TrkA+B+C Recombinant Rabbit Monoclonal Antibody [JJ084-04]
cat.: ET1701-16
Product Type: Recombinant Rabbit monoclonal IgG, primary antibodies
Species reactivity: Human, Mouse, Rat
Applications: WB, IF-Cell, IHC-P
Clonality: Monoclonal
Clone number: JJ084-04
Form: Liquid
Storage condition: Shipped at 4℃. Store at +4℃ short term (1-2 weeks). It is recommended to aliquot into single-use upon delivery. Store at -20℃ long term.
Storage buffer: 1*TBS (pH7.4), 0.05% BSA, 40% Glycerol. Preservative: 0.05% Sodium Azide.
Concentration: 1ug/ul
Purification: Protein A affinity purified.
Molecular weight: Predicted band size: 92 kDa
Isotype: IgG
Immunogen: Synthetic peptide within Human TrkB aa 773-822 / 822.
Positive control: Mouse brain tissue lysate, Rat brain tissue lysate, mouse brain tissue, rat brain tissue, SH-SY-5Y, N2A.
Subcellular location: Membrane, Endosome membrane.
Recommended Dilutions:
  WB
  IF-Cell
  IHC-P

1:1,000-1:5,000
1:50-1:200
1:200
Uniprot #: SwissProt: P04629 Human | Q16288 Human | Q16620 Human | Q3UFB7 Mouse | P15209 Mouse | Q6VNS1 Mouse | P35739 Rat | Q63604 Rat | Q03351 Rat
Alternative names: BDNF/NT-3 growth factors receptor gp140trk GP145-TrkB GP145-TrkC High affinity nerve growth factor receptor MTC Neurotrophic tyrosine kinase receptor type 1 Neurotrophic tyrosine kinase receptor type 2 Neurotrophic tyrosine kinase receptor type 3 NT-3 growth factor receptor NTRK1 NTRK2 NTRK3 p140-TrkA TRK Trk-A Trk-B Trk-C TRK1-transforming tyrosine kinase protein TRKA TRKB TrkB tyrosine kinase TRKC TrkC tyrosine kinase Tropomyosin-related kinase A Tropomyosin-related kinase B Tyrosine kinase receptor A Tyrosine kinase receptor
Images
ET1701-16_1.jpg Fig1: Western blot analysis of TrkA+B+C on different lysates with Rabbit anti-TrkA+B+C antibody (ET1701-16) at 1/1,000 dilution.

Lane 1: Mouse brain tissue lysate
Lane 2: Rat brain tissue lysate

Lysates/proteins at 20 µg/Lane.

Predicted band size: 92 kDa
Observed band size: 130 kDa

Exposure time: 25 seconds; ECL: K1801;
4-20% SDS-PAGE gel.

Proteins were transferred to a PVDF membrane and blocked with 5% NFDM/TBST for 1 hour at room temperature. The primary antibody (ET1701-16) at 1/1,000 dilution was used in 5% NFDM/TBST at 4℃ overnight. Goat Anti-Rabbit IgG - HRP Secondary Antibody (HA1001) at 1/50,000 dilution was used for 1 hour at room temperature.
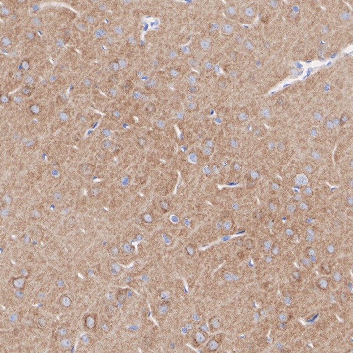
ET1701-16_2.jpg Fig2: Immunohistochemical analysis of paraffin-embedded mouse brain tissue with Rabbit anti-TrkA+B+C antibody (ET1701-16) at 1/200 dilution.

The section was pre-treated using heat mediated antigen retrieval with Tris-EDTA buffer (pH 9.0) for 20 minutes. The tissues were blocked in 1% BSA for 20 minutes at room temperature, washed with ddH2O and PBS, and then probed with the primary antibody (ET1701-16) at 1/200 dilution for 1 hour at room temperature. The detection was performed using an HRP conjugated compact polymer system. DAB was used as the chromogen. Tissues were counterstained with hematoxylin and mounted with DPX.
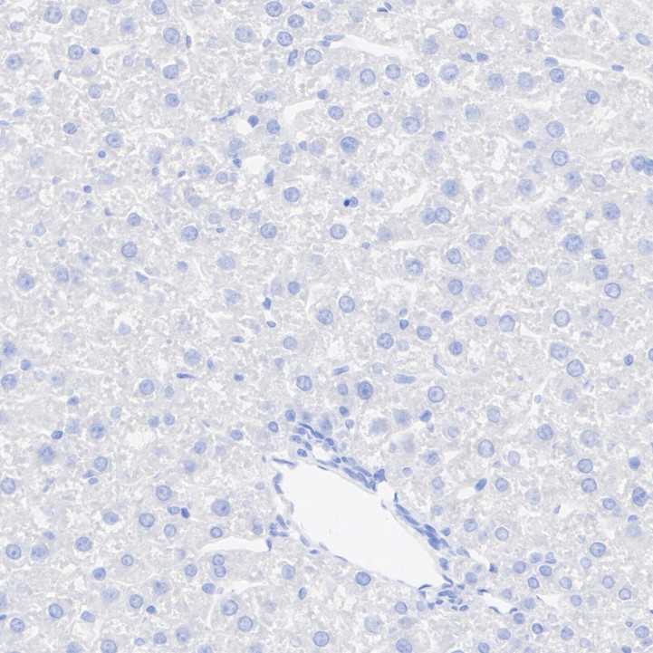
ET1701-16_3.jpg Fig3: Immunohistochemical analysis of paraffin-embedded mouse liver tissue (negative) with Rabbit anti-TrkA+B+C antibody (ET1701-16) at 1/200 dilution.

