FOXO4 Recombinant Rabbit Monoclonal Antibody [JJ09-11]
cat.: ET1701-67
Product Type: Recombinant Rabbit monoclonal IgG, primary antibodies
Species reactivity: Human, Mouse, Rat
Applications: WB, IF-Tissue, IHC-P, FC, IP
Clonality: Monoclonal
Clone number: JJ09-11
Form: Liquid
Storage condition: Shipped at 4℃. Store at +4℃ short term (1-2 weeks). It is recommended to aliquot into single-use upon delivery. Store at -20℃ long term.
Storage buffer: 1*TBS (pH7.4), 0.05% BSA, 40% Glycerol. Preservative: 0.05% Sodium Azide.
Concentration: 1ug/ul
Purification: Protein A affinity purified.
Molecular weight: Predicted band size: 54 kDa
Isotype: IgG
Immunogen: Recombinant protein within Human FOXO4 aa 456-505 / 505.
Positive control: 293T, Hela, HepG2, human placenta tissue, 293.
Subcellular location: Nucleus, Cytoplasm.
Recommended Dilutions:
  WB
  IF-Tissue
  IHC-P
  FC
  IP

1:500
1:50-1:200
1:50-1:200
1:1,000
Use at an assay dependent concentration.
Uniprot #: SwissProt: P98177 Human | Q9WVH3 Mouse
Unigene: 19646 Rat
Alternative names: AFX AFX1 Afxh ALL1-fused gene from X chromosome Fork head domain transcription factor AFX1 Forkhead box O4 Forkhead box protein O4 FOXO 4 Foxo4 FOXO4_HUMAN MGC117660 MGC120490 Mixed lineage leukemia, translocated to, 7 MLLT7 Myeloid/lymphoid or mixed lineage leukemia (trithorax homolog, Drosophila); translocated to, 7 Myeloid/lymphoid or mixed lineage leukemia, translocated to, 7 RGD1561201
Images
ET1701-67_1.jpg Fig1: Western blot analysis of FOXO4 on different lysates with Rabbit anti-FOXO4 antibody (ET1701-67) at 1/500 dilution.

Lane 1: HeLa cell lysate
Lane 2: Mouse heart tissue lysate

Lysates/proteins at 10 µg/Lane1 and 20 ug/Lane2.

Predicted band size: 54 kDa
Observed band size: 55 kDa

Exposure time: 3 minutes; ECL: K1801;

4-20% SDS-PAGE gel.

Proteins were transferred to a PVDF membrane and blocked with 5% NFDM/TBST for 1 hour at room temperature. The primary antibody (ET1701-67) at 1/500 dilution was used in 5% NFDM/TBST at 4℃ overnight. Goat Anti-Rabbit IgG - HRP Secondary Antibody (HA1001) at 1/50,000 dilution was used for 1 hour at room temperature.
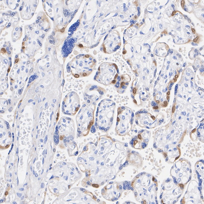
ET1701-67_2.jpg Fig2: Immunohistochemical analysis of paraffin-embedded human placenta tissue with Rabbit anti-FOXO4 antibody (ET1701-67) at 1/200 dilution.

The section was pre-treated using heat mediated antigen retrieval with sodium citrate buffer (pH 6.0) for 2 minutes. The tissues were blocked in 1% BSA for 20 minutes at room temperature, washed with ddH2O and PBS, and then probed with the primary antibody (ET1701-67) at 1/200 dilution for 1 hour at room temperature. The detection was performed using an HRP conjugated compact polymer system. DAB was used as the chromogen. Tissues were counterstained with hematoxylin and mounted with DPX.
ET1701-67_3.jpg Fig3: Flow cytometric analysis of 293 cells labeling FOXO4.

Cells were fixed and permeabilized. Then stained with the primary antibody (ET1701-67, 1:1000) (red) compared with Rabbit IgG Isotype Control (green). After incubation of the primary antibody at +4℃ for an hour, the cells were stained with a iFluor™ 488 conjugate-Goat anti-Rabbit IgG Secondary antibody (HA1121) at 1/1,000 dilution for 30 minutes at +4℃. Unlabelled sample was used as a control (cells without incubation with primary antibody; black).
Note: All products are “FOR RESEARCH USE ONLY AND ARE NOT INTENDED FOR DIAGNOSTIC OR THERAPEUTIC USE”.