LAMP1 Recombinant Rabbit Monoclonal Antibody [JJ0940]
cat.: ET1701-94
Product Type: Recombinant Rabbit monoclonal IgG, primary antibodies
Species reactivity: Human
Applications: WB, IHC-P, IF-Tissue
Clonality: Monoclonal
Clone number: JJ0940
Form: Liquid
Storage condition: Shipped at 4℃. Store at +4℃ short term (1-2 weeks). It is recommended to aliquot into single-use upon delivery. Store at -20℃ long term.
Storage buffer: 1*TBS (pH7.4), 0.05% BSA, 40% Glycerol. Preservative: 0.05% Sodium Azide.
Concentration: 1ug/ul
Purification: Protein A affinity purified.
Molecular weight: Predicted band size: 45 kDa
Isotype: IgG
Immunogen: Recombinant protein within Human LAMP1 aa 84-206 / 417.
Positive control: HeLa cell lysate, Jurkat cell lysate, HepG2 cell lysate, HUVEC cell lysate, human kidney tissue lysate, human kidney tissue.
Subcellular location: Cell membrane, Endosome membrane, Lysosome membrane, Late endosome.
Recommended Dilutions:
  WB
  IHC-P
  IF-Tissue

1:1,000-1:5,000
1:5,000
1:200-1:1,000
Uniprot #: SwissProt: P11279 Human
Alternative names: CD107 antigen like family member A CD107 antigen-like family member A CD107a CD107a antigen LAMP 1 LAMP-1 LAMP1 LAMP1_HUMAN LAMPA LGP120 lgpA Lysosomal membrane glycoprotein 120KD Lysosomal Associated Membrane Protein 1 Lysosome associated membrane glycoprotein 1 Lysosome-associated membrane glycoprotein 1 Lysosome-associated membrane protein 1 OTTHUMP00000040663
Images
ET1701-94_1.jpg Fig1: Western blot analysis of LAMP1 on different lysates with Rabbit anti-LAMP1 antibody (ET1701-94) at 1/1,000 dilution.

Lane 1: HeLa cell lysate (20 µg/Lane)
Lane 2: Jurkat cell lysate (20 µg/Lane)
Lane 3: HepG2 cell lysate (20 µg/Lane)
Lane 4: HUVEC cell lysate (20 µg/Lane)
Lane 5: Human kidney tissue lysate (40 µg/Lane)

Predicted band size: 45 kDa
Observed band size: 100-120 kDa

Exposure time: 1 minute 2 seconds;

4-20% SDS-PAGE gel.

Proteins were transferred to a PVDF membrane and blocked with 5% NFDM/TBST for 1 hour at room temperature. The primary antibody (ET1701-94) at 1/1,000 dilution was used in 5% NFDM/TBST at 4℃ overnight. Goat Anti-Rabbit IgG - HRP Secondary Antibody (HA1001) at 1/50,000 dilution was used for 1 hour at room temperature.
ET1701-94_2.jpg Fig2: Western blot analysis of LAMP1 on different lysates with Rabbit anti-LAMP1 antibody (ET1701-94) at 1/1,000 dilution.

Lane 1: HCT 116-si NT cell lysate
Lane 2: HCT 116-si LAMP1 cell lysate

Lysates/proteins at 10 µg/Lane.

Predicted band size: 45 kDa
Observed band size: 100-120 kDa

Exposure time: 20 seconds; ECL: K1801;

4-20% SDS-PAGE gel.

Proteins were transferred to a PVDF membrane and blocked with 5% NFDM/TBST for 1 hour at room temperature. The primary antibody (ET1701-94) at 1/1,000 dilution was used in 5% NFDM/TBST at 4℃ overnight. Goat Anti-Rabbit IgG - HRP Secondary Antibody (HA1001) at 1/50,000 dilution was used for 1 hour at room temperature.
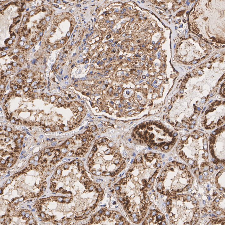
ET1701-94_3.jpg Fig3: Immunohistochemical analysis of paraffin-embedded human kidney tissue with Rabbit anti-LAMP1 antibody (ET1701-94) at 1/5,000 dilution.

The section was pre-treated using heat mediated antigen retrieval with Tris-EDTA buffer (pH 9.0) for 20 minutes. The tissues were blocked in 1% BSA for 20 minutes at room temperature, washed with ddH2O and PBS, and then probed with the primary antibody (ET1701-94) at 1/5,000 dilution for 1 hour at room temperature. The detection was performed using an HRP conjugated compact polymer system. DAB was used as the chromogen. Tissues were counterstained with hematoxylin and mounted with DPX.
ET1701-94_4.jpg Fig4: Immunofluorescence analysis of paraffin-embedded human kidney tissue labeling LAMP1 with Rabbit anti-LAMP1 antibody (ET1701-94) at 1/200 dilution.

The section was pre-treated using heat mediated antigen retrieval with Tris-EDTA buffer (pH 9.0) for 20 minutes. The tissues were blocked in 10% negative goat serum for 1 hour at room temperature, washed with PBS, and then probed with the primary antibody (ET1701-94, green) at 1/200 dilution overnight at 4 ℃, washed with PBS. Goat Anti-Rabbit IgG H&L (iFluor™ 488, HA1121) was used as the secondary antibody at 1/1,000 dilution. Nuclei were counterstained with DAPI (blue).
Note: All products are “FOR RESEARCH USE ONLY AND ARE NOT INTENDED FOR DIAGNOSTIC OR THERAPEUTIC USE”.