Myelin Basic Protein Recombinant Rabbit Monoclonal Antibody [JF0943]
cat.: ET1702-15
Product Type: Recombinant Rabbit monoclonal IgG, primary antibodies
Species reactivity: Human, Mouse, Rat, Cynomolgus monkey, Pig
Applications: WB, IHC-P, IF-Tissue, IHC-Fr, mIHC
Clonality: Monoclonal
Clone number: JF0943
Form: Liquid
Storage condition: Shipped at 4℃. Store at +4℃ short term (1-2 weeks). It is recommended to aliquot into single-use upon delivery. Store at -20℃ long term.
Storage buffer: 1*TBS (pH7.4), 0.05% BSA, 40% Glycerol. Preservative: 0.05% Sodium Azide.
Concentration: 1ug/ul
Purification: Protein A affinity purified.
Molecular weight: Predicted band size: 33 kDa
Isotype: IgG
Immunogen: Recombinant protein within Human Myelin Basic Protein aa 121-304 / 304.
Positive control: Rat brain tissue lysate, Mouse brain tissue lysate, human brain tissue, mouse brain tissue, rat brain tissue, mouse cerebral cortex tissue, mouse hippocampus tissue.
Subcellular location: Myelin membrane, Nucleus.
Recommended Dilutions:
  WB
  IHC-P
  IF-Tissue
  IHC-Fr
  mIHC

1:1,000
1:1,000-1:30,000
1:500-1:1,000
1:500-1:1,000
1:2,000
Uniprot #: SwissProt: P02686 Human | P04370 Mouse | P02688 Rat
Alternative names: GDB Golli MBP Golli MBP; myelin basic protein Hemopoietic MBP HMBPR HUGO MBP MBP_CAVPO MBP_HUMAN MGC99675 MLD Myelin A1 protein Myelin A1 Protein, basic Myelin basic protein Myelin Deficient Myelin membrane encephalitogenic protein OTTHUMP00000163776 OTTHUMP00000174387 OTTHUMP00000174388 SHI Shiverer SP
Images
ET1702-15_1.jpg Fig1: Application: IHC-Fr

Species: Mouse

Site: Cerebral cortex

Sample: Frozen section

Antibody concentration: 1:1,000

Antigen retrieval: Not required
ET1702-15_2.jpg Fig2: Application: IHC-Fr

Species: Mouse

Site: Cerebellum

Sample: Frozen section

Antibody concentration: 1:1,000

Antigen retrieval: Not required
ET1702-15_3.jpg Fig3: Application: IHC-Fr

Species: Rat

Site: Cerebral cortex

Sample: Frozen section

Antibody concentration: 1:500

Antigen retrieval: Not required
ET1702-15_4.jpg Fig4: Application: IF-tissue

Species: Human

Site: Cerebral cortex

Sample: Paraffin-embedded section

Antibody concentration: 1:500
ET1702-15_5.jpg Fig5: Application: IF-tissue

Species: Mouse

Site: Hippocampus

Sample: Paraffin-embedded section

Antibody concentration: 1:500
ET1702-15_6.jpg Fig6: Western blot analysis of Myelin Basic Protein on different lysates with Rabbit anti-Myelin Basic Protein antibody (ET1702-15) at 1/500 dilution.

Lane 1: Rat brain tissue lysate
Lane 2: Mouse brain tissue lysate

Lysates/proteins at 20 µg/Lane.

Predicted band size: 33 kDa
Observed band size: 14~25 kDa

Exposure time: 2 minutes;
15% SDS-PAGE gel.

Proteins were transferred to a PVDF membrane and blocked with 5% NFDM/TBST for 1 hour at room temperature. The primary antibody (ET1702-15) at 1/500 dilution was used in 5% NFDM/TBST at room temperature for 2 hours. Goat Anti-Rabbit IgG - HRP Secondary Antibody (HA1001) at 1:200,000 dilution was used for 1 hour at room temperature.
ET1702-15_7.jpg Fig7: Immunohistochemical analysis of paraffin-embedded human brain tissue with Rabbit anti-Myelin Basic Protein antibody (ET1702-15) at 1/30,000 dilution.

