TIA1 Recombinant Rabbit Monoclonal Antibody [JM42-11]
cat.: ET1703-59
Product Type: Recombinant Rabbit monoclonal IgG, primary antibodies
Species reactivity: Human, Mouse
Applications: WB, IF-Tissue, IHC-P, IP
Clonality: Monoclonal
Clone number: JM42-11
Form: Liquid
Storage condition: Shipped at 4℃. Store at +4℃ short term (1-2 weeks). It is recommended to aliquot into single-use upon delivery. Store at -20℃ long term.
Storage buffer: 1*TBS (pH7.4), 0.05% BSA, 40% Glycerol. Preservative: 0.05% Sodium Azide.
Concentration: 1ug/ul
Purification: Protein A affinity purified.
Molecular weight: Predicted band size: 43 kDa
Isotype: IgG
Immunogen: Synthetic peptide within Human TIA1 aa 353-386 / 386.
Positive control: Jurkat cell lysate, K-562 cell lysate, MOLT-4 cell lysate, HepG2 cell lysate, A20 cell lysate, NIH/3T3 cell lysate, Human lung tissue lysate, human tonsil tissue, human spleen tissue.
Subcellular location: Nucleus, Cytoplasm, Stress granule.
Recommended Dilutions:
  WB
  IF-Tissue
  IHC-P
  IP

1:500-1:2,000
1:50
1:200-1:1,000
1-2μg/sample
Uniprot #: SwissProt: P31483 Human | P52912 Mouse
Alternative names: Cytotoxic granule associated RNA binding protein 1 Cytotoxic granule associated RNA binding protein mTIA-1 Nucleolysin TIA 1 isoform p40 Nucleolysin TIA-1 isoform p40 Nucleolysin TIA1 isoform p40 p40 TIA 1 p40-TIA-1 (containing p15-TIA-1) p40-TIA-1 RNA binding protein TIA 1 RNA binding protein TIA1 RNA-binding protein TIA-1 T-cell-restricted intracellular antigen-1 TIA 1 TIA 1 cytotoxic granule associated RNA binding protein Tia TIA-1 TIA1 TIA1 cytotoxic granule associated RNA binding protein TIA1 cytotoxic granule associated RNA binding protein like 1 TIA1 protein TIA1_HUMAN TIAL1 TIAR WDM
Images
ET1703-59_1.jpg Fig1: Western blot analysis of TIA1 on different lysates with Rabbit anti-TIA1 antibody (ET1703-59) at 1/2,000 dilution.

Lane 1: Jurkat cell lysate (15 µg/Lane)
Lane 2: K-562 cell lysate (15 µg/Lane)
Lane 3: MOLT-4 cell lysate (15 µg/Lane)
Lane 4: HepG2 cell lysate (15 µg/Lane)
Lane 5: A20 cell lysate (15 µg/Lane)
Lane 6: NIH/3T3 cell lysate (15 µg/Lane)
Lane 7: Human lung tissue lysate (30 µg/Lane)

Predicted band size: 43 kDa
Observed band size: 41/43 kDa

Exposure time: 2 minutes 6 seconds; ECL: K1801;

4-20% SDS-PAGE gel.

