SUZ12 Recombinant Rabbit Monoclonal Antibody [JJ09-04]
cat.: ET1701-62
Product Type: Recombinant Rabbit monoclonal IgG, primary antibodies
Species reactivity: Human, Mouse, Rat
Applications: WB, IF-Cell, IF-Tissue, IP
Clonality: Monoclonal
Clone number: JJ09-04
Form: Liquid
Storage condition: Shipped at 4℃. Store at +4℃ short term (1-2 weeks). It is recommended to aliquot into single-use upon delivery. Store at -20℃ long term.
Storage buffer: 1*TBS (pH7.4), 0.05% BSA, 40% Glycerol. Preservative: 0.05% Sodium Azide.
Concentration: 1ug/ul
Purification: Protein A affinity purified.
Molecular weight: Predicted band size: 83 kDa
Isotype: IgG
Immunogen: Recombinant protein within human SUZ12 aa 1-150/739.
Positive control: MCF-7 cells lysates, NIH/3T3 cell lysate, PC-12 cell lysate, Raw264.7 cell lysate, SW480, MCF-7, Hela, SKOV-3.
Subcellular location: Nucleus.
Recommended Dilutions:
  WB
  IF-Cell
  IF-Tissue
  IP

1:1,000-1:2,000
1:50-1:200
1:50-1:200
Use at an assay dependent concentration.
Uniprot #: SwissProt: Q15022 Human | Q80U70 Mouse
Entrez Gene: 688041 Rat
Alternative names: ChET 9 protein CHET9 Chromatin precipitated E2F target 9 protein JJAZ1 Joined to JAZF1 protein KIAA0160 Polycomb protein SUZ12 Suppressor of zeste 12 homolog Suppressor of zeste 12 protein homolog SUZ12 SUZ12 polycomb repressive complex 2 subunit SUZ12_HUMAN
Images
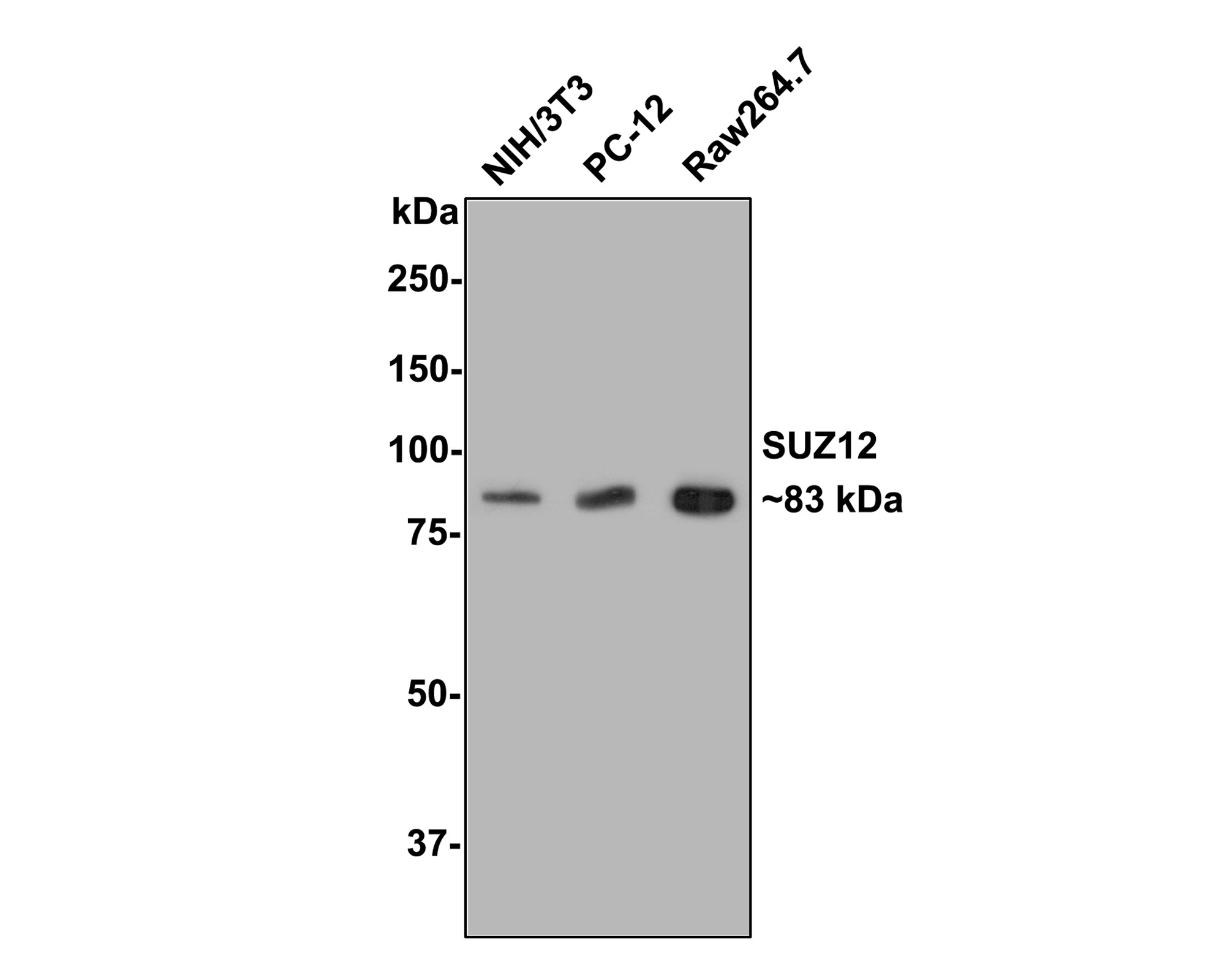
ET1701-62_1.jpg Fig1: Western blot analysis of SUZ12 on different lysates with Rabbit anti-SUZ12 antibody (ET1701-62) at 1/500 dilution.

