 
	            	| Product Type: | Recombinant Rabbit monoclonal IgG, primary antibodies | 
|---|---|
| Species reactivity: | Human, Mouse, Rat | 
| Applications: | WB, IF-Cell, IF-Tissue, IHC-P, FC | 
| Clonality: | Monoclonal | 
| Clone number: | JM10-20 | 
| Form: | Liquid | 
| Storage condition: | Shipped at 4℃. Store at +4℃ short term (1-2 weeks). It is recommended to aliquot into single-use upon delivery. Store at -20℃ long term. | 
| Storage buffer: | 1*TBS (pH7.4), 0.05% BSA, 40% Glycerol. Preservative: 0.05% Sodium Azide. | 
| Concentration: | 1ug/ul | 
| Purification: | Protein A affinity purified. | 
| Molecular weight: | Predicted band size: 115 kDa | 
| Isotype: | IgG | 
| Immunogen: | Synthetic peptide within Human SERCA2 aa 999-1,042 / 1,042. | 
| Positive control: | A549 cell lysate, NIH/3T3 cell lysate, PC-12 cell lysate, A549, NIH/3T3, PC-12, human tonsil tissue, human kidney tissue, mouse skeletal muscle tissue, mouse skin tissue, human liver carcinoma tissue, mouse kidney tissue, mouse heart tissue, rat kidney tissue. | 
| Subcellular location: | Endoplasmic reticulum membrane, Sarcoplasmic reticulum membrane. | 
| Recommended Dilutions: WB IF-Cell IF-Tissue IHC-P FC | 1:1,000 1:100 1:50-1:200 1:50-1:500 1:1,000 | 
| Uniprot #: | SwissProt: P16615 Human | O55143 Mouse | P11507 Rat | 
| Alternative names: | AT2A2_HUMAN Atp2a2 ATP2B ATPase Ca++ transporting cardiac muscle slow twitch 2 Calcium pump 2 Calcium-transporting ATPase sarcoplasmic reticulum type Calcium-transporting ATPase sarcoplasmic reticulum type slow twitch skeletal muscle isoform Cardiac Ca2+ ATPase DAR DD Endoplasmic reticulum class 1/2 Ca(2+) ATPase MGC45367 Sarcoplasmic/endoplasmic reticulum calcium ATPase 2 SERCA 2 SERCA2 slow twitch skeletal muscle isoform SR Ca(2+)-ATPase 2 | 
|   | Fig1:
	        				Western blot analysis of SERCA2 on different lysates with Rabbit anti-SERCA2 antibody (ET1703-01) at 1/1,000 dilution. Lane 1: A549 cell lysate Lane 2: A549 cell lysate (no heat) Lane 3: NIH/3T3 cell lysate Lane 4: NIH/3T3 cell lysate (no heat) Lane 5: PC-12 cell lysate Lane 6: PC-12 cell lysate (no heat) Notice: no heat means the lysate is not boiled. Lysates/proteins at 20 µg/Lane. Predicted band size: 115 kDa Observed band size: 115 kDa Exposure time: 25 seconds; ECL: K1801; 4-20% SDS-PAGE gel. Proteins were transferred to a PVDF membrane and blocked with 5% NFDM/TBST for 1 hour at room temperature. The primary antibody (ET1703-01) at 1/1,000 dilution was used in 5% NFDM/TBST at 4℃ overnight. Goat Anti-Rabbit IgG - HRP Secondary Antibody (HA1001) at 1/50,000 dilution was used for 1 hour at room temperature. | 
|   | Fig2:
