c-Fos Recombinant Rabbit Monoclonal Antibody [JJ0938]
cat.: ET1701-95
Product Type: Recombinant Rabbit monoclonal IgG, primary antibodies
Species reactivity: Human, Rat
Applications: WB, IF-Cell, IHC-P
Clonality: Monoclonal
Clone number: JJ0938
Form: Liquid
Storage condition: Shipped at 4℃. Store at +4℃ short term (1-2 weeks). It is recommended to aliquot into single-use upon delivery. Store at -20℃ long term.
Storage buffer: 1*TBS (pH7.4), 0.05% BSA, 40% Glycerol. Preservative: 0.05% Sodium Azide.
Concentration: 1ug/ul
Purification: Protein A affinity purified.
Molecular weight: Predicted band size: 41 kDa
Isotype: IgG
Immunogen: Synthetic peptide within Human c-Fos aa 231-268 / 380.
Positive control: HeLa serum starved for 40 hours then treated with 20% FBS for 2 hours cell lysate, PC-12 serum starved for 16 hours then treated with 200nM TSA for 4 hours cell lysate, HeLa serum starved for 40 hours then treated with 20% FBS for 2 hours, human placenta tissue.
Subcellular location: Nucleus, Endoplasmic reticulum, Cytoplasm.
Recommended Dilutions:
  WB
  IF-Cell
  IHC-P

1:1,000
1:100
1:50-1:200
Uniprot #: SwissProt: P01100 Human | P01101 Mouse | P12841 Rat
Alternative names: Activator protein 1 AP 1 C FOS Cellular oncogene c fos Cellular oncogene fos FBJ murine osteosarcoma viral (v fos) oncogene homolog (oncogene FOS) FBJ murine osteosarcoma viral oncogene homolog FBJ murine osteosarcoma viral v fos oncogene homolog FBJ Osteosarcoma Virus FOS FOS protein FOS_HUMAN G0 G1 switch regulatory protein 7 G0/G1 switch regulatory protein 7 G0S7 Oncogene FOS p55 proto oncogene c Fos Proto oncogene protein c fos Proto-oncogene c-Fos v fos FBJ murine osteosarcoma viral oncogene homolog
Images
ET1701-95_1.jpg Fig1: Western blot analysis of c-Fos on different lysates with Rabbit anti-c-Fos antibody (ET1701-95) at 1/1,000 dilution.

Lane 1: HeLa cell lysate
Lane 2: HeLa serum starved for 40 hours then treated with 20% FBS for 2 hours cell lysate

Lysates/proteins at 20 µg/Lane.

Predicted band size: 41 kDa
Observed band size: 41/55 kDa

Exposure time: 5 minutes; ECL: K1801;

4-20% SDS-PAGE gel.

Proteins were transferred to a PVDF membrane and blocked with 5% NFDM/TBST for 1 hour at room temperature. The primary antibody (ET1701-95) at 1/1,000 dilution was used in 5% NFDM/TBST at 4℃ overnight. Goat Anti-Rabbit IgG - HRP Secondary Antibody (HA1001) at 1/50,000 dilution was used for 1 hour at room temperature.
ET1701-95_2.jpg Fig2: Western blot analysis of c-Fos on different lysates with Rabbit anti-c-Fos antibody (ET1701-95) at 1/1,000 dilution.

Lane 1: PC-12 cell lysate
Lane 2: PC-12 serum starved for 16 hours then treated with 200nM TSA for 4 hours cell lysate

Lysates/proteins at 20 µg/Lane.

Predicted band size: 41 kDa
Observed band size: 41/55 kDa

Exposure time: 30 seconds; ECL: K1801;

4-20% SDS-PAGE gel.

Proteins were transferred to a PVDF membrane and blocked with 5% NFDM/TBST for 1 hour at room temperature. The primary antibody (ET1701-95) at 1/1,000 dilution was used in 5% NFDM/TBST at 4℃ overnight. Goat Anti-Rabbit IgG - HRP Secondary Antibody (HA1001) at 1/50,000 dilution was used for 1 hour at room temperature.
ET1701-95_3.jpg Fig3: Immunocytochemistry analysis of normal HeLa / HeLa serum starved for 40 hours then treated with 20% FBS for 2 hours cells labeling c-Fos with Rabbit anti-c-Fos antibody (ET1701-95) at 1/100 dilution.

Cells were fixed in 4% paraformaldehyde for 20 minutes at room temperature, permeabilized with 0.1% Triton X-100 in PBS for 5 minutes at room temperature, then blocked with 1% BSA in 10% negative goat serum for 1 hour at room temperature. Cells were then incubated with Rabbit anti-c-Fos antibody (ET1701-95) at 1/100 dilution in 1% BSA in PBST overnight at 4 ℃. Goat Anti-Rabbit IgG H&L (iFluor™ 488, HA1121) was used as the secondary antibody at 1/1,000 dilution. PBS instead of the primary antibody was used as the secondary antibody only control. Nuclear DNA was labelled in blue with DAPI.
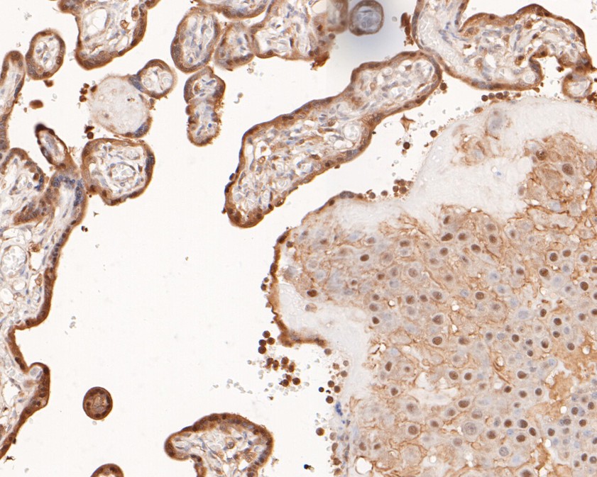
ET1701-95_4.jpg Fig4: Immunohistochemical analysis of paraffin-embedded human placenta tissue using anti-c-Fos antibody. The section was pre-treated using heat mediated antigen retrieval with sodium citrate buffer (pH 6.0) (high pressure) for 2 minutes. The tissues were blocked in 5% BSA for 30 minutes at room temperature, washed with ddH2O and PBS, and then probed with the primary antibody (ET1701-95, 1/200) for 30 minutes at room temperature. The detection was performed using an HRP conjugated compact polymer system. DAB was used as the chromogen. Tissues were counterstained with hematoxylin and mounted with DPX.
Note: All products are “FOR RESEARCH USE ONLY AND ARE NOT INTENDED FOR DIAGNOSTIC OR THERAPEUTIC USE”.