Chromogranin A Recombinant Rabbit Monoclonal Antibody [JM103-7]
cat.: ET1703-08
Product Type: Recombinant Rabbit monoclonal IgG, primary antibodies
Species reactivity: Human, Mouse, Rat
Applications: WB, IF-Cell, IF-Tissue, IHC-P, IHC-Fr
Clonality: Monoclonal
Clone number: JM103-7
Form: Liquid
Storage condition: Shipped at 4℃. Store at +4℃ short term (1-2 weeks). It is recommended to aliquot into single-use upon delivery. Store at -20℃ long term.
Storage buffer: 1*TBS (pH7.4), 0.05% BSA, 40% Glycerol. Preservative: 0.05% Sodium Azide.
Concentration: 1ug/ul
Purification: Protein A affinity purified.
Molecular weight: Predicted band size: 51 kDa
Isotype: IgG
Immunogen: Synthetic peptide within Human Chromogranin A aa 1-50 / 457.
Positive control: PC-12 cell lysates, PC-3M, human pancreas tissue, rat pancreas tissue, mouse pancreas tissue, human colon tissue.
Subcellular location: Cytoplasmic vesicle, Secreted.
Recommended Dilutions:
  WB
  IF-Cell
  IF-Tissue
  IHC-P
  IHC-Fr

1:1,000-1:2,000
1:50-1:200
1:50-1:200
1:1,000-1:10,000
1:500
Uniprot #: SwissProt: P10645 Human | P26339 Mouse | P10354 Rat
Alternative names: beta Granin betagranin (N-terminal fragment of chromogranin A) catestatin CgA CHG A Chga chromofungin Chromogranin A parathyroid secretory protein 1 Chromogranin A precursor ChromograninA CMGA_HUMAN ER-37 Pancreastatin Parastatin Parathyroid secretory protein 1 Pituitary secretory protein I Secretory protein I SP I SP-I SP1 SPI Vasostatin Vasostatin I Vasostatin II
Images
ET1703-08_1.jpg Fig1: Western blot analysis of Chromogranin A on PC-12 cell lysates with Rabbit anti-Chromogranin A antibody (ET1703-08) at 1/500 dilution.

Lysates/proteins at 10 µg/Lane.

Predicted band size: 51 kDa
Observed band size: 90 kDa

Exposure time: 1 minute;

8% SDS-PAGE gel.

Proteins were transferred to a PVDF membrane and blocked with 5% NFDM/TBST for 1 hour at room temperature. The primary antibody (ET1703-08) at 1/500 dilution was used in 5% NFDM/TBST at room temperature for 2 hours. Goat Anti-Rabbit IgG - HRP Secondary Antibody (HA1001) at 1:300,000 dilution was used for 1 hour at room temperature.
ET1703-08_2.jpg Fig2: ICC staining Chromogranin A in PC-3M cells (red). The nuclear counter stain is DAPI (blue). Cells were fixed in paraformaldehyde, permeabilised with 0.25% Triton X100/PBS.
ET1703-08_3.jpg Fig3: Application: IHC-Fr

Species: Mouse

Site: Pancreas

Sample: Frozen section

Antibody concentration: 1/500

Antigen retrieval: Not required
ET1703-08_4.jpg Fig4: Immunohistochemical analysis of paraffin-embedded human pancreas tissue with Rabbit anti-Chromogranin A antibody (ET1703-08) at 1/1,000 dilution.

The section was pre-treated using heat mediated antigen retrieval with Tris-EDTA buffer (pH 9.0) for 20 minutes. The tissues were blocked in 1% BSA for 20 minutes at room temperature, washed with ddH2O and PBS, and then probed with the primary antibody (ET1703-08) at 1/1,000 dilution for 1 hour at room temperature. The detection was performed using an HRP conjugated compact polymer system. DAB was used as the chromogen. Tissues were counterstained with hematoxylin and mounted with DPX.
ET1703-08_5.jpg Fig5: Immunohistochemical analysis of paraffin-embedded mouse pancreas tissue with Rabbit anti-Chromogranin A antibody (ET1703-08) at 1/10,000 dilution.

The section was pre-treated using heat mediated antigen retrieval with Tris-EDTA buffer (pH 9.0) for 20 minutes. The tissues were blocked in 1% BSA for 20 minutes at room temperature, washed with ddH2O and PBS, and then probed with the primary antibody (ET1703-08) at 1/10,000 dilution for 1 hour at room temperature. The detection was performed using an HRP conjugated compact polymer system. DAB was used as the chromogen. Tissues were counterstained with hematoxylin and mounted with DPX.
ET1703-08_6.jpg Fig6: Immunohistochemical analysis of paraffin-embedded rat pancreas tissue with Rabbit anti-Chromogranin A antibody (ET1703-08) at 1/10,000 dilution.