	        				Immunocytochemistry analysis of A549 cells labeling SERCA2 with Rabbit anti-SERCA2 antibody (ET1703-01) at 1/100 dilution. Cells were fixed in 4% paraformaldehyde for 15 minutes at room temperature, permeabilized with 0.1% Triton X-100 in PBS for 15 minutes at room temperature, then blocked with 1% BSA in 10% negative goat serum for 1 hour at room temperature. Cells were then incubated with Rabbit anti-SERCA2 antibody (ET1703-01) at 1/100 dilution in 1% BSA in PBST overnight at 4 ℃. Goat Anti-Rabbit IgG H&L (iFluor™ 488, HA1121) was used as the secondary antibody at 1/1,000 dilution. PBS instead of the primary antibody was used as the secondary antibody only control. Nuclear DNA was labelled in blue with DAPI. Beta tubulin (HA601187, red) was stained at 1/100 dilution overnight at +4℃. Goat Anti-Mouse IgG H&L (iFluor™ 594, HA1126) was used as the secondary antibody at 1/1,000 dilution. | 
|   | Fig3:
		        				Immunocytochemistry analysis of NIH/3T3 cells labeling SERCA2 with Rabbit anti-SERCA2 antibody (ET1703-01) at 1/100 dilution. Cells were fixed in 4% paraformaldehyde for 15 minutes at room temperature, permeabilized with 0.1% Triton X-100 in PBS for 15 minutes at room temperature, then blocked with 1% BSA in 10% negative goat serum for 1 hour at room temperature. Cells were then incubated with Rabbit anti-SERCA2 antibody (ET1703-01) at 1/100 dilution in 1% BSA in PBST overnight at 4 ℃. Goat Anti-Rabbit IgG H&L (iFluor™ 488, HA1121) was used as the secondary antibody at 1/1,000 dilution. PBS instead of the primary antibody was used as the secondary antibody only control. Nuclear DNA was labelled in blue with DAPI. Beta tubulin (HA601187, red) was stained at 1/100 dilution overnight at +4℃. Goat Anti-Mouse IgG H&L (iFluor™ 594, HA1126) was used as the secondary antibody at 1/1,000 dilution. | 
|   | Fig4:
		        				Immunocytochemistry analysis of PC-12 cells labeling SERCA2 with Rabbit anti-SERCA2 antibody (ET1703-01) at 1/100 dilution. Cells were fixed in 4% paraformaldehyde for 15 minutes at room temperature, permeabilized with 0.1% Triton X-100 in PBS for 15 minutes at room temperature, then blocked with 1% BSA in 10% negative goat serum for 1 hour at room temperature. Cells were then incubated with Rabbit anti-SERCA2 antibody (ET1703-01) at 1/100 dilution in 1% BSA in PBST overnight at 4 ℃. Goat Anti-Rabbit IgG H&L (iFluor™ 488, HA1121) was used as the secondary antibody at 1/1,000 dilution. PBS instead of the primary antibody was used as the secondary antibody only control. Nuclear DNA was labelled in blue with DAPI. Beta tubulin (HA601187, red) was stained at 1/100 dilution overnight at +4℃. Goat Anti-Mouse IgG H&L (iFluor™ 594, HA1126) was used as the secondary antibody at 1/1,000 dilution. | 
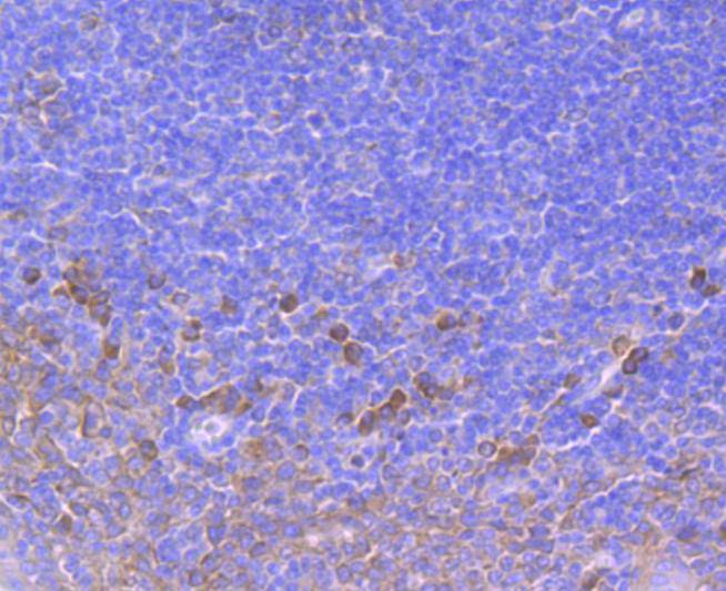
|   | Fig5: Immunohistochemical analysis of paraffin-embedded human tonsil tissue using anti-SERCA2 antibody. The section was pre-treated using heat mediated antigen retrieval with Tris-EDTA buffer (pH 8.0-8.4) for 20 minutes.The tissues were blocked in 5% BSA for 30 minutes at room temperature, washed with ddH2O and PBS, and then probed with the primary antibody (ET1703-01, 1/50) for 30 minutes at room temperature. The detection was performed using an HRP conjugated compact polymer system. DAB was used as the chromogen. Tissues were counterstained with hematoxylin and mounted with DPX. | 
