CD41 Recombinant Rabbit Monoclonal Antibody [JM11-19]
cat.: ET1703-37
Product Type: Recombinant Rabbit monoclonal IgG, primary antibodies
Species reactivity: Human
Applications: WB, IHC-P
Clonality: Monoclonal
Clone number: JM11-19
Form: Liquid
Storage condition: Shipped at 4℃. Store at +4℃ short term (1-2 weeks). It is recommended to aliquot into single-use upon delivery. Store at -20℃ long term.
Storage buffer: 1*TBS (pH7.4), 0.05% BSA, 40% Glycerol. Preservative: 0.05% Sodium Azide.
Concentration: 1ug/ul
Purification: Protein A affinity purified.
Molecular weight: Predicted band size: 113 kDa
Isotype: IgG
Immunogen: Synthetic peptide within Human CD41 aa 41-74 / 1039.
Positive control: Human placenta tissue lysates, human tonsil tissue, human spleen tissue.
Subcellular location: Membrane.
Recommended Dilutions:
  WB
  IHC-P

1:500-1:2,000
1:50-1:200
Uniprot #: SwissProt: P08514 Human
Alternative names: antigen CD41 BDPLT16 BDPLT2 CD41 CD41B form 2 GP2B GPalpha IIb GPIIb GT GTA HPA3 Integrin alpha 2b Integrin alpha IIb Integrin alpha-IIb light chain Integrin, alpha 2b (platelet glycoprotein IIb of IIb/IIIa complex, antigen CD41) ITA2B_HUMAN Itga2b ITGAB platelet fibrinogen receptor, alpha subunit platelet glycoprotein IIb of IIb/IIIa complex Platelet membrane glycoprotein IIb platelet specific antigen BAK PPP1R93
Images
ET1703-37_1.jpg Fig1: Western blot analysis of CD41 on human placenta tissue lysates. Proteins were transferred to a PVDF membrane and blocked with 5% BSA in PBS for 1 hour at room temperature. The primary antibody (ET1703-37, 1/500) was used in 5% BSA at room temperature for 2 hours. Goat Anti-Rabbit IgG - HRP Secondary Antibody (HA1001) at 1:200,000 dilution was used for 1 hour at room temperature.
ET1703-37_2.jpg Fig2: Immunohistochemical analysis of paraffin-embedded human tonsil tissue using anti-CD41 antibody. The section was pre-treated using heat mediated antigen retrieval with Tris-EDTA buffer (pH 9.0) for 20 minutes.The tissues were blocked in 1% BSA for 30 minutes at room temperature, washed with ddH2O and PBS, and then probed with the primary antibody (ET1703-37, 1/50) for 30 minutes at room temperature. The detection was performed using an HRP conjugated compact polymer system. DAB was used as the chromogen. Tissues were counterstained with hematoxylin and mounted with DPX.
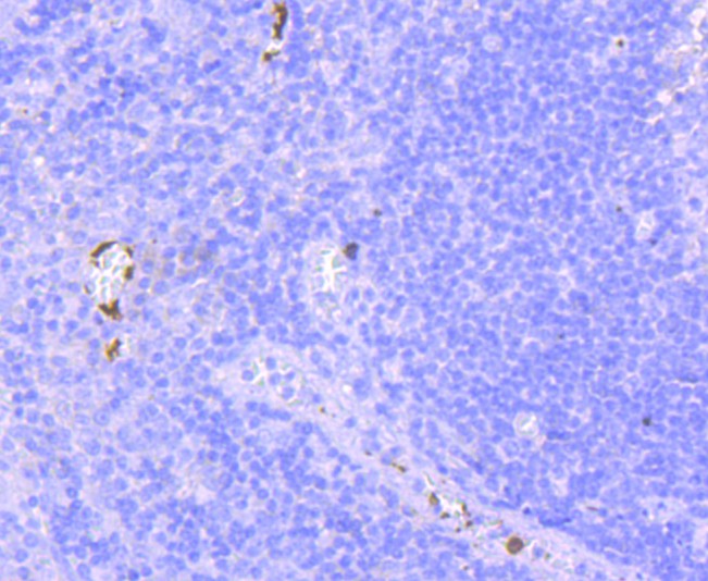
ET1703-37_3.jpg Fig3: Immunohistochemical analysis of paraffin-embedded human breast carcinoma tissue with Rabbit anti-CD41 antibody (ET1703-37) at 1/100 dilution.

The section was pre-treated using heat mediated antigen retrieval with Tris-EDTA buffer (pH 9.0) for 20 minutes. The tissues were blocked in 1% BSA for 20 minutes at room temperature, washed with ddH2O and PBS, and then probed with the primary antibody (ET1703-37) at 1/100 dilution for 1 hour at room temperature. The detection was performed using an HRP conjugated compact polymer system. DAB was used as the chromogen. Tissues were counterstained with hematoxylin and mounted with DPX.
Note: All products are “FOR RESEARCH USE ONLY AND ARE NOT INTENDED FOR DIAGNOSTIC OR THERAPEUTIC USE”.