Stromal interaction molecule 1 Recombinant Rabbit Monoclonal Antibody [SD0814]
cat.: ET1612-53
Product Type: Recombinant Rabbit monoclonal IgG, primary antibodies
Species reactivity: Human, Mouse, Rat
Applications: WB, IHC-P, IP
Clonality: Monoclonal
Clone number: SD0814
Form: Liquid
Storage condition: Shipped at 4℃. Store at +4℃ short term (1-2 weeks). It is recommended to aliquot into single-use upon delivery. Store at -20℃ long term.
Storage buffer: 1*TBS (pH7.4), 0.05% BSA, 40% Glycerol. Preservative: 0.05% Sodium Azide.
Concentration: 1ug/ul
Purification: Protein A affinity purified.
Molecular weight: Predicted band size: 77 kDa
Isotype: IgG
Immunogen: Recombinant protein within Human Stromal aa 561-685 / 685.
Positive control: SH-SY5Y cell lysate, NIH/3T3 cell lysate, PC-12 cell lysate, Human lung tissue lysate, Mouse thymus tissue lysate, Rat thymus tissue lysate, human thyroid tissue, mouse skeletal muscle tissue, mouse testis tissue, rat testis tissue.
Subcellular location: Cell membrane, Endoplasmic reticulum membrane, Cytoplasm, Sarcoplasmic reticulum.
Recommended Dilutions:
  WB
  IHC-P

1:1,000
1:50-1:500
Uniprot #: SwissProt: Q13586 Human | P70302 Mouse | P84903 Rat
Alternative names: D11S4896E GOK OTTHUMP00000164512 OTTHUMP00000229140 OTTHUMP00000230742 SIM STIM 1 STIM1 Stim1 stromal interaction molecule 1 STIM1_HUMAN STIM1L Stromal interaction molecule 1
Images
ET1612-53_1.jpg Fig1: Western blot analysis of Stromal interaction molecule 1 on different lysates with Rabbit anti-Stromal interaction molecule 1 antibody (ET1612-53) at 1/1,000 dilution.

Lane 1: SH-SY5Y cell lysate (20 µg/Lane)
Lane 2: NIH/3T3 cell lysate (20 µg/Lane)
Lane 3: PC-12 cell lysate (20 µg/Lane)
Lane 4: Human lung tissue lysate (40 µg/Lane)
Lane 5: Mouse thymus tissue lysate (40 µg/Lane)
Lane 6: Rat thymus tissue lysate (40 µg/Lane)

Predicted band size: 77 kDa
Observed band size: 77 kDa

Exposure time: 3 minutes; ECL: K1801;

4-20% SDS-PAGE gel.

Proteins were transferred to a PVDF membrane and blocked with 5% NFDM/TBST for 1 hour at room temperature. The primary antibody (ET1612-53) at 1/1,000 dilution was used in 5% NFDM/TBST at 4℃ overnight. Goat Anti-Rabbit IgG - HRP Secondary Antibody (HA1001) at 1/50,000 dilution was used for 1 hour at room temperature.
ET1612-53_2.jpg Fig2: Immunohistochemical analysis of paraffin-embedded human thyroid tissue with Rabbit anti-Stromal interaction molecule 1 antibody (ET1612-53) at 1/50 dilution.

The section was pre-treated using heat mediated antigen retrieval with Tris-EDTA buffer (pH 9.0) for 20 minutes. The tissues were blocked in 1% BSA for 20 minutes at room temperature, washed with ddH2O and PBS, and then probed with the primary antibody (ET1612-53) at 1/50 dilution for 1 hour at room temperature. The detection was performed using an HRP conjugated compact polymer system. DAB was used as the chromogen. Tissues were counterstained with hematoxylin and mounted with DPX.
ET1612-53_3.jpg Fig3: Immunohistochemical analysis of paraffin-embedded mouse skeletal muscle tissue with Rabbit anti-Stromal interaction molecule 1 antibody (ET1612-53) at 1/200 dilution.