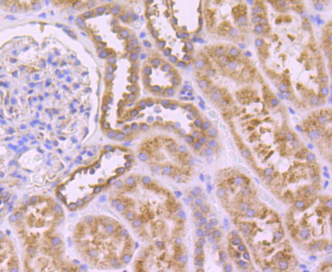
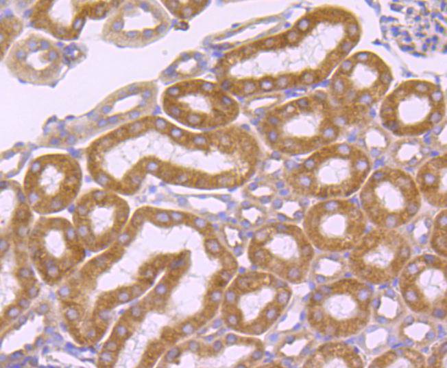
|   | Fig6: Immunohistochemical analysis of paraffin-embedded human kidney tissue using anti-SERCA2 antibody. The section was pre-treated using heat mediated antigen retrieval with Tris-EDTA buffer (pH 8.0-8.4) for 20 minutes.The tissues were blocked in 5% BSA for 30 minutes at room temperature, washed with ddH2O and PBS, and then probed with the primary antibody (ET1703-01, 1/50) for 30 minutes at room temperature. The detection was performed using an HRP conjugated compact polymer system. DAB was used as the chromogen. Tissues were counterstained with hematoxylin and mounted with DPX. | 
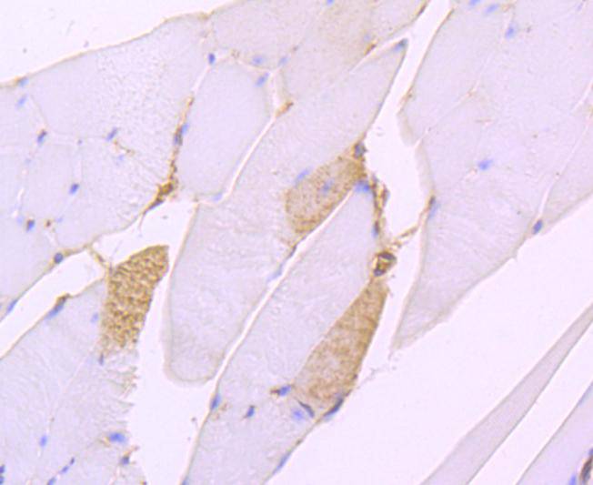
|   | Fig7: Immunohistochemical analysis of paraffin-embedded mouse skeletal muscle tissue using anti-SERCA2 antibody. The section was pre-treated using heat mediated antigen retrieval with Tris-EDTA buffer (pH 8.0-8.4) for 20 minutes.The tissues were blocked in 5% BSA for 30 minutes at room temperature, washed with ddH2O and PBS, and then probed with the primary antibody (ET1703-01, 1/50) for 30 minutes at room temperature. The detection was performed using an HRP conjugated compact polymer system. DAB was used as the chromogen. Tissues were counterstained with hematoxylin and mounted with DPX. | 
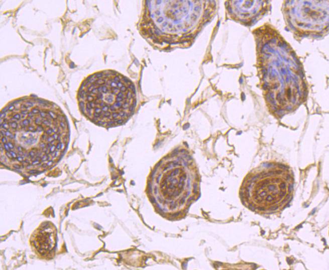
|   | Fig8: Immunohistochemical analysis of paraffin-embedded mouse skin tissue using anti-SERCA2 antibody. The section was pre-treated using heat mediated antigen retrieval with Tris-EDTA buffer (pH 8.0-8.4) for 20 minutes.The tissues were blocked in 5% BSA for 30 minutes at room temperature, washed with ddH2O and PBS, and then probed with the primary antibody (ET1703-01, 1/50) for 30 minutes at room temperature. The detection was performed using an HRP conjugated compact polymer system. DAB was used as the chromogen. Tissues were counterstained with hematoxylin and mounted with DPX. | 
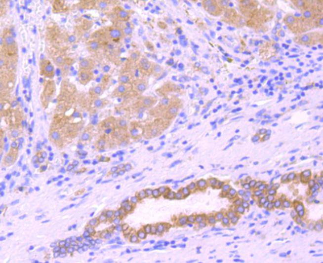
|   | Fig9: Immunohistochemical analysis of paraffin-embedded human liver carcinoma tissue using anti-SERCA2 antibody. The section was pre-treated using heat mediated antigen retrieval with Tris-EDTA buffer (pH 8.0-8.4) for 20 minutes.The tissues were blocked in 5% BSA for 30 minutes at room temperature, washed with ddH2O and PBS, and then probed with the primary antibody (ET1703-01, 1/50) for 30 minutes at room temperature. The detection was performed using an HRP conjugated compact polymer system. DAB was used as the chromogen. Tissues were counterstained with hematoxylin and mounted with DPX. | 
