HMGCR Recombinant Rabbit Monoclonal Antibody [JF0981]
cat.: ET1702-41
Product Type: Recombinant Rabbit monoclonal IgG, primary antibodies
Species reactivity: Human, Mouse, Rat
Applications: WB, IP, IHC-P
Clonality: Monoclonal
Clone number: JF0981
Form: Liquid
Storage condition: Shipped at 4℃. Store at +4℃ short term (1-2 weeks). It is recommended to aliquot into single-use upon delivery. Store at -20℃ long term.
Storage buffer: 1*TBS (pH7.4), 0.05% BSA, 40% Glycerol. Preservative: 0.05% Sodium Azide.
Concentration: 1ug/ul
Purification: Protein A affinity purified.
Molecular weight: Predicted band size: 97 kDa
Isotype: IgG
Immunogen: Synthetic peptide within Human HMGCR aa 438-489 / 888.
Positive control: HeLa cell lysate, THP-1 cell lysate, HepG2 cell lysate, mouse testis tissue lysate, rat testis tissue lysate, human small intestine tissue.
Subcellular location: Endoplasmic reticulum membrane.
Recommended Dilutions:
  WB
  IP
  IHC-P

1:5,000
Use at an assay dependent concentration.
1:100
Uniprot #: SwissProt: P04035 Human | Q01237 Mouse | P51639 Rat
Alternative names: 3 hydroxy 3 methylglutaryl CoA reductase 3 hydroxy 3 methylglutaryl Coenzyme A reductase 3 hydroxymethylglutaryl CoA reductase 3-hydroxy-3-methylglutaryl CoA reductase (NADPH) 3-hydroxy-3-methylglutaryl-coenzyme A reductase 3H3M HMDH_HUMAN HMG CoA reductase HMG CoAR HMG-CoA reductase Hmgcr Hydroxymethylglutaryl CoA reductase LDLCQ3 MGC103269 Red
Images
ET1702-41_1.jpg Fig1: Western blot analysis of HMGCR on different lysates with Rabbit anti-HMGCR antibody (ET1702-41) at 1/5,000 dilution.

Lane 1: HeLa cell lysate
Lane 2: THP-1 cell lysate
Lane 3: HepG2 cell lysate
Lane 4: Mouse testis tissue lysate
Lane 5: Rat testis tissue lysate

Lysates/proteins at 20 µg/Lane.

Predicted band size: 98 kDa
Observed band size: 100 kDa

Exposure time: 1 minute 40 seconds;

4-20% SDS-PAGE gel.

Proteins were transferred to a PVDF membrane and blocked with 5% NFDM/TBST for 1 hour at room temperature. The primary antibody (ET1702-41) at 1/5,000 dilution was used in 5% NFDM/TBST at 4℃ overnight. Goat Anti-Rabbit IgG - HRP Secondary Antibody (HA1001) at 1:50,000 dilution was used for 1 hour at room temperature.
ET1702-41_2.jpg Fig2: HMGCR was immunoprecipitated in 0.2mg HeLa cell lysate with ET1702-41 at 2 µg/25 µl agarose. Western blot was performed from the immunoprecipitate using ET1702-41 at 1/5,000 dilution. Anti-Rabbit IgG for IP Nano-secondary antibody (NBI01H) at 1/5,000 dilution was used for 1 hour at room temperature.

Lane 1: HeLa cell lysate (input)
Lane 2: Rabbit IgG instead of ET1702-41 in HeLa cell lysate
Lane 3: ET1702-41 IP in HeLa cell lysate

Blocking/Dilution buffer: 5% NFDM/TBST
Exposure time: 43 seconds
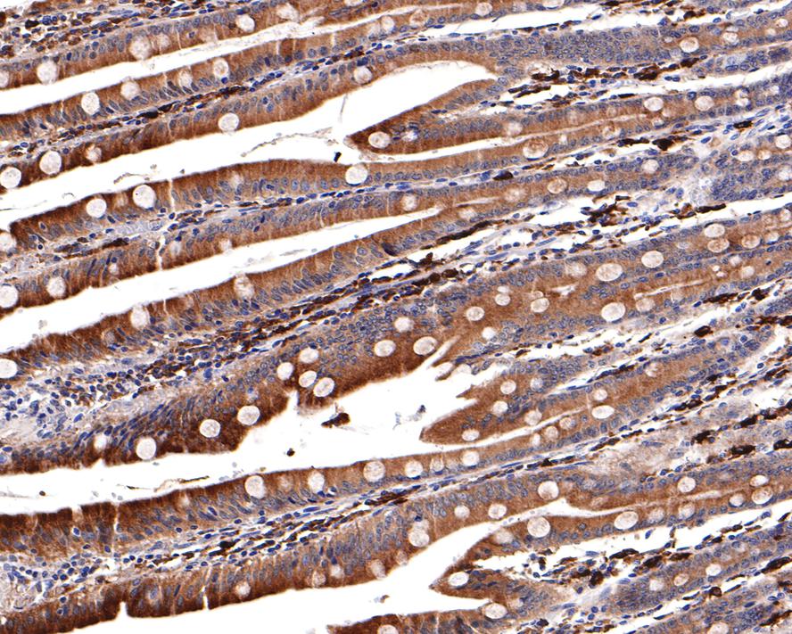
ET1702-41_3.jpg Fig3: Immunohistochemical analysis of paraffin-embedded human small intestine tissue with Rabbit anti-HMGCR antibody (ET1702-41) at 1/100 dilution.

The section was pre-treated using heat mediated antigen retrieval with Tris-EDTA buffer (pH 9.0) for 20 minutes. The tissues were blocked in 1% BSA for 20 minutes at room temperature, washed with ddH2O and PBS, and then probed with the primary antibody (ET1702-41) at 1/100 dilution for 1 hour at room temperature. The detection was performed using an HRP conjugated compact polymer system. DAB was used as the chromogen. Tissues were counterstained with hematoxylin and mounted with DPX.
Note: All products are “FOR RESEARCH USE ONLY AND ARE NOT INTENDED FOR DIAGNOSTIC OR THERAPEUTIC USE”.