The section was pre-treated using heat mediated antigen retrieval with Tris-EDTA buffer (pH 9.0) for 20 minutes. The tissues were blocked in 1% BSA for 20 minutes at room temperature, washed with ddH2O and PBS, and then probed with the primary antibody (ET1703-08) at 1/10,000 dilution for 1 hour at room temperature. The detection was performed using an HRP conjugated compact polymer system. DAB was used as the chromogen. Tissues were counterstained with hematoxylin and mounted with DPX.
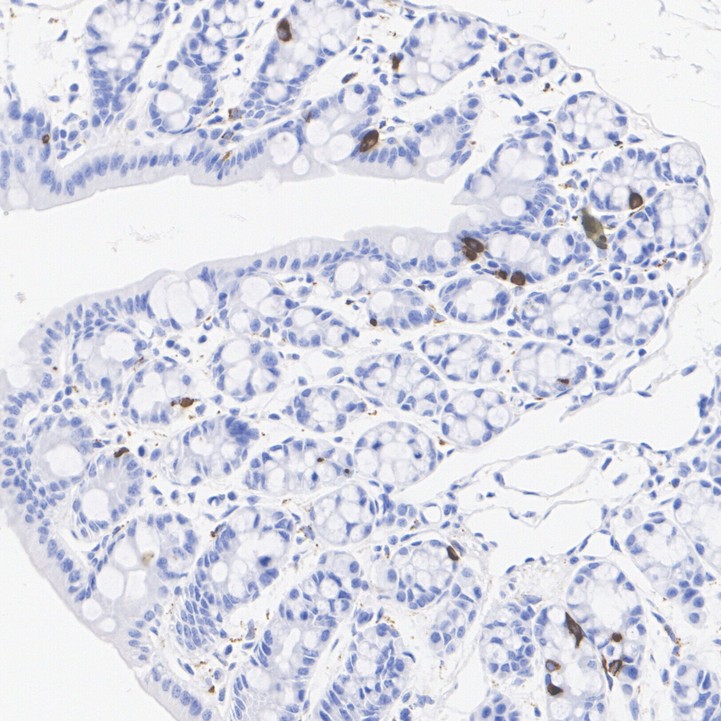
ET1703-08_7.jpg Fig7: Immunohistochemical analysis of paraffin-embedded human colon tissue with Rabbit anti-Chromogranin A antibody (ET1703-08) at 1/1,000 dilution.

The section was pre-treated using heat mediated antigen retrieval with Tris-EDTA buffer (pH 9.0) for 20 minutes. The tissues were blocked in 1% BSA for 20 minutes at room temperature, washed with ddH2O and PBS, and then probed with the primary antibody (ET1703-08) at 1/1,000 dilution for 1 hour at room temperature. The detection was performed using an HRP conjugated compact polymer system. DAB was used as the chromogen. Tissues were counterstained with hematoxylin and mounted with DPX.
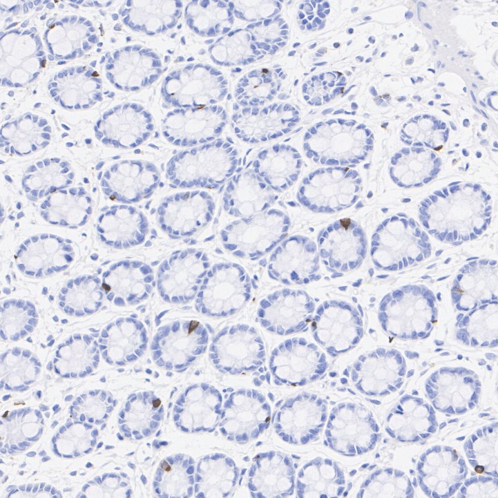
ET1703-08_8.jpg Fig8: Immunohistochemical analysis of paraffin-embedded human colon tissue with Rabbit anti-Chromogranin A antibody (ET1703-08) at 1/1,000 dilution.

The section was pre-treated using heat mediated antigen retrieval with Tris-EDTA buffer (pH 9.0) for 20 minutes. The tissues were blocked in 1% BSA for 20 minutes at room temperature, washed with ddH2O and PBS, and then probed with the primary antibody (ET1703-08) at 1/1,000 dilution for 1 hour at room temperature. The detection was performed using an HRP conjugated compact polymer system. DAB was used as the chromogen. Tissues were counterstained with hematoxylin and mounted with DPX.
ET1703-08_9.jpg Fig9: Immunohistochemical analysis of paraffin-embedded mouse colon tissue with Rabbit anti-Chromogranin A antibody (ET1703-08) at 1/1,000 dilution.

The section was pre-treated using heat mediated antigen retrieval with Tris-EDTA buffer (pH 9.0) for 20 minutes. The tissues were blocked in 1% BSA for 20 minutes at room temperature, washed with ddH2O and PBS, and then probed with the primary antibody (ET1703-08) at 1/1,000 dilution for 1 hour at room temperature. The detection was performed using an HRP conjugated compact polymer system. DAB was used as the chromogen. Tissues were counterstained with hematoxylin and mounted with DPX.
ET1703-08_10.jpg Fig10: Immunohistochemical analysis of paraffin-embedded rat colon tissue with Rabbit anti-Chromogranin A antibody (ET1703-08) at 1/1,000 dilution.

The section was pre-treated using heat mediated antigen retrieval with Tris-EDTA buffer (pH 9.0) for 20 minutes. The tissues were blocked in 1% BSA for 20 minutes at room temperature, washed with ddH2O and PBS, and then probed with the primary antibody (ET1703-08) at 1/1,000 dilution for 1 hour at room temperature. The detection was performed using an HRP conjugated compact polymer system. DAB was used as the chromogen. Tissues were counterstained with hematoxylin and mounted with DPX.
ET1703-08_11.jpg Fig11: Application: IF-tissue

Species: Human

Site: Pancreas

Sample: Paraffin-embedded section

Antibody concentration: 1/50
ET1703-08_12.jpg Fig12: Application: IF-tissue

Species: Mouse

Site: Pancreas

Sample: Paraffin-embedded section

Antibody concentration: 1/200
Note: All products are “FOR RESEARCH USE ONLY AND ARE NOT INTENDED FOR DIAGNOSTIC OR THERAPEUTIC USE”.