67kDa Laminin Receptor Recombinant Rabbit Monoclonal Antibody [JF0955]
cat.: ET1702-05
Product Type: Recombinant Rabbit monoclonal IgG, primary antibodies
Species reactivity: Human, Mouse, Rat
Applications: WB, IF-Cell, IF-Tissue, IHC-P, FC
Clonality: Monoclonal
Clone number: JF0955
Form: Liquid
Storage condition: Shipped at 4℃. Store at +4℃ short term (1-2 weeks). It is recommended to aliquot into single-use upon delivery. Store at -20℃ long term.
Storage buffer: 1*TBS (pH7.4), 0.05% BSA, 40% Glycerol. Preservative: 0.05% Sodium Azide.
Concentration: 1ug/ul
Purification: Protein A affinity purified.
Molecular weight: Predicted band size: 33 kDa
Isotype: IgG
Immunogen: Synthetic peptide within Human 67kDa Laminin Receptor aa250-295 / 295.
Positive control: K-562 cell lysate, HepG2 cell lysate, HeLa cell lysate, NIH/3T3 cell lysate, RAW264.7 cell lysate, PC-12 cell lysate, C6 cell lysate, HeLa, NIH/3T3, PC-12, human stomach cancer tissue, mouse kidney tissue.
Subcellular location: Cell membrane, Nucleus, Cytoplasm.
Recommended Dilutions:
  WB
  IF-Cell
  IF-Tissue
  IHC-P
  FC

1:1,000-1:2,000
1:250
1:100-1:500
1:200-1:1,000
1:1,000
Uniprot #: SwissProt: P08865 Human | P14206 Mouse | P38983 Rat
Alternative names: 34/67 kDa laminin receptor 37 kDa laminin receptor precursor 37/67 kDa laminin receptor 37LRP 40S ribosomal protein SA 67 kDa laminin receptor 67LR Colon carcinoma laminin binding protein Colon carcinoma laminin-binding protein LAMBR Laminin receptor 1 Laminin-binding protein precursor p40 LAMR 1 LamR LAMR1 LBP LBP/p40 LRP LRP/LR Multidrug resistance associated protein MGr1 Ag Multidrug resistance associated protein MGr1Ag Multidrug resistance-associated protein MGr1-Ag NEM/1CHD4 p40 Ribosomal Protein SA rpsA RSSA_HUMAN SA
Images
ET1702-05_1.jpg Fig1: Western blot analysis of 67kDa Laminin Receptor on different lysates with Rabbit anti-67kDa Laminin Receptor antibody (ET1702-05) at 1/1,000 dilution.

Lane 1: K-562 cell lysate
Lane 2: HepG2 cell lysate
Lane 3: HeLa cell lysate
Lane 4: NIH/3T3 cell lysate
Lane 5: RAW264.7 cell lysate
Lane 6: PC-12 cell lysate
Lane 7: C6 cell lysate

Lysates/proteins at 20 µg/Lane.

Predicted band size: 33 kDa
Observed band size: 45 kDa

Exposure time: 10 seconds; ECL: K1801;

4-20% SDS-PAGE gel.

Proteins were transferred to a PVDF membrane and blocked with 5% NFDM/TBST for 1 hour at room temperature. The primary antibody (ET1702-05) at 1/1,000 dilution was used in 5% NFDM/TBST at 4℃ overnight. Goat Anti-Rabbit IgG - HRP Secondary Antibody (HA1001) at 1/50,000 dilution was used for 1 hour at room temperature.
ET1702-05_2.jpg Fig2: Immunocytochemistry analysis of HeLa cells labeling 67kDa Laminin Receptor with Rabbit anti-67kDa Laminin Receptor antibody (ET1702-05) at 1/250 dilution.

Cells were fixed in 4% paraformaldehyde for 15 minutes at room temperature, permeabilized with 0.1% Triton X-100 in PBS for 15 minutes at room temperature, then blocked with 1% BSA in 10% negative goat serum for 1 hour at room temperature. Cells were then incubated with Rabbit anti-67kDa Laminin Receptor antibody (ET1702-05) at 1/250 dilution in 1% BSA in PBST overnight at 4 ℃. Goat Anti-Rabbit IgG H&L (iFluor™ 488, HA1121) was used as the secondary antibody at 1/1,000 dilution. PBS instead of the primary antibody was used as the secondary antibody only control. Nuclear DNA was labelled in blue with DAPI.

Beta tubulin (HA601187, red) was stained at 1/100 dilution overnight at +4℃. Goat Anti-Mouse IgG H&L (iFluor™ 594, HA1126) was used as the secondary antibody at 1/1,000 dilution.
ET1702-05_3.jpg Fig3: Immunocytochemistry analysis of NIH/3T3 cells labeling 67kDa Laminin Receptor with Rabbit anti-67kDa Laminin Receptor antibody (ET1702-05) at 1/250 dilution.

