SMC3 Recombinant Rabbit Monoclonal Antibody [JM10-75]
cat.: ET1703-35
Product Type: Recombinant Rabbit monoclonal IgG, primary antibodies
Species reactivity: Human, Mouse, Rat, Zebrafish
Applications: WB, IF-Cell, IF-Tissue, IHC-P, FC
Clonality: Monoclonal
Clone number: JM10-75
Form: Liquid
Storage condition: Shipped at 4℃. Store at +4℃ short term (1-2 weeks). It is recommended to aliquot into single-use upon delivery. Store at -20℃ long term.
Storage buffer: 1*TBS (pH7.4), 0.05% BSA, 40% Glycerol. Preservative: 0.05% Sodium Azide.
Concentration: 1ug/ul
Purification: Protein A affinity purified.
Molecular weight: Predicted band size: 142 kDa
Isotype: IgG
Immunogen: Synthetic peptide within Human SMC3 aa 1994-1217 / 1217.
Positive control: HepG2 cell lysate, NIH-3T3 cell lysate, PC12 cell lysate, Hela, HepG2, NIH-3T3, human tonsil tissue, human colon cancer tissue, human kidney tissue, mouse colon tissue, zebrafish tissue.
Subcellular location: Centromere, Chromosome, Nucleus.
Recommended Dilutions:
  WB
  IF-Cell
  IF-Tissue
  IHC-P
  FC

1:1,000-1:5,000
1:100-1:500
1:100-1:500
1:50-1:200
1:50-1:100
Uniprot #: SwissProt: Q9UQE7 Human | Q9CW03 Mouse | P97690 Rat
Alternative names: BAM Bamacan Basement membrane associated chondroitin proteoglycan Basement membrane-associated chondroitin proteoglycan BMH CDLS3 chondroitin sulfate proteoglycan 6 (bamacan) Chondroitin sulfate proteoglycan 6 Chromosome associated polypeptide Chromosome-associated polypeptide CSPG 6 CSPG6 hCAP Human chromosome associated polypeptide im:7142991 SMC 3 SMC protein 3 SMC-3 smc3 SMC3_HUMAN SMC3L1 Structural maintenance of chromosome 3 Structural maintenance of chromosomes 3 Structural maintenance of chromosomes protein 3 u:fb22e01 wu:fc30d07
Images
ET1703-35_1.jpg Fig1: Western blot analysis of SMC3 on different cells lysates using anti-SMC3 antibody at 1/1,000 dilution.
Positive control:
Line1: HepG2 cell lysate
Line2: NIH-3T3 cell lysate
Line3:PC12 cell lysate
ET1703-35_2.jpg Fig2: ICC staining SMC3 in Hela cells (red). The nuclear counter stain is DAPI (blue). Cells were fixed in paraformaldehyde, permeabilised with 0.25% Triton X100/PBS.
ET1703-35_3.jpg Fig3: ICC staining SMC3 in HepG2 cells (red). The nuclear counter stain is DAPI (blue). Cells were fixed in paraformaldehyde, permeabilised with 0.25% Triton X100/PBS.
ET1703-35_4.jpg Fig4: ICC staining SMC3 in NIH-3T3 cells (red). The nuclear counter stain is DAPI (blue). Cells were fixed in paraformaldehyde, permeabilised with 0.25% Triton X100/PBS.
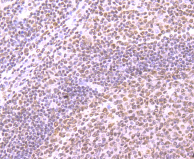
ET1703-35_5.jpg Fig5: Immunohistochemical analysis of paraffin-embedded human tonsil tissue using anti-SMC3 antibody. Counter stained with hematoxylin.
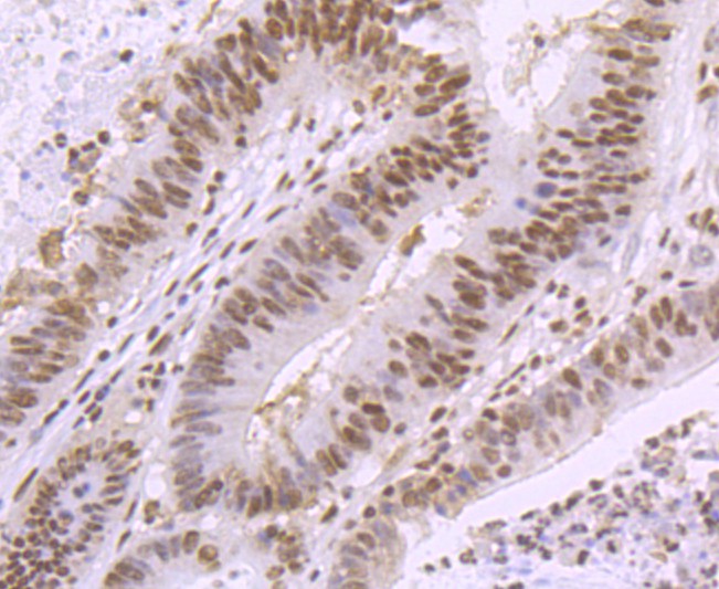
ET1703-35_6.jpg Fig6: Immunohistochemical analysis of paraffin-embedded human colon cancer tissue using anti-SMC3 antibody. Counter stained with hematoxylin.
ET1703-35_7.jpg Fig7: Immunohistochemical analysis of paraffin-embedded mouse colon tissue using anti-SMC3 antibody. Counter stained with hematoxylin.
ET1703-35_8.jpg Fig8: Immunohistochemical analysis of paraffin-embedded zebrafish tissue using anti-SMC3 antibody. Counter stained with hematoxylin.
ET1703-35_9.jpg Fig9: Flow cytometric analysis of Hela cells with SMC3 antibody at 1/50 dilution (red) compared with an unlabelled control (cells without incubation with primary antibody; black). Alexa Fluor 488-conjugated goat anti rabbit IgG was used as the secondary antibody.
Note: All products are “FOR RESEARCH USE ONLY AND ARE NOT INTENDED FOR DIAGNOSTIC OR THERAPEUTIC USE”.