|   | Fig10: Immunohistochemical analysis of paraffin-embedded mouse kidney tissue using anti-SERCA2 antibody. The section was pre-treated using heat mediated antigen retrieval with Tris-EDTA buffer (pH 8.0-8.4) for 20 minutes.The tissues were blocked in 5% BSA for 30 minutes at room temperature, washed with ddH2O and PBS, and then probed with the primary antibody (ET1703-01, 1/50) for 30 minutes at room temperature. The detection was performed using an HRP conjugated compact polymer system. DAB was used as the chromogen. Tissues were counterstained with hematoxylin and mounted with DPX. | 
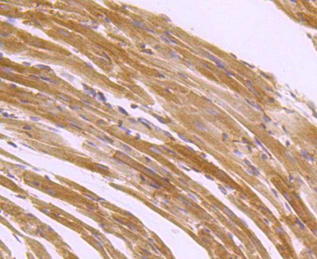
|   | Fig11: Immunohistochemical analysis of paraffin-embedded mouse heart tissue using anti-SERCA2 antibody. The section was pre-treated using heat mediated antigen retrieval with Tris-EDTA buffer (pH 8.0-8.4) for 20 minutes.The tissues were blocked in 5% BSA for 30 minutes at room temperature, washed with ddH2O and PBS, and then probed with the primary antibody (ET1703-01, 1/50) for 30 minutes at room temperature. The detection was performed using an HRP conjugated compact polymer system. DAB was used as the chromogen. Tissues were counterstained with hematoxylin and mounted with DPX. | 
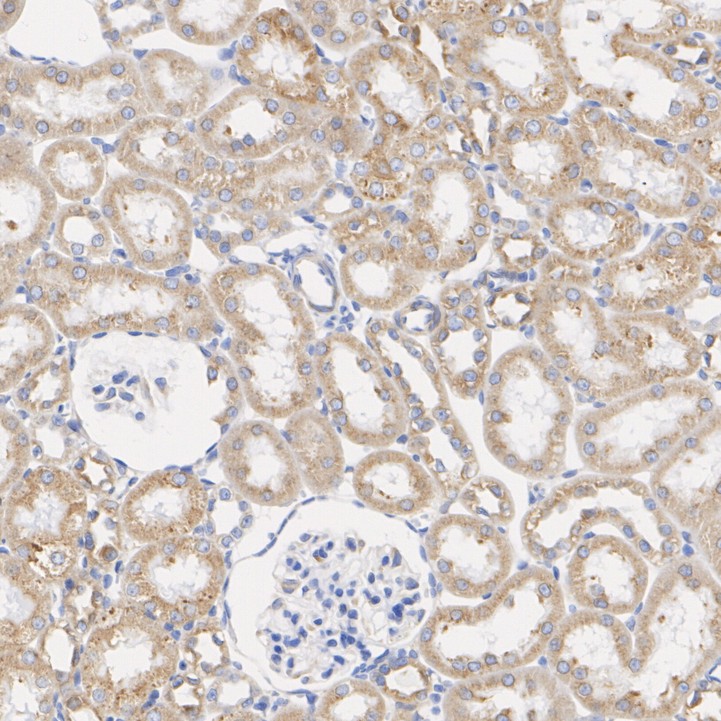
|   | Fig12:
		        				Immunohistochemical analysis of paraffin-embedded rat kidney tissue with Rabbit anti-SERCA2 antibody (ET1703-01) at 1/500 dilution. The section was pre-treated using heat mediated antigen retrieval with Tris-EDTA buffer (pH 9.0) for 20 minutes. The tissues were blocked in 1% BSA for 20 minutes at room temperature, washed with ddH2O and PBS, and then probed with the primary antibody (ET1703-01) at 1/500 dilution for 1 hour at room temperature. The detection was performed using an HRP conjugated compact polymer system. DAB was used as the chromogen. Tissues were counterstained with hematoxylin and mounted with DPX. | 
|   | Fig13:
		        				Flow cytometric analysis of A549 cells labeling SERCA2. Cells were fixed and permeabilized. Then stained with the primary antibody (ET1703-01, 1/1,000) (red) compared with Rabbit IgG Isotype Control (green). After incubation of the primary antibody at +4℃ for an hour, the cells were stained with a iFluor™ 488 conjugate-Goat anti-Rabbit IgG Secondary antibody (HA1121) at 1/1,000 dilution for 30 minutes at +4℃. Unlabelled sample was used as a control (cells without incubation with primary antibody; black). | 
|   | Fig14:
		        				Flow cytometric analysis of NIH/3T3 cells labeling SERCA2. Cells were fixed and permeabilized. Then stained with the primary antibody (ET1703-01, 1/1,000) (red) compared with Rabbit IgG Isotype Control (green). After incubation of the primary antibody at +4℃ for an hour, the cells were stained with a iFluor™ 488 conjugate-Goat anti-Rabbit IgG Secondary antibody (HA1121) at 1/1,000 dilution for 30 minutes at +4℃. Unlabelled sample was used as a control (cells without incubation with primary antibody; black). |