AMPK beta 1 Recombinant Rabbit Monoclonal Antibody [SD082-06]
cat.: ET1612-56
Product Type: Recombinant Rabbit monoclonal IgG, primary antibodies
Species reactivity: Human, Mouse, Rat
Applications: WB, IHC-P, FC, IF-Cell
Clonality: Monoclonal
Clone number: SD082-06
Form: Liquid
Storage condition: Shipped at 4℃. Store at +4℃ short term (1-2 weeks). It is recommended to aliquot into single-use upon delivery. Store at -20℃ long term.
Storage buffer: 1*TBS (pH7.4), 0.05% BSA, 40% Glycerol. Preservative: 0.05% Sodium Azide.
Concentration: 1ug/ul
Purification: Protein A affinity purified.
Molecular weight: Predicted band size: 30 kDa
Isotype: IgG
Immunogen: Synthetic peptide within human AMPK beta 1 aa 90-130.
Positive control: HeLa cell lysate, A431 cell lysate, C2C12 cell lysate, NIH/3T3 cell lysate, rat brain tissue lysate, human smooth muscle tissue, A431, C2C12.
Subcellular location: Cytosol, nucleoplasm, nucleus, cytoplasm, nucleotide-activated protein kinase complex.
Recommended Dilutions:
  WB
  IHC-P
  FC
  IF-Cell

1:500-1:2,000
1:50-1:200
1:50-1:100
1:100
Uniprot #: SwissProt: Q9Y478 Human | Q9R078 Mouse | P80386 Rat
Alternative names: 1300015D22Rik 5'-AMP-activated protein kinase subunit beta-1 5'-AMP-activated protein kinase beta-1 subunit AAKB1_HUMAN AMP-activated protein kinase beta subunit AMP-ACTIVATED PROTEIN KINASE, NONCATALYTIC, BETA-1 AMP-activated, noncatalytic, beta-1 AMPK AMPK beta 1 chain AMPK subunit beta-1 AMPK-BETA-1 AMPKb AU021155 E430008F22 HAMPKb MGC17785 PRKAB1 Protein kinase AMP activated non catalytic subunit beta 1 protein kinase, AMP-activated, beta 1 non-catalytic subunit protein kinase, AMP-activated, noncatalytic, beta-1
Images
ET1612-56_1.jpg Fig1: Western blot analysis of AMPK beta 1 on different lysates with Rabbit anti-AMPK beta 1 antibody (ET1612-56) at 1/1,000 dilution.

Lane 1: HeLa cell lysate (20 µg/Lane)
Lane 2: A431 cell lysate (20 µg/Lane)
Lane 3: C2C12 cell lysate (20 µg/Lane)
Lane 4: NIH/3T3 cell lysate (20 µg/Lane)
Lane 5: Rat brain tissue lysate (40 µg/Lane)

Predicted band size: 30 kDa
Observed band size: 36 kDa

Exposure time: 1 minute;

4-20% SDS-PAGE gel.

Proteins were transferred to a PVDF membrane and blocked with 5% NFDM/TBST for 1 hour at room temperature. The primary antibody (ET1612-56) at 1/1,000 dilution was used in 5% NFDM/TBST at 4℃ overnight. Goat Anti-Rabbit IgG - HRP Secondary Antibody (HA1001) at 1/50,000 dilution was used for 1 hour at room temperature.
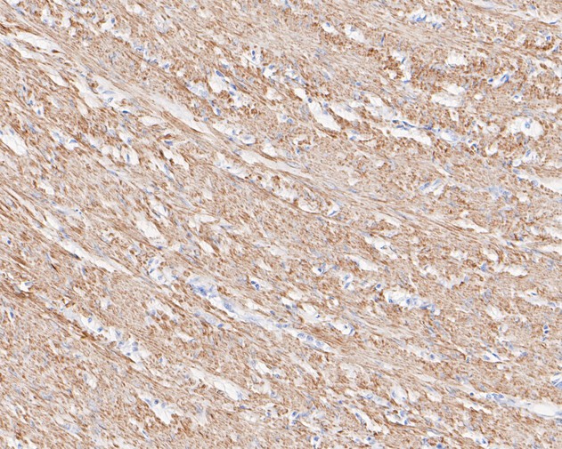
ET1612-56_2.jpg Fig2: Immunohistochemical analysis of paraffin-embedded human smooth muscle tissue using anti-AMPK beta 1 antibody. The section was pre-treated using heat mediated antigen retrieval with sodium citrate buffer (pH 6.0) for 20 minutes. The tissues were blocked in 5% BSA for 30 minutes at room temperature, washed with ddH2O and PBS, and then probed with the primary antibody (ET1612-56, 1/200) for 30 minutes at room temperature. The detection was performed using an HRP conjugated compact polymer system. DAB was used as the chromogen. Tissues were counterstained with hematoxylin and mounted with DPX.
ET1612-56_3.jpg Fig3: Flow cytometric analysis of AMPK beta 1 was done on A431 cells. The cells were fixed, permeabilized and stained with the primary antibody (ET1612-56, 1/50) (red). After incubation of the primary antibody at room temperature for an hour, the cells were stained with a Alexa Fluor 488-conjugated Goat anti-Rabbit IgG Secondary antibody at 1/1000 dilution for 30 minutes.Unlabelled sample was used as a control (cells without incubation with primary antibody; black).
ET1612-56_4.jpg Fig4: Immunocytochemistry analysis of C2C12 cells labeling AMPK beta 1 with Rabbit anti-AMPK beta 1 antibody (ET1612-56) at 1/100 dilution.

Cells were fixed in 4% paraformaldehyde for 15 minutes at room temperature, permeabilized with 0.1% Triton X-100 in PBS for 15 minutes at room temperature, then blocked with 1% BSA in 10% negative goat serum for 1 hour at room temperature. Cells were then incubated with Rabbit anti-AMPK beta 1 antibody (ET1612-56) at 1/100 dilution in 1% BSA in PBST overnight at 4 ℃. Goat Anti-Rabbit IgG H&L (iFluor™ 488, HA1121) was used as the secondary antibody at 1/1,000 dilution. PBS instead of the primary antibody was used as the secondary antibody only control. Nuclear DNA was labelled in blue with DAPI.

Beta tubulin (HA601187, red) was stained at 1/100 dilution overnight at +4℃. Goat Anti-Mouse IgG H&L (iFluor™ 594, HA1126) was used as the secondary antibody at 1/1,000 dilution.
Note: All products are “FOR RESEARCH USE ONLY AND ARE NOT INTENDED FOR DIAGNOSTIC OR THERAPEUTIC USE”.