DDIT3 Recombinant Rabbit Monoclonal Antibody [JM10-31]
cat.: ET1703-05
Product Type: Recombinant Rabbit monoclonal IgG, primary antibodies
Species reactivity: Human, Mouse, Rat
Applications: WB, IHC-P, FC
Clonality: Monoclonal
Clone number: JM10-31
Form: Liquid
Storage condition: Shipped at 4℃. Store at +4℃ short term (1-2 weeks). It is recommended to aliquot into single-use upon delivery. Store at -20℃ long term.
Storage buffer: 1*TBS (pH7.4), 0.05% BSA, 40% Glycerol. Preservative: 0.05% Sodium Azide.
Concentration: 1ug/ul
Purification: Protein A affinity purified.
Molecular weight: Predicted band size: 19 kDa
Isotype: IgG
Immunogen: Synthetic peptide within Human DDIT3 aa 135-169 / 169.
Positive control: SW480 cell lysate, HeLa cell lysate, LOVO cell lysate, PC-12 cell lysate, human breast carcinoma tissue, mouse pancreas tissue, human stomach carcinoma tissue, human pancreas tissue, mouse brain tissue, Hela.
Subcellular location: Cytoplasm, Nucleus.
Recommended Dilutions:
  WB
  IHC-P
  FC

1:5,000
1:50-1:200
1:50-1:100
Uniprot #: SwissProt: P35638 Human | P35639 Mouse | Q62857 Rat
Alternative names: C/EBP homologous protein C/EBP Homology Protein C/EBP zeta C/EBP-homologous protein 10 C/EBP-homologous protein CCAAT/enhancer binding protein homologous protein CEBPZ CHOP 10 CHOP CHOP-10 CHOP10 DDIT 3 DDIT-3 Ddit3 DDIT3_HUMAN DNA Damage Inducible Transcript 3 DNA damage-inducible transcript 3 protein GADD 153 GADD153 Growth Arrest and DNA Damage Inducible Protein 153 Growth arrest and DNA damage inducible protein GADD153 Growth arrest and DNA damage-inducible protein GADD153 MGC4154
Images
ET1703-05_1.jpg Fig1: Western blot analysis of DDIT3 on different lysates with Rabbit anti-DDIT3 antibody (ET1703-05) at 1/5,000 dilution.

Lane 1: SW480 cell lysate (20 µg/Lane)
Lane 2: HeLa cell lysate (20 µg/Lane)

Predicted band size: 19 kDa
Observed band size: 27 kDa

Exposure time: 3 minutes;

4-20% SDS-PAGE gel.

Proteins were transferred to a PVDF membrane and blocked with 5% NFDM/TBST for 1 hour at room temperature. The primary antibody (ET1703-05) at 1/5,000 dilution was used in 5% NFDM/TBST at 4℃ overnight. Goat Anti-Rabbit IgG - HRP Secondary Antibody (HA1001) at 1/50,000 dilution was used for 1 hour at room temperature.
ET1703-05_2.jpg Fig2: Western blot analysis of DDIT3 on different lysates with Rabbit anti-DDIT3 antibody (ET1703-05) at 1/1,000 dilution.

Lane 1: SW480-si NT cell lysate
Lane 2: SW480-si DDIT3 cell lysate

Lysates/proteins at 3 µg/Lane.

Predicted band size: 19 kDa
Observed band size: 25 kDa

Exposure time: 5 minutes;

4-20% SDS-PAGE gel.

ET1703-05 was shown to specifically react with DDIT3 in SW480-si NT cells. Weakened band was observed when SW480-si DDIT3 sample was tested. SW480-si NT and SW480-si DDIT3 samples were subjected to SDS-PAGE. Proteins were transferred to a PVDF membrane and blocked with 5% NFDM in TBST for 1 hour at room temperature. The primary antibody (ET1703-05, 1/1,000) and Loading control antibody (Rabbit anti-GAPDH, ET1601-4, 1/10,000) were used in 5% BSA at room temperature for 2 hours. Goat Anti-rabbit IgG-HRP Secondary Antibody (HA1001) at 1:100,000 dilution was used for 1 hour at room temperature.
ET1703-05_3.jpg Fig3: Western blot analysis of DDIT3 on different lysates. Proteins were transferred to a PVDF membrane and blocked with 5% BSA in PBS for 1 hour at room temperature. The primary antibody (ET1703-05, 1/500) was used in 5% BSA at room temperature for 2 hours. Goat Anti-Rabbit IgG - HRP Secondary Antibody (HA1001) at 1:200,000 dilution was used for 1 hour at room temperature.
Positive control:
Lane 1: LOVO cell lysate
Lane 2: PC-12 cell lysate

Predicted band size: 19 kDa
Observed band size: 25 kDa
ET1703-05_4.jpg Fig4: Immunohistochemical analysis of paraffin-embedded human breast cancer tissue with Rabbit anti-DDIT3 antibody (ET1703-05) at 1/1,000 dilution.

