Growth Hormone Recombinant Rabbit Monoclonal Antibody [JM108-09]
cat.: ET1703-47
Product Type: Recombinant Rabbit monoclonal IgG, primary antibodies
Species reactivity: Human
Applications: WB, IHC-P, IP
Clonality: Monoclonal
Clone number: JM108-09
Form: Liquid
Storage condition: Shipped at 4℃. Store at +4℃ short term (1-2 weeks). It is recommended to aliquot into single-use upon delivery. Store at -20℃ long term.
Storage buffer: 1*TBS (pH7.4), 0.05% BSA, 40% Glycerol. Preservative: 0.05% Sodium Azide.
Concentration: 1ug/ul
Purification: Protein A affinity purified.
Molecular weight: Predicted band size: 25 kDa
Isotype: IgG
Immunogen: Synthetic peptide within Human Growth Hormone aa 72-106 / 217.
Positive control: Human placenta tissue lysates, human tonsil tissue, human liver carcinoma tissue, human breast carcinoma tissue, human placenta tissue.
Subcellular location: Secreted.
Recommended Dilutions:
  WB
  IHC-P
  IP

1:500
1:50-1:1,000
Use at an assay dependent concentration.
Uniprot #: SwissProt: P01241 Human
Alternative names: gH GH-N GH1 GHB5 GHN Growth hormone 1 Growth hormone Growth hormone B5 Growth hormone, normal Growth hormone, pituitary HG1 hGH-N IGHD1B Pituitary growth hormone RNGHGP SOMA_HUMAN Somatotropin
Images
ET1703-47_1.jpg Fig1: Western blot analysis of Growth Hormone on human placenta tissue lysates. Proteins were transferred to a PVDF membrane and blocked with 5% NFDM/TBST in PBS for 1 hour at room temperature. The primary antibody (ET1703-47, 1/500) was used in 5% NFDM/TBST at room temperature for 2 hours. Goat Anti-Rabbit IgG - HRP Secondary Antibody (HA1001) at 1:200,000 dilution was used for 1 hour at room temperature.

