Cdc27 Recombinant Rabbit Monoclonal Antibody [SD85-02]
cat.: ET1612-94
Product Type: Recombinant Rabbit monoclonal IgG, primary antibodies
Species reactivity: Human, Mouse, Rat
Applications: WB, IHC-P
Clonality: Monoclonal
Clone number: SD85-02
Form: Liquid
Storage condition: Shipped at 4℃. Store at +4℃ short term (1-2 weeks). It is recommended to aliquot into single-use upon delivery. Store at -20℃ long term.
Storage buffer: 1*TBS (pH7.4), 0.05% BSA, 40% Glycerol. Preservative: 0.05% Sodium Azide.
Concentration: 1ug/ul
Purification: Protein A affinity purified.
Molecular weight: Predicted band size: 92 kDa
Isotype: IgG
Immunogen: Recombinant protein within Human Cdc27 aa 662-824 / 824.
Positive control: HeLa cell lysate, MCF7 cell lysate, PC-12 cell lysate, Rat thymus tissue lysate, Neuro-2a cell lysate, F9 cell lysate, human colon carcinoma tissue, human prostate tissue, human breast carcinoma tissue.
Subcellular location: Nucleus, Cytoplasm, cytoskeleton, spindle.
Recommended Dilutions:
  WB
  IHC-P

1:5,000
1:200
Uniprot #: SwissProt: P30260 Human | A2A6Q5 Mouse | Q4V8A2 Rat
Alternative names: ANAPC3 Anaphase Promoting Complex 3 Anaphase promoting complex protein 3 Anaphase Promoting Complex Subunit 3 Anaphase-promoting complex subunit 3 APC 3 APC3 Cdc 27 Cdc27 CDC27 homolog CDC27_HUMAN CDC27Hs Cell Division Cycle 27 Cell division cycle protein 27 homolog D0S1430E D17S978E H NUC H-NUC HNUC Nuc2 homolog
Images
ET1612-94_1.jpg Fig1: Western blot analysis of Cdc27 on different lysates with Rabbit anti-Cdc27 antibody (ET1612-94) at 1/5,000 dilution.

Lane 1: HeLa cell lysate (20 µg/Lane)
Lane 2: MCF7 cell lysate (20 µg/Lane)
Lane 3: PC-12 cell lysate (20 µg/Lane)
Lane 4: Rat thymus tissue lysate (40 µg/Lane)

Predicted band size: 92 kDa
Observed band size: 92 kDa

Exposure time: 20 seconds; ECL: K1801;

4-20% SDS-PAGE gel.

Proteins were transferred to a PVDF membrane and blocked with 5% NFDM/TBST for 1 hour at room temperature. The primary antibody (ET1612-94) at 1/5,000 dilution was used in primary antibody dilution (K1803) at 4℃ overnight. Goat Anti-Rabbit IgG - HRP Secondary Antibody (HA1001) at 1/50,000 dilution was used for 1 hour at room temperature.
ET1612-94_2.jpg Fig2: Western blot analysis of Cdc27 on different lysates with Rabbit anti-Cdc27 antibody (ET1612-94) at 1/5,000 dilution.

Lane 1: Neuro-2a cell lysate
Lane 2: F9 cell lysate

Lysates/proteins at 20 µg/Lane.

Predicted band size: 92 kDa
Observed band size: 92 kDa

Exposure time: 1 minute; ECL: K1801;

4-20% SDS-PAGE gel.

Proteins were transferred to a PVDF membrane and blocked with 5% NFDM/TBST for 1 hour at room temperature. The primary antibody (ET1612-94) at 1/5,000 dilution was used in primary antibody dilution (K1803) at 4℃ overnight. Goat Anti-Rabbit IgG - HRP Secondary Antibody (HA1001) at 1/50,000 dilution was used for 1 hour at room temperature.
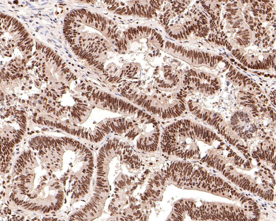
ET1612-94_3.jpg Fig3: Immunohistochemical analysis of paraffin-embedded human colon carcinoma tissue with Rabbit anti-Cdc27 antibody (ET1612-94) at 1/200 dilution.

