAC4 Recombinant Rabbit Monoclonal Antibody [SD08-35]
cat.: ET1612-51
Product Type: Recombinant Rabbit monoclonal IgG, primary antibodies
Species reactivity: Human
Applications: WB, IF-Cell, IF-Tissue, IHC-P, FC
Clonality: Monoclonal
Clone number: SD08-35
Form: Liquid
Storage condition: Shipped at 4℃. Store at +4℃ short term (1-2 weeks). It is recommended to aliquot into single-use upon delivery. Store at -20℃ long term.
Storage buffer: 1*TBS (pH7.4), 0.05% BSA, 40% Glycerol. Preservative: 0.05% Sodium Azide.
Concentration: 1ug/ul
Purification: Protein A affinity purified.
Molecular weight: Predicted band size: 119 kDa
Isotype: IgG
Immunogen: Recombinant protein within human HDAC4 aa 11-125/1084.
Positive control: HCT 116 cell lysate, human colon cancer tissue, human testis tissue, HeLa.
Subcellular location: Nucleus, Cytoplasm.
Recommended Dilutions:
  WB
  IF-Cell
  IF-Tissue
  IHC-P
  FC

1:1,000-1:2,000
1:100-1:500
1:50-1:200
1:200
1:1,000
Uniprot #: SwissProt: P56524 Human
Alternative names: AHO3 BDMR EC 3.5.1.98 HA6116 HD 4 HD4 HDAC 4 HDAC A HDAC4 HDAC4_HUMAN HDACA Histone deacetylase 4 Histone Deacetylase A KIAA0288
Images
ET1612-51_1.jpg Fig1: Western blot analysis of HDAC4 on different lysates with Rabbit anti-HDAC4 antibody (ET1612-51) at 1/1,000 dilution.

Lane 1: HCT 116-si NT cell lysate
Lane 2: HCT 116-si HDAC4 cell lysate

Lysates/proteins at 10 µg/Lane.

Predicted band size: 119 kDa
Observed band size: 150 kDa

Exposure time: 3 minutes; ECL: K1801;

4-20% SDS-PAGE gel.

Proteins were transferred to a PVDF membrane and blocked with 5% NFDM/TBST for 1 hour at room temperature. The primary antibody (ET1612-51) at 1/1,000 dilution was used in 5% NFDM/TBST at 4℃ overnight. Goat Anti-Rabbit IgG - HRP Secondary Antibody (HA1001) at 1/50,000 dilution was used for 1 hour at room temperature.
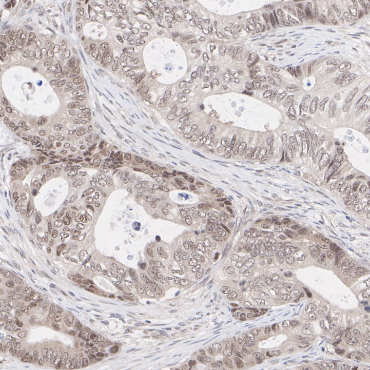
ET1612-51_2.jpg Fig2: Immunohistochemical analysis of paraffin-embedded human colon cancer tissue with Rabbit anti-HDAC4 antibody (ET1612-51) at 1/200 dilution.

The section was pre-treated using heat mediated antigen retrieval with sodium citrate buffer (pH 6.0) (high pressure) for 2 minutes. The tissues were blocked in 1% BSA for 20 minutes at room temperature, washed with ddH2O and PBS, and then probed with the primary antibody (ET1612-51) at 1/200 dilution for 1 hour at room temperature. The detection was performed using an HRP conjugated compact polymer system. DAB was used as the chromogen. Tissues were counterstained with hematoxylin and mounted with DPX.
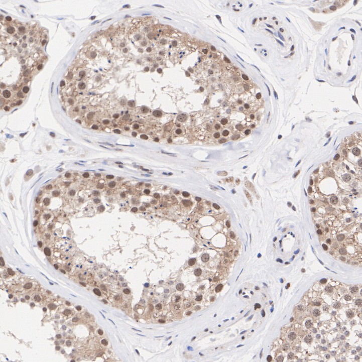
ET1612-51_3.jpg Fig3: Immunohistochemical analysis of paraffin-embedded human testis tissue with Rabbit anti-HDAC4 antibody (ET1612-51) at 1/200 dilution.

The section was pre-treated using heat mediated antigen retrieval with sodium citrate buffer (pH 6.0) (high pressure) for 2 minutes. The tissues were blocked in 1% BSA for 20 minutes at room temperature, washed with ddH2O and PBS, and then probed with the primary antibody (ET1612-51) at 1/200 dilution for 1 hour at room temperature. The detection was performed using an HRP conjugated compact polymer system. DAB was used as the chromogen. Tissues were counterstained with hematoxylin and mounted with DPX.
ET1612-51_4.jpg Fig4: Immunocytochemistry analysis of HeLa cells labeling HDAC4 with Rabbit anti-HDAC4 antibody (ET1612-51) at 1/100 dilution.

Cells were fixed in 4% paraformaldehyde for 15 minutes at room temperature, permeabilized with 0.1% Triton X-100 in PBS for 15 minutes at room temperature, then blocked with 1% BSA in 10% negative goat serum for 1 hour at room temperature. Cells were then incubated with Rabbit anti-HDAC4 antibody (ET1612-51) at 1/100 dilution in 1% BSA in PBST overnight at 4 ℃. Goat Anti-Rabbit IgG H&L (iFluor™ 488, HA1121) was used as the secondary antibody at 1/1,000 dilution. PBS instead of the primary antibody was used as the secondary antibody only control. Nuclear DNA was labelled in blue with DAPI.

Beta tubulin (HA601187, red) was stained at 1/100 dilution overnight at +4℃. Goat Anti-Mouse IgG H&L (iFluor™ 594, HA1126) was used as the secondary antibody at 1/1,000 dilution.
ET1612-51_5.jpg Fig5: Flow cytometric analysis of HeLa cells labeling HDAC4.

Cells were fixed and permeabilized. Then stained with the primary antibody (ET1612-51, 1/1,000) (red) compared with Rabbit IgG Isotype Control (green). After incubation of the primary antibody at +4℃ for an hour, the cells were stained with a iFluor™ 488 conjugate-Goat anti-Rabbit IgG Secondary antibody (HA1121) at 1/1,000 dilution for 30 minutes at +4℃. Unlabelled sample was used as a control (cells without incubation with primary antibody; black).
Note: All products are “FOR RESEARCH USE ONLY AND ARE NOT INTENDED FOR DIAGNOSTIC OR THERAPEUTIC USE”.