Proteins were transferred to a PVDF membrane and blocked with 5% NFDM/TBST for 1 hour at room temperature. The primary antibody (ET1703-59) at 1/2,000 dilution was used in 5% NFDM/TBST at 4℃ overnight. Goat Anti-Rabbit IgG - HRP Secondary Antibody (HA1001) at 1/50,000 dilution was used for 1 hour at room temperature.
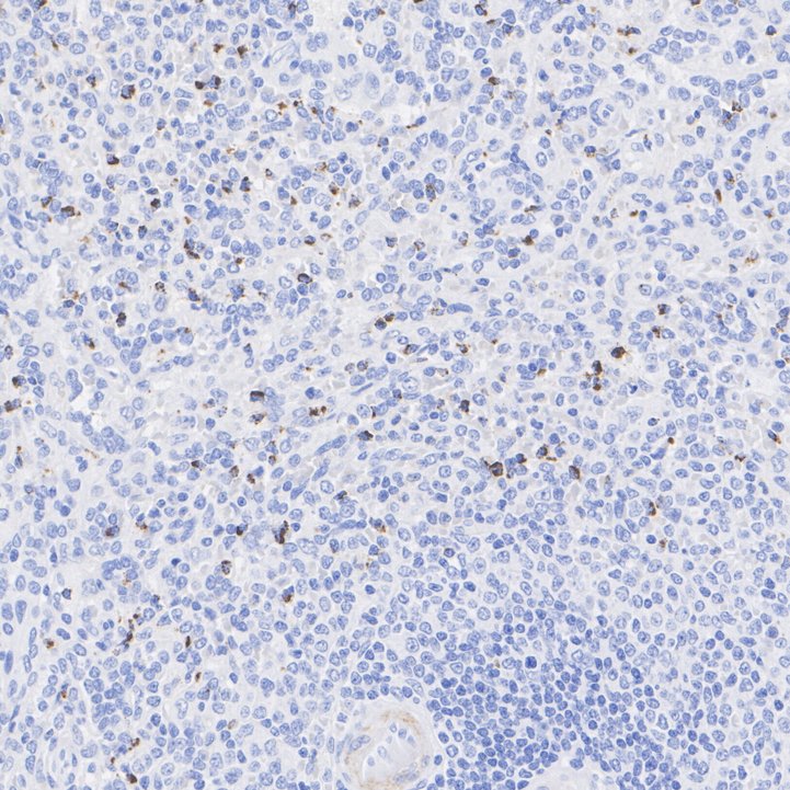
ET1703-59_2.jpg Fig2: Immunohistochemical analysis of paraffin-embedded human tonsil tissue with Rabbit anti-TIA1 antibody (ET1703-59) at 1/200 dilution.

The section was pre-treated using heat mediated antigen retrieval with sodium citrate buffer (pH 6.0) for 2 minutes. The tissues were blocked in 1% BSA for 20 minutes at room temperature, washed with ddH2O and PBS, and then probed with the primary antibody (ET1703-59) at 1/200 dilution for 1 hour at room temperature. The detection was performed using an HRP conjugated compact polymer system. DAB was used as the chromogen. Tissues were counterstained with hematoxylin and mounted with DPX.
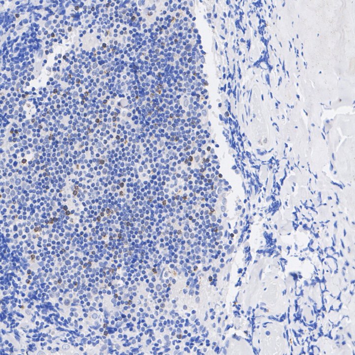
ET1703-59_3.jpg Fig3: Immunohistochemical analysis of paraffin-embedded human spleen tissue with Rabbit anti-TIA1 antibody (ET1703-59) at 1/1,000 dilution.

The section was pre-treated using heat mediated antigen retrieval with sodium citrate buffer (pH 6.0) for 2 minutes. The tissues were blocked in 1% BSA for 20 minutes at room temperature, washed with ddH2O and PBS, and then probed with the primary antibody (ET1703-59) at 1/1,000 dilution for 1 hour at room temperature. The detection was performed using an HRP conjugated compact polymer system. DAB was used as the chromogen. Tissues were counterstained with hematoxylin and mounted with DPX.
ET1703-59_4.jpg Fig4: Immunofluorescence analysis of paraffin-embedded human spleen tissue labeling TIA1 with Rabbit anti-TIA1 antibody (ET1703-59) at 1/50 dilution.

The section was pre-treated using heat mediated antigen retrieval with Tris-EDTA buffer (pH 9.0) for 20 minutes. The tissues were blocked in 10% negative goat serum for 1 hour at room temperature, washed with PBS, and then probed with the primary antibody (ET1703-59, green) at 1/50 dilution overnight at 4 ℃, washed with PBS. Goat Anti-Rabbit IgG H&L (iFluor™ 488, HA1121) was used as the secondary antibody at 1/1,000 dilution. Nuclei were counterstained with DAPI (blue).
Note: All products are “FOR RESEARCH USE ONLY AND ARE NOT INTENDED FOR DIAGNOSTIC OR THERAPEUTIC USE”.