The section was pre-treated using heat mediated antigen retrieval with sodium citrate buffer (pH 6.0) (high pressure) for 2 minutes. The tissues were blocked in 1% BSA for 20 minutes at room temperature, washed with ddH2O and PBS, and then probed with the primary antibody (ET1612-94) at 1/200 dilution for 1 hour at room temperature. The detection was performed using an HRP conjugated compact polymer system. DAB was used as the chromogen. Tissues were counterstained with hematoxylin and mounted with DPX.
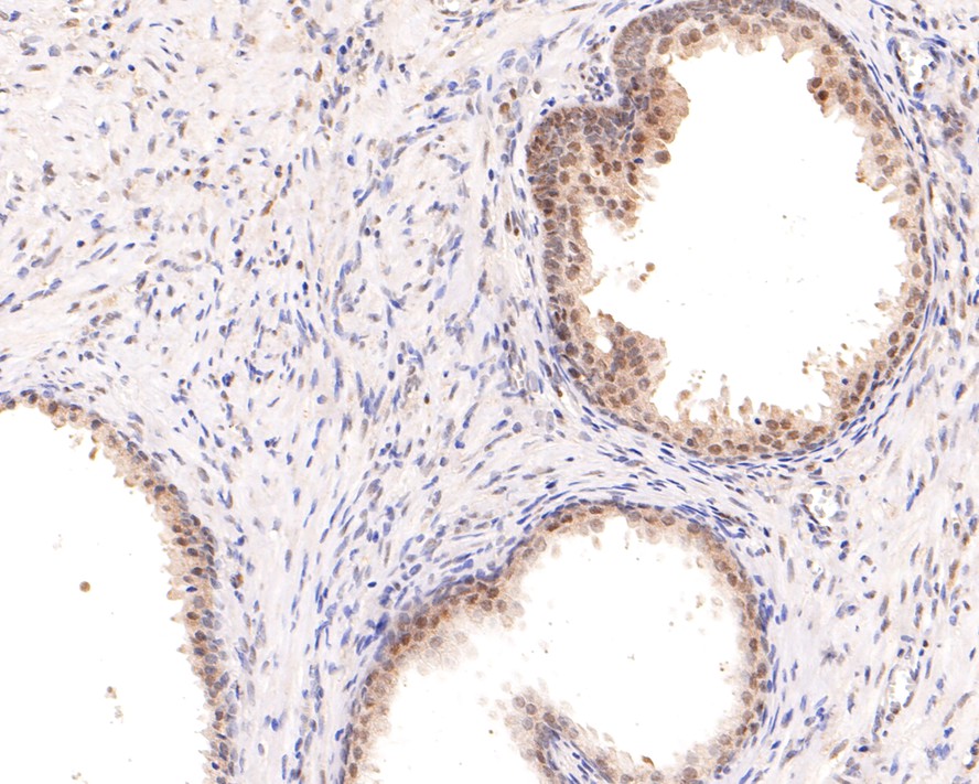
ET1612-94_4.jpg Fig4: Immunohistochemical analysis of paraffin-embedded human prostate tissue with Rabbit anti-Cdc27 antibody (ET1612-94) at 1/200 dilution.

The section was pre-treated using heat mediated antigen retrieval with sodium citrate buffer (pH 6.0) (high pressure) for 2 minutes. The tissues were blocked in 1% BSA for 20 minutes at room temperature, washed with ddH2O and PBS, and then probed with the primary antibody (ET1612-94) at 1/200 dilution for 1 hour at room temperature. The detection was performed using an HRP conjugated compact polymer system. DAB was used as the chromogen. Tissues were counterstained with hematoxylin and mounted with DPX.
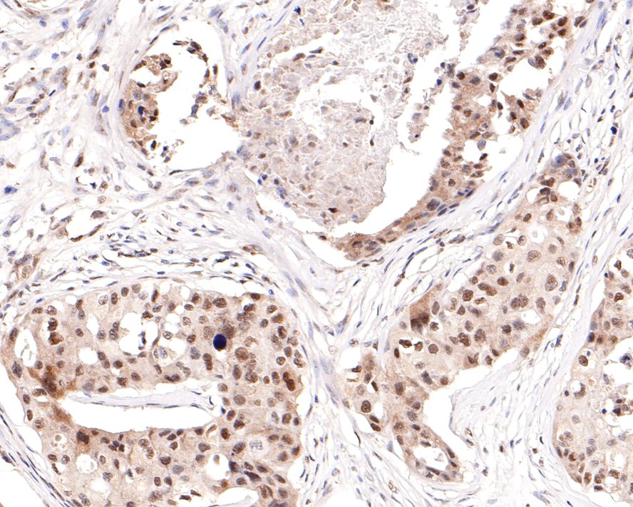
ET1612-94_5.jpg Fig5: Immunohistochemical analysis of paraffin-embedded human breast carcinoma tissue with Rabbit anti-Cdc27 antibody (ET1612-94) at 1/200 dilution.

The section was pre-treated using heat mediated antigen retrieval with sodium citrate buffer (pH 6.0) (high pressure) for 2 minutes. The tissues were blocked in 1% BSA for 20 minutes at room temperature, washed with ddH2O and PBS, and then probed with the primary antibody (ET1612-94) at 1/200 dilution for 1 hour at room temperature. The detection was performed using an HRP conjugated compact polymer system. DAB was used as the chromogen. Tissues were counterstained with hematoxylin and mounted with DPX.
Note: All products are “FOR RESEARCH USE ONLY AND ARE NOT INTENDED FOR DIAGNOSTIC OR THERAPEUTIC USE”.