 
	            	| Product Type: | Recombinant Rabbit monoclonal IgG, primary antibodies | 
|---|---|
| Species reactivity: | Human, Mouse, Rat | 
| Applications: | WB, IF-Tissue, IHC-P, FC | 
| Clonality: | Monoclonal | 
| Clone number: | JJ08-19 | 
| Form: | Liquid | 
| Storage condition: | Shipped at 4℃. Store at +4℃ short term (1-2 weeks). It is recommended to aliquot into single-use upon delivery. Store at -20℃ long term. | 
| Storage buffer: | 1*TBS (pH7.4), 0.05% BSA, 40% Glycerol. Preservative: 0.05% Sodium Azide. | 
| Concentration: | 1ug/ul | 
| Purification: | Protein A affinity purified. | 
| Molecular weight: | Predicted band size: 62 kDa | 
| Isotype: | IgG | 
| Immunogen: | Synthetic phospho-peptide corresponding to residues surrounding Ser345 of Human AMPK alpha 2 aa 338-352 / 552. | 
| Positive control: | HEK-293 cell lysate, Mouse brain tissue lysate, Mouse heart tissue lysate, Rat brain tissue lysate, Rat heart tissue lysate, HEK-293, human skeletal muscle tissue, rat skeletal muscle tissue, rat heart tissue. | 
| Subcellular location: | Nucleus, Cytoplasm. | 
| Recommended Dilutions: WB IF-Tissue IHC-P FC | 1:500-1:2,000 1:50-1:200 1:50-1:200 1:1,000 | 
| Uniprot #: | SwissProt: P54646 Human | Q8BRK8 Mouse | Q09137 Rat | 
| Alternative names: | 5'-AMP-activated protein kinase catalytic subunit alpha-2 AAPK2_HUMAN ACACA kinase Acetyl-CoA carboxylase kinase AMPK alpha 2 chain AMPK subunit alpha-2 AMPK2 AMPKa2 AMPKalpha2 HMGCR kinase Hydroxymethylglutaryl-CoA reductase kinase PRKAA PRKAA2 Protein kinase AMP activated alpha 2 catalytic subunit Protein kinase AMP activated catalytic subunit alpha 2 | 
|   | Fig1:
	        				Western blot analysis of Phospho-AMPK alpha 2 (S345) on different lysates with Rabbit anti-Phospho-AMPK alpha 2 (S345) antibody (ET1701-37) at 1/1,000 dilution. Lane 1: HEK-293 cell lysate (20 µg/Lane) Lane 2: Mouse brain tissue lysate (40 µg/Lane) Lane 3: Mouse heart tissue lysate (40 µg/Lane) Lane 4: Rat brain tissue lysate (40 µg/Lane) Lane 5: Rat heart tissue lysate (40 µg/Lane) Predicted band size: 62 kDa Observed band size: 62 kDa Exposure time: 3 minutes; ECL: K1801; 4-20% SDS-PAGE gel. Proteins were transferred to a PVDF membrane and blocked with 5% NFDM/TBST for 1 hour at room temperature. The primary antibody (ET1701-37) at 1/1,000 dilution was used in 5% NFDM/TBST at 4℃ overnight. Goat Anti-Rabbit IgG - HRP Secondary Antibody (HA1001) at 1/50,000 dilution was used for 1 hour at room temperature. | 
|   | Fig2:
