 
	            	| Product Type: | Recombinant Rabbit monoclonal IgG, primary antibodies | 
|---|---|
| Species reactivity: | Human, Mouse, Rat | 
| Applications: | WB, IF-Cell, IF-Tissue, IHC-P, IP | 
| Clonality: | Monoclonal | 
| Clone number: | SD08-04 | 
| Form: | Liquid | 
| Storage condition: | Shipped at 4℃. Store at +4℃ short term (1-2 weeks). It is recommended to aliquot into single-use upon delivery. Store at -20℃ long term. | 
| Storage buffer: | 1*TBS (pH7.4), 0.05% BSA, 40% Glycerol. Preservative: 0.05% Sodium Azide. | 
| Concentration: | 1ug/ul | 
| Purification: | Protein A affinity purified. | 
| Molecular weight: | Predicted band size: 10 kDa | 
| Isotype: | IgG | 
| Immunogen: | Synthetic peptide within Human DYNLL1 aa 1-50 / 89. | 
| Positive control: | HeLa cell lysate, Jurkat cell lysate, HEK-293 cell lysate, Mouse brain tissue lysate, Mouse testis tissue lysate, Rat brain tissue lysate, Rat testis tissue lysate, MCF7, C2C12, L6, mouse liver tissue, mouse testis tissue, rat liver tissue, rat testis tissue. | 
| Subcellular location: | Mitochondrion, Nucleus, centrosome, cytoskeleton. | 
| Recommended Dilutions: WB IF-Cell IF-Tissue IHC-P IP | 1:1,000-1:2,000 1:100 1:50-1:200 1:500-1:2,000 Use at an assay dependent concentration. | 
| Uniprot #: | SwissProt: P63167 Human | P63168 Mouse | P63170 Rat | 
| Alternative names: | 8 kDa dynein light chain 8kDLC Cytoplasmic dynein light polypeptide DLC1 DLC8 DNCL1 DNCLC1 DYL1_HUMAN Dynein , cytoplasmic, light chain 1 Dynein light chain 1 cytoplasmic Dynein light chain 1, cytoplasmic Dynein light chain LC8 type 1 Dynein light chain LC8-type 1 Dynein, cytoplasmic, light polypeptide 1 Dynein, light chain, LC8-type 1 DYNLL1 HDLC1 LC8 LC8a MGC126137 MGC126138 MGC72986 PIN Protein inhibitor of neuronal nitric oxide synthase Protein inhibitor of neuronal NOS | 
|   | Fig1:
	        				Western blot analysis of DYNLL1 on different lysates with Rabbit anti-DYNLL1 antibody (ET1612-64) at 1/1,000 dilution. Lane 1: HeLa cell lysate Lane 2: Jurkat cell lysate Lane 3: HEK-293 cell lysate Lane 4: Mouse brain tissue lysate Lane 5: Mouse testis tissue lysate Lane 6: Rat brain tissue lysate Lane 7: Rat testis tissue lysate Lysates/proteins at 20 µg/Lane. Predicted band size: 10 kDa Observed band size: 10 kDa Exposure time: 4 seconds; ECL: K1801; 4-20% SDS-PAGE gel. Proteins were transferred to a PVDF membrane and blocked with 5% NFDM/TBST for 1 hour at room temperature. The primary antibody (ET1612-64) at 1/1,000 dilution was used in 5% NFDM/TBST at 4℃ overnight. Goat Anti-Rabbit IgG - HRP Secondary Antibody (HA1001) at 1/50,000 dilution was used for 1 hour at room temperature. | 
|   | Fig2:
	        				Immunocytochemistry analysis of MCF7 cells labeling DYNLL1 with Rabbit anti-DYNLL1 antibody (ET1612-64) at 1/100 dilution. Cells were fixed in 4% paraformaldehyde for 15 minutes at room temperature, permeabilized with 0.1% Triton X-100 in PBS for 15 minutes at room temperature, then blocked with 1% BSA in 10% negative goat serum for 1 hour at room temperature. Cells were then incubated with Rabbit anti-DYNLL1 antibody (ET1612-64) at 1/100 dilution in 1% BSA in PBST overnight at 4 ℃. Goat Anti-Rabbit IgG H&L (iFluor™ 488, HA1121) was used as the secondary antibody at 1/1,000 dilution. PBS instead of the primary antibody was used as the secondary antibody only control. Nuclear DNA was labelled in blue with DAPI. Beta tubulin (HA601187, red) was stained at 1/100 dilution overnight at +4℃. Goat Anti-Mouse IgG H&L (iFluor™ 594, HA1126) was used as the secondary antibody at 1/1,000 dilution. | 
|   | Fig3:
		        				Immunocytochemistry analysis of C2C12 cells labeling DYNLL1 with Rabbit anti-DYNLL1 antibody (ET1612-64) at 1/100 dilution. Cells were fixed in 4% paraformaldehyde for 15 minutes at room temperature, permeabilized with 0.1% Triton X-100 in PBS for 15 minutes at room temperature, then blocked with 1% BSA in 10% negative goat serum for 1 hour at room temperature. Cells were then incubated with Rabbit anti-DYNLL1 antibody (ET1612-64) at 1/100 dilution in 1% BSA in PBST overnight at 4 ℃. Goat Anti-Rabbit IgG H&L (iFluor™ 488, HA1121) was used as the secondary antibody at 1/1,000 dilution. PBS instead of the primary antibody was used as the secondary antibody only control. Nuclear DNA was labelled in blue with DAPI. Beta tubulin (HA601187, red) was stained at 1/100 dilution overnight at +4℃. Goat Anti-Mouse IgG H&L (iFluor™ 594, HA1126) was used as the secondary antibody at 1/1,000 dilution. | 
