FGFR3 Recombinant Rabbit Monoclonal Antibody [JM110-33]
cat.: ET1703-65
Product Type: Recombinant Rabbit monoclonal IgG, primary antibodies
Species reactivity: Human, Mouse, Rat
Applications: WB, IF-Cell, IF-Tissue, IHC-P
Clonality: Monoclonal
Clone number: JM110-33
Form: Liquid
Storage condition: Shipped at 4℃. Store at +4℃ short term (1-2 weeks). It is recommended to aliquot into single-use upon delivery. Store at -20℃ long term.
Storage buffer: 1*TBS (pH7.4), 0.05% BSA, 40% Glycerol. Preservative: 0.05% Sodium Azide.
Concentration: 1ug/ul
Purification: Protein A affinity purified.
Molecular weight: Predicted band size: 88 kDa
Isotype: IgG
Immunogen: Synthetic peptide within Human FGFR3 aa 30-63 / 806.
Positive control: Hela cell lysate, 293 cell lysate, MCF-7 cell lysate, HepG2 cell lysate, Rat skin tissue lysates, Mouse hippocampus lysates, MCF-7, HepG2, SH-SY5Y, human kidney tissue, mouse testis tissue, mouse kidney tissue, mouse brain tissue.
Subcellular location: Cell membrane, Endoplasmic reticulum, Cytoplasmic vesicle, Secreted.
Recommended Dilutions:
  WB
  IF-Cell
  IF-Tissue
  IHC-P

1:1,000
1:50-1:200
1:500-1:2,000
1:10,000-1:20,000
Uniprot #: SwissProt: P22607 Human | Q61851 Mouse
Unigene: 23671 Rat
Alternative names: ACH CD 333 CD333 CD333 antigen CEK 2 CEK2 FGFR 3 FGFR-3 FGFR3 FGFR3_HUMAN Fibroblast growth factor receptor 3 (achondroplasia thanatophoric dwarfism) Fibroblast growth factor receptor 3 Heparin binding growth factor receptor HSFGFR3EX Hydroxyaryl protein kinase JTK 4 JTK4 MFR 3 SAM 3 Tyrosine kinase JTK 4 Tyrosine kinase JTK4 Z FGFR 3
Images
ET1703-65_1.jpg Fig1: Western blot analysis of FGFR3 on different lysates with Rabbit anti-FGFR3 antibody (ET1703-65) at 1/1,000 dilution.

Lane 1: Hela cell lysate
Lane 2: 293 cell lysate
Lane 3: MCF-7 cell lysate
Lane 4: HepG2 cell lysate

Lysates/proteins at 10 µg/Lane.

Predicted band size: 88 kDa
Observed band size: 95 kDa

Exposure time: 1 minute;

8% SDS-PAGE gel.

Proteins were transferred to a PVDF membrane and blocked with 5% NFDM/TBST for 1 hour at room temperature. The primary antibody (ET1703-65) at 1/1,000 dilution was used in 5% NFDM/TBST at room temperature for 2 hours. Goat Anti-Rabbit IgG - HRP Secondary Antibody (HA1001) at 1:300,000 dilution was used for 1 hour at room temperature.
ET1703-65_2.jpg Fig2: Western blot analysis of FGFR3 on Rat skin tissue lysates with Rabbit anti-FGFR3 antibody (ET1703-65) at 1/1,000 dilution.

Lysates/proteins at 20 µg/Lane.

Predicted band size: 88 kDa
Observed band size: 95 kDa

Exposure time: 8 seconds;

8% SDS-PAGE gel.

Proteins were transferred to a PVDF membrane and blocked with 5% NFDM/TBST for 1 hour at room temperature. The primary antibody (ET1703-65) at 1/1,000 dilution was used in 5% NFDM/TBST at room temperature for 2 hours. Goat Anti-Rabbit IgG - HRP Secondary Antibody (HA1001) at 1:10,000 dilution was used for 1 hour at room temperature.
ET1703-65_3.jpg Fig3: Western blot analysis of FGFR3 on Mouse hippocampus lysates with Rabbit anti-FGFR3 antibody (ET1703-65) at 1/500 dilution.

Lysates/proteins at 20 µg/Lane.

Predicted band size: 88 kDa
Observed band size: 95 kDa

Exposure time: 1 minute;

8% SDS-PAGE gel.