Lane 1: NIH/3T3 cell lysate
Lane 2: PC-12 cell lysate
Lane 3: Raw264.7 cell lysate

Lysates/proteins at 10 µg/Lane.

Predicted band size: 83 kDa
Observed band size: 83 kDa

Exposure time: 2 minutes;

8% SDS-PAGE gel.

Proteins were transferred to a PVDF membrane and blocked with 5% NFDM/TBST for 1 hour at room temperature. The primary antibody (ET1701-62) at 1/500 dilution was used in 5% NFDM/TBST at room temperature for 2 hours. Goat Anti-Rabbit IgG - HRP Secondary Antibody (HA1001) at 1:300,000 dilution was used for 1 hour at room temperature.
ET1701-62_2.jpg Fig2: Western blot analysis of SUZ12 on MCF-7 cells lysates using anti-SUZ12 antibody at 1/1,000 dilution.
ET1701-62_3.jpg Fig3: IF-cell staining SUZ12 in Hela cells (green). The nuclear counter stain is DAPI (blue). Cells were fixed in paraformaldehyde, permeabilised with 0.25% Triton X100/PBS.
ET1701-62_4.jpg Fig4: IF-cell staining SUZ12 in MCF-7 cells (green). The nuclear counter stain is DAPI (blue). Cells were fixed in paraformaldehyde, permeabilised with 0.25% Triton X100/PBS.
ET1701-62_5.jpg Fig5: IF-cell staining SUZ12 in SW480 cells (green). The nuclear counter stain is DAPI (blue). Cells were fixed in paraformaldehyde, permeabilised with 0.25% Triton X100/PBS.
ET1701-62_6.jpg Fig6: IF-cell staining SUZ12 in SKOV-3 cells (green). The nuclear counter stain is DAPI (blue). Cells were fixed in paraformaldehyde, permeabilised with 0.25% Triton X100/PBS.
Note: All products are “FOR RESEARCH USE ONLY AND ARE NOT INTENDED FOR DIAGNOSTIC OR THERAPEUTIC USE”.