BNIP3 Recombinant Rabbit Monoclonal Antibody [JA71-10]
cat.: ET1704-08
Product Type: Recombinant Rabbit monoclonal IgG, primary antibodies
Species reactivity: Human, Mouse, Rat
Applications: WB, IF-Cell, IF-Tissue, IHC-P
Clonality: Monoclonal
Clone number: JA71-10
Form: Liquid
Storage condition: Shipped at 4℃. Store at +4℃ short term (1-2 weeks). It is recommended to aliquot into single-use upon delivery. Store at -20℃ long term.
Storage buffer: 1*TBS (pH7.4), 0.05% BSA, 40% Glycerol. Preservative: 0.05% Sodium Azide.
Concentration: 1ug/ul
Purification: Protein A affinity purified.
Molecular weight: Predicted band size: 22 kDa
Isotype: IgG
Immunogen: Synthetic peptide within human BNIP3 aa 90-130.
Positive control: HeLa treated with 0.5mM CoCl2 for 6 hours cell lysate, MCF7 treated with 0.5mM CoCl2 for 6 hours cell lysate, RAW264.7 cell lysate, RAW264.7 treated with 0.5mM CoCl2 for 6 hours cell lysate, Mouse kidney tissue lysate, Rat kidney tissue lysate, Hela, SH-SY5Y, NIH/3T3, human kidney tissue, mouse brain tissue, mouse kidney tissue, rat brain tissue, rat kidney tissue.
Subcellular location: Membrane, Mitochondrion, Mitochondrion outer membrane.
Recommended Dilutions:
  WB
  IF-Cell
  IF-Tissue
  IHC-P

1:1,000
1:50-1:200
1:50-1:200
1:1,000
Uniprot #: SwissProt: Q12983 Human | O55003 Mouse
Entrez Gene: 84480 Rat
Alternative names: BCL2 Adenovirus E1B 19kDa Interacting Protein 3 BCL2/adenovirus E1B 19 kDa protein interacting protein 3 BCL2/adenovirus E1B 19 kDa protein-interacting protein 3 BNIP 3 BNIP3 BNIP3_HUMAN NIP 3 NIP3
Images
ET1704-08_1.jpg Fig1: Western blot analysis of BNIP3 on different lysates with Rabbit anti-BNIP3 antibody (ET1704-08) at 1/1,000 dilution.

Lane 1: HeLa cell lysate
Lane 2: HeLa treated with 0.5mM CoCl2 for 6 hours cell lysate

Lysates/proteins at 20 µg/Lane.

Predicted band size: 22 kDa
Observed band size: 22-30 kDa

Exposure time: 59 seconds; ECL: K1801;

4-20% SDS-PAGE gel.

Proteins were transferred to a PVDF membrane and blocked with 5% NFDM/TBST for 1 hour at room temperature. The primary antibody (ET1704-08) at 1/1,000 dilution was used in primary antibody dilution (K1803) at 4℃ overnight. Goat Anti-Rabbit IgG - HRP Secondary Antibody (HA1001) at 1/50,000 dilution was used for 1 hour at room temperature.
ET1704-08_2.jpg Fig2: Western blot analysis of BNIP3 on different lysates with Rabbit anti-BNIP3 antibody (ET1704-08) at 1/1,000 dilution.

Lane 1: MCF7 cell lysate
Lane 2: MCF7 treated with 0.5mM CoCl2 for 6 hours cell lysate
Lane 3: RAW264.7 cell lysate
Lane 4: RAW264.7 treated with 0.5mM CoCl2 for 6 hours cell lysate

Lysates/proteins at 20 µg/Lane.

Predicted band size: 22 kDa
Observed band size: 22-30 kDa

Exposure time: 30 seconds; ECL: K1801;

4-20% SDS-PAGE gel.

Proteins were transferred to a PVDF membrane and blocked with 5% NFDM/TBST for 1 hour at room temperature. The primary antibody (ET1704-08) at 1/1,000 dilution was used in primary antibody dilution (K1803) at 4℃ overnight. Goat Anti-Rabbit IgG - HRP Secondary Antibody (HA1001) at 1/50,000 dilution was used for 1 hour at room temperature.
ET1704-08_3.jpg Fig3: Western blot analysis of BNIP3 on different lysates with Rabbit anti-BNIP3 antibody (ET1704-08) at 1/1,000 dilution.

Lane 1: Mouse kidney tissue lysate (40 µg/Lane)
Lane 2: Rat kidney tissue lysate (40 µg/Lane)

Predicted band size: 22 kDa
Observed band size: 30 kDa

Exposure time: Lane 1: 1 minute 2 seconds; Lane 2: 8 seconds; ECL: K1801;

4-20% SDS-PAGE gel.

