Cystatin C Recombinant Rabbit Monoclonal Antibody [JJ09-16]
cat.: ET1701-72
Product Type: Recombinant Rabbit monoclonal IgG, primary antibodies
Species reactivity: Human, Mouse, Rat
Applications: WB, IHC-P
Clonality: Monoclonal
Clone number: JJ09-16
Form: Liquid
Storage condition: Shipped at 4℃. Store at +4℃ short term (1-2 weeks). It is recommended to aliquot into single-use upon delivery. Store at -20℃ long term.
Storage buffer: 1*TBS (pH7.4), 0.05% BSA, 40% Glycerol. Preservative: 0.05% Sodium Azide.
Concentration: 1ug/ul
Purification: Protein A affinity purified.
Molecular weight: Predicted band size: 16 kDa
Isotype: IgG
Immunogen: Recombinant full length protein of Human Cystatin C aa 1-146 / 146.
Positive control: HAP1-parental cell lysate, HAP1-商品名 KD cell lysate, Huh7 cell lysate, TT cell lysate, MDA-MB-231 cell lysate, A549 cell lysate, human kidney tissue, mouse kidney tissue, rat kidney tissue.
Subcellular location: Secreted.
Recommended Dilutions:
  WB
  IHC-P

1:2,000
1:200-1:1,000
Uniprot #: SwissProt: P01034 Human | P21460 Mouse | P14841 Rat
Alternative names: AD 8 AD8 Amyloid angiopathy and cerebral hemorrhage ARMD11 bA218C14.4 (cystatin C) bA218C14.4 Cst 3 Cst3 CST3 protein Cystatin 3 Cystatin-3 Cystatin-C Cystatin3 CystatinC CYTC_HUMAN Epididymis secretory protein Li 2 Gamma trace Gamma-trace HCCAA HEL S 2 MGC117328 Neuroendocrine basic polypeptide Post gamma globulin Post-gamma-globulin
Images
ET1701-72_1.jpg Fig1: Western blot analysis of Cystatin C on different lysates with Rabbit anti-Cystatin C antibody (ET1701-72) at 1/1,000 dilution.

Lane 1: HAP1-parental cell lysate
Lane 2: HAP1-Cystatin C KD cell lysate

Lysates/proteins at 10 µg/Lane.

Predicted band size: 16 kDa
Observed band size: 15 kDa

Exposure time: 120 seconds; ECL: K1801;

4-20% SDS-PAGE gel.

Proteins were transferred to a PVDF membrane and blocked with 5% NFDM/TBST for 1 hour at room temperature. The primary antibody (ET1701-72) at 1/1,000 dilution was used in K1803 at 4℃ overnight. Goat Anti-Rabbit IgG - HRP Secondary Antibody (HA1001) at 1/50,000 dilution was used for 1 hour at room temperature.
ET1701-72_2.jpg Fig2: Western blot analysis of Cystatin C on different lysates with Rabbit anti-Cystatin C antibody (ET1701-72) at 1/2,000 dilution.

Lane 1: Huh7 cell lysate
Lane 2: TT cell lysate
Lane 3: MDA-MB-231 cell lysate
Lane 4: A549 cell lysate

Lysates/proteins at 20 µg/Lane.

Predicted band size: 16 kDa
Observed band size: 15 kDa

Exposure time: 1 minute; ECL: K1801;

4-20% SDS-PAGE gel.

Proteins were transferred to a PVDF membrane and blocked with 5% NFDM/TBST for 1 hour at room temperature. The primary antibody (ET1701-72) at 1/2,000 dilution was used in 5% NFDM/TBST at 4℃ overnight. Goat Anti-Rabbit IgG - HRP Secondary Antibody (HA1001) at 1/50,000 dilution was used for 1 hour at room temperature.
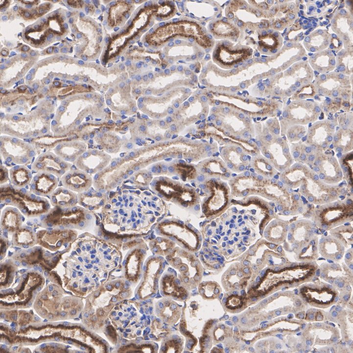
ET1701-72_3.jpg Fig3: Immunohistochemical analysis of paraffin-embedded human kidney tissue with Rabbit anti-Cystatin C antibody (ET1701-72) at 1/1,000 dilution.