The section was pre-treated using heat mediated antigen retrieval with Tris-EDTA buffer (pH 9.0) for 20 minutes. The tissues were blocked in 1% BSA for 20 minutes at room temperature, washed with ddH2O and PBS, and then probed with the primary antibody (ET1703-05) at 1/1,000 dilution for 1 hour at room temperature. The detection was performed using an HRP conjugated compact polymer system. DAB was used as the chromogen. Tissues were counterstained with hematoxylin and mounted with DPX.
ET1703-05_5.jpg Fig5: Immunohistochemical analysis of paraffin-embedded mouse pancreas tissue with Rabbit anti-DDIT3 antibody (ET1703-05) at 1/1,000 dilution.

The section was pre-treated using heat mediated antigen retrieval with Tris-EDTA buffer (pH 9.0) for 20 minutes. The tissues were blocked in 1% BSA for 20 minutes at room temperature, washed with ddH2O and PBS, and then probed with the primary antibody (ET1703-05) at 1/1,000 dilution for 1 hour at room temperature. The detection was performed using an HRP conjugated compact polymer system. DAB was used as the chromogen. Tissues were counterstained with hematoxylin and mounted with DPX.
ET1703-05_6.jpg Fig6: Immunohistochemical analysis of paraffin-embedded human stomach carcinoma tissue using anti-DDIT3 antibody. The section was pre-treated using heat mediated antigen retrieval with Tris-EDTA buffer (pH 9.0) for 20 minutes.The tissues were blocked in 5% BSA for 30 minutes at room temperature, washed with ddH2O and PBS, and then probed with the primary antibody (ET1703-05, 1/50) for 30 minutes at room temperature. The detection was performed using an HRP conjugated compact polymer system. DAB was used as the chromogen. Tissues were counterstained with hematoxylin and mounted with DPX.
ET1703-05_7.jpg Fig7: Immunohistochemical analysis of paraffin-embedded human pancreas tissue using anti-DDIT3 antibody. The section was pre-treated using heat mediated antigen retrieval with Tris-EDTA buffer (pH 9.0) for 20 minutes.The tissues were blocked in 5% BSA for 30 minutes at room temperature, washed with ddH2O and PBS, and then probed with the primary antibody (ET1703-05, 1/50) for 30 minutes at room temperature. The detection was performed using an HRP conjugated compact polymer system. DAB was used as the chromogen. Tissues were counterstained with hematoxylin and mounted with DPX.
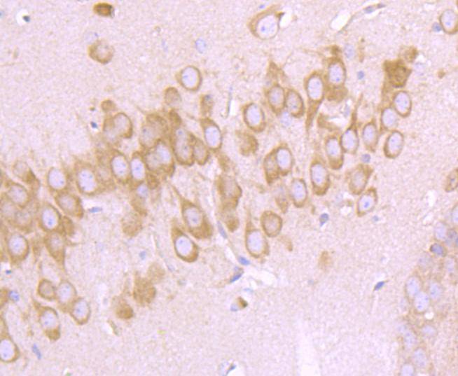
ET1703-05_8.jpg Fig8: Immunohistochemical analysis of paraffin-embedded mouse brain tissue using anti-DDIT3 antibody. The section was pre-treated using heat mediated antigen retrieval with Tris-EDTA buffer (pH 9.0) for 20 minutes.The tissues were blocked in 5% BSA for 30 minutes at room temperature, washed with ddH2O and PBS, and then probed with the primary antibody (ET1703-05, 1/50) for 30 minutes at room temperature. The detection was performed using an HRP conjugated compact polymer system. DAB was used as the chromogen. Tissues were counterstained with hematoxylin and mounted with DPX.
ET1703-05_9.jpg Fig9: Flow cytometric analysis of DDIT3 was done on Hela cells. The cells were fixed, permeabilized and stained with the primary antibody (ET1703-05, 1/50) (red). After incubation of the primary antibody at room temperature for an hour, the cells were stained with a Alexa Fluor®488 conjugate-Goat anti-Rabbit IgG Secondary antibody at 1/1,000 dilution for 30 minutes.Unlabelled sample was used as a control (cells without incubation with primary antibody; black).
Note: All products are “FOR RESEARCH USE ONLY AND ARE NOT INTENDED FOR DIAGNOSTIC OR THERAPEUTIC USE”.