Phospho-PKC alpha (T638) Recombinant Rabbit Monoclonal Antibody [JF0964]
cat.: ET1702-17
Product Type: Recombinant Rabbit monoclonal IgG, primary antibodies
Species reactivity: Human, Mouse, Rat
Applications: WB, IF-Cell, IF-Tissue, IHC-P, IP, Dot Blot
Clonality: Monoclonal
Clone number: JF0964
Form: Liquid
Storage condition: Shipped at 4℃. Store at +4℃ short term (1-2 weeks). It is recommended to aliquot into single-use upon delivery. Store at -20℃ long term.
Storage buffer: 1*TBS (pH7.4), 0.05% BSA, 40% Glycerol. Preservative: 0.05% Sodium Azide.
Concentration: 1ug/ul
Purification: Protein A affinity purified.
Molecular weight: Predicted band size: 77 kDa
Isotype: IgG
Immunogen: Synthetic phospho-peptide corresponding to residues surrounding Thr638 of Human PKC alpha aa 622-667 / 672.
Positive control: HEK-293 cell lysate, HeLa cell lysate, NIH/3T3 cell lysate, C6 cell lysate, Mouse brain tissue lysate, Rat brain tissue lysate, NIH/3T3 starved overnight then treated with 200nM TPA for 4 hours cell lysate, HeLa, NIH/3T3, C6, human breast cancer tissue, mouse brain tissue, rat brain tissue.
Subcellular location: Cytoplasm, Cell membrane, Mitochondrion membrane, Nucleus.
Recommended Dilutions:
  WB
  IF-Cell
  IF-Tissue
  IHC-P
  IP
  Dot Blot

1:5,000
1:50-1:500
1:50-1:500
1:50-1:1,000
Use at an assay dependent concentration.
1:5,000
Uniprot #: SwissProt: P17252 Human | P20444 Mouse | P05696 Rat
Alternative names: AAG6 Aging associated gene 6 aPKC KPCA_HUMAN PKC alpha PKC-A PKC-alpha PKCA PRKACA PRKCA Protein Kinase C alpha Protein kinase C alpha type
Images
ET1702-17_1.jpg Fig1: Western blot analysis of Phospho-PKC alpha (T638) on different lysates with Rabbit anti-Phospho-PKC alpha (T638) antibody (ET1702-17) at 1/5,000 dilution.

Lane 1: HEK-293 cell lysate (20 µg/Lane)
Lane 2: HeLa cell lysate (20 µg/Lane)
Lane 3: NIH/3T3 cell lysate (20 µg/Lane)
Lane 4: C6 cell lysate (20 µg/Lane)
Lane 5: Mouse brain tissue lysate(40 µg/Lane)
Lane 6: Rat brain tissue lysate(40 µg/Lane)
Lane 3: HeLa cell lysate, the membrane treated with λpp for 1 hour (20 µg/Lane)

Predicted band size: 77 kDa
Observed band size: 77 kDa

Exposure time: 10 seconds; ECL: K1801;
4-20% SDS-PAGE gel.

Proteins were transferred to a PVDF membrane and blocked with 5% NFDM/TBST for 1 hour at room temperature. The primary antibody (ET1702-17) at 1/5,000 dilution was used in primary antibody dilution (K1803) at 4℃ overnight. Goat Anti-Rabbit IgG - HRP Secondary Antibody (HA1001) at 1/50,000 dilution was used for 1 hour at room temperature.
ET1702-17_2.jpg Fig2: Western blot analysis of Phospho-PKC alpha (T638) on different lysates with Rabbit anti-Phospho-PKC alpha (T638) antibody (ET1702-17) at 1/5,000 dilution.

Lane 1: NIH/3T3 cell lysate
Lane 2: NIH/3T3 starved overnight then treated with 200nM TPA for 4 hours cell lysate

Lysates/proteins at 20 µg/Lane.

Predicted band size: 77 kDa
Observed band size: 77 kDa

Exposure time: 10 seconds; ECL: K1801;
4-20% SDS-PAGE gel.