The section was pre-treated using heat mediated antigen retrieval with Tris-EDTA buffer (pH 9.0) for 20 minutes. The tissues were blocked in 1% BSA for 20 minutes at room temperature, washed with ddH2O and PBS, and then probed with the primary antibody (ET1701-72) at 1/1,000 dilution for 1 hour at room temperature. The detection was performed using an HRP conjugated compact polymer system. DAB was used as the chromogen. Tissues were counterstained with hematoxylin and mounted with DPX.
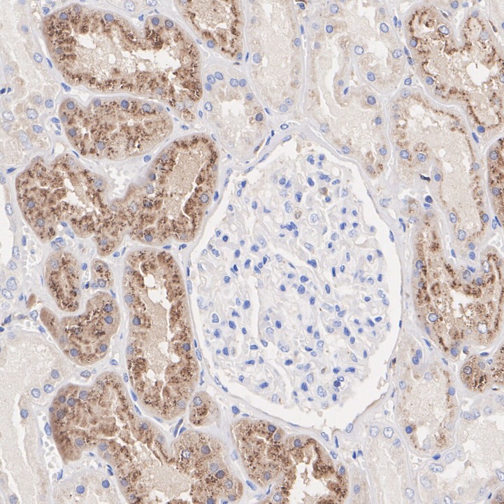
ET1701-72_4.jpg Fig4: Immunohistochemical analysis of paraffin-embedded mouse kidney tissue with Rabbit anti-Cystatin C antibody (ET1701-72) at 1/200 dilution.

The section was pre-treated using heat mediated antigen retrieval with Tris-EDTA buffer (pH 9.0) for 20 minutes. The tissues were blocked in 1% BSA for 20 minutes at room temperature, washed with ddH2O and PBS, and then probed with the primary antibody (ET1701-72) at 1/200 dilution for 1 hour at room temperature. The detection was performed using an HRP conjugated compact polymer system. DAB was used as the chromogen. Tissues were counterstained with hematoxylin and mounted with DPX.
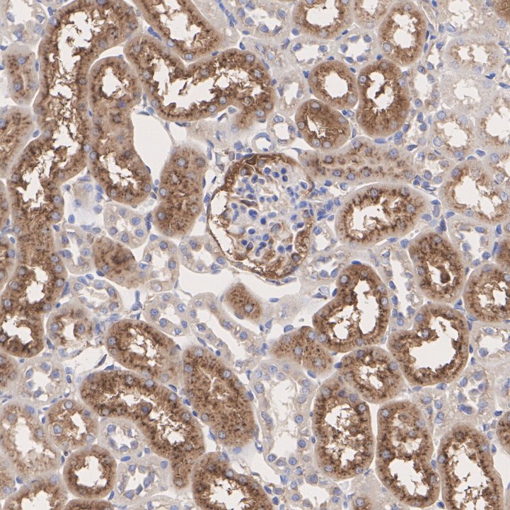
ET1701-72_5.jpg Fig5: Immunohistochemical analysis of paraffin-embedded rat kidney tissue with Rabbit anti-Cystatin C antibody (ET1701-72) at 1/200 dilution.

The section was pre-treated using heat mediated antigen retrieval with Tris-EDTA buffer (pH 9.0) for 20 minutes. The tissues were blocked in 1% BSA for 20 minutes at room temperature, washed with ddH2O and PBS, and then probed with the primary antibody (ET1701-72) at 1/200 dilution for 1 hour at room temperature. The detection was performed using an HRP conjugated compact polymer system. DAB was used as the chromogen. Tissues were counterstained with hematoxylin and mounted with DPX.
Note: All products are “FOR RESEARCH USE ONLY AND ARE NOT INTENDED FOR DIAGNOSTIC OR THERAPEUTIC USE”.