The section was pre-treated using heat mediated antigen retrieval with Tris-EDTA buffer (pH 9.0) for 20 minutes. The tissues were blocked in 1% BSA for 20 minutes at room temperature, washed with ddH2O and PBS, and then probed with the primary antibody (ET1702-15) at 1/30,000 dilution for 1 hour at room temperature. The detection was performed using an HRP conjugated compact polymer system. DAB was used as the chromogen. Tissues were counterstained with hematoxylin and mounted with DPX.
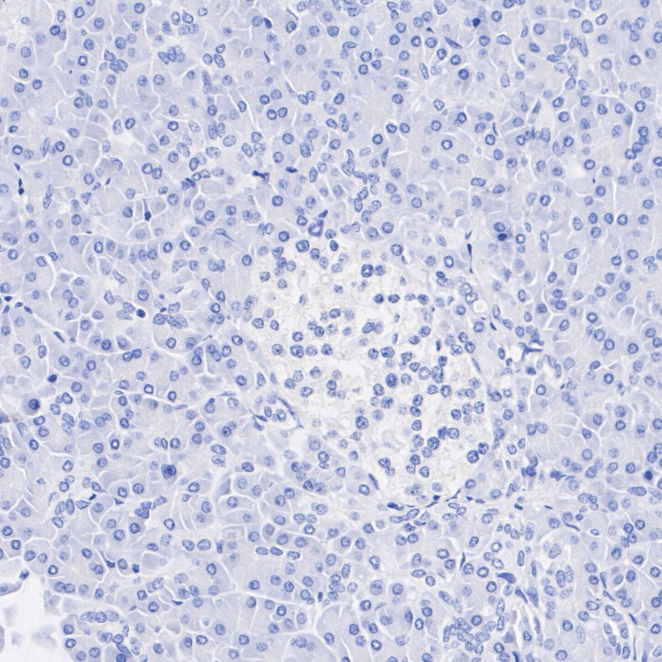
ET1702-15_8.jpg Fig8: Immunohistochemical analysis of paraffin-embedded human pancreas tissue (negative) with Rabbit anti-Myelin Basic Protein antibody (ET1702-15) at 1/1,000 dilution.

The section was pre-treated using heat mediated antigen retrieval with Tris-EDTA buffer (pH 9.0) for 20 minutes. The tissues were blocked in 1% BSA for 20 minutes at room temperature, washed with ddH2O and PBS, and then probed with the primary antibody (ET1702-15) at 1/1,000 dilution for 1 hour at room temperature. The detection was performed using an HRP conjugated compact polymer system. DAB was used as the chromogen. Tissues were counterstained with hematoxylin and mounted with DPX.
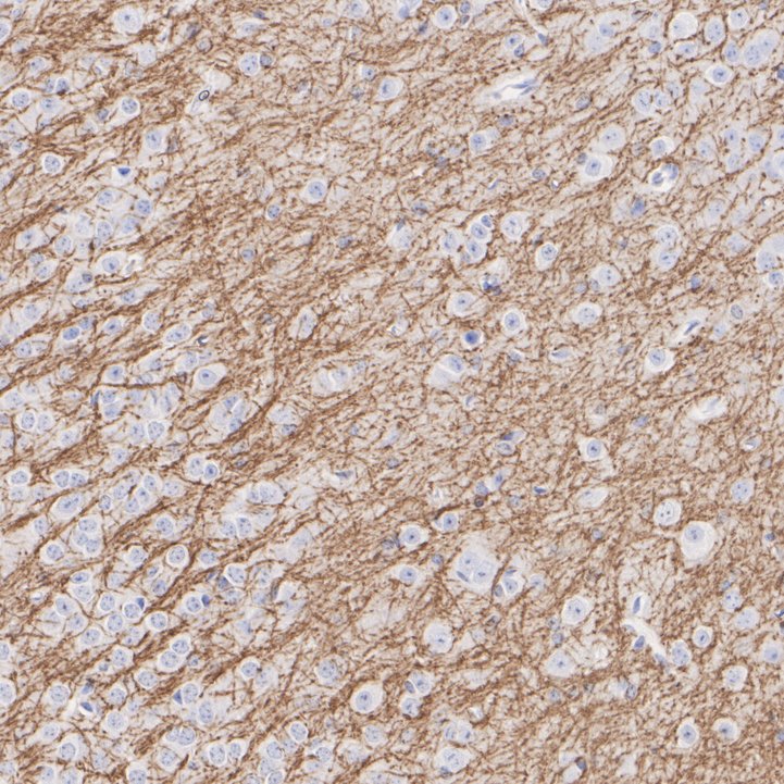
ET1702-15_9.jpg Fig9: Immunohistochemical analysis of paraffin-embedded mouse brain tissue with Rabbit anti-Myelin Basic Protein antibody (ET1702-15) at 1/30,000 dilution.