Proteins were transferred to a PVDF membrane and blocked with 5% NFDM/TBST for 1 hour at room temperature. The primary antibody (ET1702-17) at 1/5,000 dilution was used in 5% NFDM/TBST at 4℃ overnight. Goat Anti-Rabbit IgG - HRP Secondary Antibody (HA1001) at 1/50,000 dilution was used for 1 hour at room temperature.
ET1702-17_3.jpg Fig3: Immunocytochemistry analysis of HeLa cells treated with or without λpp labeling Phospho-PKC alpha (T638) with Rabbit anti-Phospho-PKC alpha (T638) antibody (ET1702-17) at 1/100 dilution.

Cells were fixed in 4% paraformaldehyde for 20 minutes at room temperature, permeabilized with 0.1% Triton X-100 in PBS for 5 minutes at room temperature, then blocked with 1% BSA in 10% negative goat serum for 1 hour at room temperature. Cells were then incubated with Rabbit anti-Phospho-PKC alpha (T638) antibody (ET1702-17) at 1/100 dilution in 1% BSA in PBST overnight at 4 ℃. Goat Anti-Rabbit IgG H&L (iFluor™ 488, HA1121) was used as the secondary antibody at 1/1,000 dilution. PBS instead of the primary antibody was used as the secondary antibody only control. Nuclear DNA was labelled in blue with DAPI.

Beta tubulin (M1305-2, red) was stained at 1/100 dilution overnight at +4℃. Goat Anti-Mouse IgG H&L (iFluor™ 594, HA1126) was used as the secondary antibody at 1/1,000 dilution.
ET1702-17_4.jpg Fig4: Immunocytochemistry analysis of NIH/3T3 cells treated with or without λpp labeling Phospho-PKC alpha (T638) with Rabbit anti-Phospho-PKC alpha (T638) antibody (ET1702-17) at 1/100 dilution.

Cells were fixed in 4% paraformaldehyde for 20 minutes at room temperature, permeabilized with 0.1% Triton X-100 in PBS for 5 minutes at room temperature, then blocked with 1% BSA in 10% negative goat serum for 1 hour at room temperature. Cells were then incubated with Rabbit anti-Phospho-PKC alpha (T638) antibody (ET1702-17) at 1/100 dilution in 1% BSA in PBST overnight at 4 ℃. Goat Anti-Rabbit IgG H&L (iFluor™ 488, HA1121) was used as the secondary antibody at 1/1,000 dilution. PBS instead of the primary antibody was used as the secondary antibody only control. Nuclear DNA was labelled in blue with DAPI.

Beta tubulin (M1305-2, red) was stained at 1/100 dilution overnight at +4℃. Goat Anti-Mouse IgG H&L (iFluor™ 594, HA1126) was used as the secondary antibody at 1/1,000 dilution.
ET1702-17_5.jpg Fig5: Immunocytochemistry analysis of C6 cells treated with or without λpp labeling Phospho-PKC alpha (T638) with Rabbit anti-Phospho-PKC alpha (T638) antibody (ET1702-17) at 1/100 dilution.

Cells were fixed in 4% paraformaldehyde for 20 minutes at room temperature, permeabilized with 0.1% Triton X-100 in PBS for 5 minutes at room temperature, then blocked with 1% BSA in 10% negative goat serum for 1 hour at room temperature. Cells were then incubated with Rabbit anti-Phospho-PKC alpha (T638) antibody (ET1702-17) at 1/100 dilution in 1% BSA in PBST overnight at 4 ℃. Goat Anti-Rabbit IgG H&L (iFluor™ 488, HA1121) was used as the secondary antibody at 1/1,000 dilution. PBS instead of the primary antibody was used as the secondary antibody only control. Nuclear DNA was labelled in blue with DAPI.