Proteins were transferred to a PVDF membrane and blocked with 5% NFDM/TBST for 1 hour at room temperature. The primary antibody (ET1703-65) at 1/500 dilution was used in 5% NFDM/TBST at room temperature for 2 hours. Goat Anti-Rabbit IgG - HRP Secondary Antibody (HA1001) at 1:40,000 dilution was used for 1 hour at room temperature.
ET1703-65_4.jpg Fig4: Western blot analysis of FGFR3 on different lysates with Rabbit anti-FGFR3 antibody (ET1703-65) at 1/1,000 dilution.

Lane 1: HEK293-si NT cell lysate
Lane 2: HEK293-si FGFR3 cell lysate

Lysates/proteins at 10 µg/Lane.

Predicted band size: 88 kDa
Observed band size: 130 kDa

Exposure time: 1 minute;

4-20% SDS-PAGE gel.

ET1703-65 was shown to specifically react with FGFR3 in HEK293-si NT cells. Weakened band was observed when HEK293-si FGFR3 sample was tested. HEK293-si NT and HEK293-si FGFR3 samples were subjected to SDS-PAGE. Proteins were transferred to a PVDF membrane and blocked with 5% NFDM in TBST for 1 hour at room temperature. The primary antibody (ET1703-65, 1/1,000) and Loading control antibody (Rabbit anti-HSP90, ET1605-56, 1/10,000) were used in 5% BSA at room temperature for 2 hours. Goat Anti-rabbit IgG-HRP Secondary Antibody (HA1001) at 1:50,000 dilution was used for 1 hour at room temperature.
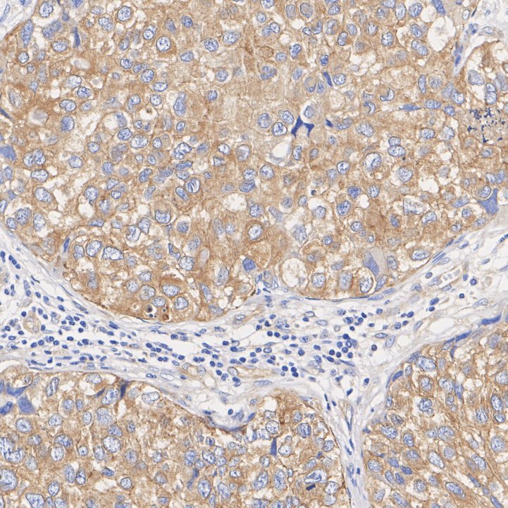
ET1703-65_5.jpg Fig5: Immunohistochemical analysis of paraffin-embedded human bladder cancer tissue with Rabbit anti-FGFR3 antibody (ET1703-65) at 1/10,000 dilution.

The section was pre-treated using heat mediated antigen retrieval with Tris-EDTA buffer (pH 9.0) for 20 minutes. The tissues were blocked in 1% BSA for 20 minutes at room temperature, washed with ddH2O and PBS, and then probed with the primary antibody (ET1703-65) at 1/10,000 dilution for 1 hour at room temperature. The detection was performed using an HRP conjugated compact polymer system. DAB was used as the chromogen. Tissues were counterstained with hematoxylin and mounted with DPX.
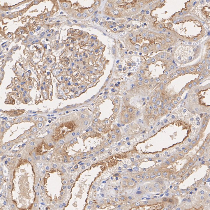
ET1703-65_6.jpg Fig6: Immunohistochemical analysis of paraffin-embedded human kidney tissue with Rabbit anti-FGFR3 antibody (ET1703-65) at 1/10,000 dilution.

The section was pre-treated using heat mediated antigen retrieval with Tris-EDTA buffer (pH 9.0) for 20 minutes. The tissues were blocked in 1% BSA for 20 minutes at room temperature, washed with ddH2O and PBS, and then probed with the primary antibody (ET1703-65) at 1/10,000 dilution for 1 hour at room temperature. The detection was performed using an HRP conjugated compact polymer system. DAB was used as the chromogen. Tissues were counterstained with hematoxylin and mounted with DPX.
ET1703-65_7.jpg Fig7: ICC staining of FGFR3 in MCF-7 cells (red). Formalin fixed cells were permeabilized with 0.1% Triton X-100 in TBS for 10 minutes at room temperature and blocked with 10% negative goat serum for 15 minutes at room temperature. Cells were probed with the primary antibody (ET1703-65, 1/50) for 1 hour at room temperature, washed with PBS. Alexa Fluor®594 Goat anti-Rabbit IgG was used as the secondary antibody at 1/1,000 dilution. The nuclear counter stain is DAPI (blue).
Note: All products are “FOR RESEARCH USE ONLY AND ARE NOT INTENDED FOR DIAGNOSTIC OR THERAPEUTIC USE”.