CD19 Recombinant Rabbit Monoclonal Antibody [JF100-06]
cat.: ET1702-93
Product Type: Recombinant Rabbit monoclonal IgG, primary antibodies
Species reactivity: Human
Applications: WB, IF-Cell, IF-Tissue, IHC-P, FC, mIHC
Clonality: Monoclonal
Clone number: JF100-06
Form: Liquid
Storage condition: Shipped at 4℃. Store at +4℃ short term (1-2 weeks). It is recommended to aliquot into single-use upon delivery. Store at -20℃ long term.
Storage buffer: 1*TBS (pH7.4), 0.05% BSA, 40% Glycerol. Preservative: 0.05% Sodium Azide.
Concentration: 1ug/ul
Purification: Protein A affinity purified.
Molecular weight: Predicted band size: 61 kDa
Isotype: IgG
Immunogen: Recombinant protein within Human CD19 aa 294-556 / 556.
Positive control: Raji cell lysate, Ramos cell lysate, Daudi cell lysate, Raji, human spleen tissue, Daudi, human tonsils tissue.
Subcellular location: Membrane.
Recommended Dilutions:
  WB
  IF-Cell
  IHC-P
  IF-Tissue
  FC
  mIHC

1:10,000
1:50
1:1,000
1:200
1:1,000
1:500
Uniprot #: SwissProt: P15391 Human
Alternative names: deficiency due to defect in CD19, included AW495831 B lymphocyte antigen CD19 B lymphocyte surface antigen B4 B-lymphocyte antigen CD19 B-lymphocyte surface antigen B4 B4 CD19 CD19 antigen CD19 molecule Cd19 protein CD19_HUMAN CVID3 Differentiation antigen CD19 Leu 12 Leu-12 Leu12 MGC109570 MGC12802 T-cell surface antigen Leu-12
Images
ET1702-93_1.jpg Fig1: Western blot analysis of CD19 on different lysates with Rabbit anti-CD19 antibody (ET1702-93) at 1/10,000 dilution.

Lane 1: Raji cell lysate
Lane 2: Ramos cell lysate
Lane 3: 293T cell lysate (negative)
Lane 4: Daudi cell lysate
Lane 5: K-562 cell lysate (negative)

Lysates/proteins at 20 µg/Lane.

Predicted band size: 61 kDa
Observed band size: 90 kDa

Exposure time: 25 seconds; ECL: K1801;

4-20% SDS-PAGE gel.

Proteins were transferred to a PVDF membrane and blocked with 5% NFDM/TBST for 1 hour at room temperature. The primary antibody (ET1702-93) at 1/10,000 dilution was used in primary antibody dilution (K1803) at 4℃ overnight. Goat Anti-Rabbit IgG - HRP Secondary Antibody (HA1001) at 1/50,000 dilution was used for 1 hour at room temperature.
ET1702-93_2.jpg Fig2: Immunocytochemistry analysis of Raji (positive) and 293T (negative) labeling CD19 with Rabbit anti-CD19 antibody (ET1702-93) at 1/50 dilution.

Cells were fixed in 4% paraformaldehyde for 15 minutes at room temperature, permeabilized with 0.1% Triton X-100 in PBS for 15 minutes at room temperature, then blocked with 1% BSA in 10% negative goat serum for 1 hour at room temperature. Cells were then incubated with Rabbit anti-CD19 antibody (ET1702-93) at 1/50 dilution in 1% BSA in PBST overnight at 4 ℃. Goat Anti-Rabbit IgG H&L (iFluor™ 488, HA1121) was used as the secondary antibody at 1/1,000 dilution. PBS instead of the primary antibody was used as the secondary antibody only control. Nuclear DNA was labelled in blue with DAPI.

Beta tubulin (HA601187, red) was stained at 1/100 dilution overnight at +4℃. Goat Anti-Mouse IgG H&L (iFluor™ 594, HA1126) was used as the secondary antibody at 1/1,000 dilution.
ET1702-93_3.jpg Fig3: Immunohistochemical analysis of paraffin-embedded human spleen tissue with Rabbit anti-CD19 antibody (ET1702-93) at 1/1,000 dilution.