Predicted band size: 25 kDa
Observed band size: 25 kDa
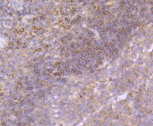
ET1703-47_2.jpg Fig2: Immunohistochemical analysis of paraffin-embedded human tonsil tissue using anti-Growth Hormone antibody. The section was pre-treated using heat mediated antigen retrieval with Tris-EDTA buffer (pH 9.0) for 20 minutes.The tissues were blocked in 1% BSA for 30 minutes at room temperature, washed with ddH2O and PBS, and then probed with the primary antibody (ET1703-47, 1/50) for 30 minutes at room temperature. The detection was performed using an HRP conjugated compact polymer system. DAB was used as the chromogen. Tissues were counterstained with hematoxylin and mounted with DPX.
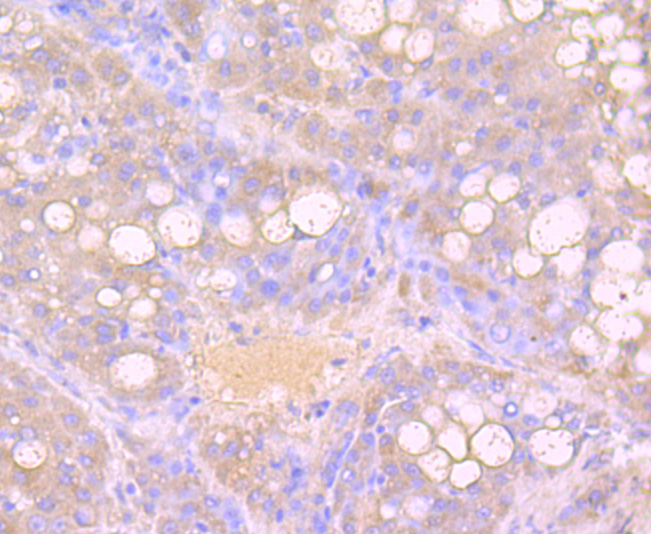
ET1703-47_3.jpg Fig3: Immunohistochemical analysis of paraffin-embedded human liver carcinoma tissue using anti-Growth Hormone antibody. The section was pre-treated using heat mediated antigen retrieval with Tris-EDTA buffer (pH 9.0) for 20 minutes.The tissues were blocked in 1% BSA for 30 minutes at room temperature, washed with ddH2O and PBS, and then probed with the primary antibody (ET1703-47, 1/50) for 30 minutes at room temperature. The detection was performed using an HRP conjugated compact polymer system. DAB was used as the chromogen. Tissues were counterstained with hematoxylin and mounted with DPX.
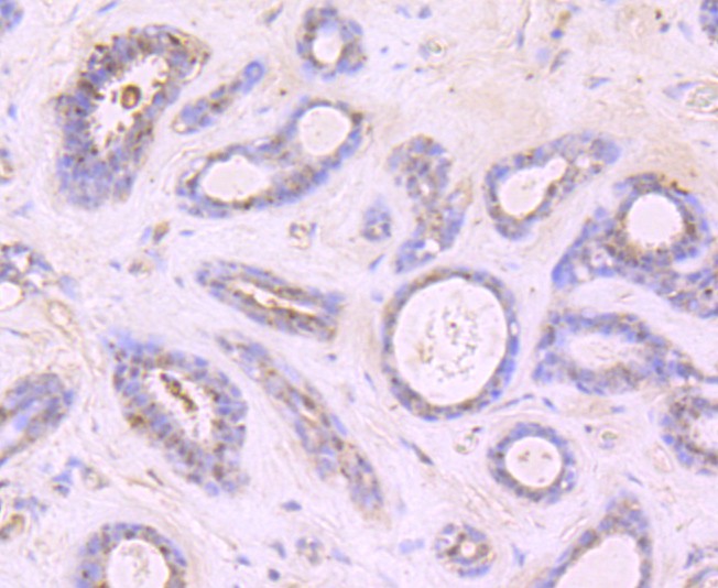
ET1703-47_4.jpg Fig4: Immunohistochemical analysis of paraffin-embedded human breast carcinoma tissue using anti-Growth Hormone antibody. The section was pre-treated using heat mediated antigen retrieval with Tris-EDTA buffer (pH 9.0) for 20 minutes.The tissues were blocked in 1% BSA for 30 minutes at room temperature, washed with ddH2O and PBS, and then probed with the primary antibody (ET1703-47, 1/50) for 30 minutes at room temperature. The detection was performed using an HRP conjugated compact polymer system. DAB was used as the chromogen. Tissues were counterstained with hematoxylin and mounted with DPX.
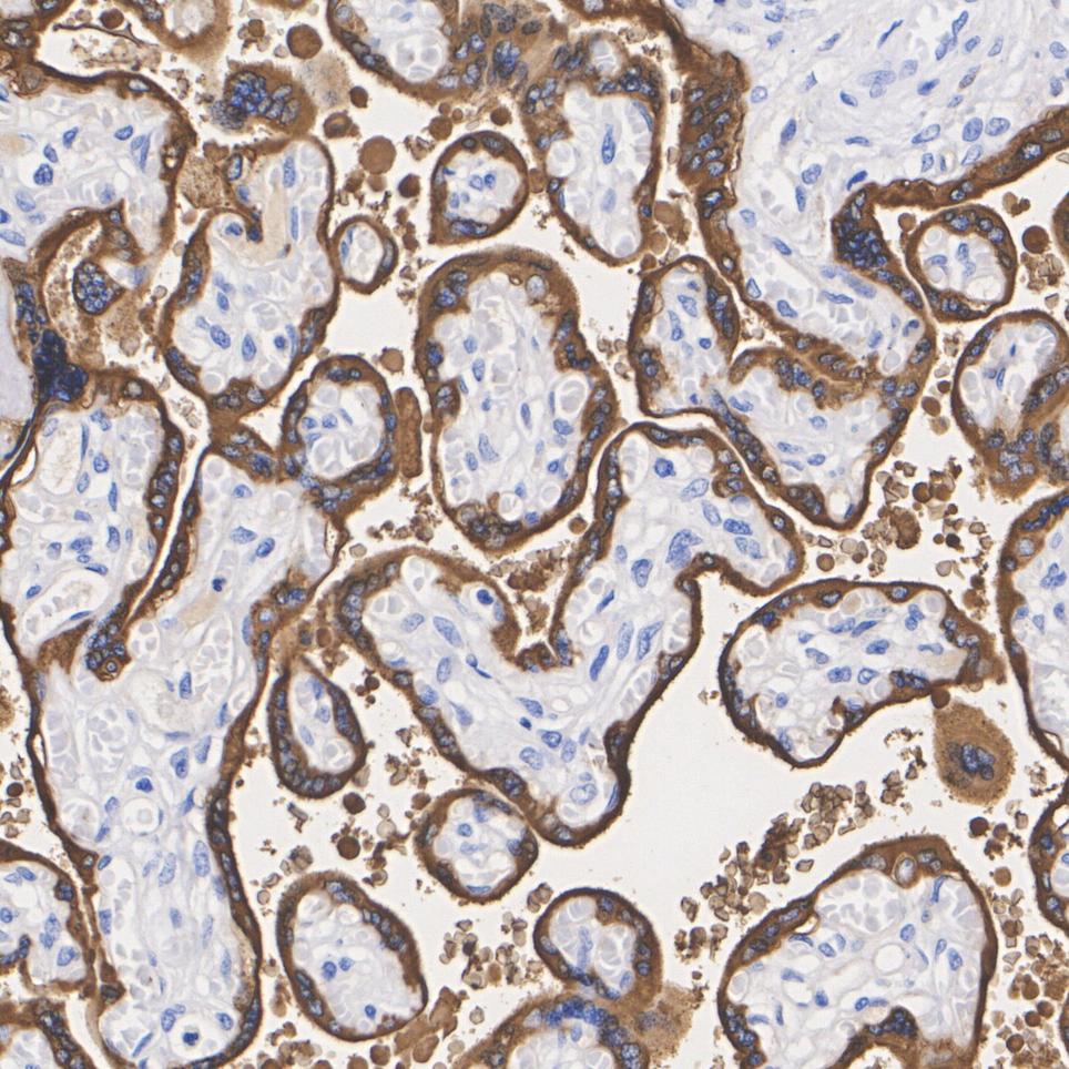
ET1703-47_5.jpg Fig5: Immunohistochemical analysis of paraffin-embedded human placenta tissue with Rabbit anti-Growth Hormone antibody (ET1703-47) at 1/1,000 dilution.

The section was pre-treated using heat mediated antigen retrieval with Tris-EDTA buffer (pH 9.0) for 20 minutes. The tissues were blocked in 1% BSA for 20 minutes at room temperature, washed with ddH2O and PBS, and then probed with the primary antibody (ET1703-47) at 1/1,000 dilution for 1 hour at room temperature. The detection was performed using an HRP conjugated compact polymer system. DAB was used as the chromogen. Tissues were counterstained with hematoxylin and mounted with DPX.
Note: All products are “FOR RESEARCH USE ONLY AND ARE NOT INTENDED FOR DIAGNOSTIC OR THERAPEUTIC USE”.