Proteins were transferred to a PVDF membrane and blocked with 5% NFDM/TBST for 1 hour at room temperature. The primary antibody (ET1704-08) at 1/1,000 dilution was used in 5% NFDM/TBST at 4℃ overnight. Goat Anti-Rabbit IgG - HRP Secondary Antibody (HA1001) at 1/50,000 dilution was used for 1 hour at room temperature.
ET1704-08_4.jpg Fig4: ICC staining of BNIP3 in Hela cells (green). Formalin fixed cells were permeabilized with 0.1% Triton X-100 in TBS for 10 minutes at room temperature and blocked with 1% Blocker BSA for 15 minutes at room temperature. Cells were probed with the primary antibody (ET1704-08, 1/50) for 1 hour at room temperature, washed with PBS. Alexa Fluor®488 Goat anti-Rabbit IgG was used as the secondary antibody at 1/1,000 dilution. The nuclear counter stain is DAPI (blue).
ET1704-08_5.jpg Fig5: ICC staining of BNIP3 in SH-SY5Y cells (green). Formalin fixed cells were permeabilized with 0.1% Triton X-100 in TBS for 10 minutes at room temperature and blocked with 1% Blocker BSA for 15 minutes at room temperature. Cells were probed with the primary antibody (ET1704-08, 1/50) for 1 hour at room temperature, washed with PBS. Alexa Fluor®488 Goat anti-Rabbit IgG was used as the secondary antibody at 1/1,000 dilution. The nuclear counter stain is DAPI (blue).
ET1704-08_6.jpg Fig6: ICC staining of BNIP3 in NIH/3T3 cells (green). Formalin fixed cells were permeabilized with 0.1% Triton X-100 in TBS for 10 minutes at room temperature and blocked with 1% Blocker BSA for 15 minutes at room temperature. Cells were probed with the primary antibody (ET1704-08, 1/50) for 1 hour at room temperature, washed with PBS. Alexa Fluor®488 Goat anti-Rabbit IgG was used as the secondary antibody at 1/1,000 dilution. The nuclear counter stain is DAPI (blue).
ET1704-08_7.jpg Fig7: Immunohistochemical analysis of paraffin-embedded human kidney tissue with Rabbit anti-BNIP3 antibody (ET1704-08) at 1/1,000 dilution.

The section was pre-treated using heat mediated antigen retrieval with Tris-EDTA buffer (pH 9.0) for 20 minutes. The tissues were blocked in 1% BSA for 20 minutes at room temperature, washed with ddH2O and PBS, and then probed with the primary antibody (ET1704-08) at 1/1,000 dilution for 1 hour at room temperature. The detection was performed using an HRP conjugated compact polymer system. DAB was used as the chromogen. Tissues were counterstained with hematoxylin and mounted with DPX.
ET1704-08_8.jpg Fig8: Immunohistochemical analysis of paraffin-embedded mouse brain tissue with Rabbit anti-BNIP3 antibody (ET1704-08) at 1/1,000 dilution.

The section was pre-treated using heat mediated antigen retrieval with Tris-EDTA buffer (pH 9.0) for 20 minutes. The tissues were blocked in 1% BSA for 20 minutes at room temperature, washed with ddH2O and PBS, and then probed with the primary antibody (ET1704-08) at 1/1,000 dilution for 1 hour at room temperature. The detection was performed using an HRP conjugated compact polymer system. DAB was used as the chromogen. Tissues were counterstained with hematoxylin and mounted with DPX.
ET1704-08_9.jpg Fig9: Immunohistochemical analysis of paraffin-embedded mouse kidney tissue with Rabbit anti-BNIP3 antibody (ET1704-08) at 1/1,000 dilution.

The section was pre-treated using heat mediated antigen retrieval with Tris-EDTA buffer (pH 9.0) for 20 minutes. The tissues were blocked in 1% BSA for 20 minutes at room temperature, washed with ddH2O and PBS, and then probed with the primary antibody (ET1704-08) at 1/1,000 dilution for 1 hour at room temperature. The detection was performed using an HRP conjugated compact polymer system. DAB was used as the chromogen. Tissues were counterstained with hematoxylin and mounted with DPX.
ET1704-08_10.jpg Fig10: Immunohistochemical analysis of paraffin-embedded rat brain tissue with Rabbit anti-BNIP3 antibody (ET1704-08) at 1/1,000 dilution.

The section was pre-treated using heat mediated antigen retrieval with Tris-EDTA buffer (pH 9.0) for 20 minutes. The tissues were blocked in 1% BSA for 20 minutes at room temperature, washed with ddH2O and PBS, and then probed with the primary antibody (ET1704-08) at 1/1,000 dilution for 1 hour at room temperature. The detection was performed using an HRP conjugated compact polymer system. DAB was used as the chromogen. Tissues were counterstained with hematoxylin and mounted with DPX.
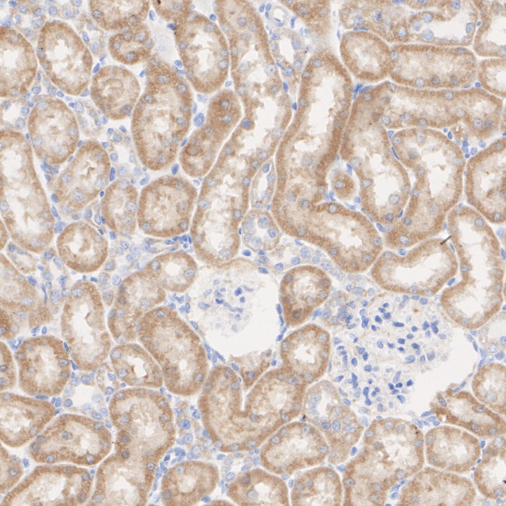
ET1704-08_11.jpg Fig11: Immunohistochemical analysis of paraffin-embedded rat kidney tissue with Rabbit anti-BNIP3 antibody (ET1704-08) at 1/1,000 dilution.

The section was pre-treated using heat mediated antigen retrieval with Tris-EDTA buffer (pH 9.0) for 20 minutes. The tissues were blocked in 1% BSA for 20 minutes at room temperature, washed with ddH2O and PBS, and then probed with the primary antibody (ET1704-08) at 1/1,000 dilution for 1 hour at room temperature. The detection was performed using an HRP conjugated compact polymer system. DAB was used as the chromogen. Tissues were counterstained with hematoxylin and mounted with DPX.
Note: All products are “FOR RESEARCH USE ONLY AND ARE NOT INTENDED FOR DIAGNOSTIC OR THERAPEUTIC USE”.