The section was pre-treated using heat mediated antigen retrieval with Tris-EDTA buffer (pH 9.0) for 20 minutes. The tissues were blocked in 1% BSA for 20 minutes at room temperature, washed with ddH2O and PBS, and then probed with the primary antibody (ET1701-16) at 1/200 dilution for 1 hour at room temperature. The detection was performed using an HRP conjugated compact polymer system. DAB was used as the chromogen. Tissues were counterstained with hematoxylin and mounted with DPX.
ET1701-16_4.jpg Fig4: Immunohistochemical analysis of paraffin-embedded rat brain tissue with Rabbit anti-TrkA+B+C antibody (ET1701-16) at 1/200 dilution.

The section was pre-treated using heat mediated antigen retrieval with Tris-EDTA buffer (pH 9.0) for 20 minutes. The tissues were blocked in 1% BSA for 20 minutes at room temperature, washed with ddH2O and PBS, and then probed with the primary antibody (ET1701-16) at 1/200 dilution for 1 hour at room temperature. The detection was performed using an HRP conjugated compact polymer system. DAB was used as the chromogen. Tissues were counterstained with hematoxylin and mounted with DPX.
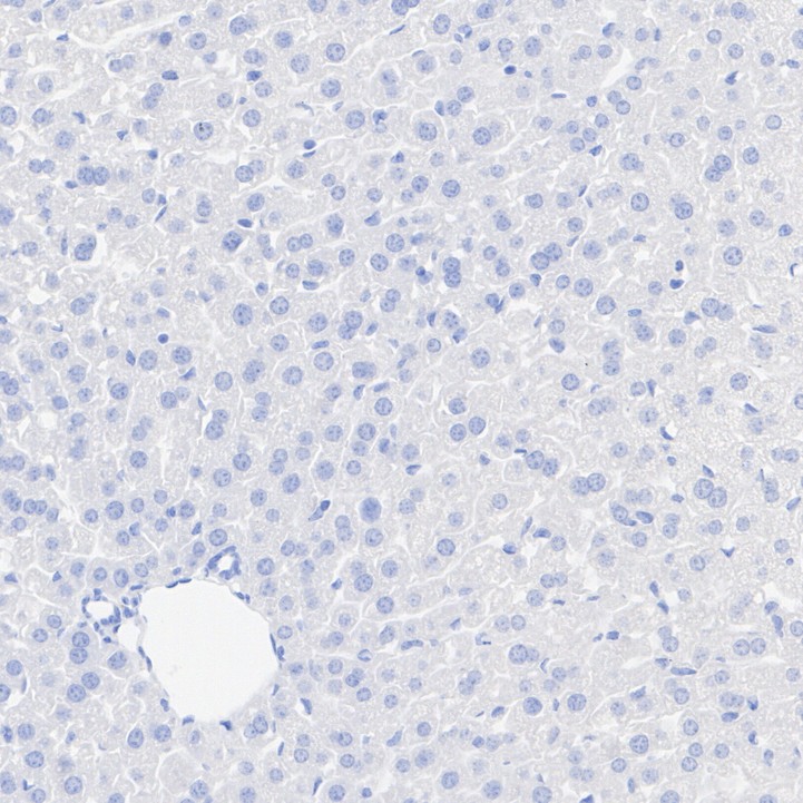
ET1701-16_5.jpg Fig5: Immunohistochemical analysis of paraffin-embedded rat liver tissue (negative) with Rabbit anti-TrkA+B+C antibody (ET1701-16) at 1/200 dilution.

The section was pre-treated using heat mediated antigen retrieval with Tris-EDTA buffer (pH 9.0) for 20 minutes. The tissues were blocked in 1% BSA for 20 minutes at room temperature, washed with ddH2O and PBS, and then probed with the primary antibody (ET1701-16) at 1/200 dilution for 1 hour at room temperature. The detection was performed using an HRP conjugated compact polymer system. DAB was used as the chromogen. Tissues were counterstained with hematoxylin and mounted with DPX.
ET1701-16_6.jpg Fig6: ICC staining TrkA+B+C in SH-SY-5Y cells (green). The nuclear counter stain is DAPI (blue). Cells were fixed in paraformaldehyde, permeabilised with 0.25% Triton X100/PBS.
ET1701-16_7.jpg Fig7: ICC staining TrkA+B+C in N2A cells (green). The nuclear counter stain is DAPI (blue). Cells were fixed in paraformaldehyde, permeabilised with 0.25% Triton X100/PBS.
Note: All products are “FOR RESEARCH USE ONLY AND ARE NOT INTENDED FOR DIAGNOSTIC OR THERAPEUTIC USE”.