Beta tubulin (M1305-2, red) was stained at 1/100 dilution overnight at +4℃. Goat Anti-Mouse IgG H&L (iFluor™ 594, HA1126) was used as the secondary antibody at 1/1,000 dilution.
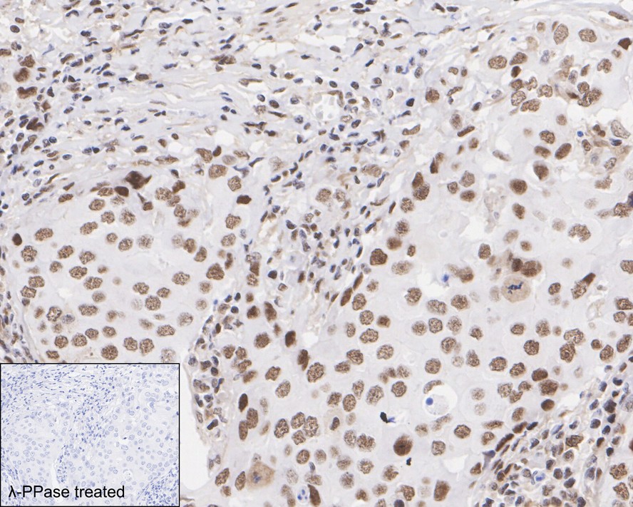
ET1702-17_6.jpg Fig6: Immunohistochemical analysis of paraffin-embedded human breast cancer tissue untreated / treated with λpp with Rabbit anti-Phospho-PKC alpha (T638) antibody (ET1702-17) at 1/1,000 dilution.

The section was pre-treated using heat mediated antigen retrieval with Tris-EDTA buffer (pH 9.0) for 20 minutes. The tissues were blocked in 1% BSA for 20 minutes at room temperature, washed with ddH2O and PBS, and then probed with the primary antibody (ET1702-17) at 1/1,000 dilution for 1 hour at room temperature. The detection was performed using an HRP conjugated compact polymer system. DAB was used as the chromogen. Tissues were counterstained with hematoxylin and mounted with DPX.
ET1702-17_7.jpg Fig7: Immunohistochemical analysis of paraffin-embedded mouse brain tissue using anti-Phospho-PKC alpha (T638) antibody. The section was pre-treated using heat mediated antigen retrieval with Tris-EDTA buffer (pH 8.0-8.4) for 20 minutes.The tissues were blocked in 5% BSA for 30 minutes at room temperature, washed with ddH2O and PBS, and then probed with the primary antibody (ET1702-17, 1/50) for 30 minutes at room temperature. The detection was performed using an HRP conjugated compact polymer system. DAB was used as the chromogen. Tissues were counterstained with hematoxylin and mounted with DPX.
ET1702-17_8.jpg Fig8: Immunohistochemical analysis of paraffin-embedded rat brain tissue using anti-Phospho-PKC alpha (T638) antibody. The section was pre-treated using heat mediated antigen retrieval with Tris-EDTA buffer (pH 8.0-8.4) for 20 minutes.The tissues were blocked in 5% BSA for 30 minutes at room temperature, washed with ddH2O and PBS, and then probed with the primary antibody (ET1702-17, 1/50) for 30 minutes at room temperature. The detection was performed using an HRP conjugated compact polymer system. DAB was used as the chromogen. Tissues were counterstained with hematoxylin and mounted with DPX.
ET1702-17_9.jpg Fig9: Dot blot analysis of Phospho-PKC alpha (T638) on different peptides with Rabbit anti-Phospho-PKC alpha (T638) antibody (ET1702-17) at 1/5,000 dilution. Goat Anti-Rabbit IgG - HRP Secondary Antibody (HA1001) at 1/50,000 dilution for 1 hour at room temperature.

Lane 1: Phospho-PKC alpha (T638) peptide (positive)
Lane 2: Phospho-PKC beta II (T641) peptide (negative)
Lane 3: Phospho-PKC beta I (T642) peptide (negative)
Lane 4: Unmodified PKC alpha peptide (negative)

Proteins loading: 100ng, 25ng, 5ng;

Blocking and dilution buffer: 5% NFDM/TBST;

Exposure time: 3 seconds; ECL: K1801.
Note: All products are “FOR RESEARCH USE ONLY AND ARE NOT INTENDED FOR DIAGNOSTIC OR THERAPEUTIC USE”.