The section was pre-treated using heat mediated antigen retrieval with Tris-EDTA buffer (pH 9.0) for 20 minutes. The tissues were blocked in 1% BSA for 20 minutes at room temperature, washed with ddH2O and PBS, and then probed with the primary antibody (ET1612-53) at 1/200 dilution for 1 hour at room temperature. The detection was performed using an HRP conjugated compact polymer system. DAB was used as the chromogen. Tissues were counterstained with hematoxylin and mounted with DPX.
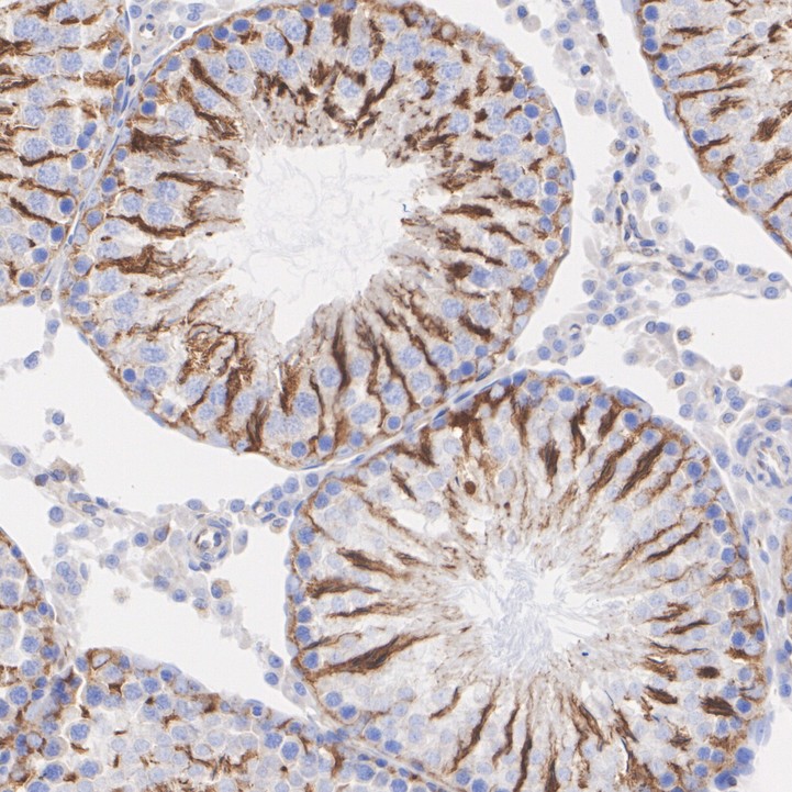
ET1612-53_4.jpg Fig4: Immunohistochemical analysis of paraffin-embedded mouse testis tissue with Rabbit anti-Stromal interaction molecule 1 antibody (ET1612-53) at 1/200 dilution.

The section was pre-treated using heat mediated antigen retrieval with Tris-EDTA buffer (pH 9.0) for 20 minutes. The tissues were blocked in 1% BSA for 20 minutes at room temperature, washed with ddH2O and PBS, and then probed with the primary antibody (ET1612-53) at 1/200 dilution for 1 hour at room temperature. The detection was performed using an HRP conjugated compact polymer system. DAB was used as the chromogen. Tissues were counterstained with hematoxylin and mounted with DPX.
ET1612-53_5.jpg Fig5: Immunohistochemical analysis of paraffin-embedded rat testis tissue with Rabbit anti-Stromal interaction molecule 1 antibody (ET1612-53) at 1/500 dilution.

The section was pre-treated using heat mediated antigen retrieval with Tris-EDTA buffer (pH 9.0) for 20 minutes. The tissues were blocked in 1% BSA for 20 minutes at room temperature, washed with ddH2O and PBS, and then probed with the primary antibody (ET1612-53) at 1/500 dilution for 1 hour at room temperature. The detection was performed using an HRP conjugated compact polymer system. DAB was used as the chromogen. Tissues were counterstained with hematoxylin and mounted with DPX.
Note: All products are “FOR RESEARCH USE ONLY AND ARE NOT INTENDED FOR DIAGNOSTIC OR THERAPEUTIC USE”.