The section was pre-treated using heat mediated antigen retrieval with Tris-EDTA buffer (pH 9.0) for 20 minutes. The tissues were blocked in 1% BSA for 20 minutes at room temperature, washed with ddH2O and PBS, and then probed with the primary antibody (ET1702-93) at 1/1,000 dilution for 1 hour at room temperature. The detection was performed using an HRP conjugated compact polymer system. DAB was used as the chromogen. Tissues were counterstained with hematoxylin and mounted with DPX.
ET1702-93_4.jpg Fig4: Flow cytometric analysis of Daudi cells labeling CD19.

Cells were fixed and permeabilized. Then stained with the primary antibody (ET1702-93, 1ug/ml) (red) compared with Rabbit IgG Isotype Control (green). After incubation of the primary antibody at +4℃ for an hour, the cells were stained with a iFluor™ 488 conjugate-Goat anti-Rabbit IgG Secondary antibody (HA1121) at 1/1,000 dilution for 30 minutes at +4℃. Unlabelled sample was used as a control (cells without incubation with primary antibody; black).
ET1702-93_5.jpg Fig5: Flow cytometric analysis of Raji cells labeling CD19.

Cells were fixed and permeabilized. Then stained with the primary antibody (ET1702-93, 1ug/ml) (red) compared with Rabbit IgG Isotype Control (green). After incubation of the primary antibody at +4℃ for an hour, the cells were stained with a iFluor™ 488 conjugate-Goat anti-Rabbit IgG Secondary antibody (HA1121) at 1/1,000 dilution for 30 minutes at +4℃. Unlabelled sample was used as a control (cells without incubation with primary antibody; black).
ET1702-93_6.jpg Fig6: mIHC analysis of human tonsils tissue (Formalin/PFA-fixed paraffin-embedded sections) with Rabbit anti-CD19 antibody (ET1702-93) at 1/500 dilution. The immunostaining was performed with the IRISKitCmTSA Kit (900808). Heat mediated antigen retrieval with Tris-EDTA buffer (pH 9.0) for 30 mins at 95℃. DAPI (blue) was used as a nuclear counter stain. Image acquisition was performed with Olympus VS200 Slide Scanner.
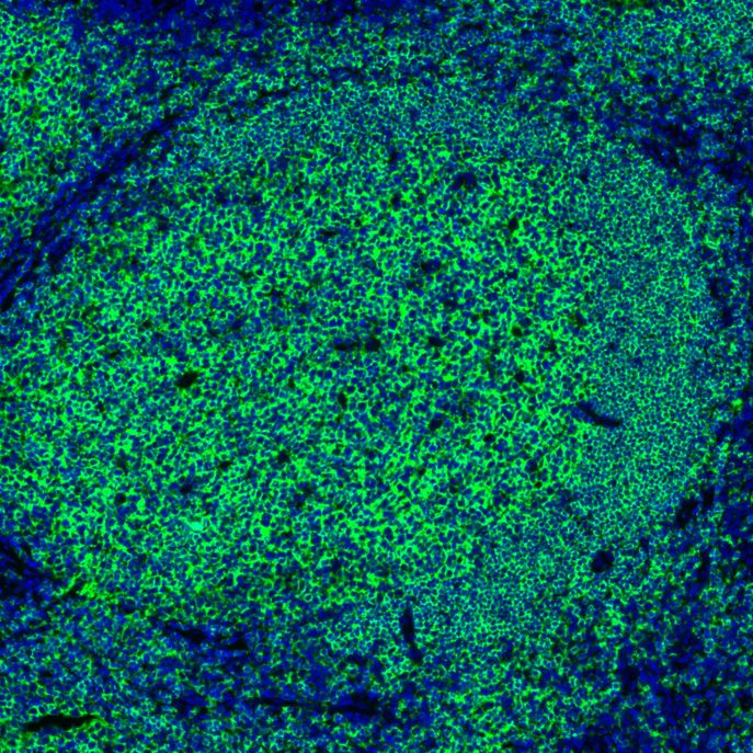
ET1702-93_7.jpg Fig7: Application: IF-Tissue

Species: Human

Site: spleen

Sample: Paraffin-embedded section

Antibody concentration: 1/200
Note: All products are “FOR RESEARCH USE ONLY AND ARE NOT INTENDED FOR DIAGNOSTIC OR THERAPEUTIC USE”.