Cells were fixed in 4% paraformaldehyde for 15 minutes at room temperature, permeabilized with 0.1% Triton X-100 in PBS for 15 minutes at room temperature, then blocked with 1% BSA in 10% negative goat serum for 1 hour at room temperature. Cells were then incubated with Rabbit anti-67kDa Laminin Receptor antibody (ET1702-05) at 1/250 dilution in 1% BSA in PBST overnight at 4 ℃. Goat Anti-Rabbit IgG H&L (iFluor™ 488, HA1121) was used as the secondary antibody at 1/1,000 dilution. PBS instead of the primary antibody was used as the secondary antibody only control. Nuclear DNA was labelled in blue with DAPI.

Beta tubulin (HA601187, red) was stained at 1/100 dilution overnight at +4℃. Goat Anti-Mouse IgG H&L (iFluor™ 594, HA1126) was used as the secondary antibody at 1/1,000 dilution.
ET1702-05_4.jpg Fig4: Immunocytochemistry analysis of PC-12 cells labeling 67kDa Laminin Receptor with Rabbit anti-67kDa Laminin Receptor antibody (ET1702-05) at 1/250 dilution.

Cells were fixed in 4% paraformaldehyde for 15 minutes at room temperature, permeabilized with 0.1% Triton X-100 in PBS for 15 minutes at room temperature, then blocked with 1% BSA in 10% negative goat serum for 1 hour at room temperature. Cells were then incubated with Rabbit anti-67kDa Laminin Receptor antibody (ET1702-05) at 1/250 dilution in 1% BSA in PBST overnight at 4 ℃. Goat Anti-Rabbit IgG H&L (iFluor™ 488, HA1121) was used as the secondary antibody at 1/1,000 dilution. PBS instead of the primary antibody was used as the secondary antibody only control. Nuclear DNA was labelled in blue with DAPI.

Beta tubulin (HA601187, red) was stained at 1/100 dilution overnight at +4℃. Goat Anti-Mouse IgG H&L (iFluor™ 594, HA1126) was used as the secondary antibody at 1/1,000 dilution.
ET1702-05_5.jpg Fig5: Immunohistochemical analysis of paraffin-embedded human stomach cancer tissue with Rabbit anti-67kDa Laminin Receptor antibody (ET1702-05) at 1/200 dilution.

The section was pre-treated using heat mediated antigen retrieval with Tris-EDTA buffer (pH 9.0) for 20 minutes. The tissues were blocked in 1% BSA for 20 minutes at room temperature, washed with ddH2O and PBS, and then probed with the primary antibody (ET1702-05) at 1/200 dilution for 1 hour at room temperature. The detection was performed using an HRP conjugated compact polymer system. DAB was used as the chromogen. Tissues were counterstained with hematoxylin and mounted with DPX.
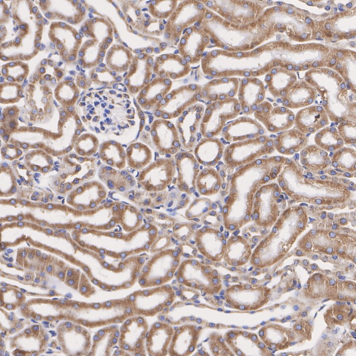
ET1702-05_6.jpg Fig6: Immunohistochemical analysis of paraffin-embedded mouse kidney tissue with Rabbit anti-67kDa Laminin Receptor antibody (ET1702-05) at 1/1,000 dilution.

The section was pre-treated using heat mediated antigen retrieval with Tris-EDTA buffer (pH 9.0) for 20 minutes. The tissues were blocked in 1% BSA for 20 minutes at room temperature, washed with ddH2O and PBS, and then probed with the primary antibody (ET1702-05) at 1/1,000 dilution for 1 hour at room temperature. The detection was performed using an HRP conjugated compact polymer system. DAB was used as the chromogen. Tissues were counterstained with hematoxylin and mounted with DPX.
ET1702-05_7.jpg Fig7: Flow cytometric analysis of HeLa cells labeling 67kDa Laminin Receptor.

Cells were fixed and permeabilized. Then stained with the primary antibody (ET1702-05, 1/1,000) (red) compared with Rabbit IgG Isotype Control (green). After incubation of the primary antibody at +4℃ for an hour, the cells were stained with a iFluor™ 488 conjugate-Goat anti-Rabbit IgG Secondary antibody (HA1121) at 1/1,000 dilution for 30 minutes at +4℃. Unlabelled sample was used as a control (cells without incubation with primary antibody; black).
Note: All products are “FOR RESEARCH USE ONLY AND ARE NOT INTENDED FOR DIAGNOSTIC OR THERAPEUTIC USE”.