|   | Fig4:
		        				Immunocytochemistry analysis of L6 cells labeling DYNLL1 with Rabbit anti-DYNLL1 antibody (ET1612-64) at 1/100 dilution. Cells were fixed in 4% paraformaldehyde for 15 minutes at room temperature, permeabilized with 0.1% Triton X-100 in PBS for 15 minutes at room temperature, then blocked with 1% BSA in 10% negative goat serum for 1 hour at room temperature. Cells were then incubated with Rabbit anti-DYNLL1 antibody (ET1612-64) at 1/100 dilution in 1% BSA in PBST overnight at 4 ℃. Goat Anti-Rabbit IgG H&L (iFluor™ 488, HA1121) was used as the secondary antibody at 1/1,000 dilution. PBS instead of the primary antibody was used as the secondary antibody only control. Nuclear DNA was labelled in blue with DAPI. Beta tubulin (HA601187, red) was stained at 1/100 dilution overnight at +4℃. Goat Anti-Mouse IgG H&L (iFluor™ 594, HA1126) was used as the secondary antibody at 1/1,000 dilution. | 
|   | Fig5:
		        				Immunohistochemical analysis of paraffin-embedded mouse liver tissue with Rabbit anti-DYNLL1 antibody (ET1612-64) at 1/500 dilution. The section was pre-treated using heat mediated antigen retrieval with Tris-EDTA buffer (pH 9.0) for 20 minutes. The tissues were blocked in 1% BSA for 20 minutes at room temperature, washed with ddH2O and PBS, and then probed with the primary antibody (ET1612-64) at 1/500 dilution for 1 hour at room temperature. The detection was performed using an HRP conjugated compact polymer system. DAB was used as the chromogen. Tissues were counterstained with hematoxylin and mounted with DPX. | 
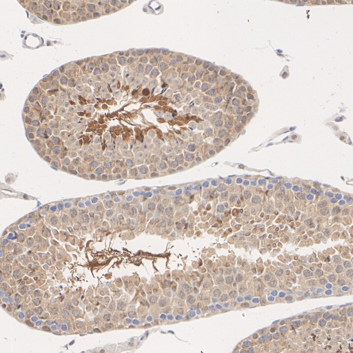
|   | Fig6:
		        				Immunohistochemical analysis of paraffin-embedded mouse testis tissue with Rabbit anti-DYNLL1 antibody (ET1612-64) at 1/2,000 dilution. The section was pre-treated using heat mediated antigen retrieval with Tris-EDTA buffer (pH 9.0) for 20 minutes. The tissues were blocked in 1% BSA for 20 minutes at room temperature, washed with ddH2O and PBS, and then probed with the primary antibody (ET1612-64) at 1/2,000 dilution for 1 hour at room temperature. The detection was performed using an HRP conjugated compact polymer system. DAB was used as the chromogen. Tissues were counterstained with hematoxylin and mounted with DPX. | 
|   | Fig7:
		        				Immunohistochemical analysis of paraffin-embedded rat liver tissue with Rabbit anti-DYNLL1 antibody (ET1612-64) at 1/500 dilution. The section was pre-treated using heat mediated antigen retrieval with Tris-EDTA buffer (pH 9.0) for 20 minutes. The tissues were blocked in 1% BSA for 20 minutes at room temperature, washed with ddH2O and PBS, and then probed with the primary antibody (ET1612-64) at 1/500 dilution for 1 hour at room temperature. The detection was performed using an HRP conjugated compact polymer system. DAB was used as the chromogen. Tissues were counterstained with hematoxylin and mounted with DPX. | 
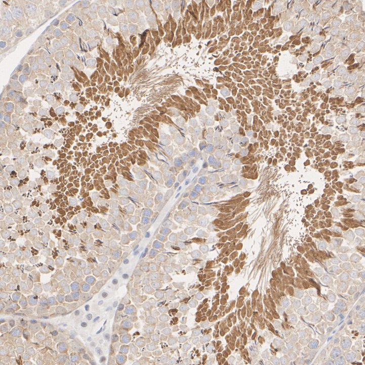
|   | Fig8:
		        				Immunohistochemical analysis of paraffin-embedded rat testis tissue with Rabbit anti-DYNLL1 antibody (ET1612-64) at 1/2,000 dilution. The section was pre-treated using heat mediated antigen retrieval with Tris-EDTA buffer (pH 9.0) for 20 minutes. The tissues were blocked in 1% BSA for 20 minutes at room temperature, washed with ddH2O and PBS, and then probed with the primary antibody (ET1612-64) at 1/2,000 dilution for 1 hour at room temperature. The detection was performed using an HRP conjugated compact polymer system. DAB was used as the chromogen. Tissues were counterstained with hematoxylin and mounted with DPX. |