FGF21 Recombinant Rabbit Monoclonal Antibody [JA10-97]
cat.: ET1704-04
Product Type: Recombinant Rabbit monoclonal IgG, primary antibodies
Species reactivity: Human, Mouse, Rat
Applications: WB, IHC-P, IF-Tissue
Clonality: Monoclonal
Clone number: JA10-97
Form: Liquid
Storage condition: Shipped at 4℃. Store at +4℃ short term (1-2 weeks). It is recommended to aliquot into single-use upon delivery. Store at -20℃ long term.
Storage buffer: 1*TBS (pH7.4), 0.05% BSA, 40% Glycerol. Preservative: 0.05% Sodium Azide.
Concentration: 1ug/ul
Purification: Protein A affinity purified.
Molecular weight: Predicted band size: 22 kDa
Isotype: IgG
Immunogen: Synthetic peptide within Human FGF21 aa 30-79 / 209.
Positive control: Human liver tissue lysates, Mouse spleen tissue lysate, Mouse thymus tissue lysate, Rat spleen tissue lysate, Rat testis tissue lysate, Mouse liver tissue lysate, mouse liver tissue, rat liver tissue.
Subcellular location: Secreted.
Recommended Dilutions:
  WB
  IHC-P
  IF-Tissue

1:1,000-1:5,000
1:1,000
1:200
Uniprot #: SwissProt: Q9NSA1 Human | Q9JJN1 Mouse
Entrez Gene: 170580 Rat
Alternative names: FGF 21 FGF-21 Fgf21 FGF21_HUMAN FGFL Fibroblast growth factor 21 PRO10196 UNQ3115
Images
ET1704-04_1.jpg Fig1: Western blot analysis of FGF21 on human liver tissue lysates with Rabbit anti-FGF21 antibody (ET1704-04) at 1/2,000 dilution.

Lysates/proteins at 20 µg/Lane.

Predicted band size: 22 kDa
Observed band size: 22 kDa

Exposure time: 10 seconds; ECL: K1801;

4-20% SDS-PAGE gel.

Proteins were transferred to a PVDF membrane and blocked with 5% NFDM/TBST for 1 hour at room temperature. The primary antibody (ET1704-04) at 1/2,000 dilution was used in 5% NFDM/TBST at 4℃ overnight. Goat Anti-Rabbit IgG - HRP Secondary Antibody (HA1001) at 1/50,000 dilution was used for 1 hour at room temperature.
ET1704-04_2.jpg Fig2: Western blot analysis of FGF21 on different lysates with Rabbit anti-FGF21 antibody (ET1704-04) at 1/2,000 dilution.

Lane 1: Mouse spleen tissue lysate
Lane 2: Mouse thymus tissue lysate
Lane 3: Rat spleen tissue lysate
Lane 4: Rat testis tissue lysate

Lysates/proteins at 20 µg/Lane.

Predicted band size: 22 kDa
Observed band size: 22 kDa

Exposure time: Lane 1: 20 seconds; Lane 2-4: 2 seconds; ECL: K1801;

4-20% SDS-PAGE gel.

Proteins were transferred to a PVDF membrane and blocked with 5% NFDM/TBST for 1 hour at room temperature. The primary antibody (ET1704-04) at 1/2,000 dilution was used in 5% NFDM/TBST at 4℃ overnight. Goat Anti-Rabbit IgG - HRP Secondary Antibody (HA1001) at 1/50,000 dilution was used for 1 hour at room temperature.
ET1704-04_3.jpg Fig3: Western blot analysis of FGF21 on different lysates with Rabbit anti-FGF21 antibody (ET1704-04) at 1/2,000 dilution.

Lane 1: Mouse spleen tissue lysate
Lane 2: Mouse liver tissue lysate

Lysates/proteins at 20 µg/Lane.

Predicted band size: 22 kDa
Observed band size: 22 kDa

Exposure time: 40 seconds; ECL: K1801;

4-20% SDS-PAGE gel.

Proteins were transferred to a PVDF membrane and blocked with 5% NFDM/TBST for 1 hour at room temperature. The primary antibody (ET1704-04) at 1/2,000 dilution was used in primary antibody dilution (K1803) at 4℃ overnight. Goat Anti-Rabbit IgG - HRP Secondary Antibody (HA1001) at 1/50,000 dilution was used for 1 hour at room temperature.
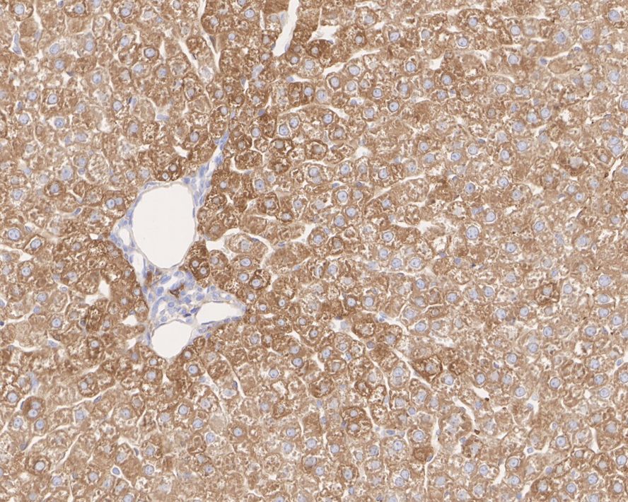
ET1704-04_4.jpg Fig4: Immunohistochemical analysis of paraffin-embedded mouse liver tissue with Rabbit anti-FGF21 antibody (ET1704-04) at 1/1,000 dilution.

The section was pre-treated using heat mediated antigen retrieval with Tris-EDTA buffer (pH 9.0) for 20 minutes. The tissues were blocked in 1% BSA for 20 minutes at room temperature, washed with ddH2O and PBS, and then probed with the primary antibody (ET1704-04) at 1/1,000 dilution for 1 hour at room temperature. The detection was performed using an HRP conjugated compact polymer system. DAB was used as the chromogen. Tissues were counterstained with hematoxylin and mounted with DPX.
ET1704-04_5.jpg Fig5: Immunohistochemical analysis of paraffin-embedded rat liver tissue with Rabbit anti-FGF21 antibody (ET1704-04) at 1/1,000 dilution.

The section was pre-treated using heat mediated antigen retrieval with Tris-EDTA buffer (pH 9.0) for 20 minutes. The tissues were blocked in 1% BSA for 20 minutes at room temperature, washed with ddH2O and PBS, and then probed with the primary antibody (ET1704-04) at 1/1,000 dilution for 1 hour at room temperature. The detection was performed using an HRP conjugated compact polymer system. DAB was used as the chromogen. Tissues were counterstained with hematoxylin and mounted with DPX.
Note: All products are “FOR RESEARCH USE ONLY AND ARE NOT INTENDED FOR DIAGNOSTIC OR THERAPEUTIC USE”.