	        				Flow cytometric analysis of HEK-293 cells labeling Phospho-AMPK alpha 2 (S345). Cells were fixed and permeabilized. Then stained with the primary antibody (ET1701-37, 1/1,000) (red) compared with Rabbit IgG Isotype Control (green). After incubation of the primary antibody at +4℃ for an hour, the cells were stained with a iFluor™ 488 conjugate-Goat anti-Rabbit IgG Secondary antibody (HA1121) at 1/1,000 dilution for 30 minutes at +4℃. Unlabelled sample was used as a control (cells without incubation with primary antibody; black). | 
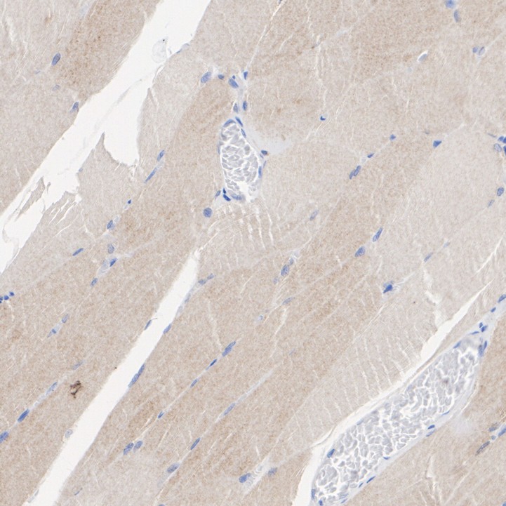
|   | Fig3:
	        				Immunohistochemical analysis of paraffin-embedded human skeletal muscle tissue with Rabbit anti-Phospho-AMPK alpha 2 (S345) antibody (ET1701-37) at 1/50 dilution. The section was pre-treated using heat mediated antigen retrieval with Tris-EDTA buffer (pH 9.0) for 20 minutes. The tissues were blocked in 1% BSA for 20 minutes at room temperature, washed with ddH2O and PBS, and then probed with the primary antibody (ET1701-37) at 1/50 dilution for 1 hour at room temperature. The detection was performed using an HRP conjugated compact polymer system. DAB was used as the chromogen. Tissues were counterstained with hematoxylin and mounted with DPX. | 
|   | Fig4:
		        				Immunohistochemical analysis of paraffin-embedded rat skeletal muscle tissue with Rabbit anti-Phospho-AMPK alpha 2 (S345) antibody (ET1701-37) at 1/50 dilution. The section was pre-treated using heat mediated antigen retrieval with Tris-EDTA buffer (pH 9.0) for 20 minutes. The tissues were blocked in 1% BSA for 20 minutes at room temperature, washed with ddH2O and PBS, and then probed with the primary antibody (ET1701-37) at 1/50 dilution for 1 hour at room temperature. The detection was performed using an HRP conjugated compact polymer system. DAB was used as the chromogen. Tissues were counterstained with hematoxylin and mounted with DPX. | 
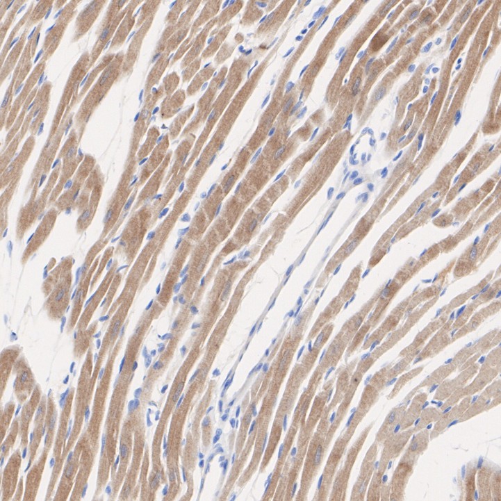
|   | Fig5:
		        				Immunohistochemical analysis of paraffin-embedded rat heart tissue with Rabbit anti-Phospho-AMPK alpha 2 (S345) antibody (ET1701-37) at 1/200 dilution. The section was pre-treated using heat mediated antigen retrieval with Tris-EDTA buffer (pH 9.0) for 20 minutes. The tissues were blocked in 1% BSA for 20 minutes at room temperature, washed with ddH2O and PBS, and then probed with the primary antibody (ET1701-37) at 1/50 dilution for 1 hour at room temperature. The detection was performed using an HRP conjugated compact polymer system. DAB was used as the chromogen. Tissues were counterstained with hematoxylin and mounted with DPX. |