The section was pre-treated using heat mediated antigen retrieval with Tris-EDTA buffer (pH 9.0) for 20 minutes. The tissues were blocked in 1% BSA for 20 minutes at room temperature, washed with ddH2O and PBS, and then probed with the primary antibody (ET1702-15) at 1/30,000 dilution for 1 hour at room temperature. The detection was performed using an HRP conjugated compact polymer system. DAB was used as the chromogen. Tissues were counterstained with hematoxylin and mounted with DPX.
ET1702-15_10.jpg Fig10: Immunohistochemical analysis of paraffin-embedded mouse striatum tissue with Rabbit anti-Myelin Basic Protein antibody (ET1702-15) at 1/1,000 dilution.

The section was pre-treated using heat mediated antigen retrieval with Tris-EDTA buffer (pH 9.0) for 20 minutes. The tissues were blocked in 1% BSA for 20 minutes at room temperature, washed with ddH2O and PBS, and then probed with the primary antibody (ET1702-15) at 1/1,000 dilution for 1 hour at room temperature. The detection was performed using an HRP conjugated compact polymer system. DAB was used as the chromogen. Tissues were counterstained with hematoxylin and mounted with DPX.
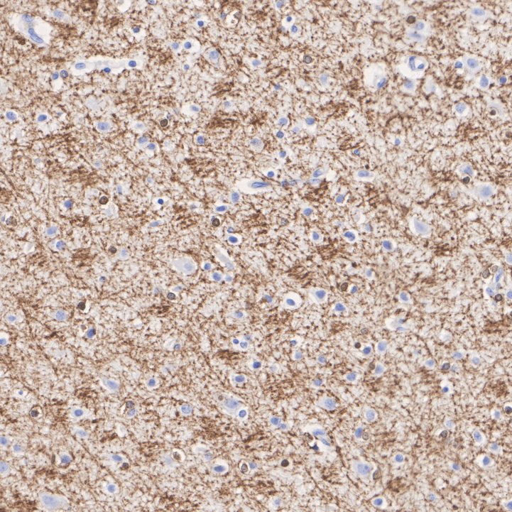
ET1702-15_11.jpg Fig11: Immunohistochemical analysis of paraffin-embedded rat brain tissue with Rabbit anti-Myelin Basic Protein antibody (ET1702-15) at 1/30,000 dilution.

The section was pre-treated using heat mediated antigen retrieval with Tris-EDTA buffer (pH 9.0) for 20 minutes. The tissues were blocked in 1% BSA for 20 minutes at room temperature, washed with ddH2O and PBS, and then probed with the primary antibody (ET1702-15) at 1/30,000 dilution for 1 hour at room temperature. The detection was performed using an HRP conjugated compact polymer system. DAB was used as the chromogen. Tissues were counterstained with hematoxylin and mounted with DPX.
ET1702-15_12.jpg Fig12: mIHC analysis of mouse brain tissue (Formalin/PFA-fixed paraffin-embedded sections) with Rabbit anti-Myelin Basic Protein antibody (ET1702-15) at 1/2,000 dilution. The immunostaining was performed with the IRISKit® HyperView mTSA Kit (MH900206). Heat mediated antigen retrieval with Tris-EDTA buffer (pH 9.0) for 30 mins at 95℃. DAPI (blue) was used as a nuclear counter stain. Image acquisition was performed with Olympus VS200 Slide Scanner.
Note: All products are “FOR RESEARCH USE ONLY AND ARE NOT INTENDED FOR DIAGNOSTIC OR THERAPEUTIC USE”.